相关产品推荐更多 >

GNG5 Rabbit pAb, HRP conjugated(bs-13469R-HRP)-100ul
¥2980
Contactin 1 Rabbit pAb, PE-Cy5.5 conjugated(bs-13973R-PE-Cy5.5)-100ul
¥2980
Anti-human Sphingosine-1-phosphate (Expression DD patent Anti-SIP Biosimilar)(BIO0531SM)-1mg/5mg/20mg
¥3200
BrdU(Proliferation Marker) Mouse mAb, RBITC conjugated(bsm-0917M-RBITC)-100ul
¥2980
Synaptophysin Rabbit pAb(bs-8845R)-50ul/100ul/200ul
¥1180
万千商家帮你免费找货
0 人在求购买到急需产品
- 详细信息
- 文献和实验
- 技术资料
- 应用范围:
产品信息以Bioss网站为准
- 规格:
50ul/100ul/200ul
| 规格: | 50ul | 产品价格: | ¥1180.0 |
|---|---|---|---|
| 规格: | 100ul | 产品价格: | ¥1980.0 |
| 规格: | 200ul | 产品价格: | ¥2800.0 |
| 产品编号 | bs-3809R |
| 英文名称 | thymidine phosphorylase Rabbit pAb |
| 中文名称 | 胸苷磷酸化酶抗体 |
| 英文别名 | ECGF 1; PDEGF; ECGF1; Endothelial cell growth factor 1; Endothelial cell growth factor 1 platelet derived; Gliostatin; hPD ECGF; MNGIE; PD ECGF; PDECGF; PDEGF; Platelet derived endothelial growth factor; TdRPase; TP; TYMP; Thymidine phosphorylase; TYPH_HUMAN; TdRPase. |
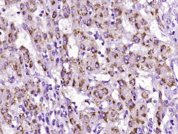
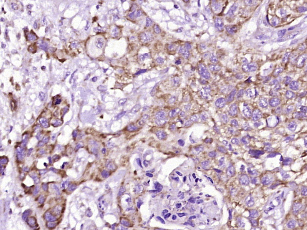
| 产品应用 | WB=1:500-2000, IHC-P=1:100-500, IHC-F=1:100-500, IF=1:100-500 Not yet tested in other applications. |
| 交叉反应 | Human |
| 抗体来源 | Rabbit |
| 免疫原 | KLH conjugated synthetic peptide derived from human Thymidine Phosphorylase |
| 亚型 | IgG |
| 性状 | Liquid |
| 纯化方法 | affinity purified by Protein A |
| 克隆类型 | Polyclonal |
| 理论分子量 | 50 kDa |
| 浓度 | 1mg/ml |
| 储存液 | 0.01M TBS (pH7.4) with 1% BSA, 0.02% Proclin300 and 50% Glycerol. |
| 研究领域 | Cardiovascular > Angiogenesis > Endothelial Cell Markers Cardiovascular > Angiogenesis > Growth Factors Cardiovascular > Atherosclerosis > Ischemia / Reperfusion Cardiovascular > Heart > Apoptosis Epigenetics and Nuclear Signaling > Chromatin Modifying Enzymes > Phosphorylation Signal Transduction > Growth Factors/Hormones > FGF |
| 亚基 | Homodimer. |
| 相似性 | Belongs to the thymidine/pyrimidine-nucleoside phosphorylase family. |
| 功能 | May have a role in maintaining the integrity of the blood vessels. Has growth promoting activity on endothelial cells, angiogenic activity in vivo and chemotactic activity on endothelial cells in vitro. Catalyzes the reversible phosphorolysis of thymidine. The produced molecules are then utilized as carbon and energy sources or in the rescue of pyrimidine bases for nucleotide synthesis. |
| 保存条件 | Shipped at 4℃. Store at -20℃ for one year. Avoid repeated freeze/thaw cycles. |
| 注意事项 | This product as supplied is intended for research use only, not for use in human, therapeutic or diagnostic applications. |
| 背景资料 | In the presence of inorganic orthophosphate, the platelet-derived endothelial growth factor (PD-ECGF) thymidine phosphorylase (TP) (gliostatin) catalyses the reversible phospholytic cleavage of thymidine and deoxyuridine to their corresponding bases and 2-deoxyribose-1-phosphate. It is both chemotactic and mitogenic for endothelial cells and a non-heparin binding angiogenic factor present in platelets. It is also involved in transformation of fluoropyrimidines, cytotoxic agents used in the treatment of a variety of malignancies, into active cytotoxic metabolites. |
| 应用 | 推荐稀释比例 |
| {WB} | {1:500-2000} |
| {IHC-P} | {1:100-500} |
| {IHC-F} | {1:100-500} |
| {IF} | {1:100-500} |



A549(Human) Cell Lysate at 30 ug
Primary: Anti-thymidine phosphorylase (bs-3809R) at 1/1000 dilution
Secondary: IRDye800CW Goat Anti-Rabbit IgG at 1/20000 dilution
Predicted band size: 50 kD
Observed band size: 50 kD
风险提示:丁香通仅作为第三方平台,为商家信息发布提供平台空间。用户咨询产品时请注意保护个人信息及财产安全,合理判断,谨慎选购商品,商家和用户对交易行为负责。对于医疗器械类产品,请先查证核实企业经营资质和医疗器械产品注册证情况。
文献和实验[IF={{ 7.514 }}] {Yi Wu. et al. Selective transportation and energy homeostasis regulation of dietary advanced glycation end-products in human intestinal Caco-2 cells. FOOD CHEM. 2022 Oct;391:133284} {IF,FCM} {Human}
技术资料暂无技术资料 索取技术资料






