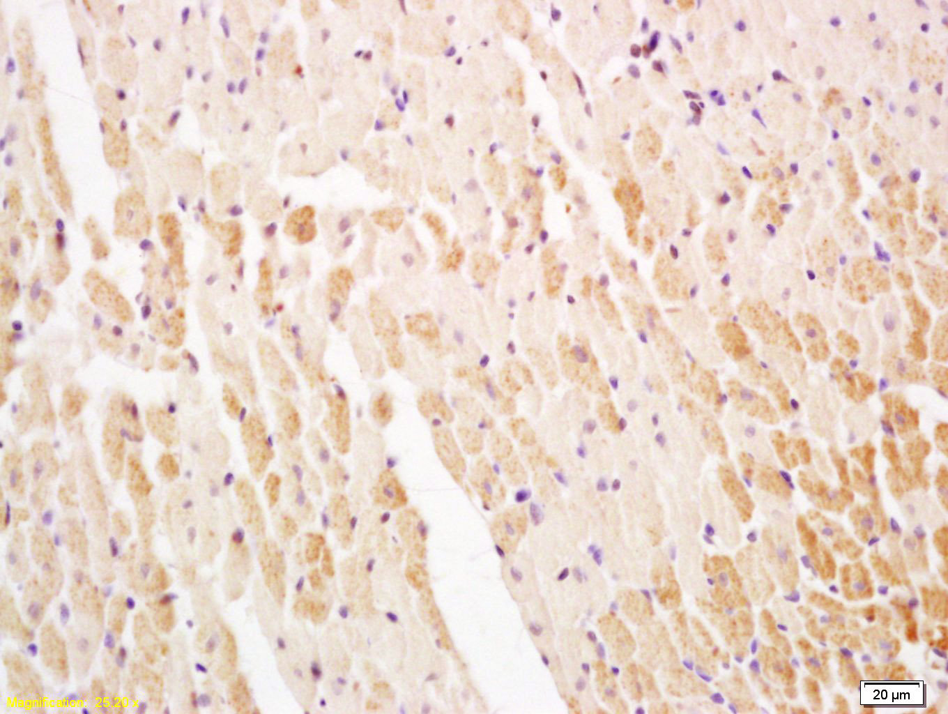
Tissue/cell: rat heart tissue; 4% Paraformaldehyde-fixed and paraffin-embedded;
Antigen retrieval: citrate buffer ( 0.01M, pH 6.0 ), Boiling bathing for 15min; Block endogenous peroxidase by 3% Hydrogen peroxide for 30min; Blocking buffer (normal goat serum,C-0005) at 37℃ for 20 min;
Incubation: Anti-Serca2/SERCA2 ATPase Polyclonal Antibody, Unconjugated(bs-6693R) 1:200, overnight at 4°C, followed by conjugation to the secondary antibody(SP-0023) and DAB(C-0010) staining
相关产品推荐更多 >

PCDH12 Rabbit pAb, APC conjugated(bs-11109R-APC)-100ul
¥2980
Epigen Rabbit pAb(bs-5767R)-50ul/100ul/200ul
¥1180
Anti-human LAG3 / CD223 (Ieramilimab Biosimilar)(BIO0696SM)-1mg/5mg/20mg
¥3200
PGAM1 Rabbit pAb(bs-5006R)-50ul/100ul/200ul
¥1180
PA26 Rabbit pAb, PerCP-Cy7 conjugated(bs-8325R-PerCP-Cy7)-100ul
¥2980
万千商家帮你免费找货
0 人在求购买到急需产品
- 详细信息
- 文献和实验
- 技术资料
- 应用范围:
产品信息以Bioss网站为准
- 规格:
50ul/100ul/200ul
| 规格: | 50ul | 产品价格: | ¥1180.0 |
|---|---|---|---|
| 规格: | 100ul | 产品价格: | ¥1980.0 |
| 规格: | 200ul | 产品价格: | ¥2800.0 |
| 产品编号 | bs-6693R |
| 英文名称 | Serca2/SERCA2 ATPase Rabbit pAb |
| 中文名称 | 肌浆/内质网钙ATP酶2抗体 |
| 英文别名 | ATP dependent calcium pumpsc; ATP2A2; ATP2B; ATPase Ca++transporting cardiac muscle slow twitch 2; Ca++transporting cardiac muscle slow twitch 2; Calcium pump 2; Calcium-transporting ATPase sarcoplasmic reticulum type slow twitch skeletal muscle isoform; DAR; Darier disease; DD; Endoplasmic reticulum class 1/2 Ca(2+) ATPase; Sarcoplasmic or endoplasmic reticulum calcium ATP; Sarcoplasmic/endoplasmic reticulum calcium ATPase 2; SERCA 2; SERCA2; SR Ca(2+)-ATPase 2; AT2A2_HUMAN. |
| 产品应用 | IHC-P=1:100-500, IHC-F=1:100-500, IF=1:100-500, Flow-Cyt=2ug/Test Not yet tested in other applications. |
| 交叉反应 | Human, Rat (Mouse, Dog, Pig, Cow, Horse, Rabbit) |
| 抗体来源 | Rabbit |
| 免疫原 | KLH conjugated synthetic peptide derived from human Serca2/SERCA2 ATPase |
| 亚型 | IgG |
| 性状 | Liquid |
| 纯化方法 | affinity purified by Protein A |
| 克隆类型 | Polyclonal |
| 理论分子量 | 115 kDa |
| 浓度 | 1mg/ml |
| 储存液 | 0.01M TBS (pH7.4) with 1% BSA, 0.02% Proclin300 and 50% Glycerol. |
| 亚基 | Associated with phospholamban (PLN) (By similarity). Isoform 1 interacts with TRAM2 (via C-terminus). Interacts with HAX1. |
| 亚细胞定位 | Endoplasmic reticulum membrane; Multi-pass membrane protein. Sarcoplasmic reticulum membrane; Multi-pass membrane protein. |
| 组织特异性 | Isoform 1 is widely expressed in smooth muscle and nonmuscle tissues such as in adult skin epidermis, with highest expression in liver, pancreas and lung, and intermediate expression in brain, kidney and placenta. Also expressed at lower levels in heart and skeletal muscle. Isoforms 2 and 3 are highly expressed in the heart and slow twitch skeletal muscle. Expression of isoform 3 is predominantly restricted to cardiomyocytes and in close proximity to the sarcolemma. Both isoforms are mildly expressed in lung, kidney, liver, pancreas and placenta. Expression of isoform 3 is amplified during monocytic differentiation and also observed in the fetal heart. |
| 翻译后修饰 | Nitrated under oxidative stress. Nitration on the two tyrosine residues inhibits catalytic activity. |
| 相似性 | Belongs to the cation transport ATPase (P-type) (TC 3.A.3) family. Type IIA subfamily. |
| 功能 | This magnesium-dependent enzyme catalyzes the hydrolysis of ATP coupled with the translocation of calcium from the cytosol to the sarcoplasmic reticulum lumen. Isoform 2 is involved in the regulation of the contraction/relaxation cycle. |
| 保存条件 | Shipped at 4℃. Store at -20℃ for one year. Avoid repeated freeze/thaw cycles. |
| 注意事项 | This product as supplied is intended for research use only, not for use in human, therapeutic or diagnostic applications. |
| 背景资料 | ATP dependent calcium pumps are responsible, in part, for the maintenance of low cytoplasmic free calcium concentrations. The ATP pumps that reside in intracellular organelles are encoded by a family of structurally related enzymes, termed the sarcoplasmic or endoplasmic reticulum calcium (SERCA) ATPases. The SERCA1 gene is exclusively expressed in type II (fast) skeletal muscle. The SERCA2 gene is subject to tissue dependent processing which is responsible for the generation of SERCA2a muscle-specific form expressed in type I (slow) skeletal, cardiac and smooth muscle and the SERCA2b isoform expressed in all cell types. The SERCA3 gene is not as well characterized and is found in non-muscle cells. |
| 应用 | 推荐稀释比例 |
| {IHC-P} | {1:100-500} |
| {IHC-F} | {1:100-500} |
| {IF} | {1:100-500} |
| {Flow-Cyt} | {2ug/Test} |


Blank control(black line):Hela.
Primary Antibody (green line): Rabbit Anti-Serca2 antibody (bs-6693R)
Dilution:2ug/Test;
Secondary Antibody(white blue line): Goat anti-rabbit IgG-FITC
Dilution: 0.5ug/Test.
Isotype control(orange line): Normal Rabbit IgG
Protocol
The cells were fixed with 4% PFA (10min at room temperature)and then permeabilized with 90% ice-cold methanol for 20 min at -20℃, The cells were then incubated in 5%BSA to block non-specific protein-protein interactions for 30 min at room temperature .Cells stained with Primary Antibody for 30 min at room temperature. The secondary antibody used for 40 min at room temperature. Acquisition of 20,000 events was performed.
Primary Antibody (green line): Rabbit Anti-Serca2 antibody (bs-6693R)
Dilution:2ug/Test;
Secondary Antibody(white blue line): Goat anti-rabbit IgG-FITC
Dilution: 0.5ug/Test.
Isotype control(orange line): Normal Rabbit IgG
Protocol
The cells were fixed with 4% PFA (10min at room temperature)and then permeabilized with 90% ice-cold methanol for 20 min at -20℃, The cells were then incubated in 5%BSA to block non-specific protein-protein interactions for 30 min at room temperature .Cells stained with Primary Antibody for 30 min at room temperature. The secondary antibody used for 40 min at room temperature. Acquisition of 20,000 events was performed.
风险提示:丁香通仅作为第三方平台,为商家信息发布提供平台空间。用户咨询产品时请注意保护个人信息及财产安全,合理判断,谨慎选购商品,商家和用户对交易行为负责。对于医疗器械类产品,请先查证核实企业经营资质和医疗器械产品注册证情况。
文献和实验该产品被引用文献
[IF={{ 5.6 }}] {Wenxia Li. et al. Transcriptome Analysis Revealed Potential Genes of Skeletal Muscle Thermogenesis in Mashen Pigs and Large White Pigs under Cold Stress. INT J MOL SCI. 2023 Jan;24(21):15534} {WB} {Porcine}
技术资料暂无技术资料 索取技术资料
文献支持
Serca2/SERCA2 ATPase Rabbit pAb(bs-6693R)-50ul/100ul/200ul
¥1180 - 2800






