相关产品推荐更多 >

MARCH1 Rabbit pAb(bs-9335R)-50ul/100ul/200ul
¥1180
PTPN13 Rabbit pAb, Cy5.5 conjugated(bs-5760R-Cy5.5)-100ul
¥2980
CCDC64 Rabbit pAb, HRP conjugated(bs-13808R-HRP)-100ul
¥2980
E2F1 Rabbit pAb, RBITC conjugated(bs-23185R-RBITC)-100ul
¥2980
Anti-human Integrin b2 / ITGB2 / CD18 (Erlizumab Biosimilar)(BIO0326SM)-1mg/5mg/20mg
¥3200
万千商家帮你免费找货
0 人在求购买到急需产品
- 详细信息
- 文献和实验
- 技术资料
- 应用范围:
产品信息以Bioss网站为准
- 规格:
50ul/100ul/200ul
| 规格: | 50ul | 产品价格: | ¥1180.0 |
|---|---|---|---|
| 规格: | 100ul | 产品价格: | ¥1980.0 |
| 规格: | 200ul | 产品价格: | ¥2800.0 |
| 产品编号 | bs-6582R |
| 英文名称 | RNA polymerase II CTD repeat YSPTSPS (phospho S5) Rabbit pAb |
| 中文名称 | 磷酸化RNA聚合酶II CTD抗体 |
| 英文别名 | p-Rpb1 CTD(Ser2/Ser5); DNA directed RNA polymerase II A; p-Rpb1 CTD(Ser2/Ser5); DNA-directed RNA polymerase II largest subunit; DNA-directed RNA polymerase II subunit A; DNA-directed RNA polymerase II subunit RPB1; DNA-directed RNA polymerase III largest subunit; Polr2a; RNA pol II CTD; RNA polymerase II subunit B1; RNA-directed RNA polymerase II subunit RPB1; RPB1; RPB1_HUMAN. |
| 产品应用 | IHC-P=1:100-500, IHC-F=1:100-500, IF=1:100-500, Flow-Cyt=1ug/Test Not yet tested in other applications. |
| 交叉反应 | Human (Mouse, Rat, Dog, Cow, Rabbit) |
| 抗体来源 | Rabbit |
| 免疫原 | KLH conjugated Synthesised phosphopeptide derived from human RNA polymerase II CTD around the phosphorylation site of Ser5 |
| 亚型 | IgG |
| 性状 | Liquid |
| 纯化方法 | affinity purified by Protein A |
| 克隆类型 | Polyclonal |
| 理论分子量 | 240 kDa |
| 浓度 | 1mg/ml |
| 储存液 | 0.01M TBS (pH7.4) with 1% BSA, 0.02% Proclin300 and 50% Glycerol. |
| 研究领域 | Epigenetics and Nuclear Signaling > Transcription > Polymerase associated factors > Pol II Transcription Epigenetics and Nuclear Signaling > Transcription > Polymerase associated factors > Pol II Transcription > Polymerase Epigenetics and Nuclear Signaling > Transcription > RNA polymerase |
| 亚基 | Component of the RNA polymerase II (Pol II) complex consisting of 12 subunits. The phosphorylated C-terminal domain interacts with FNBP3 and SYNCRIP. Interacts with SAFB/SAFB1. Interacts with CCNL1 and MYO1C (By similarity). Interacts with CCNL2 and SFRS19. Component of a complex which is at least composed of HTATSF1/Tat-SF1, the P-TEFb complex components CDK9 and CCNT1, RNA polymerase II, SUPT5H, and NCL/nucleolin. Interacts with PAF1. Interacts (via C-terminus) with FTSJD2, CTDSP1 and SCAF8. Interacts via the phosphorylated C-terminal domain with WDR82 and with SETD1A and SETD1B only in the presence of WDR82. Interacts with ATF7IP. When phosphorylated at 'Ser-5', interacts with MEN1; the unphosphorylated form, or phosphorylated at 'Ser-2' does not interact. Interacts with DDX5. |
| 亚细胞定位 | Nucleus. |
| 翻译后修饰 | Dephosphorylated by the protein phosphatase CTDSP1. [PTM] Ubiquitinated by WWP2 leading to proteasomal degradation (By similarity). [PTM] Methylated at Arg-1810 by CARM1. Methylation occurs only when the CTD is hypophosphorylated, and phosphorylation at Ser-1805 and Ser-1808 prevent methylation (in vitro). It is assumed that methylation occurs prior to phosphorylation and transcription initiation. CTD methylation may facilitate the expression of select RNAs. |
| 相似性 | Belongs to the RNA polymerase beta' chain family. |
| 功能 | DNA-dependent RNA polymerase catalyzes the transcription of DNA into RNA using the four ribonucleoside triphosphates as substrates. Largest and catalytic component of RNA polymerase II which synthesizes mRNA precursors and many functional non-coding RNAs. Forms the polymerase active center together with the second largest subunit. Pol II is the central component of the basal RNA polymerase II transcription machinery. It is composed of mobile elements that move relative to each other. RPB1 is part of the core element with the central large cleft, the clamp element that moves to open and close the cleft and the jaws that are thought to grab the incoming DNA template. At the start of transcription, a single stranded DNA template strand of the promoter is positioned within the central active site cleft of Pol II. A bridging helix emanates from RPB1 and crosses the cleft near the catalytic site and is thought to promote translocation of Pol II by acting as a ratchet that moves the RNA-DNA hybrid through the active site by switching from straight to bent conformations at each step of nucleotide addition. During transcription elongation, Pol II moves on the template as the transcript elongates. Elongation is influenced by the phosphorylation status of the C-terminal domain (CTD) of Pol II largest subunit (RPB1), which serves as a platform for assembly of factors that regulate transcription initiation, elongation, termination and mRNA processing. Acts as a RNA-dependent RNA polymerase when associated with small delta antigen of Hepatitis delta virus, acting both as a replicate and transcriptase for the viral RNA circular genome. |
| 保存条件 | Shipped at 4℃. Store at -20℃ for one year. Avoid repeated freeze/thaw cycles. |
| 注意事项 | This product as supplied is intended for research use only, not for use in human, therapeutic or diagnostic applications. |
| 背景资料 | DNA-dependent RNA polymerase catalyzes the transcription of DNA into RNA using the four ribonucleoside triphosphates as substrates. Largest and catalytic component of RNA polymerase II which synthesizes mRNA precursors and many functional non-coding RNAs. Forms the polymerase active center together with the second largest subunit. Pol II is the central component of the basal RNA polymerase II transcription machinery. It is composed of mobile elements that move relative to each other. RPB1 is part of the core element with the central large cleft, the clamp element that moves to open and close the cleft and the jaws that are thought to grab the incoming DNA template. At the start of transcription, a single stranded DNA template strand of the promoter is positioned within the central active site cleft of Pol II. A bridging helix emanates from RPB1 and crosses the cleft near the catalytic site and is thought to promote translocation of Pol II by acting as a ratchet that moves the RNA-DNA hybrid through the active site by switching from straight to bent conformations at each step of nucleotide addition. During transcription elongation, Pol II moves on the template as the transcript elongates. Elongation is influenced by the phosphorylation status of the C-terminal domain (CTD) of Pol II largest subunit (RPB1), which serves as a platform for assembly of factors that regulate transcription initiation, elongation, termination and mRNA processing. Acts as a RNA-dependent RNA polymerase when associated with small delta antigen of Hepatitis delta virus, acting both as a replicate and transcriptase for the viral RNA circular genome. |
| 应用 | 推荐稀释比例 |
| {IHC-P} | {1:100-500} |
| {IHC-F} | {1:100-500} |
| {IF} | {1:100-500} |
| {Flow-Cyt} | {1ug/Test} |

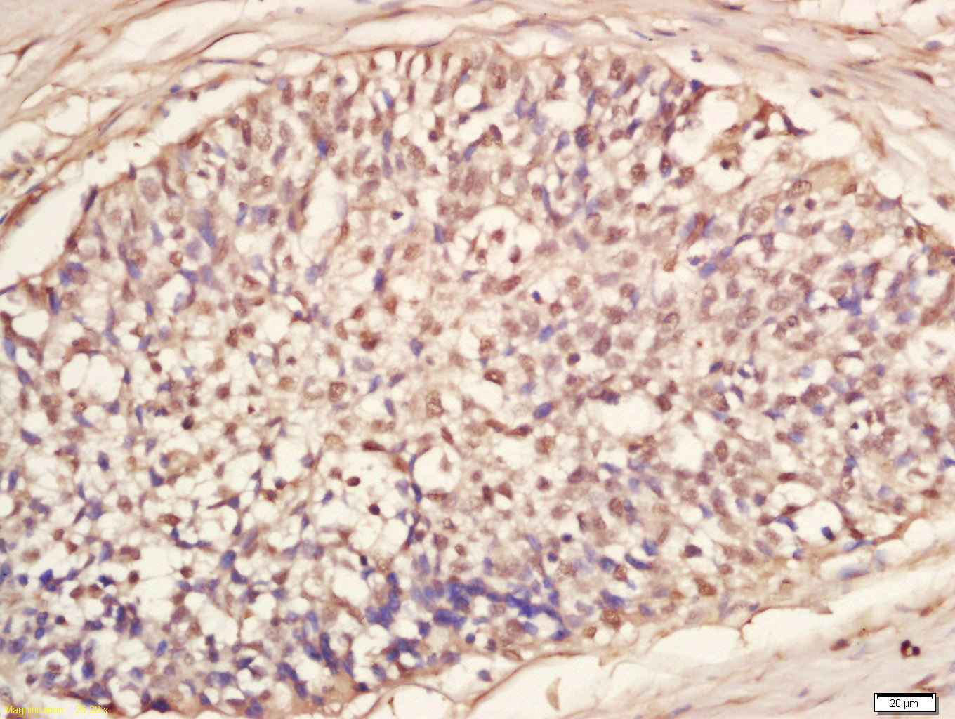
Antigen retrieval: citrate buffer ( 0.01M, pH 6.0 ), Boiling bathing for 15min; Block endogenous peroxidase by 3% Hydrogen peroxide for 30min; Blocking buffer (normal goat serum,C-0005) at 37℃ for 20 min;
Incubation: Anti-RNA polymerase II CTD repeat YSPTSPS (phospho S5) Polyclonal Antibody, Unconjugated(bs-6582R) 1:200, overnight at 4°C, followed by conjugation to the secondary antibody(SP-0023) and DAB(C-0010) staining

Primary Antibody (green line): Rabbit Anti-RNA polymerase II CTD repeat YSPTSPS antibody (bs-6582R)
Dilution: 1μg /10^6 cells;
Isotype Control Antibody (orange line): Rabbit IgG .
Secondary Antibody: Goat anti-rabbit IgG-AF647
Dilution: 1μg /test.
Protocol
The cells were fixed with 4% PFA (10min at room temperature)and then permeabilized with 90% ice-cold methanol for 20 min at room temperature. The cells were then incubated in 5%BSA to block non-specific protein-protein interactions for 30 min at -20℃ .Cells stained with Primary Antibody for 30 min at room temperature. The secondary antibody used for 40 min at room temperature. Acquisition of 20,000 events was performed.
风险提示:丁香通仅作为第三方平台,为商家信息发布提供平台空间。用户咨询产品时请注意保护个人信息及财产安全,合理判断,谨慎选购商品,商家和用户对交易行为负责。对于医疗器械类产品,请先查证核实企业经营资质和医疗器械产品注册证情况。
文献和实验Identifying PhosphoCTD-Associating Proteins
The C-terminal repeat domain (CTD) of the largest subunit of RNA polymerase II is hyperphosphorylated during transcription elongation. The phosphoCTD is known to bind to a subset of RNA processing factors
via polymerase chain reaction (PCR) in a semiquantitative manner. Since RNA molecules are very prone to degradation, it is crucial to avoid any kind of contamination with RNase activity in this experiment. RELATED INFORMATION This protocol
from each cell culture condition. • Performing a ChIP using the Normal Rabbit IgG is an effective negative control. • The included anti-RNA polymerase II antibody and GAPDH primers provide a positive control for assay technique and reagent integrity
技术资料暂无技术资料 索取技术资料






