相关产品推荐更多 >
万千商家帮你免费找货
0 人在求购买到急需产品
- 详细信息
- 文献和实验
- 技术资料
- 应用范围:
产品信息以Bioss网站为准
- 规格:
50ul/100ul/200ul
| 规格: | 50ul | 产品价格: | ¥1180.0 |
|---|---|---|---|
| 规格: | 100ul | 产品价格: | ¥1980.0 |
| 规格: | 200ul | 产品价格: | ¥2800.0 |
| 产品编号 | bs-2777R |
| 英文名称 | Rb Rabbit pAb |
| 中文名称 | 成视网膜细胞瘤基因抗体 |
| 英文别名 | RB_HUMAN; Retinoblastoma-associated protein; RB1; p105-Rb; p110-RB1; pRb (Rb); pp110; RB transcriptional corepressor 1; pRb; OSRC; PPP1R130; Retinoblastoma; |
| 产品应用 | WB=1:500-2000, IHC-P=1:100-500, IHC-F=1:100-500, IF=1:100-500 Not yet tested in other applications. |
| 交叉反应 | Human, Mouse, Rat (Pig, Cow, Horse, Rabbit) |
| 抗体来源 | Rabbit |
| 免疫原 | KLH conjugated synthetic peptide derived from human P105 RB |
| 亚型 | IgG |
| 性状 | Liquid |
| 纯化方法 | affinity purified by Protein A |
| 克隆类型 | Polyclonal |
| 理论分子量 | 102 kDa |
| 浓度 | 1mg/ml |
| 储存液 | 0.01M TBS (pH7.4) with 1% BSA, 0.02% Proclin300 and 50% Glycerol. |
| 研究领域 | Cancer > Oncoproteins/suppressors > Tumor suppressors > Rb family Cell Biology > Cell Cycle > Cell Cycle Inhibitors > Rb Epigenetics and Nuclear Signaling > Transcription > Cancer susceptibility > Tumor Suppressors |
| 亚基 | nteracts with ATAD5. Interacts with PRMT2, CDK1 and CDK2. The hypophosphorylated form interacts with and sequesters the E2F1 transcription factor. Interacts with heterodimeric E2F/DP transcription factor complexes containing TFDP1 and either E2F1, E2F3, E2F4 or E2F5, or TFDP2 and E2F4. The unphosphorylated form interacts with EID1, ARID3B, KDM5A, SUV39H1, MJD2A/JHDM3A and THOC1. Interacts with the N-terminal domain of TAF1. Interacts with AATF, DNMT1, LIN9, LMNA, SUV420H1, SUV420H2, PELP1 and TMPO-alpha. May interact with NDC80. Interacts with GRIP1 and UBR4. Interacts with ARID4A and KDM5B. Interacts with E4F1 and LIMD1. Interacts with SMARCA4/BRG1 AND HDAC1. Interacts with adenovirus E1A protein, HPV E7 protein and SV40 large T antigen. Interacts with PSMA3 and USP4. Interacts (when methylated at Lys-860) with L3MBTL1. |
| 亚细胞定位 | Nucleus. |
| 组织特异性 | Expressed in the retina. |
| 翻译后修饰 | Phosphorylated by CDK6 and CDK4, and subsequently by CDK2 at Ser-567 in G1, thereby releasing E2F1 which is then able to activate cell growth. Dephosphorylated at the late M phase. SV40 large T antigen, HPV E7 and adenovirus E1A bind to the underphosphorylated, active form of pRb. Phosphorylation at Thr-821 and Thr-826 promotes interaction between the C-terminal domain C and the Pocket domain, and thereby inhibits interactions with heterodimeric E2F/DP transcription factor complexes. Dephosphorylated at Ser-795 by calcineruin upon calcium stimulation. CDK3/cyclin-C-mediated phosphorylation at Ser-807 and Ser-811 is required for G0-G1 transition. Phosphorylated by CDK1 and CDK2 upon TGFB1-mediated apoptosis. N-terminus is methylated by METTL11A/NTM1. Monomethylated at Lys-860 by SMYD2, promoting interaction with L3MBTL1. |
| 相似性 | Belongs to the retinoblastoma protein (RB) family. |
| 功能 | Key regulator of entry into cell division that acts as a tumor suppressor. Promotes G0-G1 transition when phosphorylated by CDK3/cyclin-C. Acts as a transcription repressor of E2F1 target genes. The underphosphorylated, active form of RB1 interacts with E2F1 and represses its transcription activity, leading to cell cycle arrest. Directly involved in heterochromatin formation by maintaining overall chromatin structure and, in particular, that of constitutive heterochromatin by stabilizing histone methylation. Recruits and targets histone methyltransferases SUV39H1, SUV420H1 and SUV420H2, leading to epigenetic transcriptional repression. Controls histone H4 'Lys-20' trimethylation. Inhibits the intrinsic kinase activity of TAF1. Mediates transcriptional repression by SMARCA4/BRG1 by recruiting a histone deacetylase (HDAC) complex to the c-FOS promoter. In resting neurons, transcription of the c-FOS promoter is inhibited by BRG1-dependent recruitment of a phospho-RB1-HDAC1 repressor complex. Upon calcium influx, RB1 is dephosphorylated by calcineurin, which leads to release of the repressor complex (By similarity). In case of viral infections, interactions with SV40 large T antigen, HPV E7 protein or adenovirus E1A protein induce the disassembly of RB1-E2F1 complex thereby disrupting RB1's activity. |
| 保存条件 | Shipped at 4℃. Store at -20℃ for one year. Avoid repeated freeze/thaw cycles. |
| 注意事项 | This product as supplied is intended for research use only, not for use in human, therapeutic or diagnostic applications. |
| 背景资料 | The protein encoded by this gene is a negative regulator of the cell cycle and was the first tumor suppressor gene found. The encoded protein also stabilizes constitutive heterochromatin to maintain the overall chromatin structure. The active, hypophosphorylated form of the protein binds transcription factor E2F1. Defects in this gene are a cause of childhood cancer retinoblastoma (RB), bladder cancer, and osteogenic sarcoma.Rb is a tumor suppressor gene which functions as a negative regulator of the cell cycle by interacting with transcription factors including E2F1, PU1, ATF2, UBF, Elf1 and cAbl. This ability of Rb to alter transcription is regulated by phosphorylation catalyzed by the cyclin dependent protein kinases (cdks). Rb is phosphorylated on serine and threonine, but not on tyrosine residues. It forms a complex with SV40 large T antigen, adenovirus E1A, and human papilloma virus 16E. Rb protein may act by regulating transcription and loss of its function leads to uncontrolled cell growth. Aberrations in the Rb gene have been implicated in cancers of breast, colon, prostate, kidney, nasopharynx, and leukemia. |
| 应用 | 推荐稀释比例 |
| {WB} | {1:500-2000} |
| {IHC-P} | {1:100-500} |
| {IHC-F} | {1:100-500} |
| {IF} | {1:100-500} |

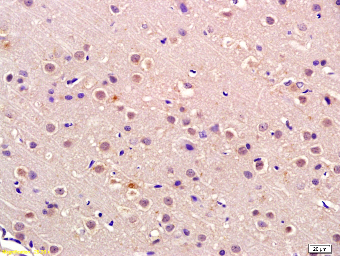
Antigen retrieval: citrate buffer ( 0.01M, pH 6.0 ), Boiling bathing for 15min; Block endogenous peroxidase by 3% Hydrogen peroxide for 30min; Blocking buffer (normal goat serum,C-0005) at 37℃ for 20 min;
Incubation: Anti-Rb Polyclonal Antibody, Unconjugated(bs-2777R) 1:200, overnight at 4°C, followed by conjugation to the secondary antibody(SP-0023) and DAB(C-0010) staining

Lane 1: Mouse Thymus tissue lysates
Lane 2: Human MCF-7 cell lysates
Lane 3: Human Jurkat cell lysates
Primary: Anti-Rb (bs-2777R) at 1/1000 dilution
Secondary: IRDye800CW Goat Anti-Rabbit IgG at 1/20000 dilution
Predicted band size: 102 kDa
Observed band size: 135 kDa
风险提示:丁香通仅作为第三方平台,为商家信息发布提供平台空间。用户咨询产品时请注意保护个人信息及财产安全,合理判断,谨慎选购商品,商家和用户对交易行为负责。对于医疗器械类产品,请先查证核实企业经营资质和医疗器械产品注册证情况。
文献和实验[IF={{ 8.755 }}] {Sijie Wang. et al. PFKFB4 facilitates palbociclib resistance in oestrogen receptor-positive breast cancer by enhancing stemness. CELL PROLIFERAT. 2022 Sep;:e13337} {WB} {Human}
[IF={{ 7.6 }}] {Teng, I., et al. "Phospholipid-functionalized mesoporous silica nanocarriers for selective photodynamic therapy of cancer." Biomaterials (2013).} {WB} {="Mouse"}
[IF={{ 4.6 }}] {Yanping Ding. et al. Astragaloside IV confers neuroprotection against radiation-induced neuronal senescence via the ERK pathway. EXP NEUROL. 2024 Dec;:115135} {WB} {Mouse,Rat}
[IF={{ 2.8 }}] {Wen Yu Zhang. et al. AMPK regulates immature boar Sertoli cell proliferation through affecting CDK4/Cyclin D3 pathway and mitochondrial function. THERIOGENOLOGY. 2024 Aug;224:9} {WB} {Pig}
[IF={{ 2.58 }}] {Huang, Xu, et al. "ICAM-1-Targeted Liposomes Loaded with Liver X Receptor Agonists Suppress PDGF-Induced Proliferation of Vascular Smooth Muscle Cells." Nanoscale Research Letters 12.1 (2017): 322.} {WB} {="Mouse"}
= NAL), appears to form upon oxidative cyclization of the nonfluorescent 2:1 lysine-HNE Michael adduct-Schiff base cross-link (Scheme 1). Polyclonal antibody (PAb) to the NAL-HNE fluorophore was raised in rabbit and found to be highly specific
Methods for the Detection of D-Amino-Acid Oxidase
then twice for 5 min. It was incubated for 1 hr in TBS-T containing rabbit anti-hog D-amino-acid oxidase IgG (1/3,000 dilution) and quickly rinsed twice with TBS-T and further washed in TBS-T once for 15 min then twice for 5 min. The membrane was incubated
Methods for the Detection of D-Amino-Acid Oxidase
min then twice for 5 min. It was incubated for 1 hr in TBS-T containing rabbit anti-hog D-amino-acid oxidase IgG (1/3,000 dilution) and quickly rinsed twice with TBS-T and further washed in TBS-T once for 15 min then twice for 5 min. The membrane
技术资料暂无技术资料 索取技术资料









