相关产品推荐更多 >
万千商家帮你免费找货
0 人在求购买到急需产品
- 详细信息
- 文献和实验
- 技术资料
- 应用范围:
产品信息以Bioss网站为准
- 规格:
50ul/100ul/200ul
| 规格: | 50ul | 产品价格: | ¥1180.0 |
|---|---|---|---|
| 规格: | 100ul | 产品价格: | ¥1980.0 |
| 规格: | 200ul | 产品价格: | ¥2800.0 |
| 产品编号 | bs-1302R |
| 英文名称 | GAD67 Rabbit pAb |
| 中文名称 | 谷氨酸脱羧酶67抗体 |
| 英文别名 | glutamate decarboxylase 67; decarboxylase 1; 67 kDa glutamic acid decarboxylase; Glutamate decarboxylase 67 kDa isoform; GAD1; GAD; GAD-67; GAD 67. |
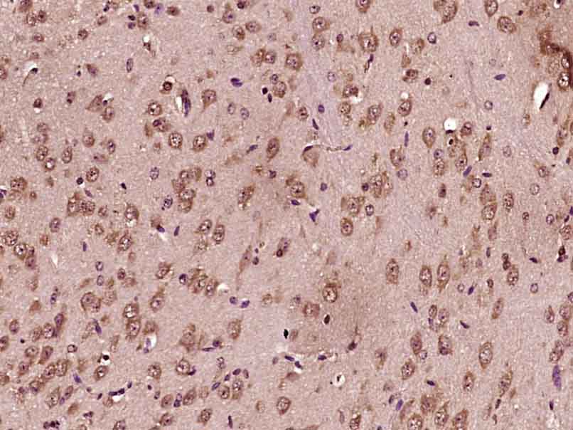
| 产品应用 | WB=1:500-2000, IHC-P=1:100-500, IHC-F=1:100-500, IF=1:100-500, Flow-Cyt=1ug/Test Not yet tested in other applications. |
| 交叉反应 | Human, Mouse (Rat) |
| 抗体来源 | Rabbit |
| 免疫原 | KLH conjugated synthetic peptide derived from human GAD67 |
| 亚型 | IgG |
| 性状 | Liquid |
| 纯化方法 | affinity purified by Protein A |
| 克隆类型 | Polyclonal |
| 理论分子量 | 67 kDa |
| 浓度 | 1mg/ml |
| 储存液 | 0.01M TBS (pH7.4) with 1% BSA, 0.02% Proclin300 and 50% Glycerol. |
| 研究领域 | Epigenetics and Nuclear Signaling > ChIP assays > ChIP kits Immunology > Immune System Diseases > Autoimmune Metabolism > Pathways and Processes > Metabolic signaling pathways > Amino acid metabolism Neuroscience > Neurotransmitter > Amino Acids > GABA Signal Transduction > Metabolism > Amino Acids |
| 亚细胞定位 | Mitochondrion; Plasma Membrane; |
| 组织特异性 | Isoform 3 is expressed in pancreatic islets, testis, adrenal cortex, and perhaps other endocrine tissues, but not in brain. |
| 相似性 | Belongs to the group II decarboxylase family. |
| 功能 | Catalyzes the production of GABA. |
| 保存条件 | Shipped at 4℃. Store at -20℃ for one year. Avoid repeated freeze/thaw cycles. |
| 注意事项 | This product as supplied is intended for research use only, not for use in human, therapeutic or diagnostic applications. |
| 背景资料 | Glutamic Acid Decarboxylase (GAD) catalyzes the conversion of L glutamate to g-aminobutyric acid (GABA), the principal inhibitory neurotransmitter in the brain, and a putative paracrine signal molecule in pancreatic islets. GAD has a restricted tissue distribution. It is highly expressed in the cytoplasm of GABAergic neurons in the central nervous system (CNS) and pancreatic beta cells. It is also present in other non-neuronal tissues such as testis, oviduct and ovary. GAD is also transiently expressed in non-GABAergic cells of the embryonic and adult nervous system, suggesting its involvement in development and plasticity. GAD exists as two isoforms, GAD65 and GAD67 (molecular masses of 65 and 67 kD, respectively) that are encoded by two different genes. GAD65 is an ampiphilic, membraneanchored protein, (585 amino acid residues) and is encoded on human chromosome 10. GAD67 is a cytoplasmic protein (594 amino acid residues) and is encoded on chromosome 2. There is 64% amino acid identity between the two isoforms, with the highest diversity located at the N terminus, which in GAD65 is required for targeting the enzyme to GABA-containing secretory vesicles. The two isoforms appear to have distinct intraneuronal distribution in the brain. GAD65 has been identified as an autoantigen in insulindependent diabetes mellitus (IDDM) and stiff-man syndrome (SMS), IDDM is an autoimmune disease that results from T cell mediated destruction of pancreatic insulin-secreting beta cells. Islet-reactive T cells and antibodies primarily to GAD65 (also named beta cell autoantigen) can be detected in peripheral blood of 80% of recent-onset IDD patients and in pre-diabetic high-risk subjects before onset of clinical symptoms. This suggests that GAD may be an important marker in the early stages of the disease. Also, autoantibodies to GAD65 and GAD67 are detected in animal models of IDDM, including the non-obese diabetes (NOD) mouse. In the NOD mouse, T cell reactivity is initially restricted to the C terminal regions of GAD65, but later spreads to other parts of GAD65. Stiff-man syndrome (SMS), a rare disorder of the CNS, is characterized by progressive rigidity of the body musculature with painful spasms, due to impairment of the GABAergic neurotransmission. |
| 应用 | 推荐稀释比例 |
| {WB} | {1:500-2000} |
| {IHC-P} | {1:100-500} |
| {IHC-F} | {1:100-500} |
| {IF} | {1:100-500} |
| {Flow-Cyt} | {1ug/Test} |

Raji(Human) Cell Lysate at 40 ug
Primary: Anti-GAD67 (bs-1302R) at 1/300 dilution
Secondary: IRDye800CW Goat Anti-Rabbit IgG at 1/20000 dilution
Predicted band size: 67 kD
Observed band size: 67 kD

Primary Antibody (green line): Rabbit Anti-GAD67 antibody (bs-1302R)
Dilution: 1μg /10^6 cells;
Isotype Control Antibody (orange line): Rabbit IgG .
Secondary Antibody : Goat anti-rabbit IgG-FITC
Dilution: 0.5μg /test.
Protocol
The cells were incubated in 5%BSA to block non-specific protein-protein interactions for 30 min at room temperature .Cells stained with Primary Antibody for 30 min at room temperature. The secondary antibody used for 40 min at room temperature. Acquisition of 20,000 events was performed.

风险提示:丁香通仅作为第三方平台,为商家信息发布提供平台空间。用户咨询产品时请注意保护个人信息及财产安全,合理判断,谨慎选购商品,商家和用户对交易行为负责。对于医疗器械类产品,请先查证核实企业经营资质和医疗器械产品注册证情况。
文献和实验[IF={{ 4 }}] {Changchun Jian. et al. A GAD1 inhibitor suppresses osteosarcoma growth through the Wnt/β-catenin signaling pathway. HELIYON. 2024 May;10:} {IHC,WB} {Mouse,Human}
[IF={{ 2.378 }}] {Lin XY et al. Chronic exercise buffers the cognitive dysfunction and decreases the susceptibility to seizures in PTZ-treated rats. Epilepsy Behav. 2019 Aug 1;98(Pt A):173-187.} {WB} {Rat}
= NAL), appears to form upon oxidative cyclization of the nonfluorescent 2:1 lysine-HNE Michael adduct-Schiff base cross-link (Scheme 1). Polyclonal antibody (PAb) to the NAL-HNE fluorophore was raised in rabbit and found to be highly specific
GE Healthcare Benzamidine Sepharose™ 6B is p-aminobenzamidine covalently attached to Sepharose 6B by the epoxy coupling method. p-Aminobenzamidine (PAB), is a synthetic inhibitor of trypsin-like serine protease. Trypsin and trypsin
Overview of Receptor Allosterism
Spalding, T.A., Trotter, C., Skjaerbaek, N., Messier, T.L., Currier, E.A., Burstein, E.S., Li, D., Hacksell, U., and Brann, M.R. 2002. Discovery of an ectopic activation site on the M(1) muscarinic receptor. Mol. Pharmacol. 61:1297‐1302
技术资料暂无技术资料 索取技术资料







