相关产品推荐更多 >

ATG14 Rabbit pAb(bs-7462R)-50ul/100ul/200ul
¥1180
phospho-STK25 (Thr174) Rabbit pAb, Biotin conjugated(bs-10683R-Bio)-100ul
¥2980
phospho-Girdin (Ser1417) Rabbit pAb(bs-6465R)-50ul/100ul/200ul
¥1180
EEA1 Rabbit pAb, FITC conjugated(bs-11250R-FITC)-100ul
¥2980
SGOL2 Rabbit pAb, Biotin conjugated(bs-24137R-Bio)-100ul
¥2980
万千商家帮你免费找货
0 人在求购买到急需产品
- 详细信息
- 文献和实验
- 技术资料
- 应用范围:
产品信息以Bioss网站为准
- 规格:
50ul/100ul/200ul
| 规格: | 50ul | 产品价格: | ¥1180.0 |
|---|---|---|---|
| 规格: | 100ul | 产品价格: | ¥1980.0 |
| 规格: | 200ul | 产品价格: | ¥2800.0 |
| 产品编号 | bs-2127R |
| 英文名称 | 5HT4 Receptor Rabbit pAb |
| 中文名称 | 5-羟色胺受体4抗体 |
| 英文别名 | 5-HTR4(5-hydroxytryptamine(serotonin) receptor 4a); Htr4a; 5-HT4; 5-HT4A; 5HT4; Htr45 HT 4; 5 HT4; 5 HT4R; 5 hydroxytryptamine 4 receptor; 5 hydroxytryptamine receptor 4; 5 hydroxytryptamine serotonin receptor 4; 5 hydroxytryptamine4 receptor; 5HT4; 5HT4R; Cardiac 5 HT4 receptor; HTR 4; HTR4; Serotonin 5 HT4 receptor; Serotonin receptor 4; 5HT4R_HUMAN. |
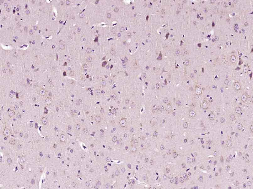
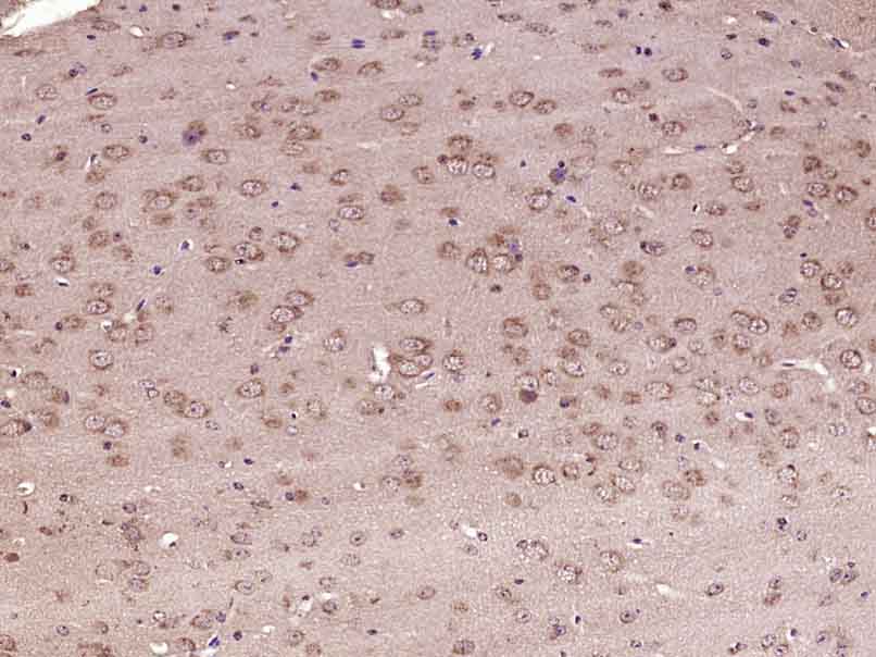
| 产品应用 | WB=1:500-2000, IHC-P=1:100-500, IHC-F=1:100-500, IF=1:200-800 Not yet tested in other applications. |
| 交叉反应 | Mouse, Rat (Human, Chicken, Cow) |
| 抗体来源 | Rabbit |
| 免疫原 | KLH conjugated synthetic peptide derived from human 5-HTR4 |
| 亚型 | IgG |
| 性状 | Liquid |
| 纯化方法 | affinity purified by Protein A |
| 克隆类型 | Polyclonal |
| 理论分子量 | 43 kDa |
| 浓度 | 1mg/ml |
| 储存液 | 0.01M TBS (pH7.4) with 1% BSA, 0.02% Proclin300 and 50% Glycerol. |
| 研究领域 | Metabolism > Types of disease > Obesity Neuroscience > Neurotransmission > Receptors / Channels > GPCR > Serotonin Receptors |
| 亚基 | Isoform 5-HT4(A) interacts with MAGI2, MPP3, SLC9A3R1 and SNX27 isoforms 1 and 2. Isoform 5-HT4(E) interacts with INADL, NOS1 and SEC23A. Isoform 5-HT4(A) forms a complex including SLC9A3R1 and EZR. |
| 亚细胞定位 | Cell membrane; Multi-pass membrane protein. Endosome. Note=Interaction with SNX27 mediates recruitment to early endosomes, while interaction with SLC9A3R1 and EZR might target the protein to specialized subcellular regions, such as microvilli. |
| 组织特异性 | soform 5-HT4(A) is expressed in ileum, brain, and atrium, but not in the ventricle. |
| 相似性 | Belongs to the G-protein coupled receptor 1 family. |
| 功能 | This is one of the several different receptors for 5-hydroxytryptamine (serotonin), a biogenic hormone that functions as a neurotransmitter, a hormone, and a mitogen. The activity of this receptor is mediated by G proteins that stimulate adenylate cyclase. |
| 保存条件 | Shipped at 4℃. Store at -20℃ for one year. Avoid repeated freeze/thaw cycles. |
| 注意事项 | This product as supplied is intended for research use only, not for use in human, therapeutic or diagnostic applications. |
| 背景资料 | This gene is a member of the family of serotonin receptors, which are G protein coupled receptors that stimulate cAMP production in response to serotonin (5-hydroxytryptamine). The gene product is a glycosylated transmembrane protein that functions in both the peripheral and central nervous system to modulate the release of various neurotransmitters. Multiple transcript variants encoding proteins with distinct C-terminal sequences have been described. [provided by RefSeq, May 2010] |
| 应用 | 推荐稀释比例 |
| {WB} | {1:500-2000} |
| {IHC-P} | {1:100-500} |
| {IHC-F} | {1:100-500} |
| {IF} | {1:200-800} |


Lane 1: Stomach (Mouse) Tissue Lysate at 40 ug
Lane 2: Cerebrum (Mouse) Tissue Lysate at 40 ug
Lane 3: Heart (Mouse) Tissue Lysate at 40 ug
Lane 4: Adrenal gland (Mouse) Tissue Lysate at 40 ug
Lane 5: Adrenal gland (Rat) Tissue Lysate at 40 ug
Primary: Anti-5HT4 Receptor (bs-2127R) at 1/1000 dilution
Secondary: IRDye800CW Goat Anti-Rabbit IgG at 1/20000 dilution
Predicted band size: 43 kD
Observed band size: 48 kD



Large intestine (Mouse) Lysate at 40 ug
Primary: Anti-5HT4 Receptor (bs-2127R) at 1/300 dilution
Secondary: IRDye800CW Goat Anti-Rabbit IgG at 1/20000 dilution
Predicted band size: 43 kD
Observed band size: 43 kD

Bone (Mouse) Lysate at 40 ug
Primary: Anti-5HT4 Receptor (bs- 2127R) at 1/300 dilution
Secondary: IRDye800CW Goat Anti-Rabbit IgG at 1/20000 dilution
Predicted band size: 43 kD
Observed band size: 43 kD
风险提示:丁香通仅作为第三方平台,为商家信息发布提供平台空间。用户咨询产品时请注意保护个人信息及财产安全,合理判断,谨慎选购商品,商家和用户对交易行为负责。对于医疗器械类产品,请先查证核实企业经营资质和医疗器械产品注册证情况。
文献和实验[IF={{ 8.7 }}] {Grigoletto Jessica. et al. Velusetrag rescues GI dysfunction, gut inflammation and dysbiosis in a mouse model of Parkinson’s disease. NPJ PARKINSONS DIS. 2023 Oct;9(1):1-15} {WB} {Mouse}
[IF={{ 6.064 }}] {Eri Kitayama. et al. Functional Expression of IP, 5-HT4, D1, A2A, and VIP Receptors in Human Odontoblast Cell Line. BIOMOLECULES. 2023 Jun;13(6):879} {ICC} {Human}
[IF={{ 5.2 }}] {Liu Qihong. et al. Effects of Liqi Tongbian decoction on gut microbiota, SCFAs production, and 5-HT pathway in STC rats with Qi Stagnation Pattern. FRONT MICROBIOL. 2024 Mar;15:} {IHC} {Rat}
[IF={{ 4.927 }}] {Siyuan Peng. et al. LMWP (S3-3) from the Larvae of Musca domestica Alleviate D-IBS by Adjusting the Gut Microbiota. MOLECULES. 2022 Jan;27(14):4517} {IHC} {Mouse}
[IF={{ 4.9 }}] {Thomas Gener. et al. Neural Mechanism of 5-HT4R-Mediated Memory Enhancement in Hippocampal–Prefrontal Circuits in a Mouse Model of Schizophrenia. INT J MOL SCI. 2025 Jan;26(8):3659} {IHC} {Mouse}
, Algermissen, B. et al. 3. Purification of rabbit liver aldehyde oxidase by affinity chromatography on benzamidine Sepharose 6B. J. Chromatogr. (1989), 475 363-72, Stell, J. G. P. et al. 4. The Crystal Structure of a T Cell Receptor in Complex
Models and Analysis of Atherosclerosis, Restenosis, and Aneurysm Formation in the Mouse
CD3 SP‐7 Rabbit SP7 Cryo/paraffin
Generation of Spatio‐Temporally Controlled Targeted Somatic Mutations in the Mouse
Syringe (1‐ml equipped with a 25‐G needle; Terumo, cat. no. BS‐01 H2516) Gas anesthesia station for rodents (TEM)
技术资料暂无技术资料 索取技术资料






