相关产品推荐更多 >
万千商家帮你免费找货
0 人在求购买到急需产品
- 详细信息
- 询价记录
- 文献和实验
- 技术资料
- 应用范围:
产品信息以Bioss网站为准
- 规格:
50ul/100ul/200ul
| 规格: | 50ul | 产品价格: | ¥1180.0 |
|---|---|---|---|
| 规格: | 100ul | 产品价格: | ¥1980.0 |
| 规格: | 200ul | 产品价格: | ¥2800.0 |
| 产品编号 | bs-0075R |
| 英文名称 | Nociceptin Rabbit pAb |
| 中文名称 | 孤菲肽/痛敏肽抗体 |
| 英文别名 | PNOC; N/OFQ; N23K; N23K/N27K; Nociceptin, included; Npnc1; OFQ; OFQ/N; Orphanin FQ; PPNOC; prepronociceptin; Propronociceptin; PNOC_HUMAN. |
| 产品应用 | WB=1:500-2000, IHC-P=1:100-500, IHC-F=1:100-500, IF=1:100-500 Not yet tested in other applications. |
| 交叉反应 | Rat (Human, Mouse, Dog, Pig, Cow, Horse, Rabbit) |
| 抗体来源 | Rabbit |
| 免疫原 | KLH conjugated synthetic peptide derived from human Nociceptin |
| 亚型 | IgG |
| 性状 | Liquid |
| 纯化方法 | affinity purified by Protein A |
| 克隆类型 | Polyclonal |
| 理论分子量 | 20 kDa |
| 浓度 | 1mg/ml |
| 储存液 | 0.01M TBS (pH7.4) with 1% BSA, 0.02% Proclin300 and 50% Glycerol. |
| 研究领域 | Neuroscience > Neurotransmitter > Neuropeptides > Opioids Neuroscience > Sensory System > Somatosensory system > Nociception |
| 亚细胞定位 | Secreted. |
| 组织特异性 | Predominantly in the brain and spinal cord. |
| 相似性 | Belongs to the opioid neuropeptide precursor family. |
| 功能 | Nociceptin is the ligand of the opioid receptor-like receptor (OPRL1). It may act as a transmitter in the brain by modulating nociceptive and locomotor behavior. May be involved in neuronal differentiation and development (By similarity). |
| 保存条件 | Shipped at 4℃. Store at -20℃ for one year. Avoid repeated freeze/thaw cycles. |
| 注意事项 | This product as supplied is intended for research use only, not for use in human, therapeutic or diagnostic applications. |
| 背景资料 | Nociceptin/orphanin FQ (N/OFQ), a 17-amino acid neuropeptide, is the endogenous ligand for the nociceptin receptor (NOP, ORL-1), and initiates its function to act on numerous brain activities such as pain sensation and fear learning. It is derived from the prepronociceptin protein, as are a further 2 peptides, nocistatin & NocII, which inhibit the N/OFQ receptor function. Nociceptin itself acts as a potent anti-analgesic, effectively counteracting the effect of pain-relievers. The gene coding for prepronociceptin is located on Ch8p21 in humans. Nociceptin acts at the Nociceptin receptor (NOP receptor) formerly known as ORL1. |
| 应用 | 推荐稀释比例 |
| {WB} | {1:500-2000} |
| {IHC-P} | {1:100-500} |
| {IHC-F} | {1:100-500} |
| {IF} | {1:100-500} |

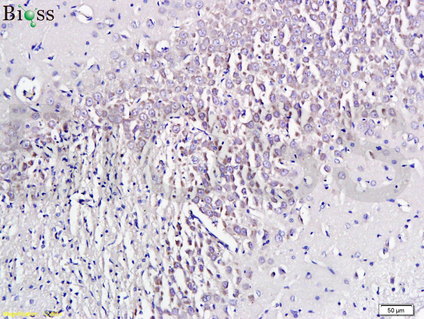
Antigen retrieval: citrate buffer ( 0.01M, pH 6.0 ), Boiling bathing for 15min; Block endogenous peroxidase by 3% Hydrogen peroxide for 30min; Blocking buffer (normal goat serum,C-0005) at 37℃ for 20 min;
Incubation: Anti-Nociceptin Polyclonal Antibody, Unconjugated(bs-0075R) 1:300, overnight at 4°C, followed by conjugation to the secondary antibody(SP-0023) and DAB(C-0010) staining

Brain(Rat) lysate at 30ug;
Liver(Rat) lysate at 30ug;
Primary: Anti-Nociceptin(bs-0075R) at 1:200 dilution;
Secondary: HRP conjugated Goat-Anti-Rabbit IgG(bs-0295G-HRP) at 1: 3000 dilution;
Predicted band size : 20kD
Observed band size : 20kD
风险提示:丁香通仅作为第三方平台,为商家信息发布提供平台空间。用户咨询产品时请注意保护个人信息及财产安全,合理判断,谨慎选购商品,商家和用户对交易行为负责。对于医疗器械类产品,请先查证核实企业经营资质和医疗器械产品注册证情况。
- 作者
- 内容
- 询问日期
文献和实验[IF={{ 1.931 }}] {Lyu J et al. Botulinum toxin A alleviates orofacial nociception induced by orthodontic tooth movement through nociceptin/orphanin-FQ pathway in rats. Arch Oral Biol . 2020 Sep;117:104817.} {WB} {Rat}
= NAL), appears to form upon oxidative cyclization of the nonfluorescent 2:1 lysine-HNE Michael adduct-Schiff base cross-link (Scheme 1). Polyclonal antibody (PAb) to the NAL-HNE fluorophore was raised in rabbit and found to be highly specific
/96T 2000/3000 进口分装 F0021 骨成型蛋白-9(BMP-9) ELISA 48T/96T 2000/3000 进口分装 F0022 BMP-R1A ELISA 48T/96T 2000/3000 进口分装 F0023 BMP-R2 ELISA 48T/96T 2000/3000 进口分装 F0024 BTC ELISA 48T/96T 2000/3100 进口分装 F0030 CAE-Ab ELISA 96
/96T 2000/3000 进口分装 F0021 骨成型蛋白-9(BMP-9) ELISA 48T/96T 2000/3000 进口分装 F0022 BMP-R1A ELISA 48T/96T 2000/3000 进口分装 F0023 BMP-R2 ELISA 48T/96T 2000/3000 进口分装 F0024 BTC ELISA 48T/96T 2000/3100 进口分装 F0030 CAE-Ab ELISA 96
技术资料暂无技术资料 索取技术资料









