相关产品推荐更多 >

Beta tubulin Rabbit pAb, Biotin conjugated(bs-4511R-Bio)-100ul
¥2980
SOD1 Rabbit pAb, APC conjugated(bs-10216R-APC)-100ul
¥2980
GALM Rabbit pAb, AP conjugated(bs-13268R-AP)-100ul
¥2980
Nucleophosmin Rabbit pAb, Biotin conjugated(bs-3508R-Bio)-100ul
¥2980
CYP11B2 Rabbit pAb, HRP conjugated(bs-23823R-HRP)-100ul
¥2980
万千商家帮你免费找货
0 人在求购买到急需产品
- 详细信息
- 文献和实验
- 技术资料
- 应用范围:
产品信息以Bioss网站为准
- 规格:
50ul/100ul/200ul
| 规格: | 50ul | 产品价格: | ¥1180.0 |
|---|---|---|---|
| 规格: | 100ul | 产品价格: | ¥1980.0 |
| 规格: | 200ul | 产品价格: | ¥2800.0 |
| 产品编号 | bs-3996R |
| 英文名称 | MDH1 Rabbit pAb |
| 中文名称 | 可溶性苹果酸脱氢酶抗体 |
| 英文别名 | Cytosolic malate dehydrogenase; Malate dehydrogenase 1, NAD(soluble); MDHA; MDHs; Soluble malate dehydrogenase; Malate dehydrogenase; Diiodophenylpyruvate reductase; Malate dehydrogenase 1; Malate dehydrogenase 1 NAD(soluble); Malate dehydrogenase 2; Malate dehydrogenase cytoplasmic; Malate dehydrogenase 2 NAD(mitochondrial); MDH 1; MDH 2; MDH; MDH2; MDHA; MDHm; MDHs; MMDH; Mor 1; Mor 2; Mor1; MOR2; cytoplasmic; MDH s; MDHC_HUMAN; MGC:1375; SMDH; Soluble malate dehydrogenase. |
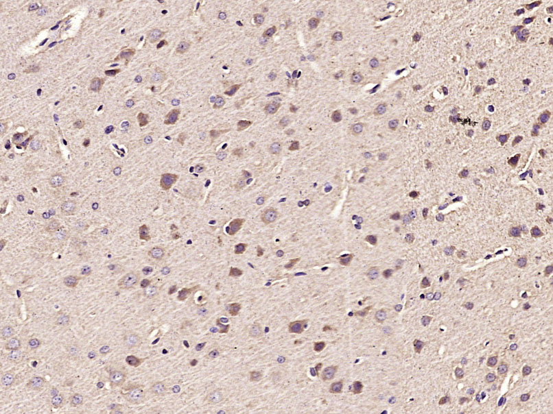
| 产品应用 | WB=1:500-2000, IHC-P=1:100-500, IHC-F=1:100-500, IF=1:100-500, Flow-Cyt=0.2ug/Test Not yet tested in other applications. |
| 交叉反应 | Human, Mouse, Rat (Chicken, Dog, Pig, Cow, Horse, Rabbit) |
| 抗体来源 | Rabbit |
| 免疫原 | KLH conjugated synthetic peptide derived from human MDH1 |
| 亚型 | IgG |
| 性状 | Liquid |
| 纯化方法 | affinity purified by Protein A |
| 克隆类型 | Polyclonal |
| 理论分子量 | 36 kDa |
| 浓度 | 1mg/ml |
| 储存液 | 0.01M TBS (pH7.4) with 1% BSA, 0.02% Proclin300 and 50% Glycerol. |
| 研究领域 | Cancer > Cancer Metabolism > Metabolic signaling pathway > Metabolism of carbohydrates Metabolism > Pathways and Processes > Metabolic signaling pathways > Carbohydrate metabolism Metabolism > Pathways and Processes > Metabolic signaling pathways > Energy transfer pathways > Energy Metabolism Signal Transduction > Metabolism > Energy Metabolism |
| 亚基 | Homodimer. |
| 亚细胞定位 | Cytoplasm. |
| 翻译后修饰 | ISGylated. Acetylation at Lys-118 dramatically enhances enzymatic activity and promotes adipogenic differentiation. |
| 相似性 | Belongs to the LDH/MDH superfamily. MDH type 2 family. |
| 保存条件 | Shipped at 4℃. Store at -20℃ for one year. Avoid repeated freeze/thaw cycles. |
| 注意事项 | This product as supplied is intended for research use only, not for use in human, therapeutic or diagnostic applications. |
| 背景资料 | Malate dehydrogenase catalyzes the reversible oxidation of malate to oxaloacetate, utilizing the NAD/NADH cofactor system in the citric acid cycle. Malate dehydrogenase 1 (MDH1) is localized to the cytoplasm and may play pivotal roles in the malate-aspartate shuttle that operates in the metabolic coordination between cytosol and mitochondria. |
| 应用 | 推荐稀释比例 |
| {WB} | {1:500-2000} |
| {IHC-P} | {1:100-500} |
| {IHC-F} | {1:100-500} |
| {IF} | {1:100-500} |
| {Flow-Cyt} | {0.2ug/Test} |

Primary Antibody (green line):Rabbit Anti-DMT1 antibody (bs-3996R)
Dilution: 1μg /10^6 cells;
Isotype Control Antibody (orange line): Rabbit IgG .
Secondary Antibody (white blue line): Goat anti-rabbit IgG-AF647
Dilution: 1μg /test.
Protocol
The cells were fixed with 4% PFA (10min at room temperature)and then permeabilized with PBST for 20 min at room temperature. The cells were then incubated in 5%BSA to block non-specific protein-protein interactions for 30 min at room temperature .Cells stained with Primary Antibody for 30 min at room temperature. The secondary antibody used for 40 min at room temperature. Acquisition of 20,000 events was performed.


Primary Antibody (green line): Rabbit Anti-MDH1 antibody (bs-3996)
Dilution: 0.2μg /10^6 cells;
Isotype Control Antibody (orange line): Rabbit IgG .
Secondary Antibody : Goat anti-rabbit IgG-PE
Dilution: 0.2μg /test.
Protocol
The cells were fixed with 4% PFA (10min at room temperature)and then permeabilized with 0.1% PBST for 20 min at room temperature. The cells were then incubated in 5%BSA to block non-specific protein-protein interactions for 30 min at at room temperature .Cells stained with Primary Antibody for 30 min at room temperature. The secondary antibody used for 40 min at room temperature. Acquisition of 20,000 events was performed.

Lane 1: Mouse Heart tissue lysates
Lane 2: Mouse Cerebrum tissue lysates
Lane 3: Mouse Kidney tissue lysates
Lane 4: Mouse Stomach tissue lysates
Lane 5: Rat Heart tissue lysates
Lane 6: Rat Cerebrum tissue lysates
Lane 7: Rat Stomach tissue lysates
Lane 8: Human HL-60 cell lysates
Lane 9: Human MOLT4 cell lysates
Primary: Anti-MDH1 (bs-3996R) at 1/1000 dilution
Secondary: IRDye800CW Goat Anti-Rabbit IgG at 1/20000 dilution
Predicted band size: 36 kDa
Observed band size: 36 kDa
风险提示:丁香通仅作为第三方平台,为商家信息发布提供平台空间。用户咨询产品时请注意保护个人信息及财产安全,合理判断,谨慎选购商品,商家和用户对交易行为负责。对于医疗器械类产品,请先查证核实企业经营资质和医疗器械产品注册证情况。
文献和实验[IF={{ 6.1 }}] {Paul, Subhojit, et al. "STAT3-RXR-Nrf2 activates systemic redox and energy homeostasis upon steep decline in pO 2 gradient." Redox Biology (2017).} {WB} {="Rat"}
[IF={{ 19.328 }}] {Patricia Altea-Manzano. et al. Reversal of mitochondrial malate dehydrogenase 2 enables anaplerosis via redox rescue in respiration-deficient cells. MOL CELL. 2022 Nov;:} {WB} {Human}
技术资料暂无技术资料 索取技术资料





