相关产品推荐更多 >

SCN10A/Nav1.8 Rabbit pAb(bs-6685R)-50ul/100ul/200ul
¥1180
EZH2 Rabbit pAb, BF680 conjugated(bs-3521R-BF680)-100ul
¥2980
phospho-PKC Epsilon (Ser729) Rabbit pAb, AP conjugated(bs-8608R-AP)-100ul
¥2980
RAD21 Rabbit pAb, BF405 conjugated(bs-4284R-BF405)-100ul
¥2980
Anti-HBsAg (OST 577 Biosimilar)(BIO0954SM)-1mg/5mg/20mg
¥3200
万千商家帮你免费找货
0 人在求购买到急需产品
- 详细信息
- 文献和实验
- 技术资料
- 应用范围:
产品信息以Bioss网站为准
- 规格:
50ul/100ul/200ul
| 规格: | 50ul | 产品价格: | ¥1180.0 |
|---|---|---|---|
| 规格: | 100ul | 产品价格: | ¥1980.0 |
| 规格: | 200ul | 产品价格: | ¥2800.0 |
| 产品编号 | bs-3142R |
| 英文名称 | phospho-FoxO1 (Ser256) Rabbit pAb |
| 中文名称 | 磷酸化叉头蛋白家族1抗体 |
| 英文别名 | FOXO1A(phospho S256); p-FOXO1A(phospho S256); FKHR(phospho-Ser256); Forkhead box protein O1; Afxh; AI876417; FKHR; Fkhr1; Foxo1a; Forkhead; FKH 1; FKH1; FKH1; FKHR; FKHR; Forkhead(Drosophila) homolog 1(rhabdomyosarcoma); Forkhead(Drosophila) homolog 1(rhabdomyosarcoma); Forkhead box O1; Forkhead box protein O1; Forkhead box protein O1A; Forkhead in rhabdomyosarcoma; Forkhead, Drosophila, homolog of, in rhabdomyosarcoma; FOXO1; FOXO1; FOXO1_HUMAN; FOXO1A. |
| 产品应用 | IHC-P=1:100-500, IHC-F=1:100-500, IF=1:100-500, Flow-Cyt=1μg /Test, ELISA=1:5000-10000 Not yet tested in other applications. |
| 交叉反应 | Human, Mouse, Rat, Rabbit (Chicken, Dog, Pig, Cow, Horse) |
| 抗体来源 | Rabbit |
| 免疫原 | KLH conjugated Synthesised phosphopeptide derived from human FOXO1 around the phosphorylation site of Ser256 |
| 亚型 | IgG |
| 性状 | Liquid |
| 纯化方法 | affinity purified by Protein A |
| 克隆类型 | Polyclonal |
| 理论分子量 | 72 kDa |
| 浓度 | 1mg/ml |
| 储存液 | 0.01M TBS (pH7.4) with 1% BSA, 0.02% Proclin300 and 50% Glycerol. |
| 研究领域 | Cancer > Signal transduction > Nuclear signaling > Nuclear hormone receptors > Coactivators and repressors Epigenetics and Nuclear Signaling > Nuclear Signaling Pathways > Nuclear Receptors > Co-activators/co-repressors Epigenetics and Nuclear Signaling > Transcription > Domain Families > Forkhead Box > FOXO Metabolism > Types of disease > Obesity Neuroscience > Neurology process > Neurogenesis Signal Transduction > Signaling Pathway > Nuclear Signaling > Nuclear Hormone Receptors > Co-activators/co-repressors |
| 亚基 | Interacts with LRPPRC. Interacts with SIRT1 and this interaction requires the presence of KRIT1. Interacts with NLK. Binds to CDK1 and 14-3-3 proteins. |
| 亚细胞定位 | Cytoplasm. Nucleus. Note=Shuttles between cytoplasm and nucleus. Translocates to the nucleus upon oxidative stress induced phosphorylation at Ser-212 by STK4/MST1. Translocates to the nucleus upon phosphorylation of Thr-24, Ser-256 and Ser-322 by SGK1. |
| 组织特异性 | Ubiquitous. |
| 翻译后修饰 | Phosphorylated by AKT1; insulin-induced. Phosphorylated by NLK, which inhibits transcriptional activity and promotes nuclear export (By similarity). IGF1 rapidly induces phosphorylation of Ser-256, Thr-24, and Ser-319. Phosphorylation of Ser-256 decreases DNA-binding activity and promotes the phosphorylation of Thr-24, and Ser-319, permitting phosphorylation of Ser-322 and Ser-325, probably by CK1, leading to nuclear exclusion and loss of function. Phosphorylation of Ser-329 is independent of IGF1 and leads to reduced function. Phosphorylated upon DNA damage, probably by ATM or ATR. Phosphorylation of Ser-249 by CDK1 disrupts 14-3-3 proteins binding and thereby promotes FOXO1 nuclear accumulation and subsequent transcription activation and cell death. Phosphorylated by STK4/MST1 on Ser-212 upon oxidative stress. Phosphorylated on Thr-24, Ser-256 and Ser-322 by SGK1 resulting in its translocation from the nucleus to the cytoplasm. |
| 相似性 | Contains 1 fork-head DNA-binding domain. |
| 功能 | Transcription factor which acts as a regulator of cell responses to oxidative stress. In the presence of KIRT1, mediates down-regulation of cyclin D1 and up-regulation of CDKN1B levels which are required for cell transition from proliferative growth to quiescence. Triggers death of postmitotic neurons when phosphorylated by CDK1. Activates transcription of PMAIP1. |
| 保存条件 | Shipped at 4℃. Store at -20℃ for one year. Avoid repeated freeze/thaw cycles. |
| 注意事项 | This product as supplied is intended for research use only, not for use in human, therapeutic or diagnostic applications. |
| 背景资料 | This gene belongs to the forkhead family of transcription factors which are characterized by a distinct forkhead domain. The specific function of this gene has not yet been determined; however, it may play a role in myogenic growth and differentiation. Translocation of this gene with PAX3 has been associated with alveolar rhabdomyosarcoma. [provided by RefSeq]. |
| 应用 | 推荐稀释比例 |
| {IHC-P} | {1:100-500} |
| {IHC-F} | {1:100-500} |
| {IF} | {1:100-500} |
| {Flow-Cyt} | {1μg /Test} |
| {ELISA} | {1:5000-10000} |


Primary Antibody: Rabbit Anti- Phospho-FoxO1 (Ser256)/FITC antibody(bs-3142R-FITC), Dilution: 1μg in 100 μL 1X PBS containing 0.5% BSA;
Isotype Control Antibody: Rabbit IgG/FITC(orange) ,used under the same conditions.

Green line : Primary Antibody (Rabbit Anti-Phospho-FoxO1 (Ser256) antibody (bs-3142R) )
Orange line:Isotype Control Antibody (Rabbit IgG) .
Blue line : Secondary Antibody (Goat anti-rabbit IgG-AF488)
Hela(Positive)and Molt4(Negative control)cells (black) were fixed with 4% PFA for 10min at room temperature, permeabilized with 90% ice-cold methanol for 20 min at -20℃, and incubated in 5% BSA blocking buffer for 30 min at room temperature. Cells were then stained with Phospho-FoxO1 (Ser256) Antibody(bs-3142R)at 1:50 dilution in blocking buffer and incubated for 30 min at room temperature, washed twice with 2% BSA in PBS, followed by secondary antibody(blue) incubation for 40 min at room temperature. Acquisitions of 20,000 events were performed. Cells stained with primary antibody (green), and isotype control (orange).










Primary Antibody (green line): Rabbit Anti-Phospho-FoxO1 (Ser256) antibody (bs-3142R)
Dilution: 1μg /10^6 cells;
Isotype Control Antibody (orange line): Rabbit IgG .
Secondary Antibody : Goat anti-rabbit IgG-AF647
Dilution: 1μg /test.
Protocol
The cells were fixed with 4% PFA (10min at room temperature)and then permeabilized with 90% ice-cold methanol for 20 min at -20℃. The cells were then incubated in 5%BSA to block non-specific protein-protein interactions for 30 min at room temperature .Cells stained with Primary Antibody for 30 min at room temperature. The secondary antibody used for 40 min at room temperature. Acquisition of 20,000 events was performed.

风险提示:丁香通仅作为第三方平台,为商家信息发布提供平台空间。用户咨询产品时请注意保护个人信息及财产安全,合理判断,谨慎选购商品,商家和用户对交易行为负责。对于医疗器械类产品,请先查证核实企业经营资质和医疗器械产品注册证情况。
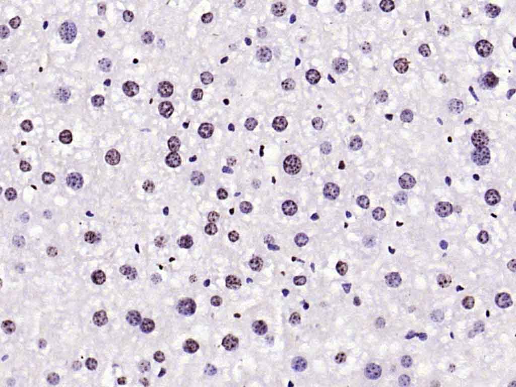
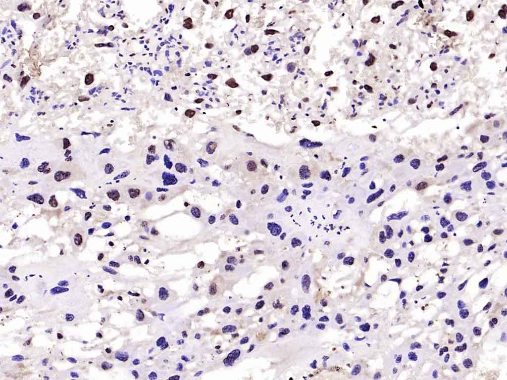
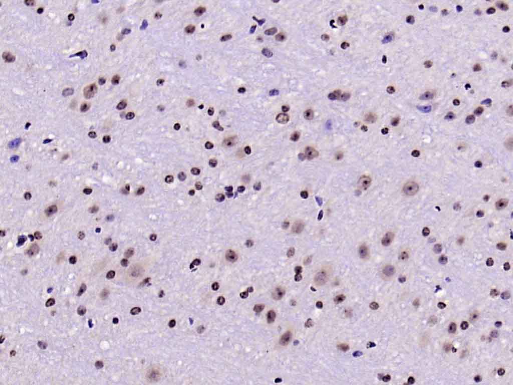
文献和实验[IF={{ 6.7 }}] {Ling-Xiao Zhao. et al. Osmundacetone ameliorates Alzheimer's-like pathologies by inhibiting β-amyloid fibrillation, oxidative damage and neuroinflammation in APP/PS1 transgenic mice. PHYTOMEDICINE. 2024 Sep;:156091} {WB} {Mouse}
[IF={{ 6.513 }}] {Rodrigo M. Pereira. et al. FOXO1 is downregulated in obese mice subjected to short-term strength training. J CELL PHYSIOL. 2022 Sep;:} {IHC} {Mouse}
[IF={{ 6.014 }}] {Lucca LE et al. TIGIT signaling restores suppressor function of Th1 Tregs. JCI Insight. 2019 Feb 7;4(3). pii: 124427.} {FCM} {Human}
[IF={{ 5.9 }}] {Qiuyu Zhang. et al. PD-1 induces autophagy via the PI3K/AKT/FoxO1 pathway to promote infectious bursal disease virus replication. FRONT IMMUNOL. 2025 Jul;16:1585012} {WB} {Chicken}
[IF={{ 2.81 }}] {Kinoshita et al. Associations between Forkhead Box O1 (FoxO1) Expression and Indicators of Hepatic Glucose Production in Transition Dairy Cows Supplemented with Dietary Nicotinic Acid. (2016) PLoS.On. 11:e0146670} {WB} {Bovine}
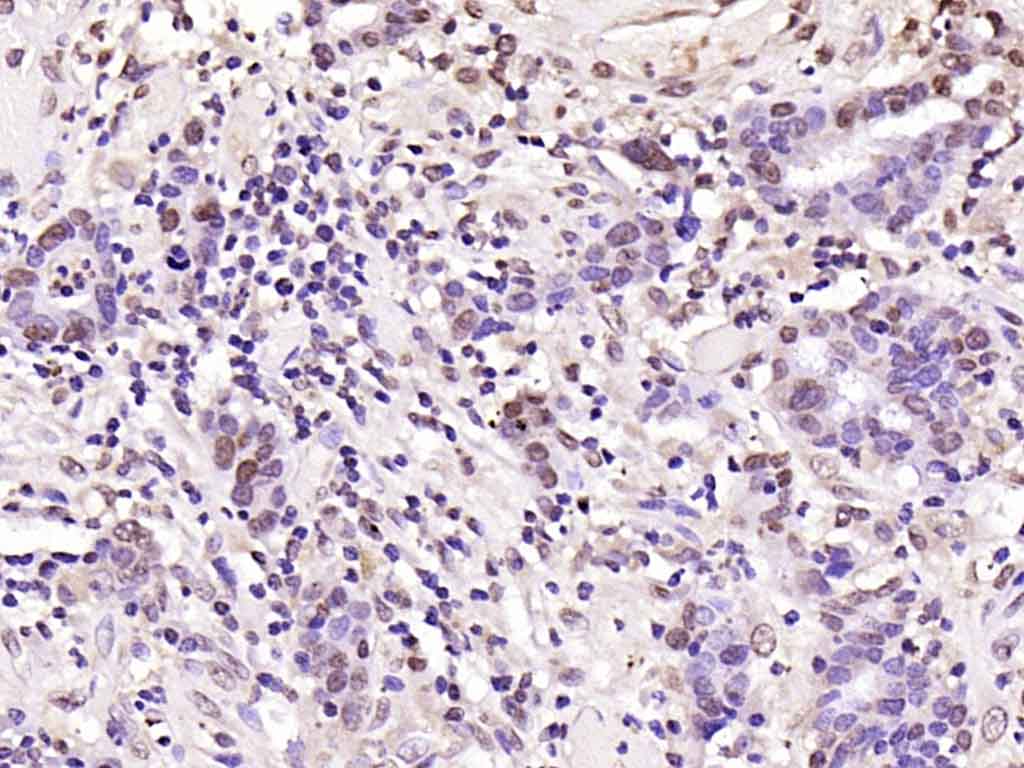
:使用 Anti-phospho-Akt (Ser473) Rabbit mAb 对石蜡包埋的人乳腺癌组织进行免疫组织化学分析。(图 A)使用免疫组化试剂盒M&R HRP/DAB Detection IHC Kit,抗体 1:100 稀释;(图 B) 采用普通免疫组化试剂盒,抗体 1:25 稀释。 图 6 免疫组化实验检测 Erk1/2 表达 注:使用 Anti-Erk1/2 Mouse mAb与p44/42 MAPK (Erk1/2)Rabbit mAb 对正常小鼠心脏组织进行免疫
at 10, 25, and 50 μM). At 24 h post-treatment, celllysates were obtained; SDS-PAGE and Western blotting were performed as described in Section 3, Methods. AR-A014418dose-dependent decreases of phospho-β-catenin (Ser33/37) and phospho-glycogen synthase
(Ser473)(193H12)Rabbit mAb,1:300,稀释,二抗是驴抗兔,1:2000,我是实验室的新手,刚呆俩月,受 此挫折,一头雾水,请过来人或者有经验的同学帮忙解答怎样解决,非常感谢! 碧峤 pAkt有两个位点,Ser473和Thr308,其中Ser473相对容易显色。如果显色失败,可能的原因:1 上样量过少,我们一般都是30μg;2 一抗孵育时间过短,我们一般24h~48h;3 一抗是否工作有待排除 米宝
技术资料暂无技术资料 索取技术资料






