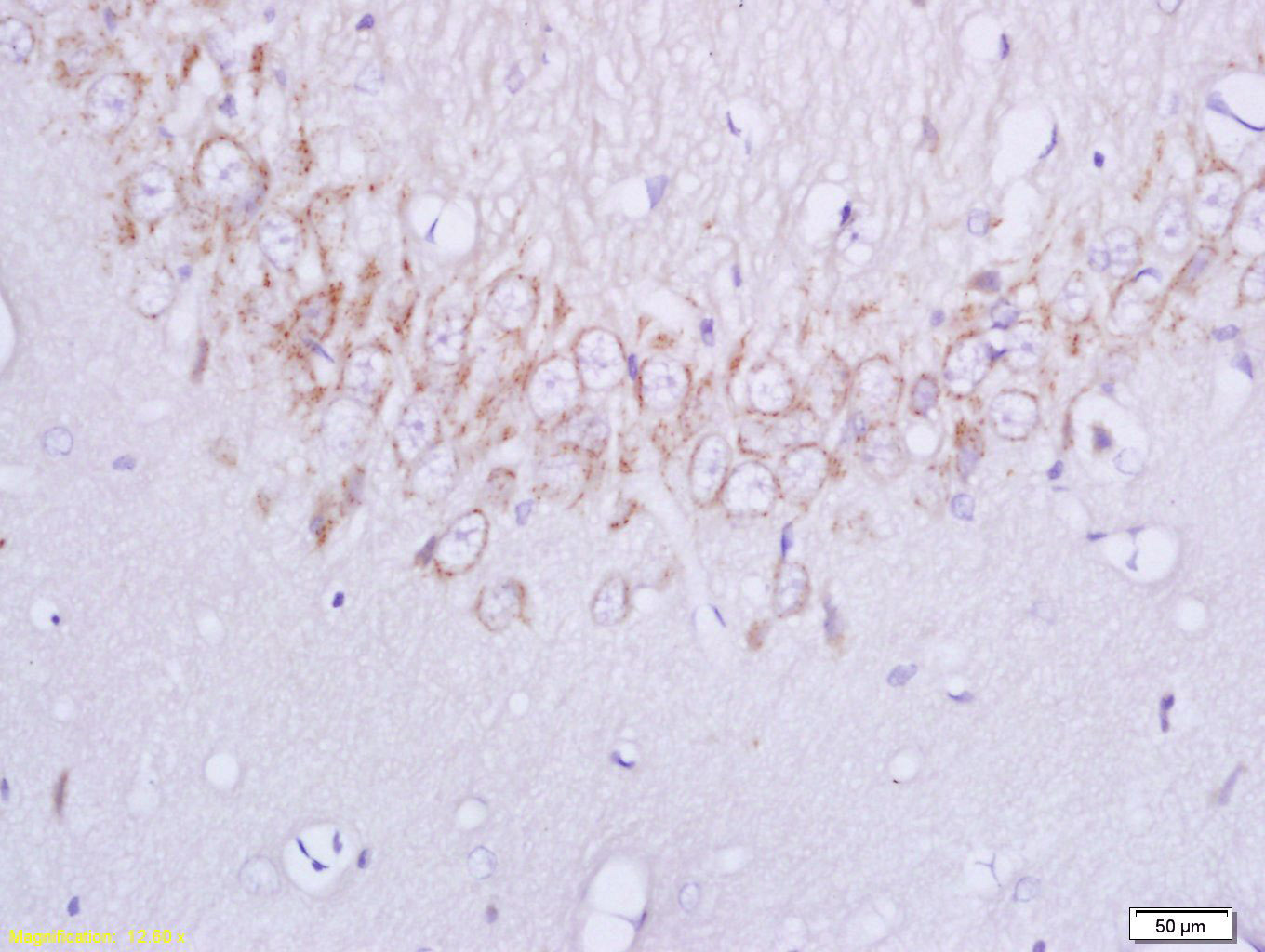
Tissue/cell: rat brain tissue; 4% Paraformaldehyde-fixed and paraffin-embedded;
Antigen retrieval: citrate buffer ( 0.01M, pH 6.0 ), Boiling bathing for 15min; Block endogenous peroxidase by 3% Hydrogen peroxide for 30min; Blocking buffer (normal goat serum,C-0005) at 37℃ for 20 min;
Incubation: Anti-Plexin B1 Polyclonal Antibody, Unconjugated(bs-2693R) 1:200, overnight at 4°C, followed by conjugation to the secondary antibody(SP-0023) and DAB(C-0010) staining
相关产品推荐更多 >

mouse CD8a Rat mAb, PE-Cy5 conjugated(bsm-30396A-PE-Cy5)-50T/25T/100T
¥1080
NFKB p65 Rabbit pAb, RBITC conjugated(bs-0465R-RBITC)-100ul
¥2980
phospho-PDGF Receptor beta (Tyr740) Rabbit pAb(bs-3323R)-50ul/100ul/200ul
¥1180
DHCR7 Rabbit pAb(bs-5057R)-50ul/100ul/200ul
¥1180
GABA Transporter 3 Rabbit pAb, PerCP conjugated(bs-13260R-PerCP)-100ul
¥2980
万千商家帮你免费找货
0 人在求购买到急需产品
- 详细信息
- 技术资料
- 应用范围:
产品信息以Bioss网站为准
- 规格:
50ul/100ul/200ul
| 规格: | 50ul | 产品价格: | ¥1180.0 |
|---|---|---|---|
| 规格: | 100ul | 产品价格: | ¥1980.0 |
| 规格: | 200ul | 产品价格: | ¥2800.0 |
| 产品编号 | bs-2693R |
| 英文名称 | Plexin B1 Rabbit pAb |
| 中文名称 | 神经丛蛋白B1抗体 |
| 英文别名 | Semaphorin receptor; Plexin B1; KIAA0407; Plexin 5; Plexin B1; PLXN5; PLXNB1; Semaphorin receptor; Semaphorin receptor SEP; SEP; PLEXIN-B1; PLXB1_HUMAN. |
| 产品应用 | IHC-P=1:100-500, IHC-F=1:100-500, IF=1:100-500 Not yet tested in other applications. |
| 交叉反应 | Rat (Human, Mouse, Dog, Pig, Rabbit) |
| 抗体来源 | Rabbit |
| 免疫原 | KLH conjugated synthetic peptide derived from human Plexin B1 |
| 亚型 | IgG |
| 性状 | Liquid |
| 纯化方法 | affinity purified by Protein A |
| 克隆类型 | Polyclonal |
| 理论分子量 | 232 kDa |
| 浓度 | 1mg/ml |
| 储存液 | 0.01M TBS (pH7.4) with 1% BSA, 0.02% Proclin300 and 50% Glycerol. |
| 研究领域 | Neuroscience > Neurology process > Growth and Development > Axonal Guidance Proteins Neuroscience > Neurology process > Neurogenesis |
| 亚基 | Monomer, and heterodimer with PLXNB2 after proteolytic processing. Binds RAC1 that has been activated by GTP binding. Interaction with SEMA4D promotes binding of cytoplasmic ligands. Binds PLXNA1. Interacts with ARHGEF11, ARHGEF12, ERBB2, MET, MST1R, RRAS, RHOD, RND1, NRP1 and NRP2. |
| 亚细胞定位 | Isoform 1: Cell membrane; Single-pass type I membrane protein. Isoform 2: Secreted. Isoform 3: Secreted. |
| 组织特异性 | Highly expressed in fetal kidney, and at slightly lower levels in fetal brain, lung and liver. |
| 相似性 | Belongs to the plexin family. Contains 3 IPT/TIG domains. Contains 1 Sema domain. |
| 功能 | Receptor for SEMA4D. Plays a role in RHOA activation and subsequent changes of the actin cytoskeleton. Plays a role in axon guidance, invasive growth and cell migration. |
| 保存条件 | Shipped at 4℃. Store at -20℃ for one year. Avoid repeated freeze/thaw cycles. |
| 注意事项 | This product as supplied is intended for research use only, not for use in human, therapeutic or diagnostic applications. |
| 背景资料 | Plexin B1 is the transmembrane receptor for the class 4 semaphorin, SEMA4D. Plexin B1 activation plays a role in axon guidance, invasive growth and cell migration and has been reported to have additional roles in RHOA activation and subsequent changes of the actin cytoskeleton. |
| 应用 | 推荐稀释比例 |
| {IHC-P} | {1:100-500} |
| {IHC-F} | {1:100-500} |
| {IF} | {1:100-500} |

风险提示:丁香通仅作为第三方平台,为商家信息发布提供平台空间。用户咨询产品时请注意保护个人信息及财产安全,合理判断,谨慎选购商品,商家和用户对交易行为负责。对于医疗器械类产品,请先查证核实企业经营资质和医疗器械产品注册证情况。
技术资料暂无技术资料 索取技术资料
Plexin B1 Rabbit pAb(bs-2693R)-50ul/100ul/200ul
¥1180 - 2800






