相关产品推荐更多 >

CLEC 4E Rabbit pAb, APC-Cy5.5 conjugated(bs-8541R-APC-Cy5.5)-100ul
¥2980
Luciferase Rabbit pAb, FITC conjugated(bs-8539R-FITC)-100ul
¥2980
SLCO2A1 Rabbit pAb, PerCP-Cy5.5 conjugated(bs-4710R-PerCP-Cy5.5)-100ul
¥2980
phospho-NHE3 (Ser552) Rabbit pAb(bs-9582R)-50ul/100ul/200ul
¥1180
CXCR4 Rabbit pAb, BF350 conjugated(bs-20318R-BF350)-100ul
¥2980
万千商家帮你免费找货
0 人在求购买到急需产品
- 详细信息
- 文献和实验
- 技术资料
- 应用范围:
产品信息以Bioss网站为准
- 规格:
50ul/100ul/200ul
| 规格: | 50ul | 产品价格: | ¥1180.0 |
|---|---|---|---|
| 规格: | 100ul | 产品价格: | ¥1980.0 |
| 规格: | 200ul | 产品价格: | ¥2800.0 |
| 产品编号 | bs-4897R |
| 英文名称 | ACKR3 Rabbit pAb |
| 中文名称 | 细胞表面趋化因子受体7抗体 |
| 英文别名 | GPCR RDC1; C X C chemokine receptor type 7; Chemokine C X C motif receptor 7; Chemokine orphan receptor 1; CMKOR1; CXC R7; CXCR 7; CXCR7; G protein coupled receptor 159; G protein coupled receptor RDC1 homolog; GPR159; RDC 1; RDC1; CXCR7_HUMAN. |
| 产品应用 | IHC-P=1:100-500, IHC-F=1:100-500, IF=1:100-500 Not yet tested in other applications. |
| 交叉反应 | Human, Rat (Mouse, Dog, Pig, Cow, Horse, Rabbit) |
| 抗体来源 | Rabbit |
| 免疫原 | KLH conjugated synthetic peptide derived from human CXCR7 |
| 亚型 | IgG |
| 性状 | Liquid |
| 纯化方法 | affinity purified by Protein A |
| 克隆类型 | Polyclonal |
| 理论分子量 | 40 kDa |
| 浓度 | 1mg/ml |
| 储存液 | 0.01M TBS (pH7.4) with 1% BSA, 0.02% Proclin300 and 50% Glycerol. |
| 研究领域 | Signal Transduction > Signaling Pathway > G Protein Signaling > GPCR |
| 亚基 | Homodimer. Can form heterodimers with CXCR4; heterodimerization may regulate CXCR4 signaling activity. |
| 亚细胞定位 | Cell membrane; Multi-pass membrane protein. Cytoplasm, perinuclear region. Early endosome. Recycling endosome (By similarity). Note=Localized mainly in perinuclear regions in neurons and in early endosomes in T-lymphocytes and some other cell types, with very low levels detected on the cell surface. May spontaneously cycle between the plasma membrane and endosomal compartments. |
| 组织特异性 | Expressed in monocytes, basophils, B-cells, umbilical vein endothelial cells (HUVEC) and B-lymphoblastoid cells. Lower expression detected in CD4+ T-lymphocytes and natural killer cells. In the brain, detected in endothelial cells and capillaries, and in mature neurons of the frontal cortex and hippocampus. Expressed in tubular formation in the kidney. Highly expressed in astroglial tumor endothelial, microglial and glioma cells. Expressed at low levels in normal CD34+ progenitor cells, but at very high levels in several myeloid malignant cell lines. Expressed in breast carcinomas but not in normal breast tissue (at protein level). |
| 相似性 | Belongs to the G-protein coupled receptor 1 family. |
| 功能 | Receptor for chemokines CXCL12/SDF1 and CXCL11. Does not elicit classical chemokine receptor signaling; chemokine binding does not activate G-protein-mediated signal transduction but instead induces beta-arrestin recruitment, leading to ligand internalization and activation of MAPK signaling pathway. Acts as a scavenger for CXCL12/SDF1 and, to a lesser extent, for CXCL11. Required for regulation of CXCR4 protein levels in migrating interneurons, thereby adapting their chemokine responsiveness. In glioma cells, transduces signals via MEK/ERK pathway, mediating resistance to apoptosis. Promotes cell growth and survival. Not involved in cell migration, adhesion or proliferation of normal hematopoietic progenitors but activated by CXCL11 in malignant hemapoietic cells, leading to phosphorylation of ERK1/2 (MAPK3/MAPK1) and enhanced cell adhesion and migration. Plays a regulatory role in CXCR4-mediated activation of cell surface integrins by CXCL12. Required for heart valve development. Acts as coreceptor with CXCR4 for a restricted number of HIV isolates. |
| 保存条件 | Shipped at 4℃. Store at -20℃ for one year. Avoid repeated freeze/thaw cycles. |
| 注意事项 | This product as supplied is intended for research use only, not for use in human, therapeutic or diagnostic applications. |
| 背景资料 | This gene encodes a member of the G-protein coupled receptor family. Although this protein was earlier thought to be a receptor for vasoactive intestinal peptide (VIP), it is now considered to be an orphan receptor, in that its endogenous ligand has not been identified. The protein is also a coreceptor for Human immunodeficiency viruses (HIV). Translocations involving this gene and HMGA2 on chromosome 12 have been observed in lipomas. [provided by RefSeq, Jul 2008] |
| 应用 | 推荐稀释比例 |
| {IHC-P} | {1:100-500} |
| {IHC-F} | {1:100-500} |
| {IF} | {1:100-500} |

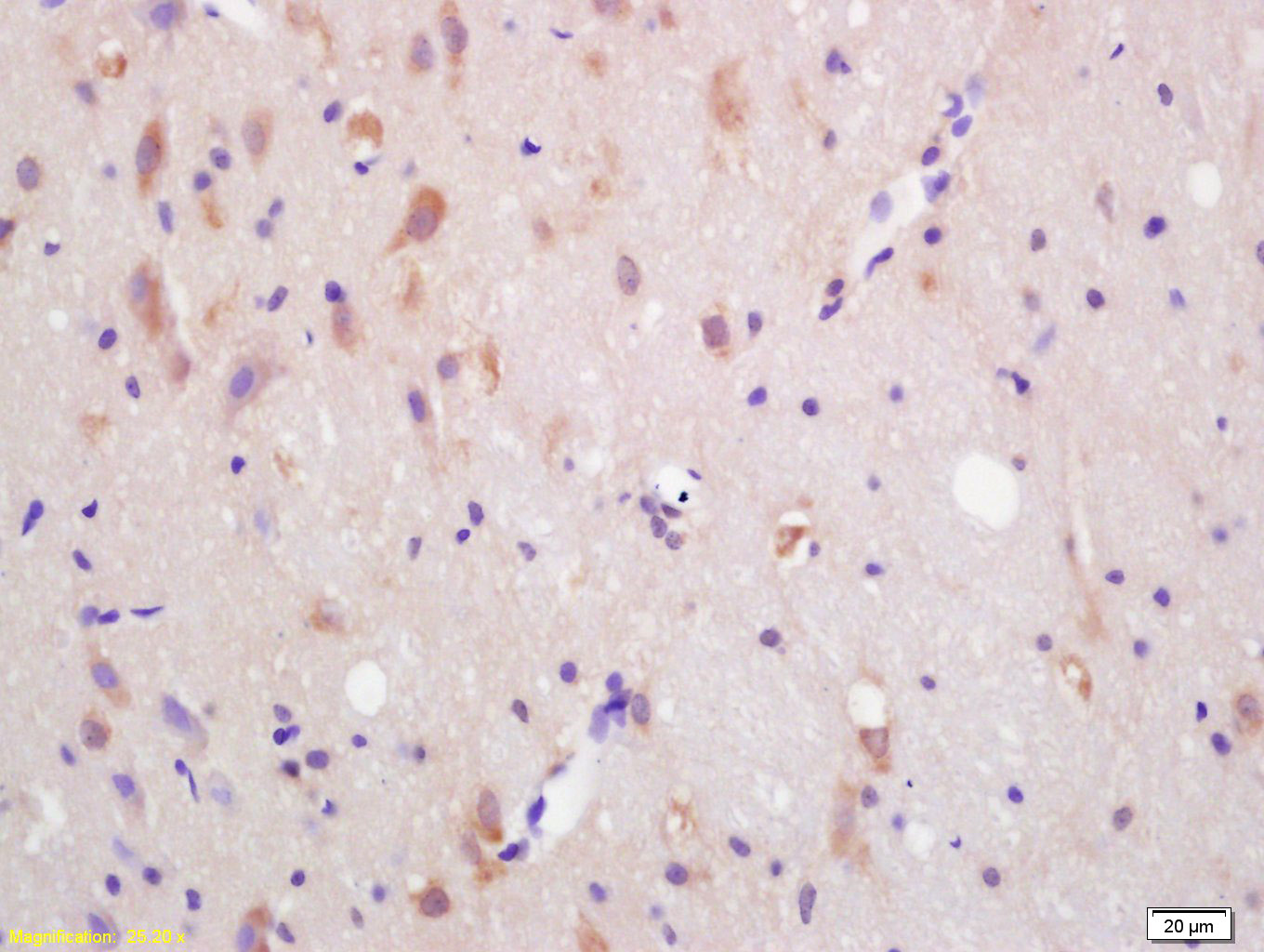
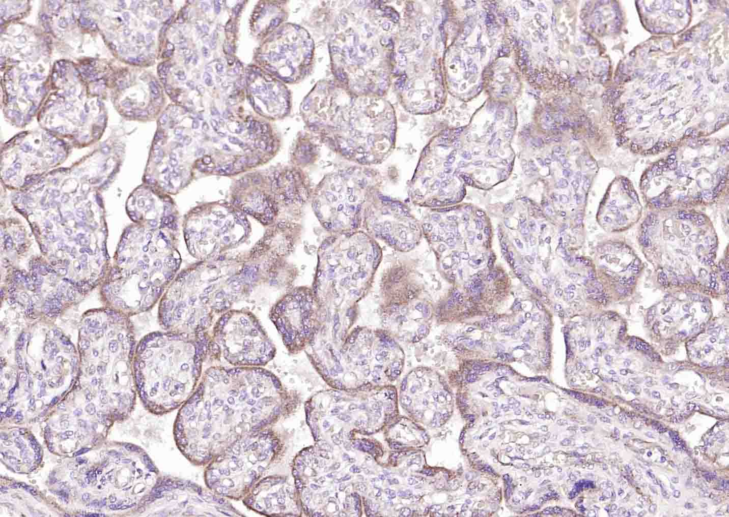
Antigen retrieval: citrate buffer ( 0.01M, pH 6.0 ), Boiling bathing for 15min; Block endogenous peroxidase by 3% Hydrogen peroxide for 30min; Blocking buffer (normal goat serum,C-0005) at 37℃ for 20 min;
Incubation: Anti-CXCR7/RDC1 Polyclonal Antibody, Unconjugated(bs-4897R) 1:200, overnight at 4°C, followed by conjugation to the secondary antibody(SP-0023) and DAB(C-0010) staining

风险提示:丁香通仅作为第三方平台,为商家信息发布提供平台空间。用户咨询产品时请注意保护个人信息及财产安全,合理判断,谨慎选购商品,商家和用户对交易行为负责。对于医疗器械类产品,请先查证核实企业经营资质和医疗器械产品注册证情况。
文献和实验[IF={{ 2.93 }}] {Tang, Xin, et al. "Downregulation of CXCR7 inhibits proliferative capacity and stem cell-like properties in breast cancer stem cells." Tumor Biology (2016): 1-9.} {WB} {="Human"}
[IF={{ 1.39 }}] {Cao, Yongfeng, et al. "MicroRNA-100 suppresses human gastric cancer cell proliferation by targeting CXCR7." Oncology Letters.} {WB} {="Human"}
[IF={{ 1.39 }}] {Cao et al. MicroRNA-100 suppresses human gastric cancer cell proliferation by targeting CXCR7. (2018) Oncol.Lett. 15:453-458} {WB} {Human}
= NAL), appears to form upon oxidative cyclization of the nonfluorescent 2:1 lysine-HNE Michael adduct-Schiff base cross-link (Scheme 1). Polyclonal antibody (PAb) to the NAL-HNE fluorophore was raised in rabbit and found to be highly specific
GE Healthcare Benzamidine Sepharose™ 6B is p-aminobenzamidine covalently attached to Sepharose 6B by the epoxy coupling method. p-Aminobenzamidine (PAB), is a synthetic inhibitor of trypsin-like serine protease. Trypsin and trypsin
Nucleic Acid Programmable Protein Arrays: Versatile Tools for Array‐Based Functional Protein Studies
.g., Sigma) 50 mg/ml bis‐sulfosuccinimdylsuberate (BS3 ;Pierce, cat. no. PI 21580) in dimethylsulfoxide (DMSO) 5 mg/ml
技术资料暂无技术资料 索取技术资料






