相关产品推荐更多 >
万千商家帮你免费找货
0 人在求购买到急需产品
- 详细信息
- 文献和实验
- 技术资料
- 应用范围:
产品信息以Bioss网站为准
- 规格:
50ul/100ul/200ul
| 规格: | 50ul | 产品价格: | ¥1180.0 |
|---|---|---|---|
| 规格: | 100ul | 产品价格: | ¥1980.0 |
| 规格: | 200ul | 产品价格: | ¥2800.0 |
| 产品编号 | bs-3594R |
| 英文名称 | GRIM19 Rabbit pAb |
| 中文名称 | 干扰素/维甲酸诱导凋亡相关基因抗体 |
| 英文别名 | CDA016; Cell death regulatory protein; Cell death regulatory protein GRIM-19; CGI-39; CGI39 protein; CI-B16.6; GRIM-19; GRIM 19; Complex I-B16.6; Gene associated with retinoic and IFN-induced mortality 19 protein; Gene associated with retinoic and interferon-induced mortality 19 protein; Gene associated with retinoic interferon induced mortality 19 protein; GRIM-19; NADH dehydrogenase(ubiquinone) 1 alpha subcomplex, 13; NADH dehydrogenase [ubiquinone] 1 alpha subcomplex subunit 13; NADH ubiquinone oxidoreductase B16.6 subunit; Ndufa13. |
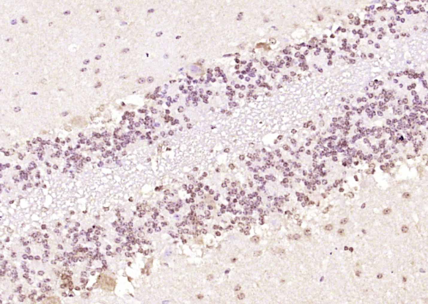
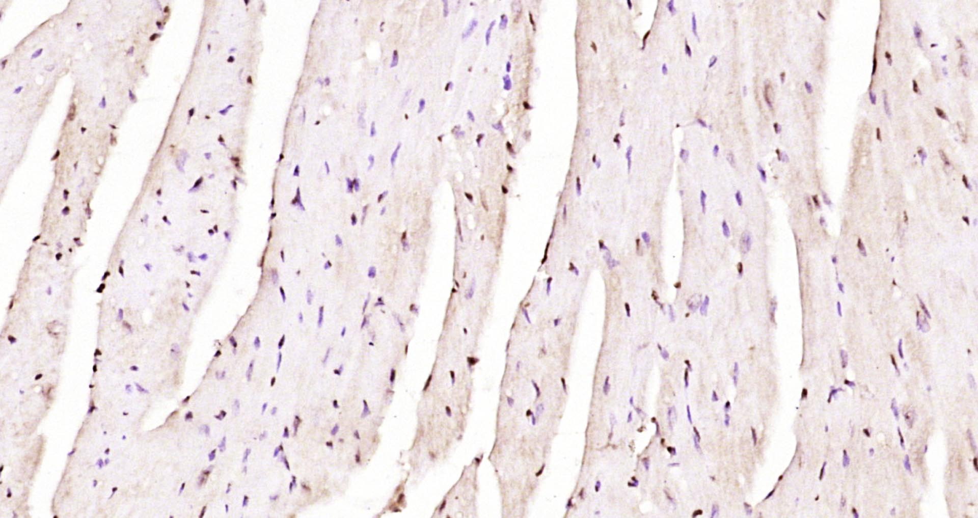
| 产品应用 | WB=1:500-2000, IHC-P=1:100-500, IHC-F=1:100-500, IF=1:100-500 Not yet tested in other applications. |
| 交叉反应 | Mouse (Human, Rat, Pig, Horse) |
| 抗体来源 | Rabbit |
| 免疫原 | KLH conjugated synthetic peptide derived from human GRIM19 |
| 亚型 | IgG |
| 性状 | Liquid |
| 纯化方法 | affinity purified by Protein A |
| 克隆类型 | Polyclonal |
| 理论分子量 | 16 kDa |
| 浓度 | 1mg/ml |
| 储存液 | 0.01M TBS (pH7.4) with 1% BSA, 0.02% Proclin300 and 50% Glycerol. |
| 研究领域 | Cancer > Cancer Metabolism > Metabolic signaling pathway > Integration of energy metabolism Cancer > Cell Death > Apoptosis > Metabolism Cancer > Cell Death > Apoptosis > Nucleus Cell Biology > Apoptosis > Nucleus Epigenetics and Nuclear Signaling > Cell cycle > Apoptosis > Nuclear Metabolism > Pathways and Processes > Metabolic signaling pathways > Energy transfer pathways > Integration of energy Metabolism > Pathways and Processes > Metabolism processes > Apoptosis Metabolism > Pathways and Processes > Mitochondrial Metabolism > Oxidative phosphorylation > Complex I Metabolism > Types of disease > Cancer |
| 亚基 | Complex I is composed of 45 different subunits. Interacts with CARD15, but not with CARD4. Interacts with STAT3, but not with STAT1, STAT2 and STAT5A. Interacts with HHV-8 IRF1, in the nucleus, with HPV-16 E6 and SV40 LT. Interacts with OLFM4. |
| 亚细胞定位 | Mitochondrion inner membrane; Single-pass membrane protein; Matrix side. Nucleus. Note=May be translocated into the nucleus upon IFN/RA treatment. |
| 组织特异性 | Widely expressed, with highest expression in heart, skeletal muscle, liver, kidney and placenta. In intestinal mucosa, down-regulated in areas involved in Crohn disease and ulcerative colitis. |
| 相似性 | Belongs to the complex I NDUFA13 subunit family. |
| 功能 | Accessory subunit of the mitochondrial membrane respiratory chain NADH dehydrogenase (Complex I), that is believed not to be involved in catalysis. Complex I functions in the transfer of electrons from NADH to the respiratory chain. The immediate electron acceptor for the enzyme is believed to be ubiquinone. Involved in the interferon/all-trans-retinoic acid (IFN/RA) induced cell death. This apoptotic activity is inhibited by interaction with viral IRF1. Prevents the transactivation of STAT3 target genes. May play a role in CARD15-mediated innate mucosal responses and serve to regulate intestinal epithelial cell responses to microbes. |
| 保存条件 | Shipped at 4℃. Store at -20℃ for one year. Avoid repeated freeze/thaw cycles. |
| 注意事项 | This product as supplied is intended for research use only, not for use in human, therapeutic or diagnostic applications. |
| 背景资料 | A novel gene, Genes associated with Retinoid IFN induced Mortality (GRIM) GRIM19 gene was identified. Antisense expression of GRIM19 confers a strong resistance against IFN/RA induced death by reducing the intracellular levels of GRIM19 protein. Overexpression of GRIM19 enhances cell death in response to IFN/RA. GRIM19 is primarily a nuclear protein whose expression is induced by the IFN/RA combination. These data indicate that GRIM19 is a novel cell death regulatory molecule. |
| 应用 | 推荐稀释比例 |
| {WB} | {1:500-2000} |
| {IHC-P} | {1:100-500} |
| {IHC-F} | {1:100-500} |
| {IF} | {1:100-500} |

Liver (Mouse) Lysate at 40 ug
Primary: Anti-GRIM19 (bs-3594R) at 1/1000 dilution
Secondary: IRDye800CW Goat Anti-Rabbit IgG at 1/20000 dilution
Predicted band size: 16 kD
Observed band size: 17 kD


风险提示:丁香通仅作为第三方平台,为商家信息发布提供平台空间。用户咨询产品时请注意保护个人信息及财产安全,合理判断,谨慎选购商品,商家和用户对交易行为负责。对于医疗器械类产品,请先查证核实企业经营资质和医疗器械产品注册证情况。
文献和实验= NAL), appears to form upon oxidative cyclization of the nonfluorescent 2:1 lysine-HNE Michael adduct-Schiff base cross-link (Scheme 1). Polyclonal antibody (PAb) to the NAL-HNE fluorophore was raised in rabbit and found to be highly specific
GE Healthcare Benzamidine Sepharose™ 6B is p-aminobenzamidine covalently attached to Sepharose 6B by the epoxy coupling method. p-Aminobenzamidine (PAB), is a synthetic inhibitor of trypsin-like serine protease. Trypsin and trypsin
Nucleic Acid Programmable Protein Arrays: Versatile Tools for Array‐Based Functional Protein Studies
.g., Sigma) 50 mg/ml bis‐sulfosuccinimdylsuberate (BS3 ;Pierce, cat. no. PI 21580) in dimethylsulfoxide (DMSO) 5 mg/ml
技术资料暂无技术资料 索取技术资料









