相关产品推荐更多 >

MAOA Rabbit pAb, Biotin conjugated(bs-6679R-Bio)-100ul
¥2980
KCTD7 Rabbit pAb, BF488 conjugated(bs-11729R-BF488)-100ul
¥2980
Site 2 protease Rabbit pAb(bs-19356R)-50ul/100ul/200ul
¥1180
Histone H3 (tri methyl K79) Mouse mAb, HRP conjugated(bsm-33097M-HRP)-100ul
¥2980
ZNFX1 Rabbit pAb(bs-16418R)-50ul/100ul/200ul
¥1180
万千商家帮你免费找货
0 人在求购买到急需产品
- 详细信息
- 文献和实验
- 技术资料
- 应用范围:
产品信息以Bioss网站为准
- 规格:
50ul/100ul/200ul
| 规格: | 50ul | 产品价格: | ¥1180.0 |
|---|---|---|---|
| 规格: | 100ul | 产品价格: | ¥1980.0 |
| 规格: | 200ul | 产品价格: | ¥2800.0 |
| 产品编号 | bs-0417R |
| 英文名称 | TIMP-3 Rabbit pAb |
| 中文名称 | 金属蛋白酶组织抑制因子-3抗体 |
| 英文别名 | HSMRK222; K222; K222TA2; Metalloproteinase inhibitor 3; TIMP3; TIMP 3; MIG 5 protein; MIG5 protein; Protein MIG 5; SFD; Sorsby fundus dystrophy pseudoinflammatory; TIMP metallopeptidase inhibitor 3; TIMP3; Tissue Inhibitor of Metalloproteinase 3; Tissue inhibitor of metalloproteinases3; TIMP3_HUMAN. |
| 产品应用 | IHC-P=1:100-500, IHC-F=1:100-500, IF=1:100-500 Not yet tested in other applications. |
| 交叉反应 | Human (Mouse, Rat, Pig, Cow, Horse, Rabbit) |
| 抗体来源 | Rabbit |
| 免疫原 | KLH conjugated synthetic peptide derived from human TIMP-3 |
| 亚型 | IgG |
| 性状 | Liquid |
| 纯化方法 | affinity purified by Protein A |
| 克隆类型 | Polyclonal |
| 理论分子量 | 21 kDa |
| 浓度 | 1mg/ml |
| 储存液 | 0.01M TBS (pH7.4) with 1% BSA, 0.02% Proclin300 and 50% Glycerol. |
| 研究领域 | Cancer > Invasion/microenvironment > Angiogenesis > ECM enzymes > TIMPs Cancer > Invasion/microenvironment > ECM > Extracellular matrix > TIMPs Cardiovascular > Angiogenesis > Adhesion / ECM > Matrix Metalloproteinases > TIMP Cell Biology > Apoptosis > Extracellular Signals > Granzymes Cell Biology > Proteolysis / Ubiquitin > Protease inhibitors > Metalloprotease inhibitors > TIMPs Neuroscience > Sensory System > Visual system Signal Transduction > Cytoskeleton / ECM > Extracellular Matrix > ECM Enzymes > MMP Inhibitors |
| 亚基 | Interacts with EFEMP1. |
| 亚细胞定位 | Secreted, extracellular space, extracellular matrix. |
| 相似性 | Belongs to the protease inhibitor I35 (TIMP) family. Contains 1 NTR domain. |
| 保存条件 | Shipped at 4℃. Store at -20℃ for one year. Avoid repeated freeze/thaw cycles. |
| 注意事项 | This product as supplied is intended for research use only, not for use in human, therapeutic or diagnostic applications. |
| 背景资料 | This gene belongs to the TIMP gene family. The proteins encoded by this gene family are inhibitors of the matrix metalloproteinases, a group of peptidases involved in degradation of the extracellular matrix (ECM). Expression of this gene is induced in response to mitogenic stimulation and this netrin domain-containing protein is localized to the ECM. Mutations in this gene have been associated with the autosomal dominant disorder Sorsby's fundus dystrophy. [provided by RefSeq, Jul 2008]. |
| 应用 | 推荐稀释比例 |
| {IHC-P} | {1:100-500} |
| {IHC-F} | {1:100-500} |
| {IF} | {1:100-500} |

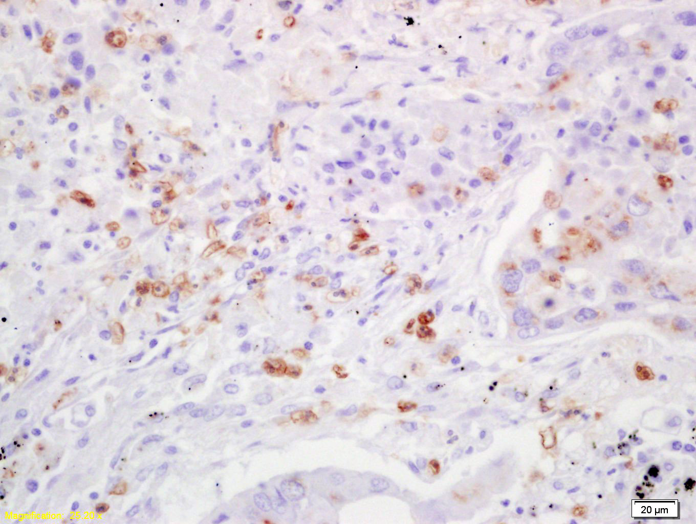
Antigen retrieval: citrate buffer ( 0.01M, pH 6.0 ), Boiling bathing for 15min; Block endogenous peroxidase by 3% Hydrogen peroxide for 30min; Blocking buffer (normal goat serum,C-0005) at 37℃ for 20 min;
Incubation: Anti-TIMP-3 Polyclonal Antibody, Unconjugated(bs-0417R) 1:100, overnight at 4°C, followed by conjugation to the secondary antibody(SP-0023) and DAB(C-0010) staining
风险提示:丁香通仅作为第三方平台,为商家信息发布提供平台空间。用户咨询产品时请注意保护个人信息及财产安全,合理判断,谨慎选购商品,商家和用户对交易行为负责。对于医疗器械类产品,请先查证核实企业经营资质和医疗器械产品注册证情况。
文献和实验[IF={{ 5.4 }}] {Cheng Yan. et al. Endostatin-expressing endometrial mesenchymal stem cells inhibit angiogenesis in endometriosis through the miRNA-21-5p/TIMP3/PI3K/Akt/mTOR pathway. STEM CELL TRANSL MED. 2024 Nov;:} {IHC} {Mouse}
[IF={{ 5.064 }}] {Xia Liu. et al. The adipokine orosomucoid alleviates adipose tissue fibrosis via the AMPK pathway. Acta Pharmacol Sin. 2021 Apr;:1-9} {WB} {Mouse}
[IF={{ 4.8 }}] {Sun Liyuan. et al. Exosomal miR-21-5p derived from endometrial stromal cells promotes angiogenesis by targeting TIMP3 in ovarian endometrial cysts. J MOL MED. 2024 Sep;:1-16} {IHC} {Human}
[IF={{ 4.24 }}] {Peng, Jiayin, et al. "Expression and regulative function of tissue inhibitor of metalloproteinase 3 in the goat ovary and its role in cultured granulosa cells."Molecular and Cellular Endocrinology (2015).} {WB} {="Goat"}
[IF={{ 3.98 }}] {Liu, Wen-bin, et al. "Aberrant methylation accounts for cell adhesion-related gene silencing during 3-methylcholanthrene and diethylnitrosamine induced multistep rat lung carcinogenesis associated with overexpression of DNA methyltransferases 1 and 3a." Toxicology and applied pharmacology 251.1 (2011): 70-78.} {IHC} {="Rat"}
= NAL), appears to form upon oxidative cyclization of the nonfluorescent 2:1 lysine-HNE Michael adduct-Schiff base cross-link (Scheme 1). Polyclonal antibody (PAb) to the NAL-HNE fluorophore was raised in rabbit and found to be highly specific
分子 -1 (rabbit ICAM-1) ELISA 48T/96T 2000/3000 进口分装 F20170 兔干扰素 -r(rabbit IFN-r) ELISA 48T/96T 1500/2500 进口分装 F20180 兔白介素
/3000 进口分装 F1162 小鼠基质金属蛋白酶抑制剂-2(mouse TIMP-2) ELISA 48T/96T 2000/3000 进口分装 F1163 ★ 小鼠肿瘤坏死因子- a (mouse TNF- a ) ELISA 48T/96T 1300/2300 进口分装 F1164 小鼠可溶性肿瘤坏死因子- 受体 (mouse sTNF-R) ELISA 48T/96T 1300/2300 进口分装 F1165 小鼠
技术资料暂无技术资料 索取技术资料





