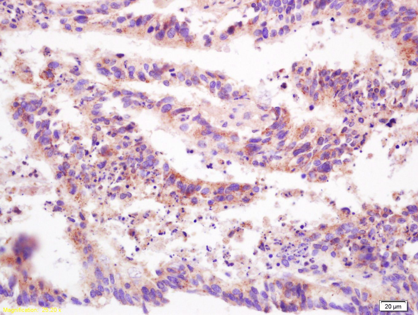
Tissue/cell: human colon carcinoma; 4% Paraformaldehyde-fixed and paraffin-embedded;
Antigen retrieval: citrate buffer ( 0.01M, pH 6.0 ), Boiling bathing for 15min; Block endogenous peroxidase by 3% Hydrogen peroxide for 30min; Blocking buffer (normal goat serum,C-0005) at 37℃ for 20 min;
Incubation: Anti-PTP/PTPase/CD148 Polyclonal Antibody, Unconjugated(bs-2567R) 1:200, overnight at 4°C, followed by conjugation to the secondary antibody(SP-0023) and DAB(C-0010) staining
相关产品推荐更多 >

phospho-MAPKAPK2 (Thr222) Rabbit pAb, Biotin conjugated(bs-3261R-Bio)-100ul
¥2980
Anti-human CTLA-4 / CD152 (Ipilimumab Biosimilar)(BIO0018SM)-1mg/5mg/20mg
¥3200
phospho-CHEK2 (Ser516) Rabbit pAb(bs-5257R)-50ul/100ul/200ul
¥1180
OR5D14 Rabbit pAb(bs-17931R)-50ul/100ul/200ul
¥1180
RNF7 Rabbit pAb(bs-7570R)-50ul/100ul/200ul
¥1180
万千商家帮你免费找货
0 人在求购买到急需产品
- 详细信息
- 文献和实验
- 技术资料
- 应用范围:
产品信息以Bioss网站为准
- 规格:
50ul/100ul/200ul
| 规格: | 50ul | 产品价格: | ¥1180.0 |
|---|---|---|---|
| 规格: | 100ul | 产品价格: | ¥1980.0 |
| 规格: | 200ul | 产品价格: | ¥2800.0 |
| 产品编号 | bs-2567R |
| 英文名称 | DEP1 Rabbit pAb |
| 中文名称 | 蛋白酪氨酸磷酸酶CD148抗体 |
| 英文别名 | CD 148; CD148; CD148 antigen; Density enhanced phosphatase 1; Density-enhanced phosphatase 1; DEP 1; DEP-1; HPTP eta; HPTPeta; Human density enhanced phosphatase 1; Protein tyrosine phosphatase eta; Protein tyrosine phosphatase receptor type J; Protein tyrosine phosphatase receptor type J polypeptide; Protein-tyrosine phosphatase eta; Protein-tyrosine phosphatase receptor type J; PTPJ; Ptprj; PTPRJ_HUMAN; R PTP Eta; R-PTP-eta; R-PTP-J; Receptor type tyrosine protein phosphatase eta; Receptor-type tyrosine-protein phosphatase eta; SCC 1; SCC1. |
| 产品应用 | IHC-P=1:100-500, IHC-F=1:100-500, IF=1:100-500 Not yet tested in other applications. |
| 交叉反应 | Human (Mouse, Rat, Rabbit) |
| 抗体来源 | Rabbit |
| 免疫原 | KLH conjugated synthetic peptide derived from human PTPRJ |
| 亚型 | IgG |
| 性状 | Liquid |
| 纯化方法 | affinity purified by Protein A |
| 克隆类型 | Polyclonal |
| 理论分子量 | 147 kDa |
| 浓度 | 1mg/ml |
| 储存液 | 0.01M TBS (pH7.4) with 1% BSA, 0.02% Proclin300 and 50% Glycerol. |
| 研究领域 | Signal Transduction > Protein Phosphorylation > Tyrosine Kinases > Receptor Tyrosine Kinases Signal Transduction > Protein Phosphorylation > Tyrosine Phosphatases |
| 亚基 | Monomer. Interacts with CTNNB1 (phosphorylated) and JUP (phosphorylated). Interacts with FLT3 (phosphorylated). Interacts with GAB1 and GRB2. |
| 亚细胞定位 | Cell membrane. |
| 组织特异性 | Expressed in the promyelocytic cell line HL60, the granulocyte-macrophage colony-stimulating factor-dependent leukemic cell line F-36P, and the interleukin-3 and erythropoietin-dependent leukemic cell line F-36E. Expressed predominantly in epithelial cells and lymphocytes. Enhanced expression at high cell density. |
| 翻译后修饰 | N- and O-glycosylated. |
| 相似性 | Belongs to the protein-tyrosine phosphatase family. Receptor class 3 subfamily.
Contains 9 fibronectin type-III domains. Contains 1 tyrosine-protein phosphatase domain. |
| 功能 | Tyrosine phosphatase which dephosphorylates or contributes to the dephosphorylation of CTNND1, FLT3, PDGFRB, MET, RET (variant MEN2A), KDR, LYN, SRC, MAPK1, MAPK3, EGFR, TJP1, OCLN, PIK3R1 and PIK3R2. Plays a role in cell adhesion, migration, proliferation and differentiation. Involved in vascular development. Regulator of macrophage adhesion and spreading. Positively affects cell-matrix adhesion. Positive regulator of platelet activation and thrombosis. Negative regulator of cell proliferation. Negative regulator of PDGF-stimulated cell migration; through dephosphorylation of PDGFR. Positive regulator of endothelial cell survival, as well as of VEGF-induced SRC and AKT activation; through KDR dephosphorylation. Negative regulator of EGFR signaling pathway; through EGFR dephosphorylation. Enhances the barrier function of epithelial junctions during reassembly. Negatively regulates T-cell receptor (TCR) signaling. Upon T-cell TCR activation, it is up-regulated and excluded from the immunological synapses, while upon T-cell-antigen presenting cells (APC) disengagement, it is no longer excluded and can dephosphorylate PLCG1 and LAT to down-regulate prolongation of signaling. |
| 保存条件 | Shipped at 4℃. Store at -20℃ for one year. Avoid repeated freeze/thaw cycles. |
| 注意事项 | This product as supplied is intended for research use only, not for use in human, therapeutic or diagnostic applications. |
| 背景资料 | The protein encoded by this gene is a member of the protein tyrosine phosphatase (PTP) family. PTPs are known to be signaling molecules that regulate a variety of cellular processes, including cell growth, differentiation, mitotic cycle, and oncogenic transformation. This PTP possesses an extracellular region containing five fibronectin type III repeats, a single transmembrane region, and a single intracytoplasmic catalytic domain, and thus represents a receptor-type PTP. This protein is present in all hematopoietic lineages, and was shown to negatively regulate T cell receptor signaling possibly through interfering with the phosphorylation of Phospholipase C Gamma 1 and Linker for Activation of T Cells. This protein can also dephosphorylate the PDGF beta receptor, and may be involved in UV-induced signal transduction. Multiple transcript variants encoding different isoforms have been found for this gene. [provided by RefSeq]. |
| 应用 | 推荐稀释比例 |
| {IHC-P} | {1:100-500} |
| {IHC-F} | {1:100-500} |
| {IF} | {1:100-500} |


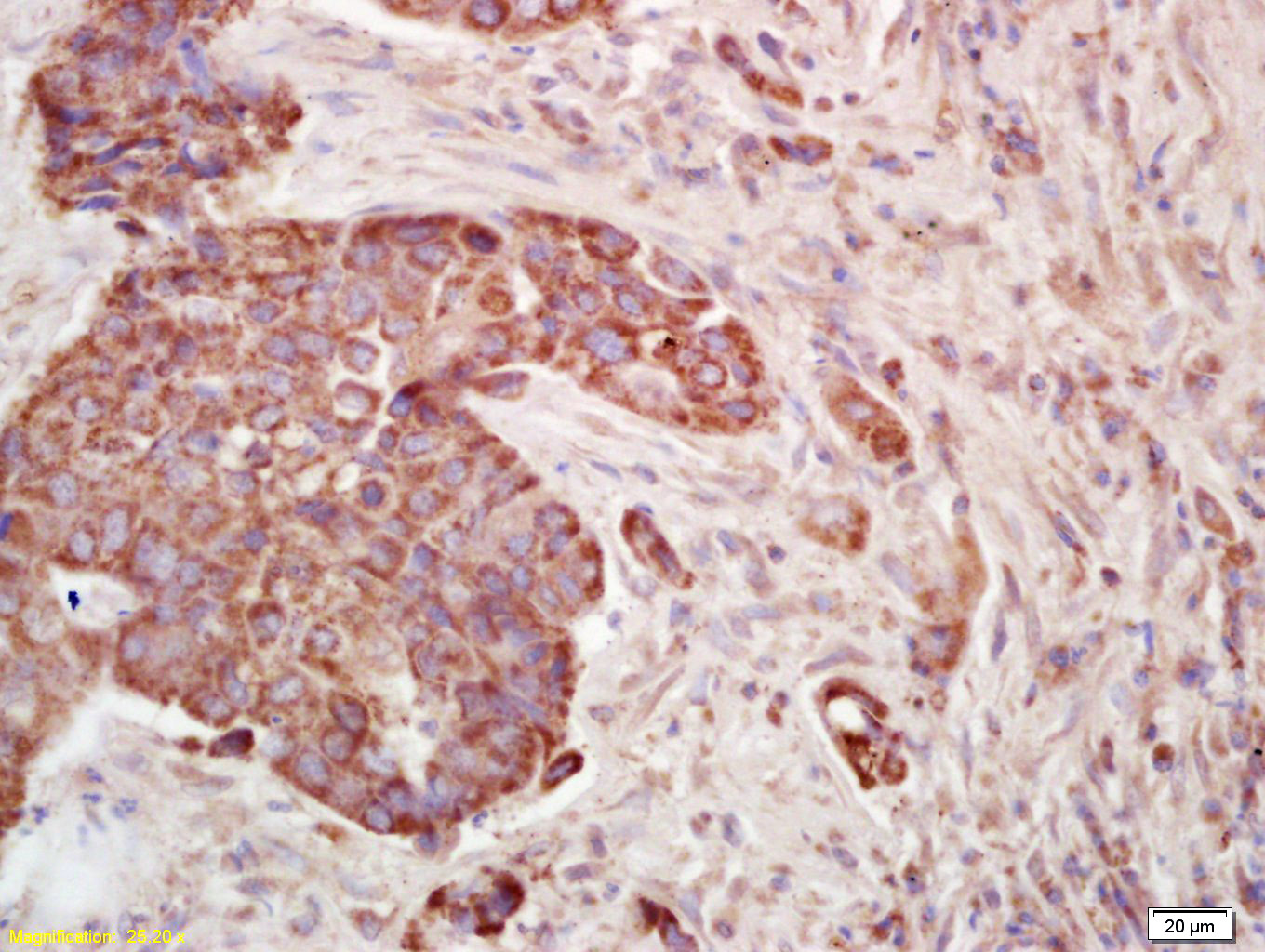
Tissue/cell: human lung carcinoma; 4% Paraformaldehyde-fixed and paraffin-embedded;
Antigen retrieval: citrate buffer ( 0.01M, pH 6.0 ), Boiling bathing for 15min; Block endogenous peroxidase by 3% Hydrogen peroxide for 30min; Blocking buffer (normal goat serum,C-0005) at 37℃ for 20 min;
Incubation: Anti-PTP/PTPase/CD148 Polyclonal Antibody, Unconjugated(bs-2567R) 1:200, overnight at 4°C, followed by conjugation to the secondary antibody(SP-0023) and DAB(C-0010) staining
Antigen retrieval: citrate buffer ( 0.01M, pH 6.0 ), Boiling bathing for 15min; Block endogenous peroxidase by 3% Hydrogen peroxide for 30min; Blocking buffer (normal goat serum,C-0005) at 37℃ for 20 min;
Incubation: Anti-PTP/PTPase/CD148 Polyclonal Antibody, Unconjugated(bs-2567R) 1:200, overnight at 4°C, followed by conjugation to the secondary antibody(SP-0023) and DAB(C-0010) staining
风险提示:丁香通仅作为第三方平台,为商家信息发布提供平台空间。用户咨询产品时请注意保护个人信息及财产安全,合理判断,谨慎选购商品,商家和用户对交易行为负责。对于医疗器械类产品,请先查证核实企业经营资质和医疗器械产品注册证情况。
文献和实验该产品被引用文献
[IF={{ 14.3 }}] {Mi Bai. et al. Meis1 Targets Protein Tyrosine Phosphatase Receptor J in Fibroblast to Retard Chronic Kidney Disease Progression. ADV SCI. 2024 Aug;:2309754} {WB} {Rat}
技术资料暂无技术资料 索取技术资料
文献支持
DEP1 Rabbit pAb(bs-2567R)-50ul/100ul/200ul
¥1180 - 2800





