相关产品推荐更多 >

phospho-Beta catenin (Ser675) Rabbit pAb, Cy3 conjugated(bs-3087R-Cy3)-100ul
¥2980
IQGAP1 Rabbit pAb, APC-Cy7 conjugated(bs-1109R-APC-Cy7)-100ul
¥2980
ganglioside GM1 Rabbit pAb, PE conjugated(bs-2367R-PE)-100ul
¥2980
phospho-SIRT1 (Ser27) Recombinant Rabbit mAb(bsm-60654R)-50ul/100ul/25ul
¥800
Histone H2B (Acetyl K23) Mouse mAb(bsm-60061M)-50ul/100ul
¥1580
万千商家帮你免费找货
0 人在求购买到急需产品
- 详细信息
- 文献和实验
- 技术资料
- 应用范围:
产品信息以Bioss网站为准
- 规格:
50ul/100ul/200ul
| 规格: | 50ul | 产品价格: | ¥1180.0 |
|---|---|---|---|
| 规格: | 100ul | 产品价格: | ¥1980.0 |
| 规格: | 200ul | 产品价格: | ¥2800.0 |
| 产品编号 | bs-1293R |
| 英文名称 | GABBR2 Rabbit pAb |
| 中文名称 | G氨基丁酸B型受体2抗体 |
| 英文别名 | GABR2_HUMAN; gamma-aminobutyric acid type B receptor subunit 2; GPR51; GPRC3B; GABA-B receptor 2; GABA B Receptor 2; GABA-B-R2; GABA-BR2; GABABR2; Gb2; G-protein coupled receptor 51; HG20; |
| 产品应用 | WB=1:500-2000, IHC-P=1:100-500, IHC-F=1:100-500, IF=1:100-500 Not yet tested in other applications. |
| 交叉反应 | Human, Mouse, Rat (Chicken, Dog, Cow, Horse, Rabbit) |
| 抗体来源 | Rabbit |
| 免疫原 | KLH conjugated synthetic peptide derived from human GABBR2 |
| 亚型 | IgG |
| 性状 | Liquid |
| 纯化方法 | affinity purified by Protein A |
| 克隆类型 | Polyclonal |
| 理论分子量 | 103 kDa |
| 浓度 | 1mg/ml |
| 储存液 | 0.01M TBS (pH7.4) with 1% BSA, 0.02% Proclin300 and 50% Glycerol. |
| 研究领域 | Neuroscience > Neurotransmission > Receptors / Channels > GPCR > More GPCR Neuroscience > Neurotransmission > Receptors / Channels > Ligand-Gated Ion Channels > GABA Receptors Neuroscience > Neurotransmitter > Amino Acids > GABA |
| 亚基 | Heterodimer of GABA-B-R1 and GABA-B-R2. Neither of which is effective on its own and homodimeric assembly does not seem to happen. Interacts with ATF4 via its C-terminal region. |
| 亚细胞定位 | ell membrane; Multi-pass membrane protein. Cell junction, synapse, postsynaptic cell membrane; Multi-pass membrane protein. Note=Moreover coexpression of GABA-B-R1 and GABA-B-R2 appears to be a prerequisite for maturation and transport of GABA-B-R1 to the plasma membrane. |
| 组织特异性 | Highly expressed in brain, especially in cerebral cortex, thalamus, hippocampus, frontal, occipital and temporal lobe, occipital pole and cerebellum, followed by corpus callosum, caudate nucleus, spinal cord, amygdala and medulla. Weakly expressed in heart, testis and skeletal muscle. |
| 相似性 | Belongs to the G-protein coupled receptor 3 family. GABA-B receptor subfamily. |
| 功能 | Receptor for GABA. The activity of this receptor is mediated by G-proteins that inhibit adenylyl cyclase activity, stimulates phospholipase A2, activates potassium channels, inactivates voltage-dependent calcium-channels and modulates inositol phospholipids hydrolysis. Plays a critical role in the fine-tuning of inhibitory synaptic transmission. Pre-synaptic GABA-B-R inhibit neurotransmitter release by down-regulating high-voltage activated calcium channels, whereas postsynaptic GABA-B-R decrease neuronal excitability by activating a prominent inwardly rectifying potassium (Kir) conductance that underlies the late inhibitory postsynaptic potentials. Not only implicated in synaptic inhibition but also in hippocampal long-term potentiation, slow wave sleep, muscle relaxation and antinociception. |
| 保存条件 | Shipped at 4℃. Store at -20℃ for one year. Avoid repeated freeze/thaw cycles. |
| 注意事项 | This product as supplied is intended for research use only, not for use in human, therapeutic or diagnostic applications. |
| 背景资料 | The multi-pass membrane protein encoded by this gene belongs to the G-protein coupled receptor 3 family and GABA-B receptor subfamily. The GABA-B receptors inhibit neuronal activity through G protein-coupled second-messenger systems, which regulate the release of neurotransmitters, and the activity of ion channels and adenylyl cyclase. This receptor subunit forms an active heterodimeric complex with GABA-B receptor subunit 1, neither of which is effective on its own. Allelic variants of this gene have been associated with nicotine dependence.[provided by RefSeq, Jan 2010]. |
| 应用 | 推荐稀释比例 |
| {WB} | {1:500-2000} |
| {IHC-P} | {1:100-500} |
| {IHC-F} | {1:100-500} |
| {IF} | {1:100-500} |



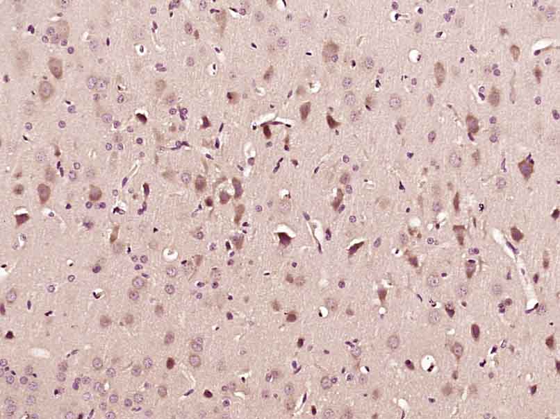
Hela(Human) Cell Lysate at 30 ug
Primary: Anti-GABA B Receptor 2 (bs-1293R) at 1/300 dilution
Secondary: IRDye800CW Goat Anti-Rabbit IgG at 1/20000 dilution
Predicted band size: 103 kD
Observed band size: 125 kD

Brain(Mouse) Lysate at 40 ug
Primary: Anti-GABA B Receptor 2 (bs-1293R) at 1/300 dilution
Secondary: IRDye800CW Goat Anti-Rabbit IgG at 1/20000 dilution
Predicted band size: 103 kD
Observed band size: 125 kD
风险提示:丁香通仅作为第三方平台,为商家信息发布提供平台空间。用户咨询产品时请注意保护个人信息及财产安全,合理判断,谨慎选购商品,商家和用户对交易行为负责。对于医疗器械类产品,请先查证核实企业经营资质和医疗器械产品注册证情况。
文献和实验[IF={{ 64.5 }}] {Zhenyu Xiao. et al. 3D reconstruction of a gastrulating human embryo. CELL. 2024 Apr 23} {IF} {Human}
[IF={{ 6.792 }}] {Zhao D et al. PCB52 exposure alters the neurotransmission ligand-receptors in male offspring and contributes to sex-specific neurodevelopmental toxicity. Environ Pollut.2020 Sep;264:114715.} {WB} {Rat}
[IF={{ 5.62 }}] {Dan Dong. et al. Dapagliflozin inhibits the activity of lateral habenula to alleviate diabetes mellitus-induced depressive-like behavior. EXP NEUROL. 2023 Aug;366:114448} {WB} {Rat}
= NAL), appears to form upon oxidative cyclization of the nonfluorescent 2:1 lysine-HNE Michael adduct-Schiff base cross-link (Scheme 1). Polyclonal antibody (PAb) to the NAL-HNE fluorophore was raised in rabbit and found to be highly specific
GE Healthcare Benzamidine Sepharose™ 6B is p-aminobenzamidine covalently attached to Sepharose 6B by the epoxy coupling method. p-Aminobenzamidine (PAB), is a synthetic inhibitor of trypsin-like serine protease. Trypsin and trypsin
Nucleic Acid Programmable Protein Arrays: Versatile Tools for Array‐Based Functional Protein Studies
.g., Sigma) 50 mg/ml bis‐sulfosuccinimdylsuberate (BS3 ;Pierce, cat. no. PI 21580) in dimethylsulfoxide (DMSO) 5 mg/ml
技术资料暂无技术资料 索取技术资料






