相关产品推荐更多 >

CD14 Rabbit pAb(bs-1192R)-50ul/100ul
¥1180
Synaptotagmin XII Rabbit pAb, Biotin conjugated(bs-11398R-Bio)-100ul
¥2980
NARS2 Rabbit pAb, AP conjugated(bs-19024R-AP)-100ul
¥2980
MAP2 Rabbit pAb, Cy5 conjugated(bs-1369R-Cy5)-100ul
¥2980
phospho-IKK alpha (Ser176) Rabbit pAb, BF680 conjugated(bs-18127R-BF680)-100ul
¥2980
万千商家帮你免费找货
0 人在求购买到急需产品
- 详细信息
- 文献和实验
- 技术资料
- 应用范围:
产品信息以Bioss网站为准
- 规格:
50ul/100ul/200ul
| 规格: | 50ul | 产品价格: | ¥1180.0 |
|---|---|---|---|
| 规格: | 100ul | 产品价格: | ¥1980.0 |
| 规格: | 200ul | 产品价格: | ¥2800.0 |
| 产品编号 | bs-9449R |
| 英文名称 | TET2 Rabbit pAb |
| 中文名称 | 甲基双加氧酶TET2抗体 |
| 英文别名 | Tet oncogene family member 2; Methylcytosine dioxygenase TET2; Probable methylcytosine dioxygenase TET2; Protein Ayu17 449; Tet 2; Tet oncogene 2; Tet oncogene family member 2; TET2_HUMAN. |
| 产品应用 | IHC-P=1:100-500, IHC-F=1:100-500, ICC/IF=1:100-500, IF=1:50-200, Flow-Cyt=2ug/Test Not yet tested in other applications. |
| 交叉反应 | Human, Mouse, Rat, human tonsil, Cerebrum, Cerebrum, Cerebrum, Cerebrum (Chicken, Dog, Pig, Cow, Horse, Sheep, GuineaPig) |
| 抗体来源 | Rabbit |
| 免疫原 | KLH conjugated synthetic peptide derived from human TET2 |
| 亚型 | IgG |
| 性状 | Liquid |
| 纯化方法 | affinity purified by Protein A |
| 克隆类型 | Polyclonal |
| 理论分子量 | 224 kDa |
| 浓度 | 1mg/ml |
| 储存液 | 0.01M TBS (pH7.4) with 1% BSA, 0.02% Proclin300 and 50% Glycerol. |
| 研究领域 | Epigenetics and Nuclear Signaling > DNA methylation > Methylated DNA Associated |
| 组织特异性 | Broadly expressed. Highly expressed in hematopoietic cells; highest expression observed in granulocytes. Expression is reduced in granulocytes from peripheral blood of patients affected by myelodysplastic syndromes. |
| 相似性 | Belongs to the TET family. |
| 功能 | Catalyzes the conversion of methylcytosine (5mC) to 5-hydroxymethylcytosine (hmC). Plays an important role in myelopoiesis. The clear function of 5-hydroxymethylcytosine (hmC) is still unclear but it may influence chromatin structure and recruit specific factors or may constitute an intermediate component in cytosine demethylation. |
| 保存条件 | Shipped at 4℃. Store at -20℃ for one year. Avoid repeated freeze/thaw cycles. |
| 注意事项 | This product as supplied is intended for research use only, not for use in human, therapeutic or diagnostic applications. |
| 背景资料 | TET2 is a 2,002 amino acid protein that is expressed in a variety of tissues, including brain, kidney, heart, lung, muscle and stomach, and exists as three alternatively spliced isoforms. Murine TET2 is also known as protein Ayu17-449 and is thought to play a role in proper kidney development and overall kidney function, as well as in hormone secretion throughout the body. The gene encoding human TET2 maps to chromosome 4 and the gene encoding mouse TET2 maps to chromosome 3. Chromosome 4 encodes nearly 6% of the human genome and has the largest gene deserts (regions of the genome with no protein encoding genes) of all of the human chromosomes. Defects in some of the genes located on chromosome 4 are associated with Huntington's disease, Ellis-van Creveld syndrome, methylmalonic acidemia and polycystic kidney disease. Murine chromosome 3 houses over 1,300 genes, some of which express alcohol dehydrogenases (ADHs), sodium channel modifiers (SCNMs), interleukins (ILs) and Insulin receptor-related (IRR) proteins. Defects in chromosome 3-localized genes are associated with hereditary congenital facial paresis (HCFP), increased susceptibility to spontaneous colitis, HIV-1-associated nephropathy, decreased renal vascular health and malignant sporadic pancreatic endocrine tumors. |
| 应用 | 推荐稀释比例 |
| {IHC-P} | {1:100-500} |
| {IHC-F} | {1:100-500} |
| {ICC/IF} | {1:100-500} |
| {IF} | {1:50-200} |
| {Flow-Cyt} | {2ug/Test} |






Primary Antibody (green line): Rabbit Anti-TET2 antibody (bs-9449R)
Dilution:2ug/Test;
Secondary Antibody(white blue line): Goat anti-rabbit IgG-FITC
Dilution: 0.5ug/Test.
Isotype control(orange line): Normal Rabbit IgG
Protocol
The cells were fixed with 4% PFA (10min at room temperature)and then permeabilized with 90% ice-cold methanol for 20 min at -20℃, The cells were then incubated in 5%BSA to block non-specific protein-protein interactions for 30 min at room temperature .Cells stained with Primary Antibody for 30 min at room temperature. The secondary antibody used for 40 min at room temperature. Acquisition of 20,000 events was performed.
风险提示:丁香通仅作为第三方平台,为商家信息发布提供平台空间。用户咨询产品时请注意保护个人信息及财产安全,合理判断,谨慎选购商品,商家和用户对交易行为负责。对于医疗器械类产品,请先查证核实企业经营资质和医疗器械产品注册证情况。
文献和实验[IF={{ 6.61 }}] {Bras et al. Adventitial Sca1+ Cells Transduced With ETV2 Are Committed to the Endothelial Fate and Improve Vascular Remodeling After Injury. (2018) Arterioscler.Thromb.Vasc.Biol. 38:232-244} {Other} {}
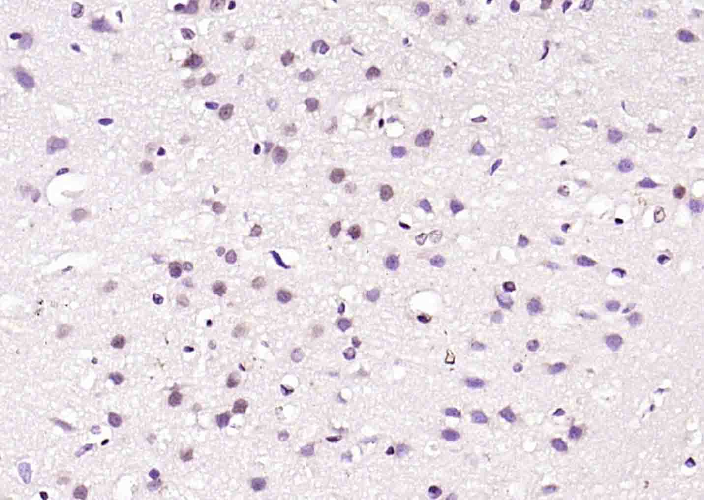
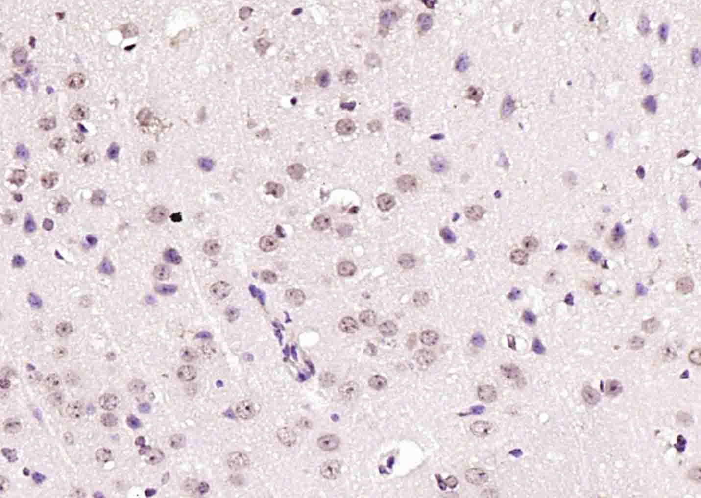
[IF={{ 2.9 }}] {Fuyi Luo. et al. Simultaneous blastic plasmacytoid dendritic cell neoplasm and myelofibrosis: A case report. ONCOL LETT. 2024 May;27(5):1-14} {IHC} {Human}
= NAL), appears to form upon oxidative cyclization of the nonfluorescent 2:1 lysine-HNE Michael adduct-Schiff base cross-link (Scheme 1). Polyclonal antibody (PAb) to the NAL-HNE fluorophore was raised in rabbit and found to be highly specific
GE Healthcare Benzamidine Sepharose™ 6B is p-aminobenzamidine covalently attached to Sepharose 6B by the epoxy coupling method. p-Aminobenzamidine (PAB), is a synthetic inhibitor of trypsin-like serine protease. Trypsin and trypsin
Nucleic Acid Programmable Protein Arrays: Versatile Tools for Array‐Based Functional Protein Studies
.g., Sigma) 50 mg/ml bis‐sulfosuccinimdylsuberate (BS3 ;Pierce, cat. no. PI 21580) in dimethylsulfoxide (DMSO) 5 mg/ml
技术资料暂无技术资料 索取技术资料





