相关产品推荐更多 >

LFABP/FABP-1 Rabbit pAb(bs-23768R)-50ul/100ul/200ul
¥1180
PSG6 Rabbit pAb, Biotin conjugated(bs-19457R-Bio)-100ul
¥2980
MIIP Rabbit pAb, HRP conjugated(bs-5842R-HRP)-100ul
¥2980
phospho-TIRAP (Tyr86) Rabbit pAb, BF680 conjugated(bs-7562R-BF680)-100ul
¥2980
mouse CD86 Rat mAb, FITC conjugated(bsm-30162A-FITC)-100T/50T/25T
¥680
万千商家帮你免费找货
0 人在求购买到急需产品
- 详细信息
- 技术资料
- 应用范围:
产品信息以Bioss网站为准
- 规格:
50ul/100ul/200ul
| 规格: | 50ul | 产品价格: | ¥1180.0 |
|---|---|---|---|
| 规格: | 100ul | 产品价格: | ¥1980.0 |
| 规格: | 200ul | 产品价格: | ¥2800.0 |
| 产品编号 | bs-0574R |
| 英文名称 | Dynamin 2 Rabbit pAb |
| 中文名称 | 酶动力蛋白2抗体 |
| 英文别名 | CMTDI1; CMTDIB; Cytoskeletal protein; DNM 2; DNM2; DYN 2; DYN II; DYN2; Dynamin II; Dynamin2; DynaminII; DYNII; DYN2_HUMAN. |
| 产品应用 | IHC-P=1:100-500, IHC-F=1:100-500, IF=1:100-500 Not yet tested in other applications. |
| 交叉反应 | Rat (Human, Mouse, Cow) |
| 抗体来源 | Rabbit |
| 免疫原 | KLH conjugated synthetic peptide derived from human Dynamin 2 |
| 亚型 | IgG |
| 性状 | Liquid |
| 纯化方法 | affinity purified by Protein A |
| 克隆类型 | Polyclonal |
| 理论分子量 | 98 kDa |
| 浓度 | 1mg/ml |
| 储存液 | 0.01M TBS (pH7.4) with 1% BSA, 0.02% Proclin300 and 50% Glycerol. |
| 研究领域 | Neuroscience > Cell Type Marker > Neuron marker > Synapse marker Signal Transduction > Protein Trafficking > Vesicle Transport > Regulation |
| 亚细胞定位 | Cytoplasm. Cytoplasm > cytoskeleton. Cell junction > synapse > postsynaptic cell membrane > postsynaptic density. Cell junction > synapse. Microtubule-associated. Also found in the postsynaptic density of neuronal cells. |
| 相似性 | Belongs to the dynamin family. Contains 1 GED domain. Contains 1 PH domain. |
| 功能 | Microtubule-associated force-producing protein involved in producing microtubule bundles and able to bind and hydrolyze GTP. Most probably involved in vesicular trafficking processes, in particular endocytosis. |
| 保存条件 | Shipped at 4℃. Store at -20℃ for one year. Avoid repeated freeze/thaw cycles. |
| 注意事项 | This product as supplied is intended for research use only, not for use in human, therapeutic or diagnostic applications. |
| 背景资料 | Dynamin 2 is a microtubule-associated force-producing protein involved in building microtubule bundles, and it is able to bind and hydrolyze GTP. It is ubiquitously expressed and is likely to be involved in vesicular trafficking processes, especially endocytosis. |
| 应用 | 推荐稀释比例 |
| {IHC-P} | {1:100-500} |
| {IHC-F} | {1:100-500} |
| {IF} | {1:100-500} |

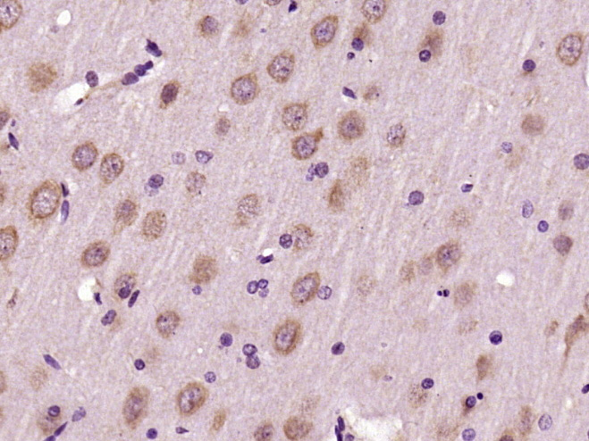
Paraformaldehyde-fixed, paraffin embedded (Rat brain); Antigen retrieval by boiling in sodium citrate buffer (pH6.0) for 15min; Block endogenous peroxidase by 3% hydrogen peroxide for 20 minutes; Blocking buffer (normal goat serum) at 37°C for 30min; Antibody incubation with (DNM2) Polyclonal Antibody, Unconjugated (bs-0574R) at 1:400 overnight at 4°C, followed by operating according to SP Kit(Rabbit) (sp-0023) instructionsand DAB staining.
风险提示:丁香通仅作为第三方平台,为商家信息发布提供平台空间。用户咨询产品时请注意保护个人信息及财产安全,合理判断,谨慎选购商品,商家和用户对交易行为负责。对于医疗器械类产品,请先查证核实企业经营资质和医疗器械产品注册证情况。
技术资料暂无技术资料 索取技术资料
Dynamin 2 Rabbit pAb(bs-0574R)-50ul/100ul/200ul
¥1180 - 2800





