相关产品推荐更多 >

Contactin 1 Rabbit pAb, PerCP conjugated(bs-13973R-PerCP)-100ul
¥2980
Galectin 3 Mouse mAb, Cy3 conjugated(bsm-33248M-Cy3)-100ul
¥2980
RAP1A Rabbit pAb(bs-22933R)-50ul/100ul/200ul
¥1180
Anti-human TNFRSF13C / BAFFR / CD268 (Ianalumab Biosimilar)(BIO0288SM)-1mg/5mg/20mg
¥1550
SLC25A39 Rabbit pAb(bs-21235R)-50ul/100ul/200ul
¥1180
万千商家帮你免费找货
0 人在求购买到急需产品
- 详细信息
- 文献和实验
- 技术资料
- 应用范围:
产品信息以Bioss网站为准
- 规格:
50ul/100ul/200ul
| 规格: | 50ul | 产品价格: | ¥1180.0 |
|---|---|---|---|
| 规格: | 100ul | 产品价格: | ¥1980.0 |
| 规格: | 200ul | 产品价格: | ¥2800.0 |
| 产品编号 | bs-1870R |
| 英文名称 | PEG3 Rabbit pAb |
| 中文名称 | PEG3蛋白抗体 |
| 英文别名 | Paternally-expressed gene 3 protein; Zinc finger and SCAN domain-containing protein 24; Kruppel-type zinc finger protein; paternally expressed 3; Paternally expressed gene 3; PEG3 protein; Pw1; Zn-finger protein Pw1; PEG3_HUMAN; Paternally-expressed gene 3 protein. |
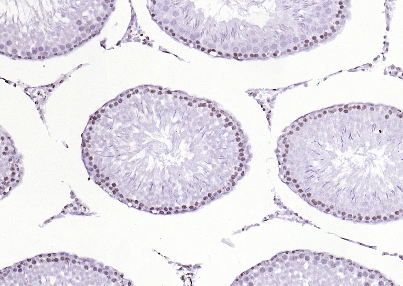
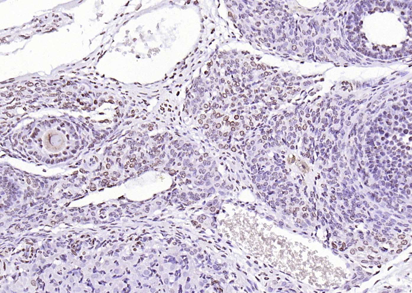
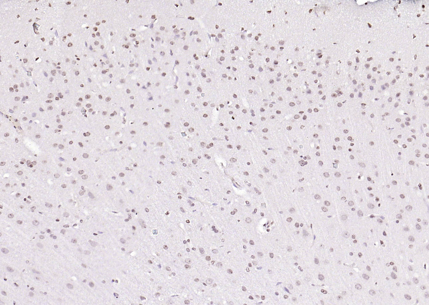
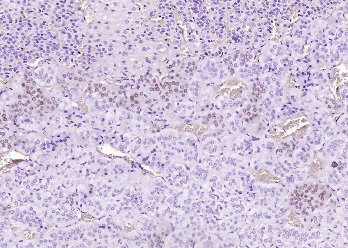
| 产品应用 | IHC-P=1:100-500, IHC-F=1:100-500, IF=1:100-500 Not yet tested in other applications. |
| 交叉反应 | Human, Mouse, Rat (Cow, Horse) |
| 抗体来源 | Rabbit |
| 免疫原 | KLH conjugated synthetic peptide derived from human PEG3 |
| 亚型 | IgG |
| 性状 | Liquid |
| 纯化方法 | affinity purified by Protein A |
| 克隆类型 | Polyclonal |
| 理论分子量 | 175 kDa |
| 浓度 | 1mg/ml |
| 储存液 | 0.01M TBS (pH7.4) with 1% BSA, 0.02% Proclin300 and 50% Glycerol. |
| 研究领域 | Cell Biology > Apoptosis > Intracellular > Associated Proteins Epigenetics and Nuclear Signaling > Transcription > Cancer susceptibility > Tumor Suppressors Epigenetics and Nuclear Signaling > Transcription > Domain Families > Zinc Finger Metabolism > Types of disease > Cancer Neuroscience > Cell Type Marker > Neuron marker > Soma marker Neuroscience > Neurology process > Metabolism Neuroscience > Neurology process > Neuroendocrinology > Oxytocin & Vasopressin |
| 亚基 | Homodimer. Interacts with SIAH1A and SIAH2. Interacts with TRAF2. |
| 亚细胞定位 | Nucleus. Cytoplasm. |
| 组织特异性 | Brain, glial cells, astrocytes, embryo, placenta, testis, ovary and uterus. In the placenta it is found in the layer of villous cytotrophoblast cells while in the ovary it is found in the cells of the ovarian stroma including the thecal layers around the follicles. Expression is highly repressed in glioma cell lines. |
| 相似性 | Belongs to the krueppel C2H2-type zinc-finger protein family. Contains 12 C2H2-type zinc fingers. Contains 1 SCAN box domain. |
| 功能 | Induces apoptosis in cooperation with SIAH1A. Acts as a mediator between p53/TP53 and BAX in a neuronal death pathway that is activated by DNA damage. Acts synergistically with TRAF2 and inhibits TNF induced apoptosis through activation of NF-kappa-B. Possesses a tumor suppressing activity in glioma cells. |
| 保存条件 | Shipped at 4℃. Store at -20℃ for one year. Avoid repeated freeze/thaw cycles. |
| 注意事项 | This product as supplied is intended for research use only, not for use in human, therapeutic or diagnostic applications. |
| 背景资料 | In human, ZIM2 and PEG3 are treated as two distinct genes though they share multiple 5' exons and a common promoter and both genes are paternally expressed (PMID:15203203). Alternative splicing events connect their shared 5' exons either with the remaining 4 exons unique to ZIM2, or with the remaining 2 exons unique to PEG3. In contrast, in other mammals ZIM2 does not undergo imprinting and, in mouse, cow, and likely other mammals as well, the ZIM2 and PEG3 genes do not share exons. Human PEG3 protein belongs to the Kruppel C2H2-type zinc finger protein family. PEG3 may play a role in cell proliferation and p53-mediated apoptosis. PEG3 has also shown tumor suppressor activity and tumorigenesis in glioma and ovarian cells. Alternative splicing of this PEG3 gene results in multiple transcript variants encoding distinct isoforms. |
| 应用 | 推荐稀释比例 |
| {IHC-P} | {1:100-500} |
| {IHC-F} | {1:100-500} |
| {IF} | {1:100-500} |








风险提示:丁香通仅作为第三方平台,为商家信息发布提供平台空间。用户咨询产品时请注意保护个人信息及财产安全,合理判断,谨慎选购商品,商家和用户对交易行为负责。对于医疗器械类产品,请先查证核实企业经营资质和医疗器械产品注册证情况。
文献和实验[IF={{ 2.14 }}] {Ge, Zhao-Jia, et al. "Diabetic uterus environment may play a key role in alterations of DNA methylation of several imprinted genes at mid-gestation in mice." Reproductive Biology and Endocrinology 11.1 (2013): 119.} {WB} {="Mouse"}
[IF={{ 13.116 }}] {Ochiai H et al. Genome-wide kinetic properties of transcriptional bursting in Mouseembryonic stem cells. Sci Adv. 2020 Jun 17;6(25):eaaz6699.} {ICC} {Mouse}
[IF={{ 11.47 }}] {Yao, Yao, et al. "Laminin regulates PDGFR [beta]+ cell stemness and muscle development." Nature Communications 7 (2016).} {IHC} {="Mouse"}
= NAL), appears to form upon oxidative cyclization of the nonfluorescent 2:1 lysine-HNE Michael adduct-Schiff base cross-link (Scheme 1). Polyclonal antibody (PAb) to the NAL-HNE fluorophore was raised in rabbit and found to be highly specific
GE Healthcare Benzamidine Sepharose™ 6B is p-aminobenzamidine covalently attached to Sepharose 6B by the epoxy coupling method. p-Aminobenzamidine (PAB), is a synthetic inhibitor of trypsin-like serine protease. Trypsin and trypsin
Nucleic Acid Programmable Protein Arrays: Versatile Tools for Array‐Based Functional Protein Studies
.g., Sigma) 50 mg/ml bis‐sulfosuccinimdylsuberate (BS3 ;Pierce, cat. no. PI 21580) in dimethylsulfoxide (DMSO) 5 mg/ml
技术资料暂无技术资料 索取技术资料






