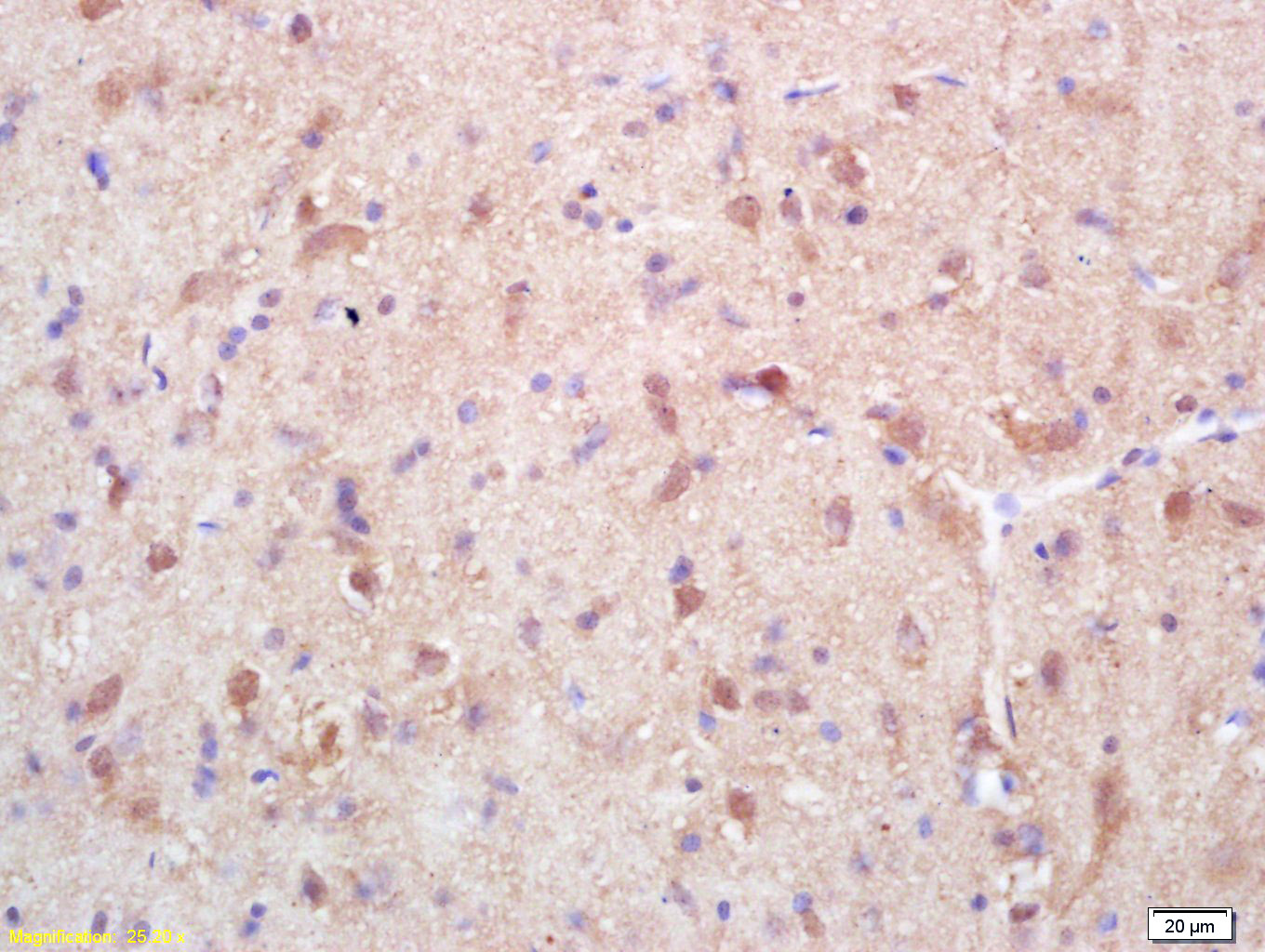
Tissue/cell: rat brain tissue; 4% Paraformaldehyde-fixed and paraffin-embedded;
Antigen retrieval: citrate buffer ( 0.01M, pH 6.0 ), Boiling bathing for 15min; Block endogenous peroxidase by 3% Hydrogen peroxide for 30min; Blocking buffer (normal goat serum,C-0005) at 37℃ for 20 min;
Incubation: Anti-Exportin 1/CRM1 Polyclonal Antibody, Unconjugated(bs-10151R) 1:200, overnight at 4°C, followed by conjugation to the secondary antibody(SP-0023) and DAB(C-0010) staining
相关产品推荐更多 >
万千商家帮你免费找货
0 人在求购买到急需产品
- 详细信息
- 技术资料
- 应用范围:
产品信息以Bioss网站为准
- 规格:
50ul/100ul/200ul
| 规格: | 50ul | 产品价格: | ¥1180.0 |
|---|---|---|---|
| 规格: | 100ul | 产品价格: | ¥1980.0 |
| 规格: | 200ul | 产品价格: | ¥2800.0 |
| 产品编号 | bs-10151R |
| 英文名称 | Exportin 1 Rabbit pAb |
| 中文名称 | 染色体区域稳定蛋白/核输出蛋白1抗体 |
| 英文别名 | Chromosome region maintenance 1 protein homolog; CRM 1; CRM1; CRM1 homolog; DKFZp686B1823; Exp 1; Exp-1; Exp1; Exportin 1; Exportin1; Exportin-1; XPO 1; XPO1; XPO1_HUMAN. |
| 产品应用 | WB=1:500-2000, IHC-P=1:100-500, IHC-F=1:100-500, IF=1:100-500 Not yet tested in other applications. |
| 交叉反应 | Human, Mouse, Rat (Chicken, Dog, Pig, Cow, Horse, Rabbit, Sheep) |
| 抗体来源 | Rabbit |
| 免疫原 | KLH conjugated synthetic peptide derived from human Exportin 1/CRM1 |
| 亚型 | IgG |
| 性状 | Liquid |
| 纯化方法 | affinity purified by Protein A |
| 克隆类型 | Polyclonal |
| 理论分子量 | 118 kDa |
| 浓度 | 1mg/ml |
| 储存液 | 0.01M TBS (pH7.4) with 1% BSA, 0.02% Proclin300 and 50% Glycerol. |
| 研究领域 | Epigenetics and Nuclear Signaling > DNA / RNA > RNA Processing Epigenetics and Nuclear Signaling > Nuclear Signaling Pathways > Nuclear Receptors > Nuclear Pore Complex Signal Transduction > Protein Trafficking > Nuclear Import / Export |
| 亚基 | Found in a U snRNA export complex with RNUXA/PHAX, NCBP1, NCBP2, RAN, XPO1 and m7G-capped RNA (By similarity). Component of a nuclear export receptor complex composed of KPNB1, RAN, SNUPN and XPO1. Found in a trimeric export complex with SNUPN, RAN and XPO1. Found in a nuclear export complex with RANBP3 and RAN. Found in a 60S ribosomal subunit export complex with NMD3, RAN, XPO1. Interacts with DDX3X, NMD3, NUPL2, NUP88, NUP214, RANBP3 and TERT. Also found in complex with several viral proteins involved in RNAs' nuclear export like HIV-1 Rev and HTLV-1 Rex. Interacts presumably with influenza A nucleoprotein. Interacts with Epstein-Barr virus BMLF1. Interacts with NEMF (via its N-terminus). Interacts with the monomeric form of BIRC5/survivin deacetylated at 'Lys-129'. |
| 亚细胞定位 | Cytoplasm. Nucleus, nucleoplasm. Nucleus, Cajal body. Nucleus, nucleolus. Note=Located in the nucleoplasm, Cajal bodies and nucleoli. Shuttles between the nucleus/nucleolus and the cytoplasm. |
| 组织特异性 | Expressed in heart, brain, placenta, lung, liver, skeletal muscle, pancreas, spleen, thymus, prostate, testis, ovary, small intestine, colon and peripheral blood leukocytes. Not expressed in the kidney. |
| 相似性 | Belongs to the exportin family. Contains 10 HEAT repeats. Contains 1 importin N-terminal domain. |
| 功能 | Mediates the nuclear export of cellular proteins (cargos) bearing a leucine-rich nuclear export signal (NES) and of RNAs. In the nucleus, in association with RANBP3, binds cooperatively to the NES on its target protein and to the GTPase RAN in its active GTP-bound form (Ran-GTP). Docking of this complex to the nuclear pore complex (NPC) is mediated through binding to nucleoporins. Upon transit of an nuclear export complex into the cytoplasm, disassembling of the complex and hydrolysis of Ran-GTP to Ran-GDP (induced by RANBP1 and RANGAP1, respectively) cause release of the cargo from the export receptor. The directionality of nuclear export is thought to be conferred by an asymmetric distribution of the GTP- and GDP-bound forms of Ran between the cytoplasm and nucleus. Involved in U3 snoRNA transport from Cajal bodies to nucleoli. Binds to late precursor U3 snoRNA bearing a TMG cap. Several viruses, among them HIV-1, HTLV-1 and influenza A use it to export their unspliced or incompletely spliced RNAs out of the nucleus. Interacts with, and mediates the nuclear export of HIV-1 Rev and HTLV-1 Rex proteins. Involved in HTLV-1 Rex multimerization. |
| 保存条件 | Shipped at 4℃. Store at -20℃ for one year. Avoid repeated freeze/thaw cycles. |
| 注意事项 | This product as supplied is intended for research use only, not for use in human, therapeutic or diagnostic applications. |
| 背景资料 | The protein encoded by this gene mediates leucine-rich nuclear export signal (NES)-dependent protein transport. Exportin 1 specifically inhibits the nuclear export of Rev and U snRNAs. It is involved in the control of several cellular processes by controlling the localization of cyclin B, MPAK, and MAPKAP kinase 2. This protein also regulates NFAT and AP-1. [provided by RefSeq, Jul 2008] |
| 应用 | 推荐稀释比例 |
| {WB} | {1:500-2000} |
| {IHC-P} | {1:100-500} |
| {IHC-F} | {1:100-500} |
| {IF} | {1:100-500} |


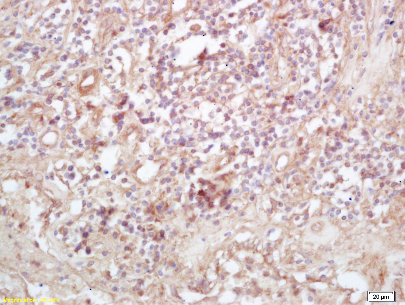
Tissue/cell: human lung carcinoma; 4% Paraformaldehyde-fixed and paraffin-embedded;
Antigen retrieval: citrate buffer ( 0.01M, pH 6.0 ), Boiling bathing for 15min; Block endogenous peroxidase by 3% Hydrogen peroxide for 30min; Blocking buffer (normal goat serum,C-0005) at 37℃ for 20 min;
Incubation: Anti-Exportin 1/CRM1 Polyclonal Antibody, Unconjugated(bs-10151R) 1:200, overnight at 4°C, followed by conjugation to the secondary antibody(SP-0023) and DAB(C-0010) staining
Antigen retrieval: citrate buffer ( 0.01M, pH 6.0 ), Boiling bathing for 15min; Block endogenous peroxidase by 3% Hydrogen peroxide for 30min; Blocking buffer (normal goat serum,C-0005) at 37℃ for 20 min;
Incubation: Anti-Exportin 1/CRM1 Polyclonal Antibody, Unconjugated(bs-10151R) 1:200, overnight at 4°C, followed by conjugation to the secondary antibody(SP-0023) and DAB(C-0010) staining

Sample:
K562(Human) Cell Lysate at 30 ug
Hela(Human) Cell Lysate at 30 ug
Primary: Anti-Exportin 1 (bs-10151R) at 1/1000 dilution
Secondary: IRDye800CW Goat Anti-Rabbit IgG at 1/20000 dilution
Predicted band size: 118 kD
Observed band size: 123 kD
K562(Human) Cell Lysate at 30 ug
Hela(Human) Cell Lysate at 30 ug
Primary: Anti-Exportin 1 (bs-10151R) at 1/1000 dilution
Secondary: IRDye800CW Goat Anti-Rabbit IgG at 1/20000 dilution
Predicted band size: 118 kD
Observed band size: 123 kD

Sample:
Lane 1: Mouse Testis tissue lysates
Lane 2: Mouse Ovary tissue lysates
Lane 3: Human HepG2 cell lysates
Lane 4: Human HeLa cell lysates
Lane 5: Human MCF-7 cell lysates
Lane 6: Human Jurkat cell lysates
Primary: Anti-Exportin 1 (bs-10151R) at 1/1000 dilution
Secondary: IRDye800CW Goat Anti-Rabbit IgG at 1/20000 dilution
Predicted band size: 118 kDa
Observed band size: 120 kDa
Lane 1: Mouse Testis tissue lysates
Lane 2: Mouse Ovary tissue lysates
Lane 3: Human HepG2 cell lysates
Lane 4: Human HeLa cell lysates
Lane 5: Human MCF-7 cell lysates
Lane 6: Human Jurkat cell lysates
Primary: Anti-Exportin 1 (bs-10151R) at 1/1000 dilution
Secondary: IRDye800CW Goat Anti-Rabbit IgG at 1/20000 dilution
Predicted band size: 118 kDa
Observed band size: 120 kDa
风险提示:丁香通仅作为第三方平台,为商家信息发布提供平台空间。用户咨询产品时请注意保护个人信息及财产安全,合理判断,谨慎选购商品,商家和用户对交易行为负责。对于医疗器械类产品,请先查证核实企业经营资质和医疗器械产品注册证情况。
技术资料暂无技术资料 索取技术资料
Exportin 1 Rabbit pAb(bs-10151R)-50ul/100ul/200ul
¥1180 - 2800









