相关产品推荐更多 >

UBE2E2 Rabbit pAb(bs-8353R)-50ul/100ul/200ul
¥1180
KIAA1598 Rabbit pAb(bs-11863R)-50ul/100ul/200ul
¥1180
DPH2 Rabbit pAb, AP conjugated(bs-8282R-AP)-100ul
¥2980
Glutaredoxin 2 Rabbit pAb, BF680 conjugated(bs-13394R-BF680)-100ul
¥2980
Anti-human TM4SF1 (Beth Israel Patent Anti-TM4SF1 Biosimilar)(BIO0917SM)-1mg/5mg/20mg
¥3200
万千商家帮你免费找货
0 人在求购买到急需产品
- 详细信息
- 文献和实验
- 技术资料
- 应用范围:
产品信息以Bioss网站为准
- 规格:
50ul/100ul/200ul
| 规格: | 50ul | 产品价格: | ¥1180.0 |
|---|---|---|---|
| 规格: | 100ul | 产品价格: | ¥1980.0 |
| 规格: | 200ul | 产品价格: | ¥2800.0 |
| 产品编号 | bs-3879R |
| 英文名称 | Cytochrome b245 Light Chain Rabbit pAb |
| 中文名称 | 细胞色素b245轻链抗体 |
| 英文别名 | CYBA; Cytochrome b 245 alpha polypeptide; Cytochrome b 245 light chain; Cytochrome b alpha polypeptide; Cytochrome b(558) alpha chain; Cytochrome b(558) alpha subunit; Cytochrome b558 subunit alpha; Flavocytochrome b 558 alpha polypeptide; Neutrophil cytochrome b 22 kDa polypeptide; p22 phagocyte B-cytochrome; CY24A_HUMAN; p22-phox; p22phox; Superoxide-generating NADPH oxidase light chain subunit; p22-PHOX. |
| 产品应用 | IHC-P=1:100-500, IHC-F=1:100-500, IF=1:100-500 Not yet tested in other applications. |
| 交叉反应 | Human (Mouse, Rat) |
| 抗体来源 | Rabbit |
| 免疫原 | KLH conjugated synthetic peptide derived from human CK18 Cytochrome b245 Light Chain/p22phox |
| 亚型 | IgG |
| 性状 | Liquid |
| 纯化方法 | affinity purified by Protein A |
| 克隆类型 | Polyclonal |
| 理论分子量 | 21 kDa |
| 浓度 | 1mg/ml |
| 储存液 | 0.01M TBS (pH7.4) with 1% BSA, 0.02% Proclin300 and 50% Glycerol. |
| 研究领域 | Cancer > Cancer Metabolism > Cellular metabolic process Cell Biology > Other Antibodies > Oxidative Stress Immunology > Adaptive Immunity > T Cells > Cytotoxic Cells Metabolism > Pathways and Processes > Mitochondrial Metabolism > Cytochromes Metabolism > Pathways and Processes > Redox metabolism > Oxidative stress |
| 亚基 | Composed of a heavy chain (beta) and a light chain (alpha). Interacts with SH3PXD2A (By similarity). Interacts with DUOX1, DUOX2 and TPO. Interacts with NOX3 and NOX4. Interacts with calprotectin (S100A8/9). |
| 亚细胞定位 | Cell Membrane |
| 翻译后修饰 | The heme prosthetic group could be coordinated with residues of the light chain, the heavy chain, or both, and it is possible that more than one heme is present per cytochrome b-245. [PTM] Phosphorylation at Thr-147 enhances NADPH oxidase activity by promoting p47phox binding (By similarity). |
| 相似性 | Belongs to the p22phox family. |
| 功能 | Critical component of the membrane-bound oxidase of phagocytes that generates superoxide. Associates with NOX3 to form a functional NADPH oxidase constitutively generating superoxide. |
| 保存条件 | Shipped at 4℃. Store at -20℃ for one year. Avoid repeated freeze/thaw cycles. |
| 注意事项 | This product as supplied is intended for research use only, not for use in human, therapeutic or diagnostic applications. |
| 背景资料 | Mox1 and the glycoprotein gp91-phox are largely related proteins that are essential components of the NADPH oxidase. The superoxide-generating NADPH oxidase is present in phagocytes, neuroepithelial bodies, vascular smooth muscle cells and endothelial cells. It includes a membrane-bound flavocytochrome containing two subunits, gp91-phox and p22-phox, and the cytosolic proteins p47-phox and p67-phox. During activation of the NADPH oxidase, p47-phox and p67-phox migrate to the plasma membrane, where they associate with the flavocytochrome cytochrome b558 to form the active enzyme complex. The p22- and gp91-phox subunits also function as surface O2 sensors that initiate cellular signaling in response to hypoxic conditions. |
| 应用 | 推荐稀释比例 |
| {IHC-P} | {1:100-500} |
| {IHC-F} | {1:100-500} |
| {IF} | {1:100-500} |

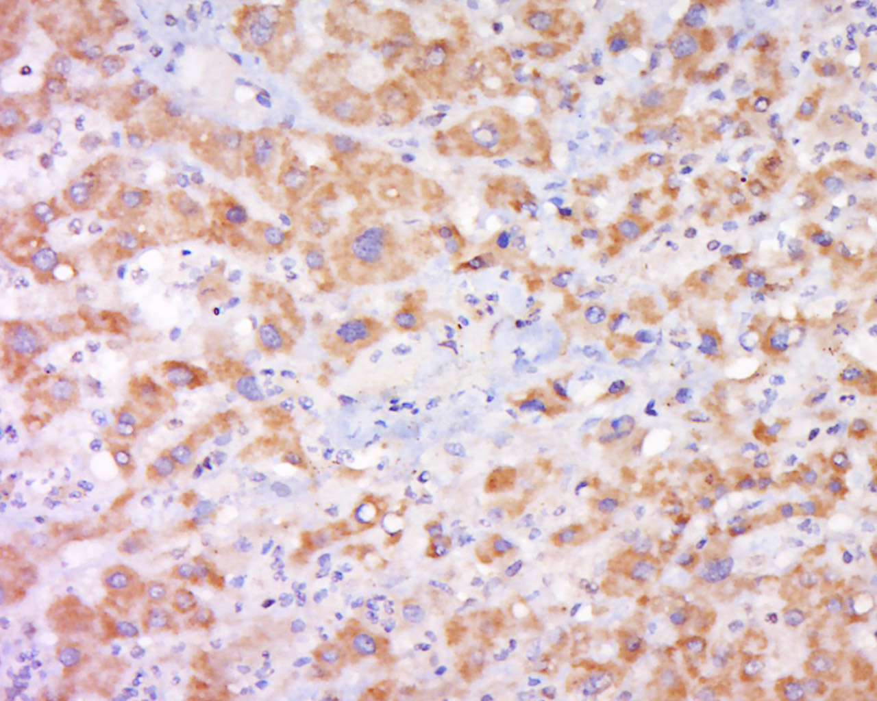
Antigen retrieval: citrate buffer ( 0.01M, pH 6.0 ), Boiling bathing for 15min; Block endogenous peroxidase by 3% Hydrogen peroxide for 30min; Blocking buffer (normal goat serum,C-0005) at 37℃ for 20 min;
Incubation: Anti-CYBA Polyclonal Antibody, Unconjugated(bs-3879R) 1:500, overnight at 4°C, followed by conjugation to the secondary antibody(SP-0023) and DAB(C-0010) staining
风险提示:丁香通仅作为第三方平台,为商家信息发布提供平台空间。用户咨询产品时请注意保护个人信息及财产安全,合理判断,谨慎选购商品,商家和用户对交易行为负责。对于医疗器械类产品,请先查证核实企业经营资质和医疗器械产品注册证情况。
文献和实验[IF={{ 5.81 }}] {Xiaoyu Liu. et al. Geniposide Combined With Notoginsenoside R1 Attenuates Inflammation and Apoptosis in Atherosclerosis via the AMPK/mTOR/Nrf2 Signaling Pathway. Front Pharmacol. 2021; 12: 687394} {WB} {Mouse, Human}
[IF={{ 3.8 }}] {Xin Guo. et al. Aspirin protects human trophoblast HTR-8/SVneo cells from H2O2-Induced oxidative stress via NADPH/ROS pathway. PLACENTA. 2023 Dec;144:55} {WB} {Human}
[IF={{ 3.73 }}] {Walton, Noah M., et al. "Adult neurogenesis transiently generates oxidative stress." PloS one 7.4 (2012): e35264.} {IHC} {="Mouse"}
[IF={{ 3.457 }}] {Song Q et al. Potential mechanisms underlying the protective effects of salvianic acid A against atherosclerosis in vivo and vitro. (2019)Biomedicine & Pharmacotherapy, 109, 945–956.} {WB} {Rat}
[IF={{ 2.99 }}] {Li, A., et al. "Arctigenin suppresses transforming growth factor-β1-induced expression of monocyte chemoattractant protein-1 and the subsequent epithelial-mesenchymal transition through reactive oxygen species-dependent ERK/NF-κB signaling pathway in renal tubular epithelial cells." Free Radical Research (2015): 1-19.} {Other} {=""}
技术资料暂无技术资料 索取技术资料






