相关产品推荐更多 >
万千商家帮你免费找货
0 人在求购买到急需产品
- 详细信息
- 技术资料
- 应用范围:
产品信息以Bioss网站为准
- 规格:
50ul/100ul/200ul
| 规格: | 50ul | 产品价格: | ¥1180.0 |
|---|---|---|---|
| 规格: | 100ul | 产品价格: | ¥1980.0 |
| 规格: | 200ul | 产品价格: | ¥2800.0 |
| 产品编号 | bs-8296R |
| 英文名称 | Matriptase 2 Rabbit pAb |
| 中文名称 | 膜型丝氨酸蛋白酶2抗体 |
| 英文别名 | Matriptase-2; Matriptase2; Membrane type serine proteinase 2; MTSP 2; MTSP2; PVAE354; TMPRSS 6; TMPRSS6; TMPS6_HUMAN; TMSP 6; TMSP6; Transmembrane protease serine 6; Type II Membrane Serine Proteinase 6. |
| 产品应用 | IHC-P=1:100-500, IHC-F=1:100-500, IF=1:100-500 Not yet tested in other applications. |
| 交叉反应 | Rat, 肝 (Human, Mouse, Chicken, Dog, Cow) |
| 抗体来源 | Rabbit |
| 免疫原 | KLH conjugated synthetic peptide derived from human Matriptase 2 |
| 亚型 | IgG |
| 性状 | Liquid |
| 纯化方法 | affinity purified by Protein A |
| 克隆类型 | Polyclonal |
| 理论分子量 | 89 kDa |
| 浓度 | 1mg/ml |
| 储存液 | 0.01M TBS (pH7.4) with 1% BSA, 0.02% Proclin300 and 50% Glycerol. |
| 研究领域 | Cell Biology > Proteolysis / Ubiquitin > Proteolytic enzymes > Serine protease > Matriptase Cell Biology > Proteolysis / Ubiquitin > Proteolytic enzymes > Serine protease > TMPRSS Signal Transduction > Cytoskeleton / ECM > Extracellular Matrix > ECM Enzymes > Other Enzymes |
| 亚基 | Interacts with CDCP1. May interact with TMEFF1. |
| 亚细胞定位 | Membrane; Single-pass type II membrane protein (Probable). |
| 组织特异性 | Liver specific. |
| 相似性 | Belongs to the peptidase S1 family.
Contains 2 CUB domains. Contains 4 LDL-receptor class A domains. Contains 1 peptidase S1 domain. |
| 功能 | Serine protease which hydrolyzes a range of proteins including type I collagen, fibronectin and fibrinogen. Can also activate urokinase-type plasminogen activator with low efficiency. May play a specialized role in matrix remodeling processes in liver. Required to sense iron deficiency. Overexpression suppresses activation of the HAMP promoter. |
| 保存条件 | Shipped at 4℃. Store at -20℃ for one year. Avoid repeated freeze/thaw cycles. |
| 注意事项 | This product as supplied is intended for research use only, not for use in human, therapeutic or diagnostic applications. |
| 背景资料 | The protein encoded by this gene is an epithelial-derived, integral membrane serine protease. This protease forms a complex with the Kunitz-type serine protease inhibitor, HAI-1, and is found to be activated by sphingosine 1-phosphate. This protease has been shown to cleave and activate hepatocyte growth factor/scattering factor, and urokinase plasminogen activator, which suggest the function of this protease as an epithelial membrane activator for other proteases and latent growth factors. The expression of this protease has been associated with breast, colon, prostate, and ovarian tumors, which implicates its role in cancer invasion, and metastasis. |
| 应用 | 推荐稀释比例 |
| {IHC-P} | {1:100-500} |
| {IHC-F} | {1:100-500} |
| {IF} | {1:100-500} |

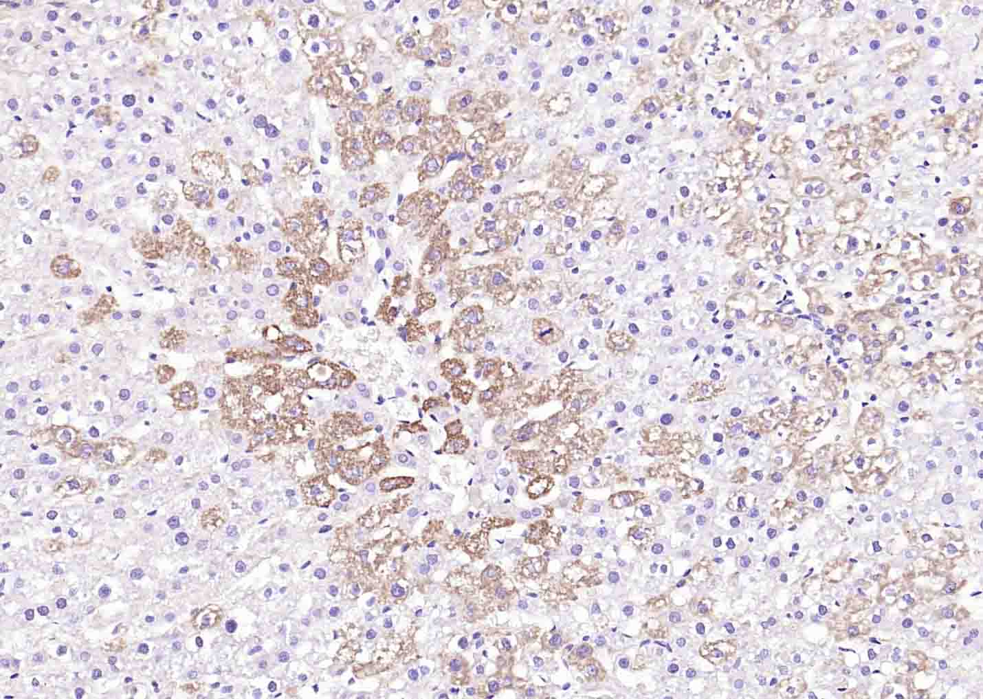
Paraformaldehyde-fixed, paraffin embedded (rat liver); Antigen retrieval by boiling in sodium citrate buffer (pH6.0) for 15min; Block endogenous peroxidase by 3% hydrogen peroxide for 20 minutes; Blocking buffer (normal goat serum) at 37°C for 30min; Incubation with (Matriptase 2) Polyclonal Antibody, Unconjugated (bs-8296R) at 1:200 overnight at 4°C, followed by operating according to SP Kit(Rabbit) (sp-0023) instructionsand DAB staining.
风险提示:丁香通仅作为第三方平台,为商家信息发布提供平台空间。用户咨询产品时请注意保护个人信息及财产安全,合理判断,谨慎选购商品,商家和用户对交易行为负责。对于医疗器械类产品,请先查证核实企业经营资质和医疗器械产品注册证情况。
技术资料暂无技术资料 索取技术资料
Matriptase 2 Rabbit pAb(bs-8296R)-50ul/100ul/200ul
¥1180 - 2800








