相关产品推荐更多 >

PA26 Rabbit pAb, Cy3 conjugated(bs-8325R-Cy3)-100ul
¥2980
E1 glycoprotein Rabbit pAb(bs-0319R)-50ul/100ul/200ul
¥1180
phospho-AKT1 (Ser129) Rabbit pAb, RBITC conjugated(bs-10996R-RBITC)-100ul
¥2980
Synaptotagmin-4 Rabbit pAb, Biotin conjugated(bs-1897R-Bio)-100ul
¥2980
MPO Rabbit pAb, BF405 conjugated(bs-41105R-BF405)-100ul
¥2980
万千商家帮你免费找货
0 人在求购买到急需产品
- 详细信息
- 文献和实验
- 技术资料
- 应用范围:
产品信息以Bioss网站为准
- 规格:
50ul/100ul/200ul
| 规格: | 50ul | 产品价格: | ¥1180.0 |
|---|---|---|---|
| 规格: | 100ul | 产品价格: | ¥1980.0 |
| 规格: | 200ul | 产品价格: | ¥2800.0 |
| 产品编号 | bs-1608R |
| 英文名称 | PDCD4 Rabbit pAb |
| 中文名称 | 凋亡相关蛋白4抗体 |
| 英文别名 | PDCD-4; PDCD 4; Death up-regulated gene protein; Dug; H731; Ma3; MGC33046; MGC33047; Neoplastic transformation inhibitor; Neoplastic transformation inhibitor protein; Nuclear antigen H731; Nuclear antigen H731 like; Nuclear antigen H731 like protein; PDCD 4; Programmed cell death 4; programmed cell death 4(neoplastic transformation inhibitor); Programmed cell death protein 4; Protein 197/15a; Protein MA-3; RP11 348N5.4; Tis; Nuclear antigen H731-like; Pdcd4; PDCD4_HUMAN; Topoisomerase-inhibitor suppressed protein; Topoisomerase-inhibitor suppressed protein(programmed cell death 4). |
| 产品应用 | WB=1:500-2000, IHC-P=1:100-500, IHC-F=1:100-500, ICC/IF=1:100-500, IF=1:100-500, Flow-Cyt=2ug/Test Not yet tested in other applications. |
| 交叉反应 | Human, Mouse, Rat, HepG2 |
| 抗体来源 | Rabbit |
| 免疫原 | KLH conjugated synthetic peptide derived from human PDCD4 |
| 亚型 | IgG |
| 性状 | Liquid |
| 纯化方法 | affinity purified by Protein A |
| 克隆类型 | Polyclonal |
| 理论分子量 | 52 kDa |
| 浓度 | 1mg/ml |
| 储存液 | 0.01M TBS (pH7.4) with 1% BSA, 0.02% Proclin300 and 50% Glycerol. |
| 研究领域 | Cancer > Cell Death > Apoptosis Cancer > Cell Death > Apoptosis > Nucleus Cancer > Invasion/microenvironment > Apoptosis Cell Biology > Apoptosis > Nucleus Cell Biology > Cell Cycle > Cell Cycle Inhibitors Epigenetics and Nuclear Signaling > Transcription > Other factors |
| 亚基 | Interacts (via MI domains) with EIF4A2 (By similarity). Interacts (via MI domains) with EIF4A1 (via N-terminal domain). Heterotrimer with EIF4A1; one molecule of PDCD4 binds two molecules of EIF4A1. Interacts with EIF4G1. May form a complex with EIF4A1 and EIF4G1. The interaction between PDCD4 and EIF4A1 interferes with the interaction between EIF4A1 and EIF4G. When phosphorylated, interacts with BTRC and FBXW11. |
| 亚细胞定位 | Nucleus. Cytoplasm. Shuttles between the nucleus and cytoplasm. Predominantly nuclear under normal growth conditions, and when phosphorylated at Ser-457. Exported from the nucleus in the absence of serum. |
| 组织特异性 | Up-regulated in proliferative cells. Highly expressed in epithelial cells of the mammary gland. Reduced expression in lung cancer and colon carcinoma. |
| 翻译后修饰 | Polyubiquitinated, leading to its proteasomal degradation. Rapidly degraded in response to mitogens. Phosphorylation of the phosphodegron promotes interaction with BTRC and proteasomal degradation. |
| 相似性 | Belongs to the PDCD4 family. Contains 2 MI domains. |
| 功能 | Inhibits translation initiation and cap-dependent translation. May excert its function by hindering the interaction between EIF4A1 and EIF4G. Inhibits the helicase activity of EIF4A. Modulates the activation of JUN kinase. Down-regulates the expression of MAP4K1, thus inhibiting events important in driving invasion, namely, MAPK85 activation and consequent JUN-dependent transcription. May play a role in apoptosis. Tumor suppressor. Inhibits tumor promoter-induced neoplastic transformation. Binds RNA. |
| 保存条件 | Shipped at 4℃. Store at -20℃ for one year. Avoid repeated freeze/thaw cycles. |
| 注意事项 | This product as supplied is intended for research use only, not for use in human, therapeutic or diagnostic applications. |
| 背景资料 | This gene is a tumor suppressor and encodes a protein that binds to the eukaryotic translation initiation factor 4A1 and inhibits its function by preventing RNA binding. Alternative splicing results in multiple transcript variants. [provided by RefSeq, Dec 2010] |
| 应用 | 推荐稀释比例 |
| {WB} | {1:500-2000} |
| {IHC-P} | {1:100-500} |
| {IHC-F} | {1:100-500} |
| {ICC/IF} | {1:100-500} |
| {IF} | {1:100-500} |
| {Flow-Cyt} | {2ug/Test} |

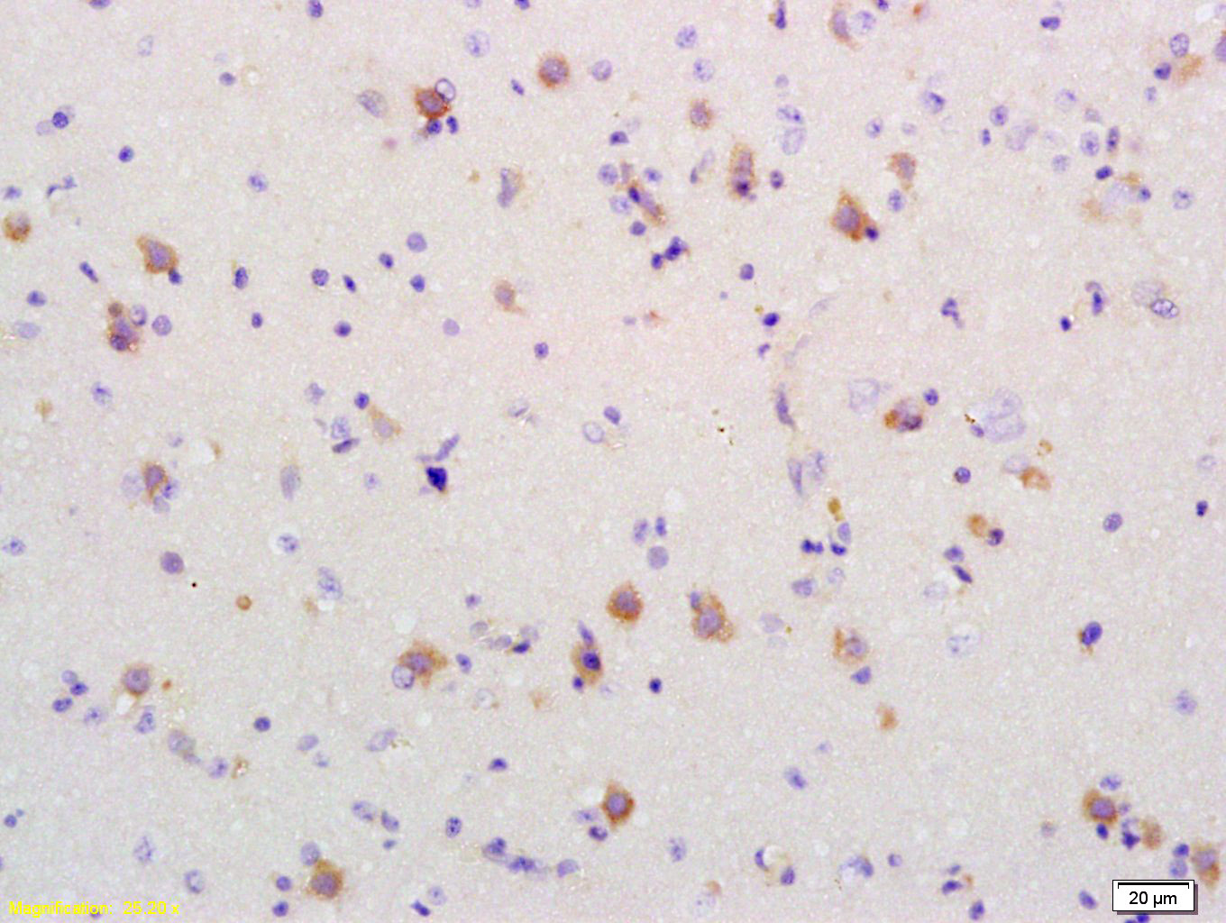
Antigen retrieval: citrate buffer ( 0.01M, pH 6.0 ), Boiling bathing for 15min; Block endogenous peroxidase by 3% Hydrogen peroxide for 30min; Blocking buffer (normal goat serum,C-0005) at 37℃ for 20 min;
Incubation: Anti-PDCD4 Polyclonal Antibody, Unconjugated(bs-1608R) 1:200, overnight at 4°C, followed by conjugation to the secondary antibody(SP-0023) and DAB(C-0010) staining

Antigen retrieval: citrate buffer ( 0.01M, pH 6.0 ), Boiling bathing for 15min; Blocking buffer (normal goat serum,C-0005) at 37℃ for 20 min;
Incubation: Anti-PDCD4 Polyclonal Antibody, Unconjugated(bs-1608R) 1:200, overnight at 4°C; The secondary antibody was Goat Anti-Rabbit IgG, Cy3 conjugated(bs-0295G-Cy3)used at 1:200 dilution for 40 minutes at 37°C. DAPI(5ug/ml,blue,C-0033) was used to stain the cell nuclei

Lane1: Kidney(Rat) Lysate at 30 ug
Lane2: Colon carcinoma(Mouse) Lysate at 30 ug
Primary: Anti-PDCD4 (bs-1608R) at 1:200 dilution;
Secondary: HRP conjugated Goat Anti-Rabbit IgG(bs-0295G-HRP) at 1:3000 dilution;
Predicted band size : 50kD
Observed band size : 50kD


Primary Antibody (green line): Rabbit Anti-PDCD4 antibody (bs-1608R)
Dilution:2ug/Test;
Secondary Antibody(white blue line): Goat anti-rabbit IgG-FITC
Dilution: 0.5ug/Test.
Isotype control(orange line): Normal Rabbit IgG
Protocol
The cells were fixed with 4% PFA (10min at room temperature)and then permeabilized with 90% ice-cold methanol for 20 min at -20℃, The cells were then incubated in 5%BSA to block non-specific protein-protein interactions for 30 min at room temperature .Cells stained with Primary Antibody for 30 min at room temperature. The secondary antibody used for 40 min at room temperature. Acquisition of 20,000 events was performed.
风险提示:丁香通仅作为第三方平台,为商家信息发布提供平台空间。用户咨询产品时请注意保护个人信息及财产安全,合理判断,谨慎选购商品,商家和用户对交易行为负责。对于医疗器械类产品,请先查证核实企业经营资质和医疗器械产品注册证情况。
文献和实验[IF={{ 4.2 }}] {Yuan, Qing, et al. "Docetaxel-loaded solid lipid nanoparticles suppress breast cancer cells growth with reduced myelosuppression toxicity." International Journal of Nanomedicine 9 (2014): 4829.} {WB} {="Mouse"}
[IF={{ 3.4 }}] {Li Yu. et al. PDCD4 promotes inflammation/fibrosis by activating the PPAR‑γ/NF‑κB pathway in mouse atrial myocytes. MOL MED REP. 2024 Nov;30(5):1-10} {WB} {Mouse}
技术资料暂无技术资料 索取技术资料





