相关产品推荐更多 >

CKMT Rabbit pAb, PE-Cy7 conjugated(bs-6522R-PE-Cy7)-100ul
¥2980
NFAT2 Rabbit pAb, FITC conjugated(bs-1417R-FITC)-100ul
¥2980
phospho-TBC1D4 (Ser588) Rabbit pAb, AP conjugated(bs-4322R-AP)-100ul
¥2980
Rad51 Rabbit pAb, HRP conjugated(bs-20297R-HRP)-100ul
¥2980
Anti-human CLDN6 (AB3-7 Biosimilar)(BIO0861SM)-1mg/5mg/20mg
¥3200
万千商家帮你免费找货
0 人在求购买到急需产品
- 详细信息
- 文献和实验
- 技术资料
- 应用范围:
产品信息以Bioss网站为准
- 规格:
50ul/100ul/200ul
| 规格: | 50ul | 产品价格: | ¥1180.0 |
|---|---|---|---|
| 规格: | 100ul | 产品价格: | ¥1980.0 |
| 规格: | 200ul | 产品价格: | ¥2800.0 |
| 产品编号 | bs-19774R |
| 英文名称 | RBM47 Rabbit pAb |
| 中文名称 | RNA结合蛋白47抗体 |
| 英文别名 | NET18; Rbm47; Rbm47 RNA binding motif protein 47; RBM47_HUMAN; RNA binding motif protein 47; RNA binding protein 47; RNA-binding motif protein 47; RNA-binding protein 47. |
| 产品应用 | WB=1:500-2000, IHC-P=1:100-500, IHC-F=1:100-500, IF=1:100-500 Not yet tested in other applications. |
| 交叉反应 | Human, Rat (Mouse, Chicken, Dog, Pig, Cow, Horse, Rabbit, Sheep) |
| 抗体来源 | Rabbit |
| 免疫原 | KLH conjugated synthetic peptide derived from human RBM47 |
| 亚型 | IgG |
| 性状 | Liquid |
| 纯化方法 | affinity purified by Protein A |
| 克隆类型 | Polyclonal |
| 理论分子量 | 64 , 57 kDa |
| 浓度 | 1mg/ml |
| 储存液 | 0.01M TBS (pH7.4) with 1% BSA, 0.02% Proclin300 and 50% Glycerol. |
| 研究领域 | Epigenetics and Nuclear Signaling > Chromatin Binding Proteins > DNA / RNA binding |
| 亚细胞定位 | Nucleus. |
| 相似性 | Belongs to the RRM RBM47 family. Contains 3 RRM (RNA recognition motif) domains. |
| 保存条件 | Shipped at 4℃. Store at -20℃ for one year. Avoid repeated freeze/thaw cycles. |
| 注意事项 | This product as supplied is intended for research use only, not for use in human, therapeutic or diagnostic applications. |
| 应用 | 推荐稀释比例 |
| {WB} | {1:500-2000} |
| {IHC-P} | {1:100-500} |
| {IHC-F} | {1:100-500} |
| {IF} | {1:100-500} |


Lane 1: Human A431 cell lysates
Lane 2: Human A549 cell lysates
Primary: Anti-RBM47 (bs-19774R) at 1/1000 dilution
Secondary: IRDye800CW Goat Anti-Rabbit IgG at 1/20000 dilution
Predicted band size: 64 , 57 kDa
Observed band size: 62 kDa
风险提示:丁香通仅作为第三方平台,为商家信息发布提供平台空间。用户咨询产品时请注意保护个人信息及财产安全,合理判断,谨慎选购商品,商家和用户对交易行为负责。对于医疗器械类产品,请先查证核实企业经营资质和医疗器械产品注册证情况。
文献和实验[IF={{ 6.1 }}] {Ma Yihui. et al. RBM47 promotes cell proliferation and immune evasion by upregulating PDIA6: a novel mechanism of pancreatic cancer progression. J TRANSL MED. 2024 Dec;22(1):1-21} {IHC,IF,WB} {Human}
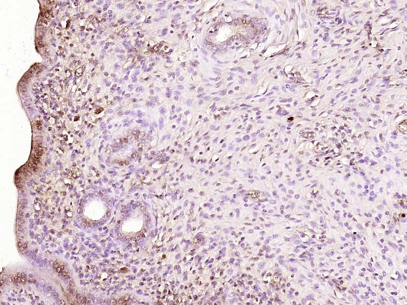
[IF={{ 3.8 }}] {Wei Wei. et al.RBM47 is a novel immunotherapeutic target and prognostic biomarker in gliomas.SCIENTIFIC REPORTS.2025 Jan 5;15(1):854.} {IHC} {Mouse}
= NAL), appears to form upon oxidative cyclization of the nonfluorescent 2:1 lysine-HNE Michael adduct-Schiff base cross-link (Scheme 1). Polyclonal antibody (PAb) to the NAL-HNE fluorophore was raised in rabbit and found to be highly specific
GE Healthcare Benzamidine Sepharose™ 6B is p-aminobenzamidine covalently attached to Sepharose 6B by the epoxy coupling method. p-Aminobenzamidine (PAB), is a synthetic inhibitor of trypsin-like serine protease. Trypsin and trypsin
Nucleic Acid Programmable Protein Arrays: Versatile Tools for Array‐Based Functional Protein Studies
.g., Sigma) 50 mg/ml bis‐sulfosuccinimdylsuberate (BS3 ;Pierce, cat. no. PI 21580) in dimethylsulfoxide (DMSO) 5 mg/ml
技术资料暂无技术资料 索取技术资料






