相关产品推荐更多 >
万千商家帮你免费找货
0 人在求购买到急需产品
- 详细信息
- 文献和实验
- 技术资料
- 应用范围:
产品信息以Bioss网站为准
- 规格:
50ul/100ul/200ul
| 规格: | 50ul | 产品价格: | ¥1180.0 |
|---|---|---|---|
| 规格: | 100ul | 产品价格: | ¥1980.0 |
| 规格: | 200ul | 产品价格: | ¥2800.0 |
| 产品编号 | bs-0589R |
| 英文名称 | WWOX Rabbit pAb |
| 中文名称 | 包含氧化还原酶的WW域抗体 |
| 英文别名 | D16S432E; FOR; FOR II protein; FRA16D; Fragile 16D oxido reductase; fragile site FRA16D oxidoreductase; HHCMA 56; HHCMA56; PRO0128; putative oxidoreductase; WOX 1; WOX1; WW domain containing oxidoreductase; WW domain-containing protein WWOX; WWOX2; WWOX4; WWOX8; WWOX. |
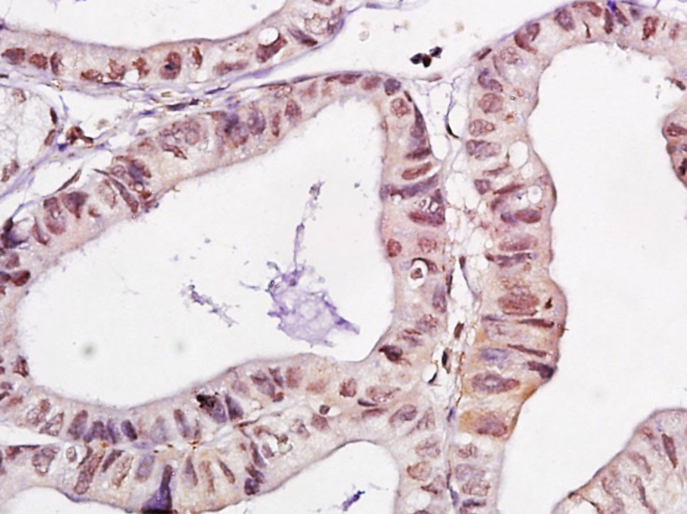
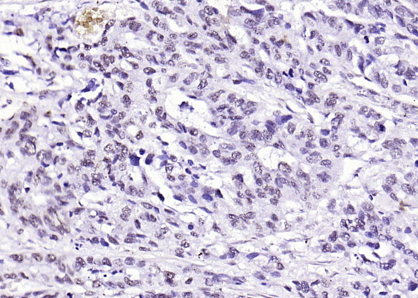
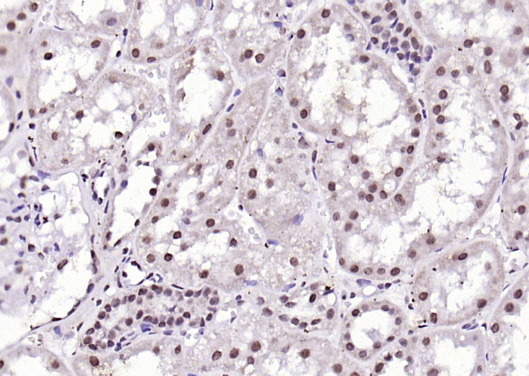
| 产品应用 | WB=1:500-2000, IHC-P=1:100-500, IHC-F=1:100-500, IF=1:100-500, Flow-Cyt=1ug/test Not yet tested in other applications. |
| 交叉反应 | Human, Mouse, Rat |
| 抗体来源 | Rabbit |
| 免疫原 | KLH conjugated synthetic peptide derived from human WWOX |
| 亚型 | IgG |
| 性状 | Liquid |
| 纯化方法 | affinity purified by Protein A |
| 克隆类型 | Polyclonal |
| 理论分子量 | 46 kDa |
| 浓度 | 1mg/ml |
| 储存液 | 0.01M TBS (pH7.4) with 1% BSA, 0.02% Proclin300 and 50% Glycerol. |
| 研究领域 | Cancer > Growth factors > TGF Cancer > Growth factors > TNF Cancer > Oncoproteins/suppressors > Tumor suppressors > p53 pathway Cell Biology > Apoptosis > Intracellular > Associated Proteins Epigenetics and Nuclear Signaling > Transcription > Cancer susceptibility > Tumor Suppressors Neuroscience > Neurology process > Neurodegenerative disease > Alzheimer's disease |
| 亚细胞定位 | Cytoplasm. Nucleus. Mitochondrion. Golgi apparatus. Partially localizes to the mitochondria. Translocates to the nucleus upon genotoxic stress or TNF stimulation (By similarity). Translocates to the nucleus in response to TGFB1. Isoform 5 and isoform 6 may localize in the nucleus. Target information above from: UniProt accessionQ9NZC7 The UniProt Consortium The Universal Protein Resource (UniProt) in 2010 Nucleic Acids Res. 38:D142-D148 (2010). |
| 组织特异性 | Widely expressed. Strongly expressed in testis, prostate, and ovary. Overexpressed in cancer cell lines. Isoform 5 and isoform 6 may only be expressed in tumor cell lines. |
| 翻译后修饰 | Phosphorylated upon genotoxic stress. Phosphorylation of Tyr-33 regulates interaction with TP53, TP73 and MAPK8. May also regulate proapoptotic activity. Phosphorylation by TNK2 is associated with polyubiquitination and degradation. Ubiquitinated when phosphorylated by TNK2, leading to its degradation. |
| 相似性 | Belongs to the short-chain dehydrogenases/reductases (SDR) family. Contains 2 WW domains. |
| 功能 | Putative oxidoreductase. Acts as a tumor suppressor and plays a role in apoptosis. Required for normal bone development (By similarity). May function synergistically with p53/TP53 to control genotoxic stress-induced cell death. Plays a role in TGFB1 signaling and TGFB1-mediated cell death. May also play a role in tumor necrosis factor (TNF)-mediated cell death. Inhibits Wnt signaling, probably by sequestering DVL2 in the cytoplasm. |
| 保存条件 | Shipped at 4℃. Store at -20℃ for one year. Avoid repeated freeze/thaw cycles. |
| 注意事项 | This product as supplied is intended for research use only, not for use in human, therapeutic or diagnostic applications. |
| 背景资料 | WW domain-containing proteins are found in all eukaryotes and play an important role in the regulation of a wide variety of cellular functions such as protein degradation, transcription, and RNA splicing. This gene encodes a protein which contains 2 WW domains and a short-chain dehydrogenase/reductase domain (SRD). The highest normal expression of this gene is detected in hormonally regulated tissues such as testis, ovary, and prostate. This expression pattern and the presence of an SRD domain suggest a role for this gene in steroid metabolism. The encoded protein is more than 90% identical to the mouse protein, which is an essential mediator of tumor necrosis factor-alpha-induced apoptosis, suggesting a similar, important role in apoptosis for the human protein. In addition, there is evidence that this gene behaves as a suppressor of tumor growth. Alternative splicing of this gene generates transcript variants that encode different isoforms. [provided by RefSeq, Jul 2008] |
| 应用 | 推荐稀释比例 |
| {WB} | {1:500-2000} |
| {IHC-P} | {1:100-500} |
| {IHC-F} | {1:100-500} |
| {IF} | {1:100-500} |
| {Flow-Cyt} | {1ug/test} |

Lane 1: Mouse Cerebrum tissue lysates
Lane 2: Rat Cerebrum tissue lysates
Primary: Anti-WWOX (bs-0589R) at 1/1000 dilution
Secondary: IRDye800CW Goat Anti-Rabbit IgG at 1/20000 dilution
Predicted band size: 46 kDa
Observed band size: 45 kDa

Antigen retrieval: citrate buffer ( 0.01M, pH 6.0 ), Boiling bathing for 15min; Block endogenous peroxidase by 3% Hydrogen peroxide for 30min; Blocking buffer (normal goat serum,C-0005) at 37℃ for 20 min;
Incubation: Anti-WWOX Polyclonal Antibody, Unconjugated(bs-0589R) 1:200, overnight at 4°C, followed by conjugation to the secondary antibody(SP-0023) and DAB(C-0010) staining


Primary Antibody (green line): Rabbit Anti-WWOX antibody (bs-0589R)
Dilution: 1μg /10^6 cells;
Isotype Control Antibody (orange line): Rabbit IgG .
Secondary Antibody : Goat anti-rabbit IgG-AF647
Dilution: 1μg /test.
Protocol
The cells were fixed with 4% PFA (10min at room temperature)and then permeabilized with 90% ice-cold methanol for 20 min at-20℃. The cells were then incubated in 5%BSA to block non-specific protein-protein interactions for 30 min at at room temperature .Cells stained with Primary Antibody for 30 min at room temperature. The secondary antibody used for 40 min at room temperature. Acquisition of 20,000 events was performed.

风险提示:丁香通仅作为第三方平台,为商家信息发布提供平台空间。用户咨询产品时请注意保护个人信息及财产安全,合理判断,谨慎选购商品,商家和用户对交易行为负责。对于医疗器械类产品,请先查证核实企业经营资质和医疗器械产品注册证情况。
文献和实验[IF={{ 2.38 }}] {Li, Gang, et al. "Ectopic WWOX Expression Inhibits Growth of 5637 Bladder Cancer Cell In Vitro and In Vivo." Cell Biochemistry and Biophysics: 1-9.} {WB} {="Mouse"}
[IF={{ 1.9 }}] {Zhang, Qingli, et al. "The ectopic expression of BRCA1 is associated with genesis, progression, and prognosis of breast cancer in young patients."Diagnostic pathology 7.1 (2012): 1.} {IHC} {="Human"}
技术资料暂无技术资料 索取技术资料







