相关产品推荐更多 >

phospho-HSP90 alpha (Thr5 + Thr7) Rabbit pAb(bs-3181R)-50ul/100ul/200ul
¥1180
Histone H4 (Acetyl K16) Rabbit pAb, AP conjugated(bs-4707R-AP)-100ul
¥2980
DEDD2 Rabbit pAb, Biotin conjugated(bs-7063R-Bio)-100ul
¥2980
Bid Rabbit pAb, BF350 conjugated(bs-1153R-BF350)-100ul
¥2980
CD69 Rabbit pAb(bs-2499R)-50ul/100ul/200ul
¥1180
万千商家帮你免费找货
0 人在求购买到急需产品
- 详细信息
- 文献和实验
- 技术资料
- 应用范围:
产品信息以Bioss网站为准
- 规格:
50ul/100ul/200ul
| 规格: | 50ul | 产品价格: | ¥1180.0 |
|---|---|---|---|
| 规格: | 100ul | 产品价格: | ¥1980.0 |
| 规格: | 200ul | 产品价格: | ¥2800.0 |
| 产品编号 | bs-10648R |
| 英文名称 | Cardiac Troponin T Rabbit pAb |
| 中文名称 | 心肌特异性肌钙蛋白T抗体 |
| 英文别名 | Cardiac muscle troponin T; Cardiomyopathy dilated 1D(autosomal dominant); Cardiomyopathy hypertrophic 2; CMD1D; CMH2; CMPD2; cTnT; LVNC6; MGC3889; OTTHUMP00000033864; OTTHUMP00000033865; OTTHUMP00000033866; OTTHUMP00000033867; OTTHUMP00000033870; OTTHUMP00000218095; RCM3; TNNT 2; TNNT2; TNNT2_HUMAN; TnTC; Troponin T cardiac muscle; Troponin T type 2(cardiac); Troponin T type 2 cardiac; Troponin T, cardiac muscle; Troponin T2; Troponin T2 cardiac. |
| 产品应用 | WB=1:500-2000, IHC-P=1:100-500, IHC-F=1:100-500, ICC/IF=1:100-500, IF=1:100-500, Flow-Cyt=1μg/Test Not yet tested in other applications. |
| 交叉反应 | Human, Mouse, Rat, heart, heart, heart, heart (Dog, Pig, Cow) |
| 抗体来源 | Rabbit |
| 免疫原 | KLH conjugated synthetic peptide derived from human Cardiac Troponin T |
| 亚型 | IgG |
| 性状 | Liquid |
| 纯化方法 | affinity purified by Protein A |
| 克隆类型 | Polyclonal |
| 理论分子量 | 36 kDa |
| 浓度 | 1mg/ml |
| 储存液 | 0.01M TBS (pH7.4) with 1% BSA, 0.02% Proclin300 and 50% Glycerol. |
| 研究领域 | Cardiovascular > Cardiovascular Markers > Cell Markers > Cardiomyocytes Cardiovascular > Heart > Contractility > Contractile Proteins > Troponin Signal Transduction > Cytoskeleton / ECM > Cytoskeleton > Microfilaments > Actin etc > Troponin Stem Cells > Mesenchymal Stem Cells > Myogenesis |
| 亚细胞定位 | Cytoplasm. |
| 组织特异性 | Heart. The fetal heart shows a greater expression in the atrium than in the ventricle, while the adult heart shows a greater expression in the ventricle than in the atrium. Isoform 6 predominates in normal adult heart. Isoforms 1, 7 and 8 are expressed in fetal heart. Isoform 7 is also expressed in failing adult heart. |
| 相似性 | Belongs to the troponin T family. |
| 功能 | Troponin T is the tropomyosin-binding subunit of troponin, the thin filament regulatory complex which confers calcium-sensitivity to striated muscle actomyosin ATPase activity. |
| 保存条件 | Shipped at 4℃. Store at -20℃ for one year. Avoid repeated freeze/thaw cycles. |
| 注意事项 | This product as supplied is intended for research use only, not for use in human, therapeutic or diagnostic applications. |
| 背景资料 | The protein encoded by this gene is the tropomyosin-binding subunit of the troponin complex, which is located on the thin filament of striated muscles and regulates muscle contraction in response to alterations in intracellular calcium ion concentration. Mutations in this gene have been associated with familial hypertrophic cardiomyopathy as well as with dilated cardiomyopathy. Transcripts for this gene undergo alternative splicing that results in many tissue-specific isoforms, however, the full-length nature of some of these variants has not yet been determined. [provided by RefSeq]. |
| 应用 | 推荐稀释比例 |
| {WB} | {1:500-2000} |
| {IHC-P} | {1:100-500} |
| {IHC-F} | {1:100-500} |
| {ICC/IF} | {1:100-500} |
| {IF} | {1:100-500} |
| {Flow-Cyt} | {1μg/Test} |

H9C2(Rat) Cell Lysate at 30 ug
Primary: Anti-alpha smooth muscle Actin (bs-10648R) at 1/500 dilution
Secondary: IRDye800CW Goat Anti-Rabbit IgG at 1/20000 dilution
Predicted band size: 36 kD
Observed band size: 36 kD

Primary Antibody (green line): Rabbit Anti-TNNT2 antibody (bs-10648R)
Dilution: 1μg /10^6 cells;
Isotype Control Antibody (orange line): Rabbit IgG .
Secondary Antibody : Goat anti-rabbit IgG-AF647
Dilution: 1μg /test.
Protocol
The cells were fixed with 4% PFA (10min at room temperature)and then permeabilized with 0.1% PBST for 20 min at-20℃. The cells were then incubated in 5%BSA to block non-specific protein-protein interactions for 30 min at at room temperature .Cells stained with Primary Antibody for 30 min at room temperature. The secondary antibody used for 40 min at room temperature. Acquisition of 20,000 events was performed.

Dilution: 1:400;
Incubation: Anti-Cardiac Troponin T Antibody, unconjugated (bs-10648R);
DAPI was used to stain the cell nuclei.
The image is provided by Tongji University.

Concebtration: 2μg/10^6 cells
Incubation conditions: Avoid light , 30 minutes on the ice.

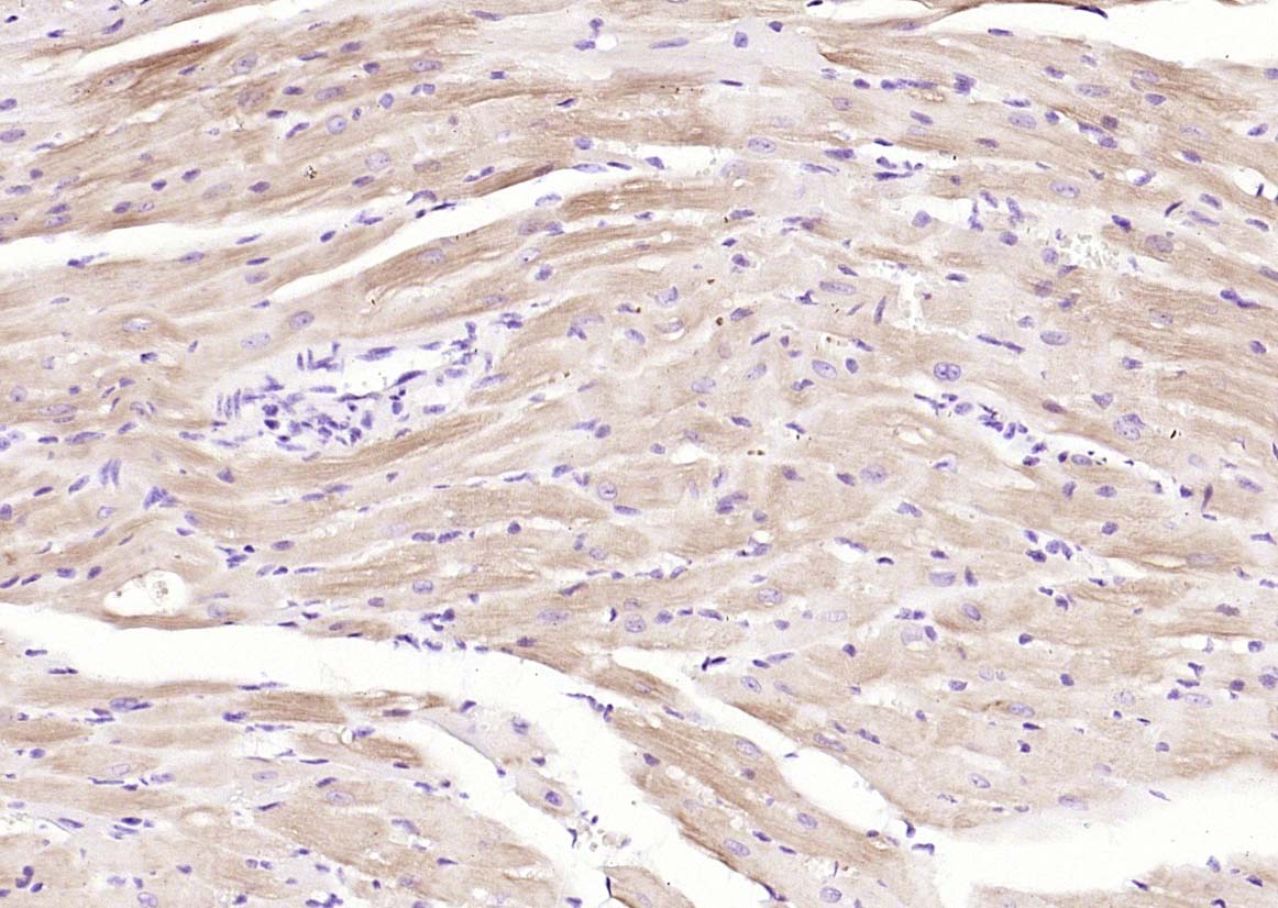
Antigen retrieval: citrate buffer ( 0.01M, pH 6.0 ), Boiling bathing for 15min; Block endogenous peroxidase by 3% Hydrogen peroxide for 30min; Blocking buffer (normal goat serum,C-0005) at 37℃ for 20 min;
Incubation: Anti-TNNT2 Polyclonal Antibody, Unconjugated(bs-10648R) 1:500, overnight at 4°C, followed by conjugation to the secondary antibody(SP-0023) and DAB(C-0010) staining

Antigen retrieval: citrate buffer ( 0.01M, pH 6.0 ), Boiling bathing for 15min; Blocking buffer (normal goat serum,C-0005) at 37℃ for 20 min;
Incubation: Anti-TNNT2 Polyclonal Antibody, Unconjugated(bs-R) 1:500, overnight at 4°C; The secondary antibody was Goat Anti-Rabbit IgG, Cy3 conjugated(bs-0295G-Cy3)used at 1:200 dilution for 40 minutes at 37°C. DAPI(5ug/ml,blue,C-0033) was used to stain the cell nuclei

风险提示:丁香通仅作为第三方平台,为商家信息发布提供平台空间。用户咨询产品时请注意保护个人信息及财产安全,合理判断,谨慎选购商品,商家和用户对交易行为负责。对于医疗器械类产品,请先查证核实企业经营资质和医疗器械产品注册证情况。
文献和实验[IF={{ 9.531 }}] {Wenhao Han. et al. Targeting Myocardial Mitochondria-STING-Polyamine Axis Prevents Cardiac Hypertrophy in Chronic Kidney Disease. JACC-BASIC TRANSL SC. 2022 Aug;:} {IF} {Mouse}
[IF={{ 64.8 }}] {Lai Yiwei. et al. Multimodal cell atlas of the ageing human skeletal muscle. NATURE. 2024 Apr;629(8010):154-164} {IF} {Human}
[IF={{ 6.4 }}] {Ichimura, Taro. et al.Volumetric trans-scale imaging of massive quantity of heterogeneous cell populations in centimeter-wide tissue and embryo.ELIFE.2025 Feb 3:13:RP93633.} {Immunocytochemical staining} {Homo sapiens}
[IF={{ 4.9 }}] {Jingni Li. et al. Selenium alleviates cadmium-induced Golgi stress via HSPB7/GM130/CX-43 axis in the heart of sheep. J NUTR BIOCHEM. 2025 Jun;:109993} {WB} {Sheep}
[IF={{ 4.1 }}] {Dr. Rabia Onbas. et al. Biopatterning of 3D Cellular Model by Contactless Magnetic Manipulation for Cardiotoxicity Screening. Tissue Engineering Part A. 2023 Nov 17} {IF} {Mouse}
Myofilament Protein Phosphorylation by PKC in Genetically Engineered Adult Cardiac Myocytes
in myocytes now makes it possible to investigate the relative phosphorylation of a given contractile protein as it resides within the intact myofilament. Contractile proteins, including troponin I (TnI), troponin T (TnT), myosin light chain 2 (MLC
Encapsulation of Cardiomyocytes in a Fibrin Hydrogel for Cardiac Tissue Engineering
Syedain, Z.H., Weinberg, J.S., & Tranquillo, R.T. Cyclic distension of fibrin-based tissue constructs: evidence of adaptation during growth of engineered connective tissue. Proceedings of the National Academy of Sciences of the United States of America
-rich region] of the rat cardiac troponin T promoter. In GMSA, the specificity of the binding of trans-acting factor to labeled DNA probe should be verified by the addition of unlabeled probe in the reaction mixture. The migratory property of DNA-protein
技术资料暂无技术资料 索取技术资料






