相关产品推荐更多 >
万千商家帮你免费找货
0 人在求购买到急需产品
- 详细信息
- 文献和实验
- 技术资料
- 供应商:
上海康朗生物科技有限公司
- 库存:
大量
- 目录编号:
kl-2127R
- 克隆性:
多克隆
- 抗原来源:
Rabbit
- 保质期:
12个月
- 抗体英文名:
5HT4 Receptor antibody
- 抗体名:
5-羟色胺受体4抗体
- 宿主:
Rabbit
- 适应物种:
Human, Mouse, Rat, Chicken, Cow,
- 免疫原:
KLH conjugated synthetic peptide derived from human 5-HTR4:21-120/388
- 亚型:
IgG
- 形态:
冻干粉或液体
- 应用范围:
WB=1:500-2000 ELISA=1:500-1000 IHC-P=1:400-800 IHC-F=1:400-800 IF=1:200-800
- 浓度:
1mg/ml
- 保存条件:
-20 °C
- 规格:
50ul 100ul 200ul
| 中文名称 | 5-羟色胺受体4抗体 |
| 别 名 | 5-HTR4 (5-hydroxytryptamine (serotonin) receptor 4a); Htr4a; 5-HT4; 5-HT4A; 5HT4; Htr45 HT 4; 5 HT4; 5 HT4R; 5 hydroxytryptamine 4 receptor; 5 hydroxytryptamine receptor 4; 5 hydroxytryptamine serotonin receptor 4; 5 hydroxytryptamine4 receptor; 5HT4; 5HT4R; Cardiac 5 HT4 receptor; HTR 4; HTR4; Serotonin 5 HT4 receptor; Serotonin receptor 4; 5HT4R_HUMAN. |
| 规格价格 | 50ul/780元 购买 100ul/1380元 购买 200ul/2200元 购买 大包装/询价 |
| 说 明 书 | 50ul 100ul 200ul |
| 研究领域 | 神经生物学 信号转导 通道蛋白 细胞膜受体 转运蛋白 |
| 抗体来源 | Rabbit |
| 克隆类型 | Polyclonal |
| 交叉反应 | Human, Mouse, Rat, Chicken, Cow, |
| 产品应用 | WB=1:500-2000 ELISA=1:500-1000 IHC-P=1:400-800 IHC-F=1:400-800 IF=1:200-800 (石蜡切片需做抗原修复) not yet tested in other applications. optimal dilutions/concentrations should be determined by the end user. |
| 分 子 量 | 43kDa |
| 细胞定位 | 细胞浆 细胞膜 |
| 性 状 | Lyophilized or Liquid |
| 浓 度 | 1mg/ml |
| 免 疫 原 | KLH conjugated synthetic peptide derived from human 5-HTR4:21-120/388 |
| 亚 型 | IgG |
| 纯化方法 | affinity purified by Protein A |
| 储 存 液 | 0.01M TBS(pH7.4) with 1% BSA, 0.03% Proclin300 and 50% Glycerol. |
| 保存条件 | Store at -20 °C for one year. Avoid repeated freeze/thaw cycles. The lyophilized antibody is stable at room temperature for at least one month and for greater than a year when kept at -20°C. When reconstituted in sterile pH 7.4 0.01M PBS or diluent of antibody the antibody is stable for at least two weeks at 2-4 °C. |
| PubMed | PubMed |
| 产品介绍 | background: This gene is a member of the family of serotonin receptors, which are G protein coupled receptors that stimulate cAMP production in response to serotonin (5-hydroxytryptamine). The gene product is a glycosylated transmembrane protein that functions in both the peripheral and central nervous system to modulate the release of various neurotransmitters. Multiple transcript variants encoding proteins with distinct C-terminal sequences have been described. [provided by RefSeq, May 2010] Function: This is one of the several different receptors for 5-hydroxytryptamine (serotonin), a biogenic hormone that functions as a neurotransmitter, a hormone, and a mitogen. The activity of this receptor is mediated by G proteins that stimulate adenylate cyclase. Subunit: Isoform 5-HT4(A) interacts with MAGI2, MPP3, SLC9A3R1 and SNX27 isoforms 1 and 2. Isoform 5-HT4(E) interacts with INADL, NOS1 and SEC23A. Isoform 5-HT4(A) forms a complex including SLC9A3R1 and EZR. Subcellular Location: Cell membrane; Multi-pass membrane protein. Endosome. Note=Interaction with SNX27 mediates recruitment to early endosomes, while interaction with SLC9A3R1 and EZR might target the protein to specialized subcellular regions, such as microvilli. Tissue Specificity: soform 5-HT4(A) is expressed in ileum, brain, and atrium, but not in the ventricle. Similarity: Belongs to the G-protein coupled receptor 1 family. SWISS: Q13639 Gene ID: 3360 Database links: Entrez Gene: 3360 Human Entrez Gene: 15562 Mouse Entrez Gene: 25324 Rat GenBank: NP_000861.1 Human Omim: 602164 Human SwissProt: O70528 Guinea pig SwissProt: Q13639 Human SwissProt: P97288 Mouse SwissProt: Q29006 Pig SwissProt: Q62758 Rat Unigene: 483773 Human Unigene: 20440 Mouse Unigene: 10094 Rat Important Note: This product as supplied is intended for research use only, not for use in human, therapeutic or diagnostic applications. |
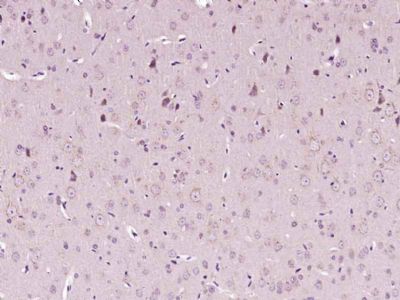
| 产品图片 | ![]() Sample: Bone (Mouse) Lysate at 40 ug Primary: Anti-5HT4 Receptor (bs- 2127R) at 1/300 dilution Secondary: IRDye800CW Goat Anti-Rabbit IgG at 1/20000 dilution Predicted band size: 43 kD Observed band size: 43 kD ![]() Sample: Large intestine (Mouse) Lysate at 40 ug Primary: Anti-5HT4 Receptor (bs-2127R) at 1/300 dilution Secondary: IRDye800CW Goat Anti-Rabbit IgG at 1/20000 dilution Predicted band size: 43 kD Observed band size: 43 kD ![]() Paraformaldehyde-fixed, paraffin embedded (Mouse brain); Antigen retrieval by boiling in sodium citrate buffer (pH6.0) for 15min; Block endogenous peroxidase by 3% hydrogen peroxide for 20 minutes; Blocking buffer (normal goat serum) at 37°C for 30min; Antibody incubation with (5HT4 Receptor) Polyclonal Antibody, Unconjugated (bs-2127R) at 1:400 overnight at 4°C, followed by operating according to SP Kit(Rabbit) (sp-0023) instructionsand DAB staining. ![]() Paraformaldehyde-fixed, paraffin embedded (Rat brain); Antigen retrieval by boiling in sodium citrate buffer (pH6.0) for 15min; Block endogenous peroxidase by 3% hydrogen peroxide for 20 minutes; Blocking buffer (normal goat serum) at 37°C for 30min; Antibody incubation with (5HT4 Receptor) Polyclonal Antibody, Unconjugated (bs-2127R) at 1:400 overnight at 4°C, followed by operating according to SP Kit(Rabbit) (sp-0023) instructionsand DAB staining. ![]() Paraformaldehyde-fixed, paraffin embedded (Mouse brain); Antigen retrieval by boiling in sodium citrate buffer (pH6.0) for 15min; Block endogenous peroxidase by 3% hydrogen peroxide for 20 minutes; Blocking buffer (normal goat serum) at 37°C for 30min; Antibody incubation with (5HT4 Receptor) Polyclonal Antibody, Unconjugated (bs-2127R) at 1:400 overnight at 4°C, followed by a conjugated Goat Anti-Rabbit IgG antibody (bs-0295G-FITC) for 90 minutes, and DAPI for nuclei staining. |
风险提示:丁香通仅作为第三方平台,为商家信息发布提供平台空间。用户咨询产品时请注意保护个人信息及财产安全,合理判断,谨慎选购商品,商家和用户对交易行为负责。对于医疗器械类产品,请先查证核实企业经营资质和医疗器械产品注册证情况。
文献和实验Aspects of CNS Lupus: Mouse Models of Anti-NMDA Receptor Antibody Mediated Reactivity
This chapter describes methods utilized in establishing a mouse model of neuropsychiatric lupus encompassing both cognitive and emotional dysfunction, and a model of the influence of maternal antibody on the developing brain. The antibody
This work describes protocols for the production of single-chain antibody and T-cell receptor fragments inE. coli . A choice of methods is given for the purification of the recombinant fragments that rely on the use of either immunoaffinity
Antibody Targeted siRNA Delivery
only. The commercial success of in vivo applications of RNAi hinges on the development of new delivery methods. Our strategy involves the use of antibody-based delivery agents to target and deliver siRNA into specific cell types. We have developed antibody-based agents
技术资料暂无技术资料 索取技术资料















