相关产品推荐更多 >
万千商家帮你免费找货
0 人在求购买到急需产品
- 详细信息
- 文献和实验
- 技术资料
- 应用范围:
产品信息以Bioss网站为准
- 规格:
50ul/100ul/200ul
| 规格: | 50ul | 产品价格: | ¥1180.0 |
|---|---|---|---|
| 规格: | 100ul | 产品价格: | ¥1980.0 |
| 规格: | 200ul | 产品价格: | ¥2800.0 |
| 产品编号 | bs-9472R |
| 英文名称 | Myocardin Rabbit pAb |
| 中文名称 | 促血管平滑肌细胞分化因子抗体 |
| 英文别名 | MYCD; MYCD_HUMAN; Myocardin; Myocd. |
| 产品应用 | IHC-P=1:100-500, IHC-F=1:100-500, IF=1:100-500, Flow-Cyt=1ug/test Not yet tested in other applications. |
| 交叉反应 | Human (Mouse, Rat, Chicken, Dog, Pig, Cow, Horse, Rabbit) |
| 抗体来源 | Rabbit |
| 免疫原 | KLH conjugated synthetic peptide derived from human Myocardin |
| 亚型 | IgG |
| 性状 | Liquid |
| 纯化方法 | affinity purified by Protein A |
| 克隆类型 | Polyclonal |
| 理论分子量 | 103 kDa |
| 浓度 | 1mg/ml |
| 储存液 | 0.01M TBS (pH7.4) with 1% BSA, 0.02% Proclin300 and 50% Glycerol. |
| 亚基 | Homodimer. Interacts with SRF, its association does not depend on specific DNA sequences for ternary complex formation. Interacts with MLLT7/FOXO4. Interacts (via C-terminal) with EP300 (via the CREB-binding domain). Interacts with HDAC4 and HDAC5 (By similarity). Interacts with MEF2C. |
| 亚细胞定位 | Nucleus. |
| 组织特异性 | Expressed in heart, aorta, and in smooth muscle cell-containing tissues: stomach, bladder, small intestine, colon, lung, placenta and uterus. Very faint expression in prostate and skeletal muscle. |
| 翻译后修饰 | Phosphorylation regulates negatively the intrinsic myocardin transcriptional activity. |
| 相似性 | Contains 3 RPEL repeats. Contains 1 SAP domain. |
| 功能 | Smooth muscle cells (SM) and cardiac muscle cells-specific transcriptional factor which uses the canonical single or multiple CArG boxes DNA sequence. Acts as a cofactor of serum response factor (SRF) with the potential to modulate SRF-target genes. Plays a crucial role in cardiogenesis and differentiation of the smooth muscle cell lineage (myogenesis). |
| 保存条件 | Shipped at 4℃. Store at -20℃ for one year. Avoid repeated freeze/thaw cycles. |
| 注意事项 | This product as supplied is intended for research use only, not for use in human, therapeutic or diagnostic applications. |
| 背景资料 | Transcriptional factor that uses the canonical single or multiple CArG boxes DNA sequence. Binds CArG boxes only in the presence of serum response factor (SRF). Acts as a cofactor of SRF and modulates SRF-target genes. Regulates the expression of a set of cardiac and smooth muscle-specific genes. Plays a crucial role in cardiogenesis and differentiation of the smooth muscle cell lineage. |
| 应用 | 推荐稀释比例 |
| {IHC-P} | {1:100-500} |
| {IHC-F} | {1:100-500} |
| {IF} | {1:100-500} |
| {Flow-Cyt} | {1ug/test} |

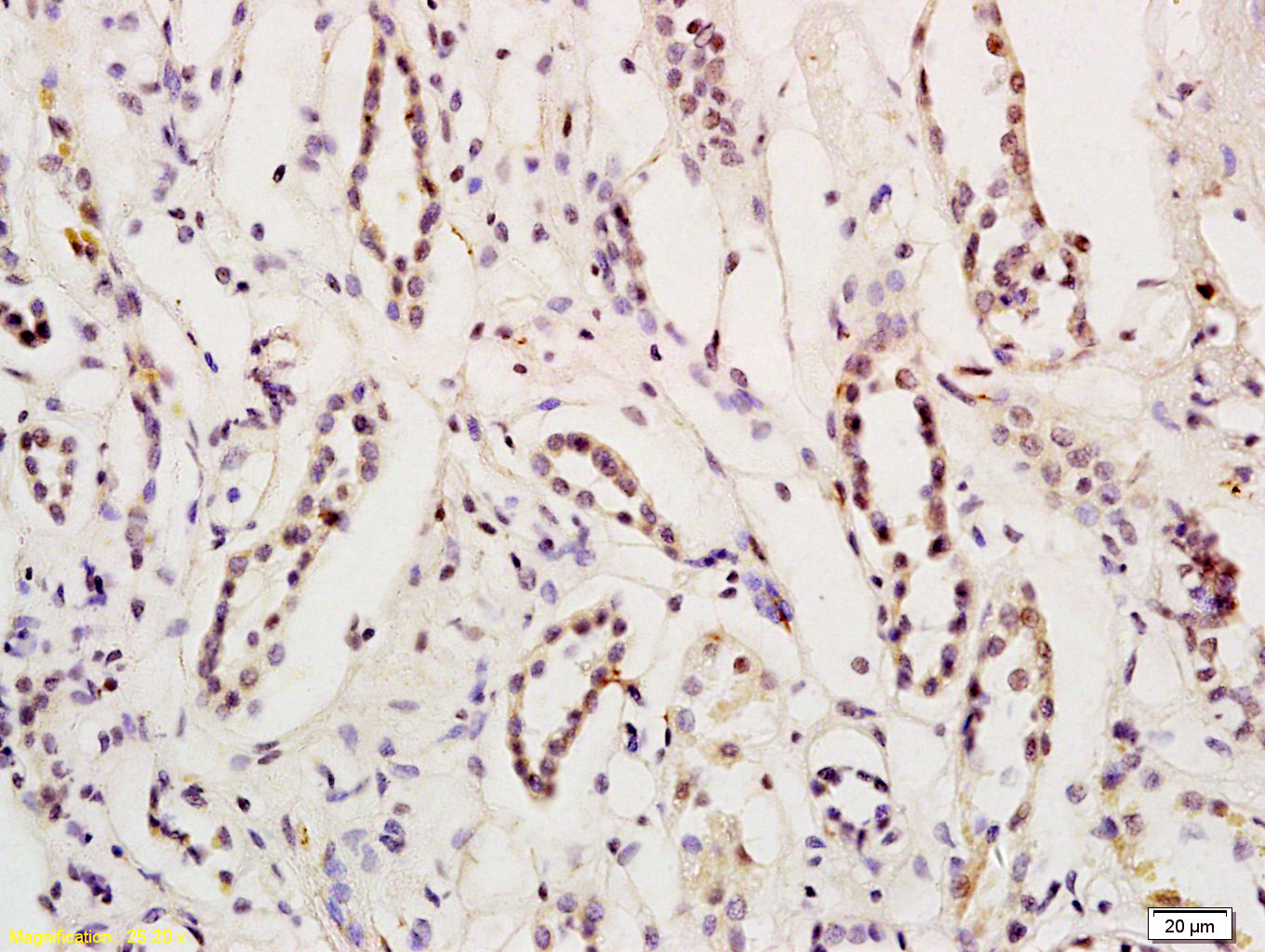
Antigen retrieval: citrate buffer ( 0.01M, pH 6.0 ), Boiling bathing for 15min; Block endogenous peroxidase by 3% Hydrogen peroxide for 30min; Blocking buffer (normal goat serum,C-0005) at 37℃ for 20 min;
Incubation: Anti-Myocardin Polyclonal Antibody, Unconjugated(bs-9472R) 1:200, overnight at 4°C, followed by conjugation to the secondary antibody(SP-0023) and DAB(C-0010) staining

Primary Antibody (green line): Rabbit Anti-Myocardin antibody (bs-9472R)
Dilution: 1μg /10^6 cells;
Isotype Control Antibody (orange line): Rabbit IgG .
Secondary Antibody : Goat anti-rabbit IgG-PE
Dilution: 1μg /test.
Protocol
The cells were fixed with 4% PFA (10min at room temperature)and then permeabilized with 90% ice-cold methanol for 20 min at-20℃. The cells were then incubated in 5%BSA to block non-specific protein-protein interactions for 30 min at at room temperature .Cells stained with Primary Antibody for 30 min at room temperature. The secondary antibody used for 40 min at room temperature. Acquisition of 20,000 events was performed.
风险提示:丁香通仅作为第三方平台,为商家信息发布提供平台空间。用户咨询产品时请注意保护个人信息及财产安全,合理判断,谨慎选购商品,商家和用户对交易行为负责。对于医疗器械类产品,请先查证核实企业经营资质和医疗器械产品注册证情况。
文献和实验[IF={{ 17.521 }}] {Hao Sun. et al. Silencing of NOTCH3 Signaling in Meniscus Smooth Muscle Cells Inhibits Fibrosis and Exacerbates Degeneration in a HEYL-Dependent Manner. Advanced Science. 2023 Apr;:2207020} {IF} {Human}
[IF={{ 0.8 }}] {Morita et al. Mechanisms underlying a decrease in KCl-induced contraction after long-term serum-free organ culture of rat isolated mesenteric artery. (2014) J.Vet.Med.Sci. 76:963-9} {WB} {Rat}
= NAL), appears to form upon oxidative cyclization of the nonfluorescent 2:1 lysine-HNE Michael adduct-Schiff base cross-link (Scheme 1). Polyclonal antibody (PAb) to the NAL-HNE fluorophore was raised in rabbit and found to be highly specific
GE Healthcare Benzamidine Sepharose™ 6B is p-aminobenzamidine covalently attached to Sepharose 6B by the epoxy coupling method. p-Aminobenzamidine (PAB), is a synthetic inhibitor of trypsin-like serine protease. Trypsin and trypsin
Nucleic Acid Programmable Protein Arrays: Versatile Tools for Array‐Based Functional Protein Studies
.g., Sigma) 50 mg/ml bis‐sulfosuccinimdylsuberate (BS3 ;Pierce, cat. no. PI 21580) in dimethylsulfoxide (DMSO) 5 mg/ml
技术资料暂无技术资料 索取技术资料










