相关产品推荐更多 >

WISP2 Rabbit pAb(bs-6132R)-50ul/100ul/200ul
¥1180
phospho-P53 (Thr55) Rabbit pAb, BF750 conjugated(bs-5596R-BF750)-100ul
¥2980
MAGEA2 Rabbit pAb(bs-20242R)-50ul/100ul/200ul
¥1180
RHOG Rabbit pAb, PE-Cy7 conjugated(bs-10466R-PE-Cy7)-100ul
¥2980
SLC25A3 Rabbit pAb, BF555 conjugated(bs-19814R-BF555)-100ul
¥2980
万千商家帮你免费找货
0 人在求购买到急需产品
- 详细信息
- 文献和实验
- 技术资料
- 应用范围:
产品信息以Bioss网站为准
- 规格:
50ul/100ul/200ul
| 规格: | 50ul | 产品价格: | ¥1180.0 |
|---|---|---|---|
| 规格: | 100ul | 产品价格: | ¥1980.0 |
| 规格: | 200ul | 产品价格: | ¥2800.0 |
| 产品编号 | bs-0547R |
| 英文名称 | Endostatin Rabbit pAb |
| 中文名称 | 内皮抑素/内皮他丁抗体 |
| 英文别名 | Collagen XV alpha 1; alpha 1 collagen type 18(XVIII)(COL18A1); alpha 1 type XVIII collagen; COL18A1; Collagen alpha 1(XVIII) chain; Collagen type XVIII alpha 1; FLJ27325; KNO; MGC74745; COL18A1; COIA1_HUMAN; Antiangiogenic agent; COIA1_HUMAN; COL15A1; COL18A1; Collagen alpha 1(XV) chain; Collagen alpha-1(XV) chain; Collagen type XV proteoglycan; Collagen type XVIII alpha 1; Collagen XV, alpha 1 polypeptide; Collagen, type XV, alpha 1; Endostatin; Endostatin XV; FLJ34914; FLJ38566; KNO1; KS; Multi functional protein MFP; OTTHUMP00000021782; OTTHUMP00000115472; OTTHUMP00000115473. |
| 产品应用 | WB=1:500-2000, IHC-P=1:100-500, IHC-F=1:100-500, IF=1:100-500 Not yet tested in other applications. |
| 交叉反应 | Human, Mouse (Rat) |
| 抗体来源 | Rabbit |
| 免疫原 | KLH conjugated synthetic peptide derived from human Endostatin |
| 亚型 | IgG |
| 性状 | Liquid |
| 纯化方法 | affinity purified by Protein A |
| 克隆类型 | Polyclonal |
| 理论分子量 | 20/190 kDa |
| 浓度 | 1mg/ml |
| 储存液 | 0.01M TBS (pH7.4) with 1% BSA, 0.02% Proclin300 and 50% Glycerol. |
| 研究领域 | Cancer > Invasion/microenvironment > Angiogenesis > Angiogenic inhibitory factors Cardiovascular > Angiogenesis > Inhibitors Signal Transduction > Cytoskeleton / ECM > Extracellular Matrix > ECM Proteins > Collagen |
| 亚细胞定位 | Secreted, extracellular space, extracellular matrix. |
| 组织特异性 | Present in multiple organs with highest levels in liver, lung and kidney. |
| 翻译后修饰 | Prolines at the third position of the tripeptide repeating unit (G-X-Y) are hydroxylated in some or all of the chains. |
| 相似性 | Belongs to the multiplexin collagen family. Contains 1 FZ (frizzled) domain. Contains 1 TSP N-terminal (TSPN) domain. |
| 功能 | COLA18A probably plays a major role in determining the retinal structure as well as in the closure of the neural tube.
Endostatin potently inhibits endothelial cell proliferation and angiogenesis. May inhibit angiogenesis by binding to the heparan sulfate proteoglycans involved in growth factor signaling. |
| 保存条件 | Shipped at 4℃. Store at -20℃ for one year. Avoid repeated freeze/thaw cycles. |
| 注意事项 | This product as supplied is intended for research use only, not for use in human, therapeutic or diagnostic applications. |
| 背景资料 | This gene encodes the alpha chain of type XVIII collagen. This collagen is one of the multiplexins, extracellular matrix proteins that contain multiple triple-helix domains (collagenous domains) interrupted by non-collagenous domains. The proteolytically produced C-terminal fragment of type XVIII collagen is endostatin, a potent antiangiogenic protein. Mutations in this gene are associated with Knobloch syndrome. The main features of this syndrome involve retinal abnormalities so type XVIII collagen may play an important role in retinal structure and in neural tube closure. Two transcript variants encoding different isoforms have been found for this gene. |
| 应用 | 推荐稀释比例 |
| {WB} | {1:500-2000} |
| {IHC-P} | {1:100-500} |
| {IHC-F} | {1:100-500} |
| {IF} | {1:100-500} |

Liver (Mouse) Lysate at 40 ug
Primary: Anti-Endostatin (bs-0547R) at 1/500 dilution
Secondary: IRDye800CW Goat Anti-Rabbit IgG at 1/20000 dilution
Predicted band size: 20/190 kD
Observed band size: 155 kD

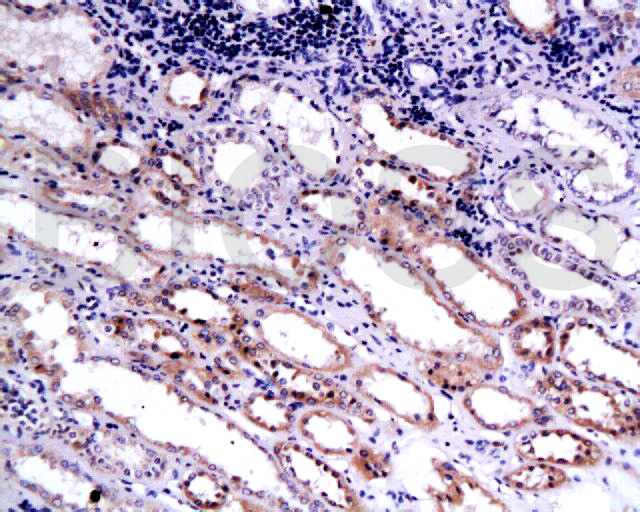
Antigen retrieval: citrate buffer ( 0.01M, pH 6.0 ), Boiling bathing for 15min; Block endogenous peroxidase by 3% Hydrogen peroxide for 30min; Blocking buffer (normal goat serum,C-0005) at 37℃ for 20 min;
Incubation: Anti-Endostatin Polyclonal Antibody, Unconjugated(bs-0547R) 1:200, overnight at 4°C, followed by conjugation to the secondary antibody(SP-0023) and DAB(C-0010) staining
风险提示:丁香通仅作为第三方平台,为商家信息发布提供平台空间。用户咨询产品时请注意保护个人信息及财产安全,合理判断,谨慎选购商品,商家和用户对交易行为负责。对于医疗器械类产品,请先查证核实企业经营资质和医疗器械产品注册证情况。
文献和实验[IF={{ 5.9 }}] {Duliurui Huang. et al. Analysis of the heterogeneity and complexity of murine extraorbital lacrimal gland via single-cell RNA sequencing. OCUL SURF. 2024 Jun;:} {IF} {Mouse}
[IF={{ 5.4 }}] {Cheng Yan. et al. Endostatin-expressing endometrial mesenchymal stem cells inhibit angiogenesis in endometriosis through the miRNA-21-5p/TIMP3/PI3K/Akt/mTOR pathway. STEM CELL TRANSL MED. 2024 Nov;:} {IHC} {Mouse}
[IF={{ 4.1 }}] {Imoto, Keisuke, et al. "Endostatin is protective against monocrotaline-induced right heart disease through the inhibition of T-type Ca2+ channel."Pflügers Archiv-European Journal of Physiology (2016): 1-12.} {IHC} {="Rat"}
[IF={{ 1.7 }}] {Heng Jiang. et al. miR-9 promotes canine endothelial-like cell migration by targeting COL15A1. VET MED SCI. 2023 Dec;10(1):e1339} {WB} {Dog}
[IF={{ 1.69 }}] {GAO, DAN, et al. "Effect of peritoneal dialysis on expression of vascular endothelial growth factor, basic fibroblast growth factor and endostatin of the peritoneum in peritoneal dialysis patients." Nephrology 16.8 (2011): 736-742.} {WB} {="Human"}
= NAL), appears to form upon oxidative cyclization of the nonfluorescent 2:1 lysine-HNE Michael adduct-Schiff base cross-link (Scheme 1). Polyclonal antibody (PAb) to the NAL-HNE fluorophore was raised in rabbit and found to be highly specific
GE Healthcare Benzamidine Sepharose™ 6B is p-aminobenzamidine covalently attached to Sepharose 6B by the epoxy coupling method. p-Aminobenzamidine (PAB), is a synthetic inhibitor of trypsin-like serine protease. Trypsin and trypsin
/96T 2000/3000 进口分装 F0021 骨成型蛋白-9(BMP-9) ELISA 48T/96T 2000/3000 进口分装 F0022 BMP-R1A ELISA 48T/96T 2000/3000 进口分装 F0023 BMP-R2 ELISA 48T/96T 2000/3000 进口分装 F0024 BTC ELISA 48T/96T 2000/3100 进口分装 F0030 CAE-Ab ELISA 96
技术资料暂无技术资料 索取技术资料






