相关产品推荐更多 >

MCPIP1 Rabbit pAb, PE-Cy5.5 conjugated(bs-5792R-PE-Cy5.5)-100ul
¥2980
SMAD5 Rabbit pAb, PerCP-Cy7 conjugated(bs-13890R-PerCP-Cy7)-100ul
¥2980
TYROBP Rabbit pAb, RBITC conjugated(bs-12630R-RBITC)-100ul
¥2980
Slitrk1 Rabbit pAb(bs-6192R)-50ul/100ul/200ul
¥1180
Anti-human DLL3 (Dragonfly patent Anti-DLL3 Biosimilar)(BIO0024SM)-1mg/5mg/20mg
¥3200
万千商家帮你免费找货
0 人在求购买到急需产品
- 详细信息
- 文献和实验
- 技术资料
- 应用范围:
产品信息以Bioss网站为准
- 规格:
50ul/100ul/200ul
| 规格: | 50ul | 产品价格: | ¥1180.0 |
|---|---|---|---|
| 规格: | 100ul | 产品价格: | ¥1980.0 |
| 规格: | 200ul | 产品价格: | ¥2800.0 |
| 产品编号 | bs-7552R |
| 英文名称 | Biglycan Rabbit pAb |
| 中文名称 | 骨/软骨蛋白多糖1抗体 |
| 英文别名 | BGN; Biglycan proteoglycan; Bone/cartilage proteoglycan I; Dermatan sulphate proteoglycan I; DSPG1; PG S1; PG-S1; PGI; PGS1_HUMAN; SLRR1A; Small leucine rich protein 1A. |
| 产品应用 | WB=1:500-2000, IHC-P=1:100-500, IHC-F=1:100-500, IF=1:100-500 Not yet tested in other applications. |
| 交叉反应 | Human, Mouse (Rat, Dog, Pig, Cow, Horse, Rabbit, Sheep) |
| 抗体来源 | Rabbit |
| 免疫原 | KLH conjugated synthetic peptide derived from human Biglycan |
| 亚型 | IgG |
| 性状 | Liquid |
| 纯化方法 | affinity purified by Protein A |
| 克隆类型 | Polyclonal |
| 理论分子量 | 37 kDa |
| 浓度 | 1mg/ml |
| 储存液 | 0.01M TBS (pH7.4) with 1% BSA, 0.02% Proclin300 and 50% Glycerol. |
| 研究领域 | Signal Transduction > Cytoskeleton / ECM > Extracellular Matrix > ECM Proteins > Other ECM Proteins Signal Transduction > Cytoskeleton / ECM > Extracellular Matrix > Structures > Bone Stem Cells > Mesenchymal Stem Cells > Osteogenesis |
| 亚基 | Homodimer. Forms a ternary complex with MFAP2 and ELN |
| 亚细胞定位 | Secreted, extracellular space, extracellular. |
| 组织特异性 | Found in several connective tissues, especially in articular cartilages. |
| 翻译后修饰 | The two attached glycosaminoglycan chains can be either chondroitin sulfate or dermatan sulfate (By similarity). |
| 相似性 | Belongs to the small leucine-rich proteoglycan (SLRP) family. SLRP class I subfamily. Contains 12 LRR (leucine-rich) repeats. |
| 功能 | May be involved in collagen fiber assembly (By similarity). |
| 保存条件 | Shipped at 4℃. Store at -20℃ for one year. Avoid repeated freeze/thaw cycles. |
| 注意事项 | This product as supplied is intended for research use only, not for use in human, therapeutic or diagnostic applications. |
| 背景资料 | May be involved in collagen fiber assembly. |
| 应用 | 推荐稀释比例 |
| {WB} | {1:500-2000} |
| {IHC-P} | {1:100-500} |
| {IHC-F} | {1:100-500} |
| {IF} | {1:100-500} |


Colon (Rat) Lysate at 40 ug
Embryo (Mouse) Lysate at 40 ug
Primary: Anti-Biglycan (bs-7552R) at 1/300 dilution
Secondary: HRP conjugated Goat-Anti-rabbit IgG (bs-0295G-HRP) at 1/5000 dilution
Predicted band size: 37 kD
Observed band size: 52 kD

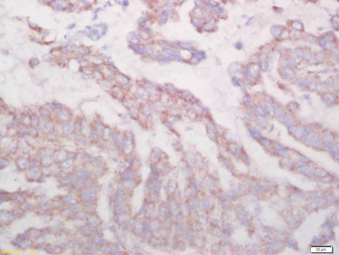
Antigen retrieval: citrate buffer ( 0.01M, pH 6.0 ), Boiling bathing for 15min; Block endogenous peroxidase by 3% Hydrogen peroxide for 30min; Blocking buffer (normal goat serum,C-0005) at 37℃ for 20 min;
Incubation: Anti-Biglycan Polyclonal Antibody, Unconjugated(bs-7552R) 1:200, overnight at 4°C, followed by conjugation to the secondary antibody(SP-0023) and DAB(C-0010) staining

Primary: Anti- Biglycan (bs-7552R)at 1/300 dilution
Secondary: IRDye800CW Goat Anti-Rabbit IgG at 1/20000 dilution
Predicted band size: 37kD
Observed band size: 52 kD
风险提示:丁香通仅作为第三方平台,为商家信息发布提供平台空间。用户咨询产品时请注意保护个人信息及财产安全,合理判断,谨慎选购商品,商家和用户对交易行为负责。对于医疗器械类产品,请先查证核实企业经营资质和医疗器械产品注册证情况。
文献和实验[IF={{ 9.8 }}] {Xiaotong Wang. et al. Protein lysine acetylation played an important role in NH3-induced AEC2 damage and pulmonary fibrosis in piglets. SCI TOTAL ENVIRON. 2024 Jan;908:168303} {IF} {Pig}
[IF={{ 8.554 }}] {Jin Wang. et al. TLR4 aggravates microglial pyroptosis by promoting DDX3X-mediated NLRP3 inflammasome activation via JAK2/STAT1 pathway after spinal cord injury. CLIN TRANSL MED. 2022 Jun;12(6):e894} {IP,WB} {Mouse}
[IF={{ 5.23 }}] {Han, Chao, et al. "An Animal Model of Modic Changes by Embedding Autogenous Nucleus Pulposus inside Subchondral Bone of Lumbar Vertebrae." Scientific Reports 6 (2016): 35102.} {WB} {="Rabbit"}
[IF={{ 2.36 }}] {Simões et al. Small leucine-rich proteoglycans (SLRPs) in the endometrium of polycystic ovary syndrome women: a pilot study. (2017) J.Ovarian.Res. 10:54} {IHC} {Human}
[IF={{ 1.72 }}] {Huang, Guo-fu, et al. "The Effect of Electroacupuncture on the Extracellular Matrix Synthesis and Degradation in a Rabbit Model of Disc Degeneration." Evidence-Based Complementary and Alternative Medicine 2014 (2014).} {IHC} {="Rabbit"}
= NAL), appears to form upon oxidative cyclization of the nonfluorescent 2:1 lysine-HNE Michael adduct-Schiff base cross-link (Scheme 1). Polyclonal antibody (PAb) to the NAL-HNE fluorophore was raised in rabbit and found to be highly specific
GE Healthcare Benzamidine Sepharose™ 6B is p-aminobenzamidine covalently attached to Sepharose 6B by the epoxy coupling method. p-Aminobenzamidine (PAB), is a synthetic inhibitor of trypsin-like serine protease. Trypsin and trypsin
Nucleic Acid Programmable Protein Arrays: Versatile Tools for Array‐Based Functional Protein Studies
.g., Sigma) 50 mg/ml bis‐sulfosuccinimdylsuberate (BS3 ;Pierce, cat. no. PI 21580) in dimethylsulfoxide (DMSO) 5 mg/ml
技术资料暂无技术资料 索取技术资料






