相关产品推荐更多 >

phospho-Mcl1 (Ser159 + Thr163) Rabbit pAb, APC-Cy7 conjugated(bs-3265R-APC-Cy7)-100ul
¥2980
PCDH20 Rabbit pAb, BF350 conjugated(bs-11113R-BF350)-100ul
¥2980
mouse CD25 Rat mAb(bsm-30157A)-100ug
¥1880
CDK1 Rabbit pAb(bs-0542R)-50ul/100ul/200ul
¥1180
Factor I light chain Rabbit pAb(bs-13131R)-50ul/100ul/200ul
¥1180
万千商家帮你免费找货
0 人在求购买到急需产品
- 详细信息
- 询价记录
- 文献和实验
- 技术资料
- 应用范围:
产品信息以Bioss网站为准
- 规格:
50ul/100ul/200ul
| 规格: | 50ul | 产品价格: | ¥1180.0 |
|---|---|---|---|
| 规格: | 100ul | 产品价格: | ¥1980.0 |
| 规格: | 200ul | 产品价格: | ¥2800.0 |
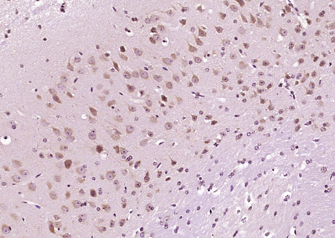
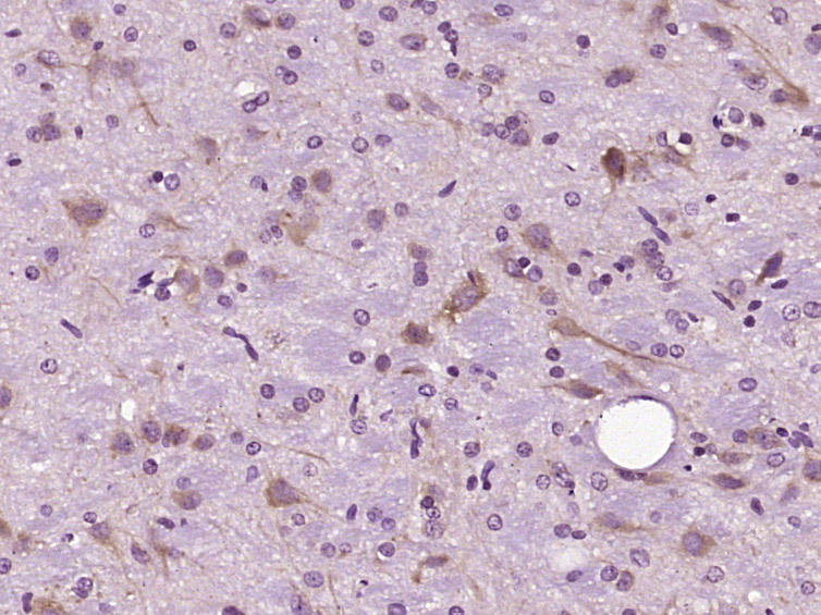
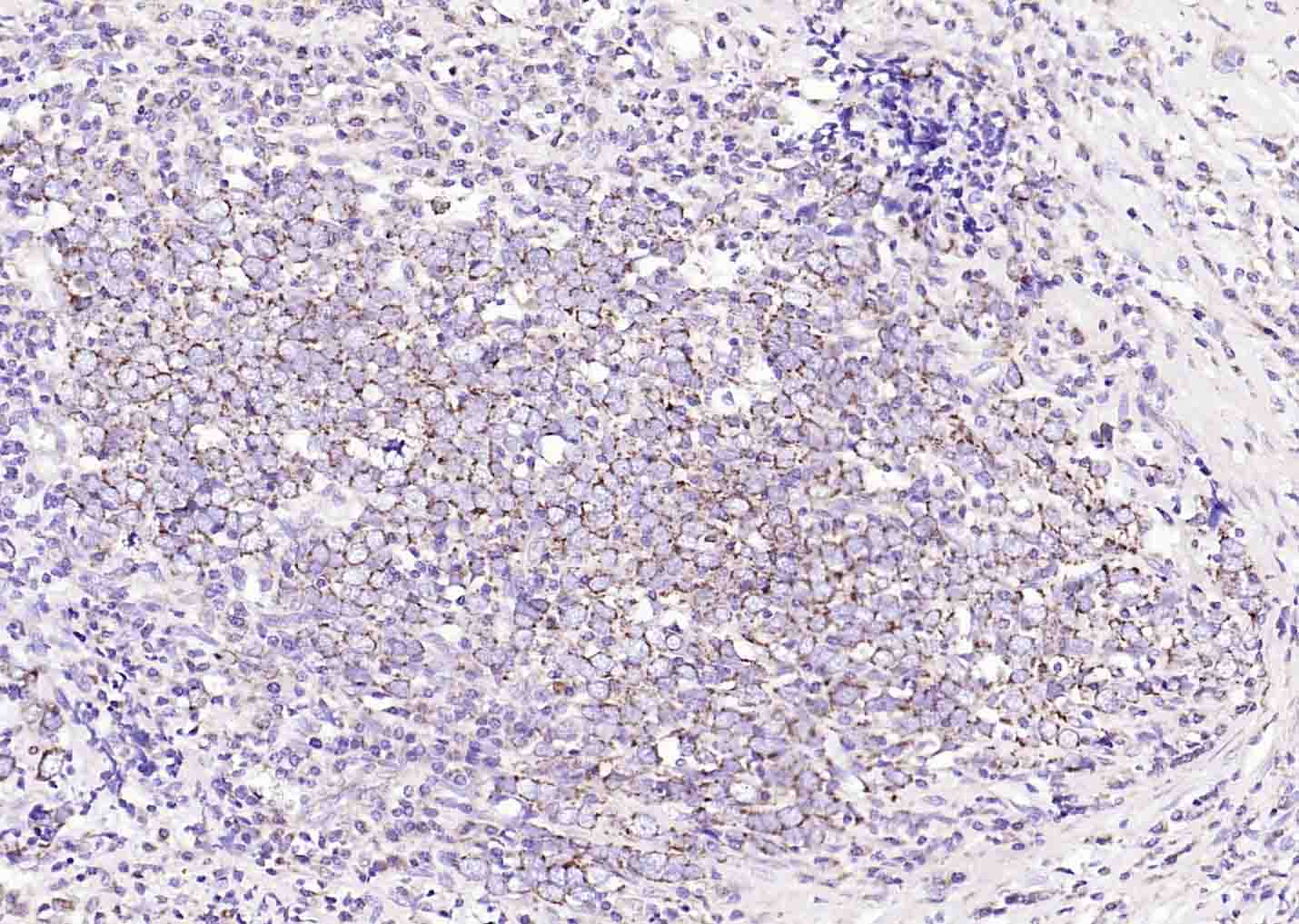
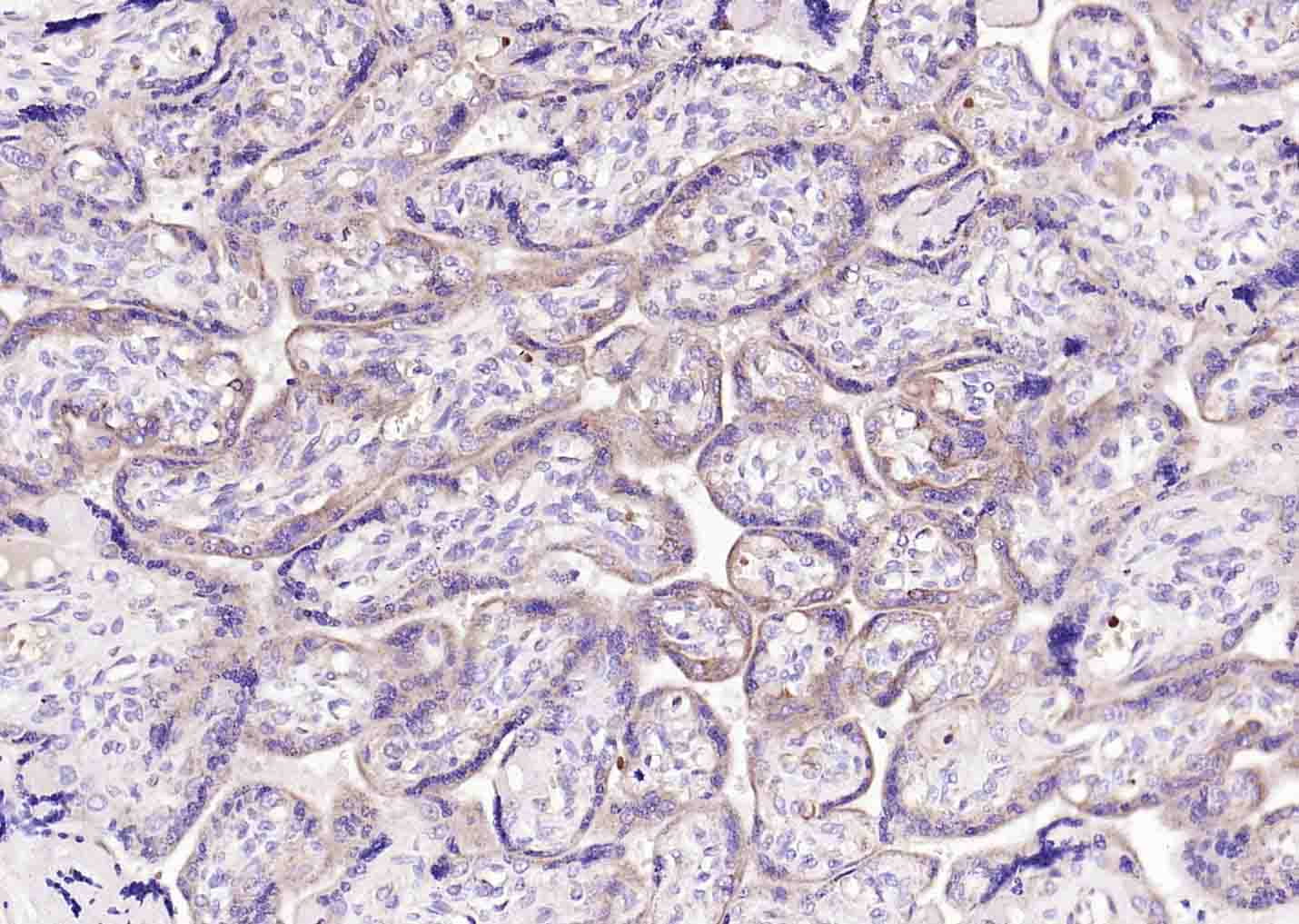
| 产品编号 | bs-3673R |
| 英文名称 | DIO2 Rabbit pAb |
| 中文名称 | 脱碘酶2抗体 |
| 英文别名 | 5DII; D2; Deiodinase, iodothyronine, type II; DIOII; ITDI2; SelY; Thyroxine deiodinase, type II; TXDI2; Type 2 DI; Type II 5' deiodinase; Type II iodothyronine deiodinase. |
| 产品应用 | WB=1:500-2000, IHC-P=1:100-500, IHC-F=1:100-500, IF=1:100-500 Not yet tested in other applications. |
| 交叉反应 | Human, Mouse, Rat, thyroid gland, thyroid gland, thyroid gland, thyroid gland, placenta, placenta, placenta, placenta (Dog, Pig, Cow, Horse, Rabbit, Sheep) |
| 抗体来源 | Rabbit |
| 免疫原 | KLH conjugated synthetic peptide derived from human DIO2 |
| 亚型 | IgG |
| 性状 | Liquid |
| 纯化方法 | affinity purified by Protein A |
| 克隆类型 | Polyclonal |
| 理论分子量 | 30 kDa |
| 浓度 | 1mg/ml |
| 储存液 | 0.01M TBS (pH7.4) with 1% BSA, 0.02% Proclin300 and 50% Glycerol. |
| 研究领域 | Cancer > Cancer Metabolism > Metabolic signaling pathway > Hormone biosynthesis Metabolism > Pathways and Processes > Endocrine metabolism > Hormone biosynthesis Metabolism > Types of disease > Cancer Neuroscience > Endocrine system > Thyroid axis Signal Transduction > Growth Factors/Hormones > Hormones |
| 亚基 | Interacts with USP20 and USP33. Interacts with MARCH6. |
| 亚细胞定位 | Membrane; Single-pass membrane protein (Potential). |
| 组织特异性 | Heart, skeletal muscle, placenta, fetal brain and several regions of the adult brain. |
| 翻译后修饰 | Ubiquitinated by MARCH6, leading to its degradation by the proteasome. Deubiquitinated by USP20 and USP33. |
| 相似性 | Belongs to the iodothyronine deiodinase family. |
| 功能 | Responsible for the deiodination of T4 (3,5,3',5'-tetraiodothyronine) into T3 (3,5,3'-triiodothyronine). Essential for providing the brain with appropriate levels of T3 during the critical period of development. |
| 保存条件 | Shipped at 4℃. Store at -20℃ for one year. Avoid repeated freeze/thaw cycles. |
| 注意事项 | This product as supplied is intended for research use only, not for use in human, therapeutic or diagnostic applications. |
| 背景资料 | DIO2 belongs to the iodothyronine deiodinase family and is responsible for the deiodination of T4 (3,5,3',5'-tetraiodothyronine) into T3 (3,5,3'-triiodothyronine). It is essential for providing the brain with appropriate levels of T3 during the critical period of development. DIO2 is expressed in heart, skeletal muscle, placenta, fetal brain and several regions of the adult brain. There are two named isoforms. |
| 应用 | 推荐稀释比例 |
| {WB} | {1:500-2000} |
| {IHC-P} | {1:100-500} |
| {IHC-F} | {1:100-500} |
| {IF} | {1:100-500} |

Heart (Mouse) Lysate at 40 ug
Primary: Anti-DIO2 (bs-3673R) at 1/1000 dilution
Secondary: IRDye800CW Goat Anti-Rabbit IgG at 1/20000 dilution
Predicted band size: 30 kD
Observed band size: 30 kD




风险提示:丁香通仅作为第三方平台,为商家信息发布提供平台空间。用户咨询产品时请注意保护个人信息及财产安全,合理判断,谨慎选购商品,商家和用户对交易行为负责。对于医疗器械类产品,请先查证核实企业经营资质和医疗器械产品注册证情况。
- 作者
- 内容
- 询问日期
文献和实验[IF={{ 6.551 }}] {Mei Ha. et al. PKCα mediated by the PI3K/Akt-FOXA1 cascade facilitates cypermethrin-induced hyperthyroidism. Sci Total Environ. 2021 Feb;757:143727} {WB} {Rat}
[IF={{ 3.177 }}] {Enoch Appiah Adu-Gyamfi. et al. Iodothyronine deiodinase 2 (DiO2) regulates trophoblast cell line cycle, invasion and apoptosis; and its downregulation is associated with early recurrent miscarriage. Placenta. 2021 Aug;111:54} {WB,IF} {Human}
= NAL), appears to form upon oxidative cyclization of the nonfluorescent 2:1 lysine-HNE Michael adduct-Schiff base cross-link (Scheme 1). Polyclonal antibody (PAb) to the NAL-HNE fluorophore was raised in rabbit and found to be highly specific
GE Healthcare Benzamidine Sepharose™ 6B is p-aminobenzamidine covalently attached to Sepharose 6B by the epoxy coupling method. p-Aminobenzamidine (PAB), is a synthetic inhibitor of trypsin-like serine protease. Trypsin and trypsin
Nucleic Acid Programmable Protein Arrays: Versatile Tools for Array‐Based Functional Protein Studies
.g., Sigma) 50 mg/ml bis‐sulfosuccinimdylsuberate (BS3 ;Pierce, cat. no. PI 21580) in dimethylsulfoxide (DMSO) 5 mg/ml
技术资料暂无技术资料 索取技术资料






