相关产品推荐更多 >

METRNL Rabbit pAb, Biotin conjugated(bs-18810R-Bio)-100ul
¥2980
PERK Rabbit pAb(bs-2469R)-50ul/100ul/200ul
¥1180
RAB31 Rabbit pAb(bs-19710R)-50ul/100ul/200ul
¥1180
Histone H4 Rabbit pAb, APC-Cy5.5 conjugated(bs-23810R-APC-Cy5.5)-100ul
¥2980
phospho-IRS1 (Tyr1229) Rabbit pAb(bs-3203R)-50ul/100ul/200ul
¥1180
万千商家帮你免费找货
0 人在求购买到急需产品
- 详细信息
- 文献和实验
- 技术资料
- 应用范围:
产品信息以Bioss网站为准
- 规格:
50ul/100ul/200ul
| 规格: | 50ul | 产品价格: | ¥1180.0 |
|---|---|---|---|
| 规格: | 100ul | 产品价格: | ¥1980.0 |
| 规格: | 200ul | 产品价格: | ¥2800.0 |
| 产品编号 | bs-7738R |
| 英文名称 | Anillin Rabbit pAb |
| 中文名称 | 胞环蛋白肌动蛋白结合蛋白抗体 |
| 英文别名 | Actin binding protein scraps homolog Drosophila; Actin binding protein anillin; Anillin actin binding protein; ANLN; DKFZp779A055; Scra; Scraps; Scraps homolog. |
| 产品应用 | IHC-P=1:100-500, IHC-F=1:100-500, IF=1:100-500, Flow-Cyt=1ug/test Not yet tested in other applications. |
| 交叉反应 | Human, Mouse (Rat, Dog, Cow, Horse, Rabbit) |
| 抗体来源 | Rabbit |
| 免疫原 | KLH conjugated synthetic peptide derived from human Anillin |
| 亚型 | IgG |
| 性状 | Liquid |
| 纯化方法 | affinity purified by Protein A |
| 克隆类型 | Polyclonal |
| 理论分子量 | 124 kDa |
| 浓度 | 1mg/ml |
| 储存液 | 0.01M TBS (pH7.4) with 1% BSA, 0.02% Proclin300 and 50% Glycerol. |
| 研究领域 | Cell Biology > Cell Cycle > Cell Division > Cytokinesis Signal Transduction > Cytoskeleton / ECM > Cytoskeleton > Microfilaments > Actin etc > Actin Binding Proteins |
| 亚基 | Interacts with F-actin. Interacts with CD2AP. May interact with RHOA. Interacts with FZR1/CDH1 during mitotic exit. |
| 亚细胞定位 | Nucleus. Cytoplasm, cytoskeleton. Cytoplasm, cell cortex. Note=Mainly found in the nucleus during interphase. Colocalizes with cortical F-actin upon nuclear envelope breakdown in mitosis and subsequently concentrates in the area of the prospective contractile ring in anaphase. This pattern persists until telophase, when the protein becomes concentrated in the midbody. |
| 组织特异性 | Ubiquitously expressed. Present at highest levels in the brain, at high levels in the placenta and testis, at intermediate levels in the intestine, ovary, skeletal muscle and thymus and at lower levels in heart, kidney, liver, lung, pancreas, prostate and spleen. Overexpressed in many tumor types including breast, colorectal, endometrial, hepatic, kidney, lung, ovarian and pancreatic tumors. |
| 翻译后修饰 | Phosphorylated during mitosis. Ubiquitinated, and this requires FZR1/CDH1. |
| 相似性 | Contains 1 PH domain. |
| 功能 | Required for cytokinesis. Essential for the structural integrity of the cleavage furrow and for completion of cleavage furrow ingression. |
| 保存条件 | Shipped at 4℃. Store at -20℃ for one year. Avoid repeated freeze/thaw cycles. |
| 注意事项 | This product as supplied is intended for research use only, not for use in human, therapeutic or diagnostic applications. |
| 背景资料 | Anillin, also known as scraps homolog, is an evolutionarily conserved Actin- binding protein required for cytokinesis that was first identified in Drosophila melanogaster. Anillin is a ubiquitously expressed protein with highest expression levels in the central nervous system. It is predominantly found in the nucleus and it localizes to the cleavage furrow during cytokinesis, forming a ring with the help of Rac GTPase. During cytokinesis, Anillin interacts with CD2AP and functions to concentrate Rho A and maintain the localization of active Myosin. In Anillin knockout cells the cleavage furrow fails to complete ingression. Anillin expression levels fluctuate with the cell cycle, peaking in mitosis. Before the cell exits into G1, Anillin associates with E-cadherin and is ubiquitinated by the anaphase-promoting complex/cyclosome (APC/C). APC/C recognizes the D-box domain at the N-terminal region of Anillin. Anillin is commonly overexpressed in tumors and may serve as a potential biomarker.Anillin is required for cytokinesis. It is essential for the structural integrity of the cleavage furrow and for completion of cleavage furrow ingression. |
| 应用 | 推荐稀释比例 |
| {IHC-P} | {1:100-500} |
| {IHC-F} | {1:100-500} |
| {IF} | {1:100-500} |
| {Flow-Cyt} | {1ug/test} |

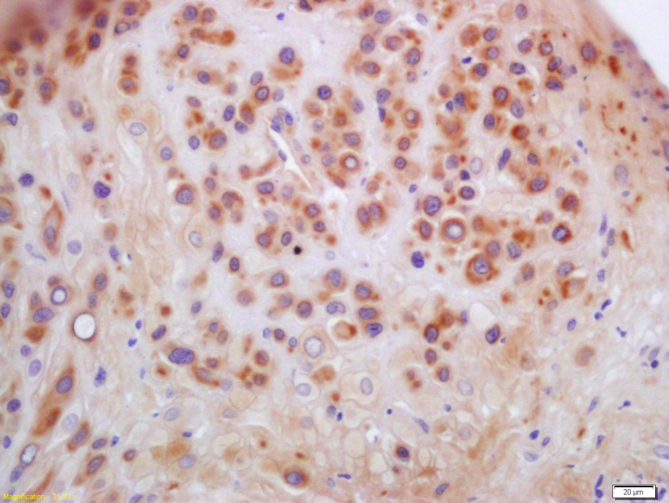
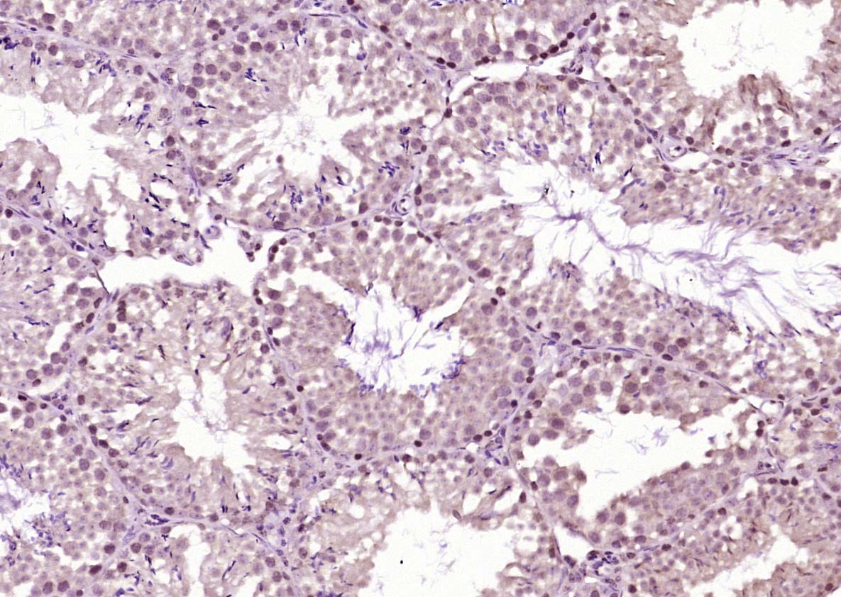
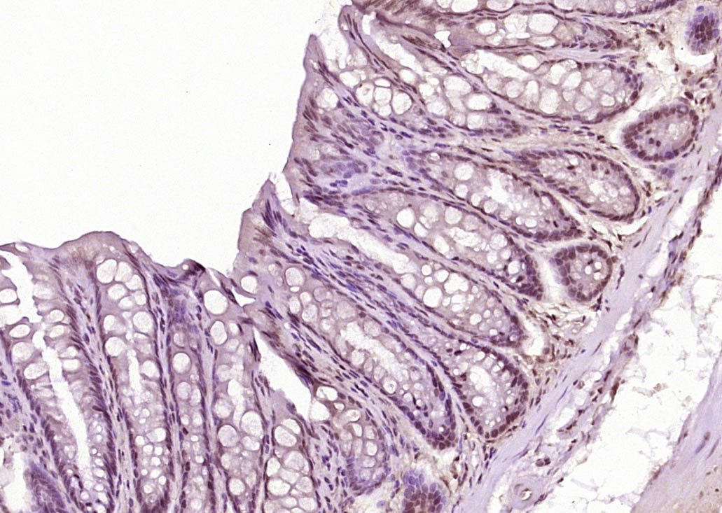
Antigen retrieval: citrate buffer ( 0.01M, pH 6.0 ), Boiling bathing for 15min; Block endogenous peroxidase by 3% Hydrogen peroxide for 30min; Blocking buffer (normal goat serum,C-0005) at 37℃ for 20 min;
Incubation: Anti-Anillin Polyclonal Antibody, Unconjugated(bs-7738R) 1:200, overnight at 4°C, followed by conjugation to the secondary antibody(SP-0023) and DAB(C-0010) staining



Primary Antibody (green line): Rabbit Anti-Anillin antibody (bs-7738R)
Dilution: 1μg /10^6 cells;
Isotype Control Antibody (orange line): Rabbit IgG .
Secondary Antibody : Goat anti-rabbit IgG-AF647
Dilution: 1μg /test.
Protocol
The cells were fixed with 4% PFA (10min at room temperature)and then permeabilized with 90% ice-cold methanol for 20 min at-20℃. The cells were then incubated in 5%BSA to block non-specific protein-protein interactions for 30 min at at room temperature .Cells stained with Primary Antibody for 30 min at room temperature. The secondary antibody used for 40 min at room temperature. Acquisition of 20,000 events was performed.
风险提示:丁香通仅作为第三方平台,为商家信息发布提供平台空间。用户咨询产品时请注意保护个人信息及财产安全,合理判断,谨慎选购商品,商家和用户对交易行为负责。对于医疗器械类产品,请先查证核实企业经营资质和医疗器械产品注册证情况。
文献和实验[IF={{ 5.79 }}] {Wang et al. F-actin binding protein, anillin, regulates integrity of intercellular junctions in human epithelial cells. (2015) Cell.Mol.Life.Sci. 72:3185-200} {IF} {Human}
[IF={{ 5.722 }}] {Xiao, Yu. et al. ANLN and UBE2T are prognostic biomarkers associated with immune regulation in breast cancer: a bioinformatics analysis. CANCER CELL INT. 2022 Dec;22(1):1-12} {IHC} {Human}
= NAL), appears to form upon oxidative cyclization of the nonfluorescent 2:1 lysine-HNE Michael adduct-Schiff base cross-link (Scheme 1). Polyclonal antibody (PAb) to the NAL-HNE fluorophore was raised in rabbit and found to be highly specific
GE Healthcare Benzamidine Sepharose™ 6B is p-aminobenzamidine covalently attached to Sepharose 6B by the epoxy coupling method. p-Aminobenzamidine (PAB), is a synthetic inhibitor of trypsin-like serine protease. Trypsin and trypsin
Nucleic Acid Programmable Protein Arrays: Versatile Tools for Array‐Based Functional Protein Studies
.g., Sigma) 50 mg/ml bis‐sulfosuccinimdylsuberate (BS3 ;Pierce, cat. no. PI 21580) in dimethylsulfoxide (DMSO) 5 mg/ml
技术资料暂无技术资料 索取技术资料






