相关产品推荐更多 >

ZDHHC8 Rabbit pAb, PE-Cy5.5 conjugated(bs-18486R-PE-Cy5.5)-100ul
¥2980
H7N9 Matrix Protein 2 Rabbit pAb(bs-10300R)-50ul/100ul/200ul
¥1180
phospho-HER2 (Tyr1221) Rabbit pAb, BF405 conjugated(bs-13090R-BF405)-100ul
¥2980
Growth hormone receptor Rabbit pAb(bs-23024R)-50ul/100ul/200ul
¥1180
CASP4 Rabbit pAb(bs-20494R)-50ul/100ul/200ul
¥1180
万千商家帮你免费找货
0 人在求购买到急需产品
- 详细信息
- 文献和实验
- 技术资料
- 应用范围:
产品信息以Bioss网站为准
- 规格:
50ul/100ul/200ul
| 规格: | 50ul | 产品价格: | ¥1180.0 |
|---|---|---|---|
| 规格: | 100ul | 产品价格: | ¥1980.0 |
| 规格: | 200ul | 产品价格: | ¥2800.0 |
| 产品编号 | bs-8071R |
| 英文名称 | COQ8A Rabbit pAb |
| 中文名称 | 伴侣蛋白bc1同源复合体抗体 |
| 英文别名 | mitochondrial; aarF domain containing protein kinase 3; aarF domain-containing protein kinase 3; ADCK 3; ADCK3; ADCK3_HUMAN; CABC 1; Chaperone ABC1(activity of bc1 complex S.pombe) like; Chaperone ABC1 activity of bc1 complex homolog; Chaperone ABC1 like; Chaperone activity of bc1 complex like; Chaperone activity of bc1 complex like mitochondrial; Chaperone activity of bc1 complex-like; Chaperone-ABC1-like; Coenzyme Q8 homolog; COQ 8; COQ8. |
| 产品应用 | WB=1:500-2000, IHC-P=1:100-500, IHC-F=1:100-500, IF=1:100-500 Not yet tested in other applications. |
| 交叉反应 | Human, Rat (Mouse, Chicken, Dog, Pig, Cow, Horse, Rabbit, Sheep) |
| 抗体来源 | Rabbit |
| 免疫原 | KLH conjugated synthetic peptide derived from human COQ8A |
| 亚型 | IgG |
| 性状 | Liquid |
| 纯化方法 | affinity purified by Protein A |
| 克隆类型 | Polyclonal |
| 理论分子量 | 72 kDa |
| 浓度 | 1mg/ml |
| 储存液 | 0.01M TBS (pH7.4) with 1% BSA, 0.02% Proclin300 and 50% Glycerol. |
| 研究领域 | Cancer > Cancer Metabolism > Response to hypoxia Metabolism > Pathways and Processes > Metabolism processes > Hypoxia Metabolism > Pathways and Processes > Mitochondrial Metabolism > Mitochondrial markers Signal Transduction > Protein Trafficking > Chaperones > Other Chaperones Tags & Cell Markers > Subcellular Markers > Organelles > Mitochondria |
| 亚细胞定位 | Mitochondrion. |
| 组织特异性 | Ubiquitously expressed with a relativelygreater abundance in heart and skeletal muscle. |
| 相似性 | Belongs to the protein kinase superfamily. ADCKprotein kinase family. Contains 1 protein kinase domain. |
| 功能 | May be a chaperone-like protein essential for the properconformation and functioning of protein complexes in therespiratory chain. |
| 保存条件 | Shipped at 4℃. Store at -20℃ for one year. Avoid repeated freeze/thaw cycles. |
| 注意事项 | This product as supplied is intended for research use only, not for use in human, therapeutic or diagnostic applications. |
| 背景资料 | This gene encodes a mitochondrial protein similar to yeast ABC1, which functions in an electron-transferring membrane protein complex in the respiratory chain. It is not related to the family of ABC transporter proteins. Expression of this gene is induced by the tumor suppressor p53 and in response to DNA damage, and inhibiting its expression partially suppresses p53-induced apoptosis. Alternatively spliced transcript variants have been found; however, their full-length nature has not been determined. [provided by RefSeq, Jul 2008] |
| 应用 | 推荐稀释比例 |
| {WB} | {1:500-2000} |
| {IHC-P} | {1:100-500} |
| {IHC-F} | {1:100-500} |
| {IF} | {1:100-500} |

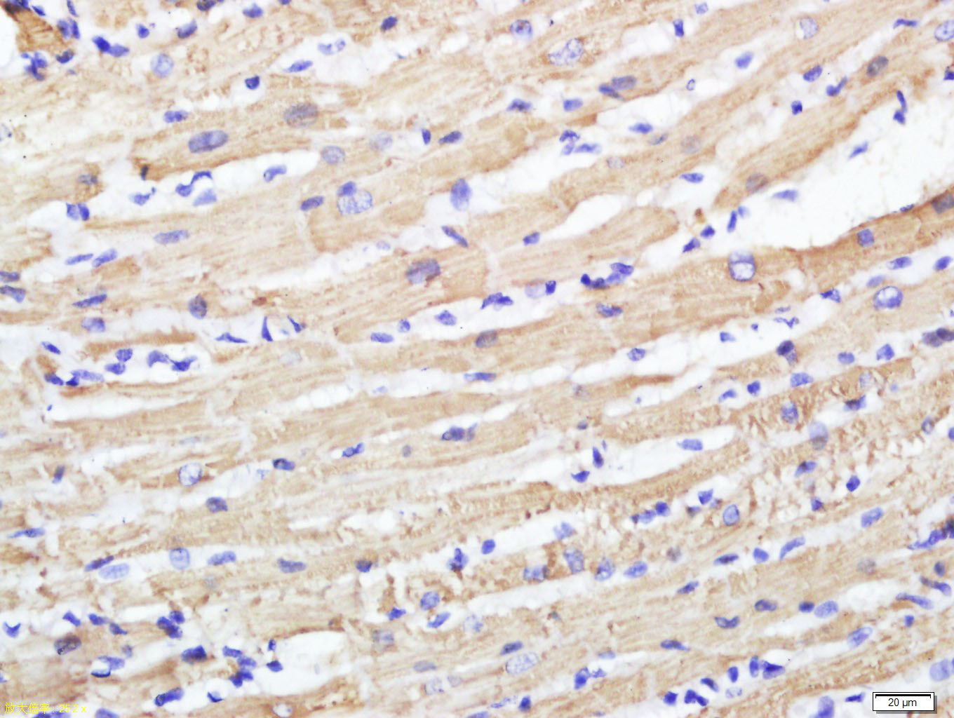
Antigen retrieval: citrate buffer ( 0.01M, pH 6.0 ), Boiling bathing for 15min; Block endogenous peroxidase by 3% Hydrogen peroxide for 30min; Blocking buffer (normal goat serum,C-0005) at 37℃ for 20 min;
Incubation: Anti-CABC1 Polyclonal Antibody, Unconjugated(bs-8071R) 1:500, overnight at 4°C, followed by conjugation to the secondary antibody(SP-0023) and DAB(C-0010) staining

HepG2(Human) Cell Lysate at 30 ug
Primary: Anti- CABC1 (bs-8071R) at 1/1000 dilution
Secondary: IRDye800CW Goat Anti-Rabbit IgG at 1/20000 dilution
Predicted band size: 72 kD
Observed band size: 75 kD
风险提示:丁香通仅作为第三方平台,为商家信息发布提供平台空间。用户咨询产品时请注意保护个人信息及财产安全,合理判断,谨慎选购商品,商家和用户对交易行为负责。对于医疗器械类产品,请先查证核实企业经营资质和医疗器械产品注册证情况。
文献和实验= NAL), appears to form upon oxidative cyclization of the nonfluorescent 2:1 lysine-HNE Michael adduct-Schiff base cross-link (Scheme 1). Polyclonal antibody (PAb) to the NAL-HNE fluorophore was raised in rabbit and found to be highly specific
GE Healthcare Benzamidine Sepharose™ 6B is p-aminobenzamidine covalently attached to Sepharose 6B by the epoxy coupling method. p-Aminobenzamidine (PAB), is a synthetic inhibitor of trypsin-like serine protease. Trypsin and trypsin
+e/MNcTXL5n8RmjoNHFCGBSf86HgcNl/Q/zf9vuKyPEgIvCGIxBJ8hsOacwwIhARiAhEBA5UBGqNqjWbdW1mtUrdyV+jXk1IYEMn4YM6nZDCutWqZR00rFzudxJZrSqt4jQGeGGlUkryU5yQd5U0nklDZ5tWqlZMJVhFW83qOrc7ruczQEBdHsWhjLryr9ZrXmZDaSCw5F9t1K2/UvY8KjXK0f+qSqEA8vGfJC77lUpFoiAsldKmPBG+r
技术资料暂无技术资料 索取技术资料






