相关产品推荐更多 >
万千商家帮你免费找货
0 人在求购买到急需产品
- 详细信息
- 文献和实验
- 技术资料
- 应用范围:
产品信息以Bioss网站为准
- 规格:
50ul/100ul/200ul
| 规格: | 50ul | 产品价格: | ¥1180.0 |
|---|---|---|---|
| 规格: | 100ul | 产品价格: | ¥1980.0 |
| 规格: | 200ul | 产品价格: | ¥2800.0 |
| 产品编号 | bs-2800R |
| 英文名称 | Endo G Rabbit pAb |
| 中文名称 | 核酸内切酶G抗体 |
| 英文别名 | EndoG; Endonuclease G; Endonuclease G mitochondrial; EndonucleaseG; FLJ27463; ENDOG; NUCG_HUMAN; Endo G. |
| 产品应用 | WB=1:500-2000, IHC-P=1:100-500, IHC-F=1:100-500, IF=1:100-500 Not yet tested in other applications. |
| 交叉反应 | Mouse, Rat (Human, Dog, Pig, Cow, Horse, Rabbit, Sheep, GuineaPig) |
| 抗体来源 | Rabbit |
| 免疫原 | KLH conjugated synthetic peptide derived from human Endo G |
| 亚型 | IgG |
| 性状 | Liquid |
| 纯化方法 | affinity purified by Protein A |
| 克隆类型 | Polyclonal |
| 理论分子量 | 35 kDa |
| 浓度 | 1mg/ml |
| 储存液 | 0.01M TBS (pH7.4) with 1% BSA, 0.02% Proclin300 and 50% Glycerol. |
| 亚基 | Homodimer. |
| 亚细胞定位 | Mitochondrion. |
| 相似性 | Belongs to the DNA/RNA non-specific endonuclease family. |
| 功能 | Cleaves DNA at double-stranded (DG)n.(DC)n and at single-stranded (DC)n tracts. In addition to deoxyribonuclease activities, also has ribonuclease (RNase) and RNase H activities. Capable of generating the RNA primers required by DNA polymerase gamma to initiate replication of mitochondrial DNA. |
| 保存条件 | Shipped at 4℃. Store at -20℃ for one year. Avoid repeated freeze/thaw cycles. |
| 注意事项 | This product as supplied is intended for research use only, not for use in human, therapeutic or diagnostic applications. |
| 背景资料 | The protein encoded by this gene is a nuclear encoded endonuclease that is localized in the mitochondrion. The encoded protein is widely distributed among animals and cleaves DNA at GC tracts. This protein is capable of generating the RNA primers required by DNA polymerase gamma to initiate replication of mitochondrial DNA. [provided by RefSeq, Jul 2008]. |
| 应用 | 推荐稀释比例 |
| {WB} | {1:500-2000} |
| {IHC-P} | {1:100-500} |
| {IHC-F} | {1:100-500} |
| {IF} | {1:100-500} |


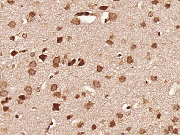
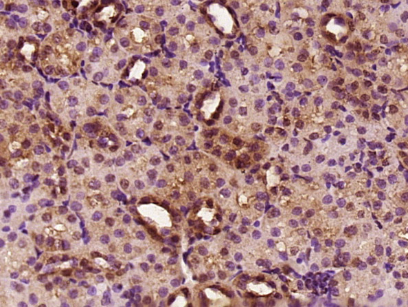
Antigen retrieval: citrate buffer ( 0.01M, pH 6.0 ), Boiling bathing for 15min; Block endogenous peroxidase by 3% Hydrogen peroxide for 30min; Blocking buffer (normal goat serum,C-0005) at 37℃ for 20 min;
Incubation: Anti-Endo G Polyclonal Antibody, Unconjugated(bs-2800R) 1:200, overnight at 4°C, followed by conjugation to the secondary antibody(SP-0023) and DAB(C-0010) staining

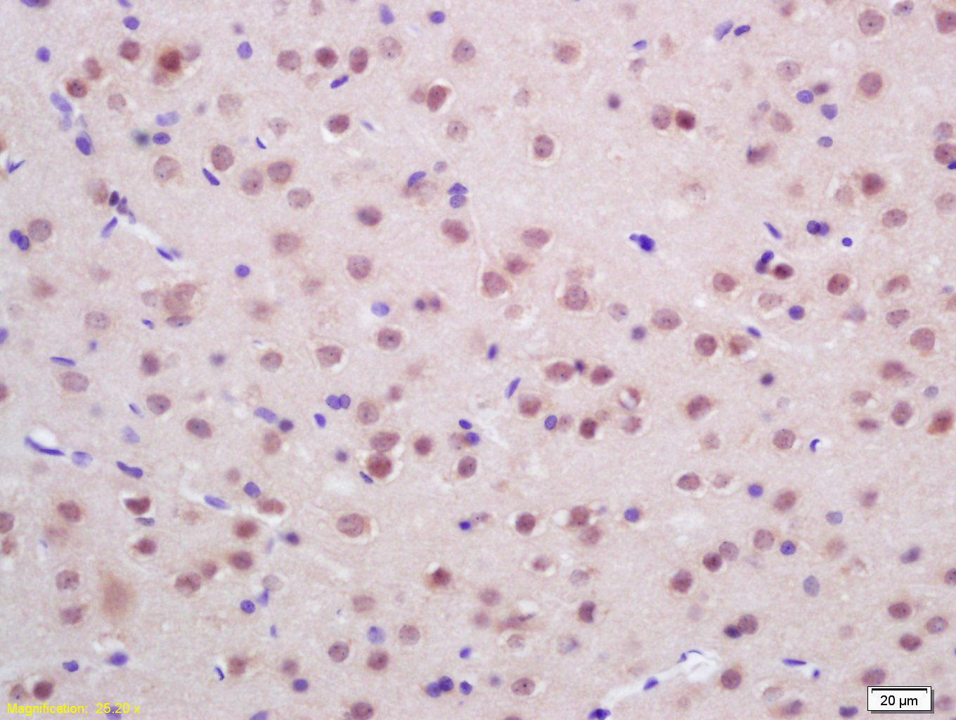
Antigen retrieval: citrate buffer ( 0.01M, pH 6.0 ), Boiling bathing for 15min; Blocking buffer (normal goat serum,C-0005) at 37℃ for 20 min;
Incubation: Anti-Endo G Polyclonal Antibody, Unconjugated(bs-2800R) 1:200, overnight at 4°C; The secondary antibody was Goat Anti-Rabbit IgG, Cy3 conjugated(bs-0295G-Cy3)used at 1:200 dilution for 40 minutes at 37°C.

Primary: Anti- Endo G (bs-2800R) at 1/300 dilution
Secondary: IRDye800CW Goat Anti-Mouse IgG at 1/10000 dilution
Predicted band size: 35kD
Observed band size: 35 kD

风险提示:丁香通仅作为第三方平台,为商家信息发布提供平台空间。用户咨询产品时请注意保护个人信息及财产安全,合理判断,谨慎选购商品,商家和用户对交易行为负责。对于医疗器械类产品,请先查证核实企业经营资质和医疗器械产品注册证情况。
文献和实验(rabbit IL-17) ELISA 48T/96T 1800/2800 进口分装 F20252 兔白介素 -18(rabbit IL-18) ELISA 48T/96T 1800/2800 进口分装 F20253 兔子免疫球蛋白 G
质酸(rabbit HA) ELISA 48T/96T 2000/3000 进口分装 F2016 兔细胞间粘附分子-1 (rabbit ICAM-1) ELISA 48T/96T 2000/3000 进口分装 F2017 兔干扰素- g (rabbit IFN- g ) ELISA 48T/96T 1800/2800 进口分装 F2018 兔白介素-1 a (rabbit IL-1 a ) ELISA 48T/96T 1800/2800 进口
质酸(rabbit HA) ELISA 48T/96T 2000/3000 进口分装 F2016 兔细胞间粘附分子-1 (rabbit ICAM-1) ELISA 48T/96T 2000/3000 进口分装 F2017 兔干扰素- g (rabbit IFN- g ) ELISA 48T/96T 1800/2800 进口分装 F2018 兔白介素-1 a (rabbit IL-1 a ) ELISA 48T/96T 1800/2800 进口
技术资料暂无技术资料 索取技术资料









