相关产品推荐更多 >

TYK2 Rabbit pAb, AP conjugated(bs-6662R-AP)-100ul
¥2980
Collagen VIII alpha 1 Rabbit pAb, Biotin conjugated(bs-7529R-Bio)-100ul
¥2980
Transferrin Mouse mAb, PerCP-Cy7 conjugated(bsm-33243M-PerCP-Cy7)-100ul
¥2980
LPA2 Rabbit pAb, PerCP-Cy7 conjugated(bs-10368R-PerCP-Cy7)-100ul
¥2980
beta B1 Crystallin Rabbit pAb, HRP conjugated(bs-12582R-HRP)-100ul
¥2980
万千商家帮你免费找货
0 人在求购买到急需产品
- 详细信息
- 文献和实验
- 技术资料
- 应用范围:
产品信息以Bioss网站为准
- 规格:
50ul/100ul/200ul
| 规格: | 50ul | 产品价格: | ¥1180.0 |
|---|---|---|---|
| 规格: | 100ul | 产品价格: | ¥1980.0 |
| 规格: | 200ul | 产品价格: | ¥2800.0 |
| 产品编号 | bs-3853R |
| 英文名称 | Cytochrome P450 17A1 Rabbit pAb |
| 中文名称 | 细胞色素P450 17抗体 |
| 英文别名 | CPT7; CYP17; CYP17A1; Cytochrome P450 17A1; CYPXVII; Cytochrome P450 family 17; Cytochrome P450 family 17 subfamily A polypeptide 1; Cytochrome p450 XVIIA1; Cytochrome p450, subfamily XVII(steroid 17 alpha hydroxylase) adrenal hyperplasia; P450 C17; P450c17; S17AH; Steroid 17 alpha hydroxylase/17, 20 lyase; Steroid 17 alpha monooxygenase; CP17A_HUMAN. |
| 产品应用 | IHC-P=1:100-500, IHC-F=1:100-500, IF=1:100-500 Not yet tested in other applications. |
| 交叉反应 | Mouse (Human, Rat, Dog, Pig, Cow, Horse, Sheep) |
| 抗体来源 | Rabbit |
| 免疫原 | KLH conjugated synthetic peptide derived from human CYP17 |
| 亚型 | IgG |
| 性状 | Liquid |
| 纯化方法 | affinity purified by Protein A |
| 克隆类型 | Polyclonal |
| 理论分子量 | 57 kDa |
| 浓度 | 1mg/ml |
| 储存液 | 0.01M TBS (pH7.4) with 1% BSA, 0.02% Proclin300 and 50% Glycerol. |
| 研究领域 | Cancer > Cancer Metabolism > Metabolic signaling pathway > Hormone biosynthesis Cancer > Cancer Metabolism > Metabolic signaling pathway > Metabolism of lipids and lipoproteins Cancer > Growth factors > Hormones Cardiovascular > Lipids / Lipoproteins > Lipid Metabolism > Cytochromes Metabolism > Pathways and Processes > Endocrine metabolism > Hormone biosynthesis Metabolism > Pathways and Processes > Metabolic signaling pathways > Lipid and lipoprotein metabolism > Lipases Metabolism > Pathways and Processes > Metabolic signaling pathways > Lipid and lipoprotein metabolism > Lipid metabolism Metabolism > Pathways and Processes > Mitochondrial Metabolism > Cytochromes Metabolism > Types of disease > Cancer Signal Transduction > Growth Factors/Hormones > Hormones Signal Transduction > Metabolism > Lipid metabolism |
| 亚细胞定位 | Membrane. |
| 翻译后修饰 | Phosphorylation is necessary for 17,20-lyase, but not for 17-alpha-hydroxylase activity. |
| 相似性 | Belongs to the cytochrome P450 family. |
| 功能 | Conversion of pregnenolone and progesterone to their 17-alpha-hydroxylated products and subsequently to dehydroepiandrosterone (DHEA) and androstenedione. Catalyzes both the 17-alpha-hydroxylation and the 17,20-lyase reaction. Involved in sexual development during fetal life and at puberty. |
| 保存条件 | Shipped at 4℃. Store at -20℃ for one year. Avoid repeated freeze/thaw cycles. |
| 注意事项 | This product as supplied is intended for research use only, not for use in human, therapeutic or diagnostic applications. |
| 背景资料 | Cytochrome P450 17A1 (CYP17A1) belongs to the cytochrome P450 family; it plays a role in the conversion of pregnenolone and progesterone into their 17-alpha-hydroxylated products and subsequently to dehydroepiandrosterone (DHEA) and androstenedione. CYP17A1 also catalyzes both the 17-alpha-hydroxylation and the 17,20-lyase reaction. CYP17A1 is involved in sexual development during fetal life and at puberty. Defects in CYP17A1 are the cause of adrenal hyperplasia type 5 (AH5). AH5 is a form of congenital adrenal hyperplasia, a common recessive disease due to defective synthesis of cortisol. |
| 应用 | 推荐稀释比例 |
| {IHC-P} | {1:100-500} |
| {IHC-F} | {1:100-500} |
| {IF} | {1:100-500} |

Antigen retrieval: citrate buffer ( 0.01M, pH 6.0 ), Boiling bathing for 15min; Block endogenous peroxidase by 3% Hydrogen peroxide for 30min; Blocking buffer (normal goat serum,C-0005) at 37℃ for 20 min;
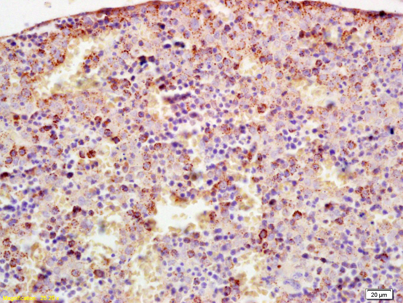
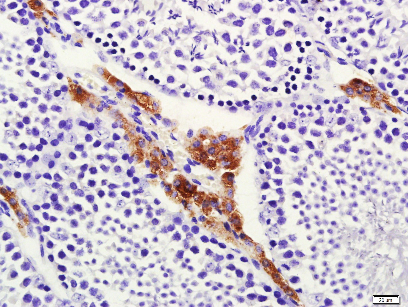
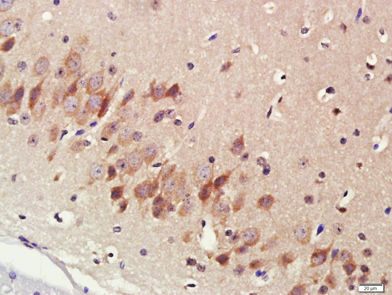
Incubation: Anti-CYP17 Polyclonal Antibody, Unconjugated(bs-3853R) 1:200, overnight at 4°C, followed by conjugation to the secondary antibody(SP-0023) and DAB(C-0010) staining


风险提示:丁香通仅作为第三方平台,为商家信息发布提供平台空间。用户咨询产品时请注意保护个人信息及财产安全,合理判断,谨慎选购商品,商家和用户对交易行为负责。对于医疗器械类产品,请先查证核实企业经营资质和医疗器械产品注册证情况。
文献和实验[IF={{ 8.2 }}] {Qingjing Gao. et al. 1,25(OH)₂D₃ regulates androgen synthesis via transcriptional control of steroidogenic enzymes and LHR in the scented glands of muskrats (Ondatra zibethicus). FREE RADICAL BIO MED. 2025 Mar;229:82} {IHC} {Muskrat}
[IF={{ 6.8 }}] {Peihao Sun. et al. Maternal exposure to DON during lactation induces testicular toxicity in pubertal and adult offspring mice. ECOTOX ENVIRON SAFE. 2024 Jul;279:116468} {WB} {Mouse}
[IF={{ 6.71 }}] {Umehara, Takashi, et al. "The acceleration of reproductive aging in Nrg1flox/flox; Cyp19‐Cre female mice." Aging Cell (2017).} {IHC} {="Mouse"}
[IF={{ 6.208 }}] {Sijie Fan. et al. Seasonal Change in Adiponectin Associated with Ovarian Morphology and Function in Wild Ground Squirrels (Citellus dauricus Brandt). INT J MOL SCI. 2022 Jan;23(23):14698} {IHC} {Squirrel}
[IF={{ 5.194 }}] {Sijie Fan. et al. The effect of 3-Methyl-4-Nitrophenol on the early ovarian follicle development in mice by disrupting the clock genes expression. CHEM-BIOL INTERACT. 2022 May;:110001} {IHC} {Mouse}
Isolation and Purification of Constitutive Forms of Microsomal Cytochrome P450
from microsomes through the use of proteases were not successful, resulting merely in the solubilization of a number of other microsomal proteins. The breakthrough event was the solubrlizatron of rabbit liver microsomal cytochrome P450 using the ionic detergent
Expression of Eukaryotic Cytochromes P450 in E. coli
Although much has been learned from the study of relatively abundant cytochromes P450 (e.g., P450cam from Pseudomonas putida cytosol, P4501A2 and P4502B4 from rabbit liver microsomes, and P45Oscc from bovine adrenal cortex mitochondria
技术资料暂无技术资料 索取技术资料





