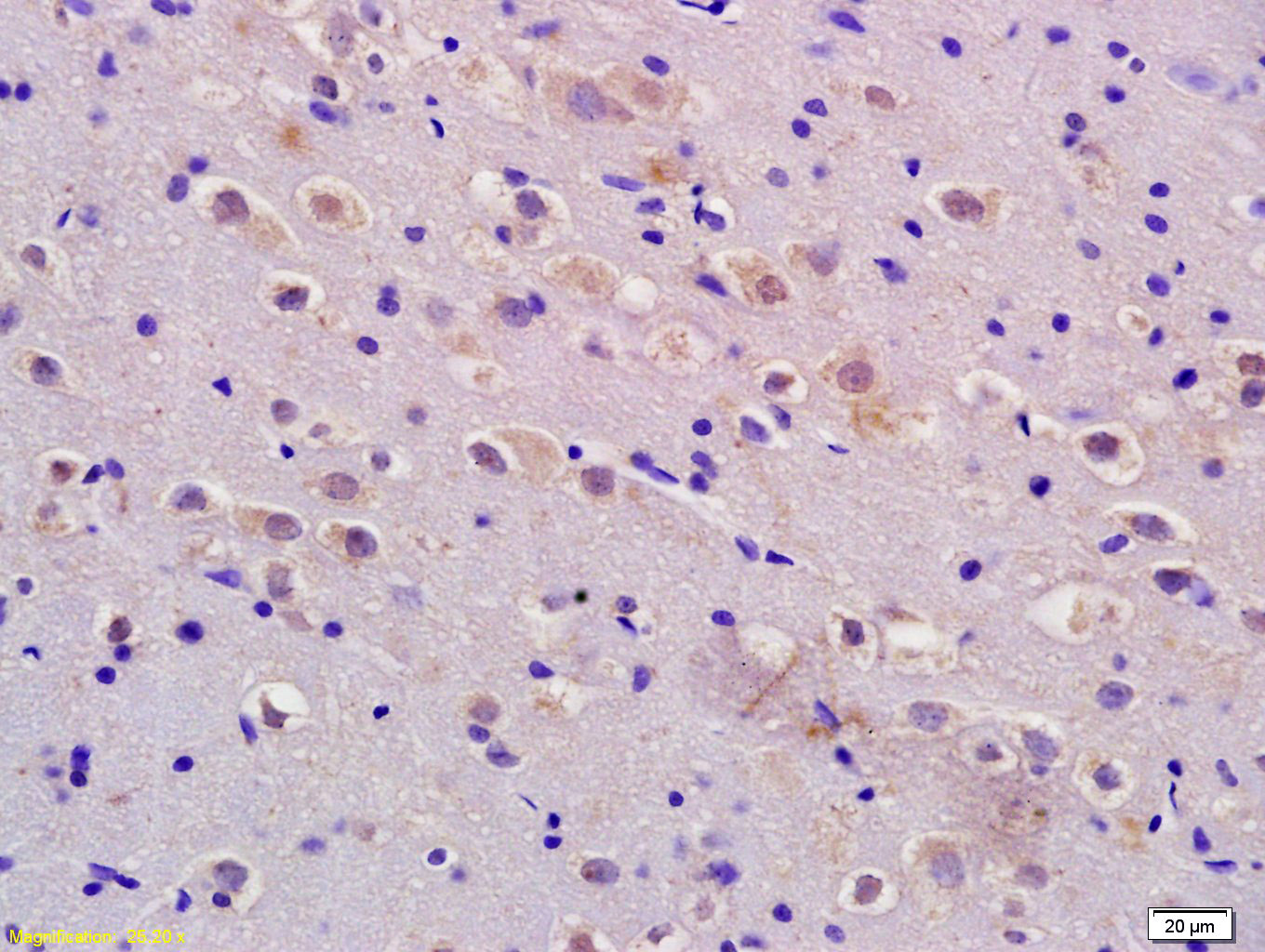
Tissue/cell: rat brain tissue; 4% Paraformaldehyde-fixed and paraffin-embedded;
Antigen retrieval: citrate buffer ( 0.01M, pH 6.0 ), Boiling bathing for 15min; Block endogenous peroxidase by 3% Hydrogen peroxide for 30min; Blocking buffer (normal goat serum,C-0005) at 37℃ for 20 min;
Incubation: Anti-ADM/AM/Adrenomedullin Polyclonal Antibody, Unconjugated(bs-0007R) 1:200, overnight at 4°C, followed by conjugation to the secondary antibody(SP-0023) and DAB(C-0010) staining
相关产品推荐更多 >
万千商家帮你免费找货
0 人在求购买到急需产品
- 详细信息
- 技术资料
- 应用范围:
产品信息以Bioss网站为准
- 规格:
50ul/100ul/200ul
| 规格: | 50ul | 产品价格: | ¥1180.0 |
|---|---|---|---|
| 规格: | 100ul | 产品价格: | ¥1980.0 |
| 规格: | 200ul | 产品价格: | ¥2800.0 |
| 产品编号 | bs-0007R |
| 英文名称 | ADM Rabbit pAb |
| 中文名称 | 肾上腺髓质素抗体 |
| 英文别名 | Adrenomedullin; ADM; ADM precursor; ADML_HUMAN. |
| 产品应用 | IHC-P=1:100-500, IHC-F=1:100-500, IF=1:100-500 Not yet tested in other applications. |
| 交叉反应 | Rat (Human, Mouse, Dog, Cow, Horse) |
| 抗体来源 | Rabbit |
| 免疫原 | KLH conjugated synthetic peptide derived from human ADM |
| 亚型 | IgG |
| 性状 | Liquid |
| 纯化方法 | affinity purified by Protein A |
| 克隆类型 | Polyclonal |
| 理论分子量 | 20 kDa |
| 浓度 | 1mg/ml |
| 储存液 | 0.01M TBS (pH7.4) with 1% BSA, 0.02% Proclin300 and 50% Glycerol. |
| 研究领域 | Cancer > Cancer Metabolism > Response to hypoxia Cancer > Signal transduction Cardiovascular > Angiogenesis > Angiogenic Factors Cardiovascular > Vasculature > Vasodilation Metabolism > Pathways and Processes > Metabolism processes > Hypoxia Neuroscience > Neurotransmitter > Neuropeptides > More Neuropeptides Signal Transduction > Growth Factors/Hormones > Hormones |
| 亚细胞定位 | Secreted. |
| 组织特异性 | Highest levels found in pheochromocytoma and adrenal medulla. Also found in lung, ventricle and kidney tissues. |
| 相似性 | Belongs to the adrenomedullin family. |
| 功能 | AM and PAMP are potent hypotensive and vasodilatator agents. Numerous actions have been reported most related to the physiologic control of fluid and electrolyte homeostasis. In the kidney, am is diuretic and natriuretic, and both am and pamp inhibit aldosterone secretion by direct adrenal actions. In pituitary gland, both peptides at physiologically relevant doses inhibit basal ACTH secretion. Both peptides appear to act in brain and pituitary gland to facilitate the loss of plasma volume, actions which complement their hypotensive effects in blood vessels. |
| 保存条件 | Shipped at 4℃. Store at -20℃ for one year. Avoid repeated freeze/thaw cycles. |
| 注意事项 | This product as supplied is intended for research use only, not for use in human, therapeutic or diagnostic applications. |
| 背景资料 | Adrenomedullin, a hypotensive peptide found in human pheochromocytoma, consists of 52 amino acids, has 1 intramolecular disulfide bond, and shows a slight homology with the calcitonin gene-related peptide. It may function as a hormone in circulation control because it is found in blood in a considerable concentration. The precursor, called preproadrenomedullin, is 185 amino acids long. By RNA-blot analysis, human adrenomedullin mRNA was found to be highly expressed in several tissues. Genomic ADM DNA consists of4 exons and 3 introns, with the 5-prime flanking region containing TATA, CAAT, and GC boxes. There are also multiple binding sites for activator protein-2 and a cAMP-regulated enhancer element. |
| 应用 | 推荐稀释比例 |
| {IHC-P} | {1:100-500} |
| {IHC-F} | {1:100-500} |
| {IF} | {1:100-500} |


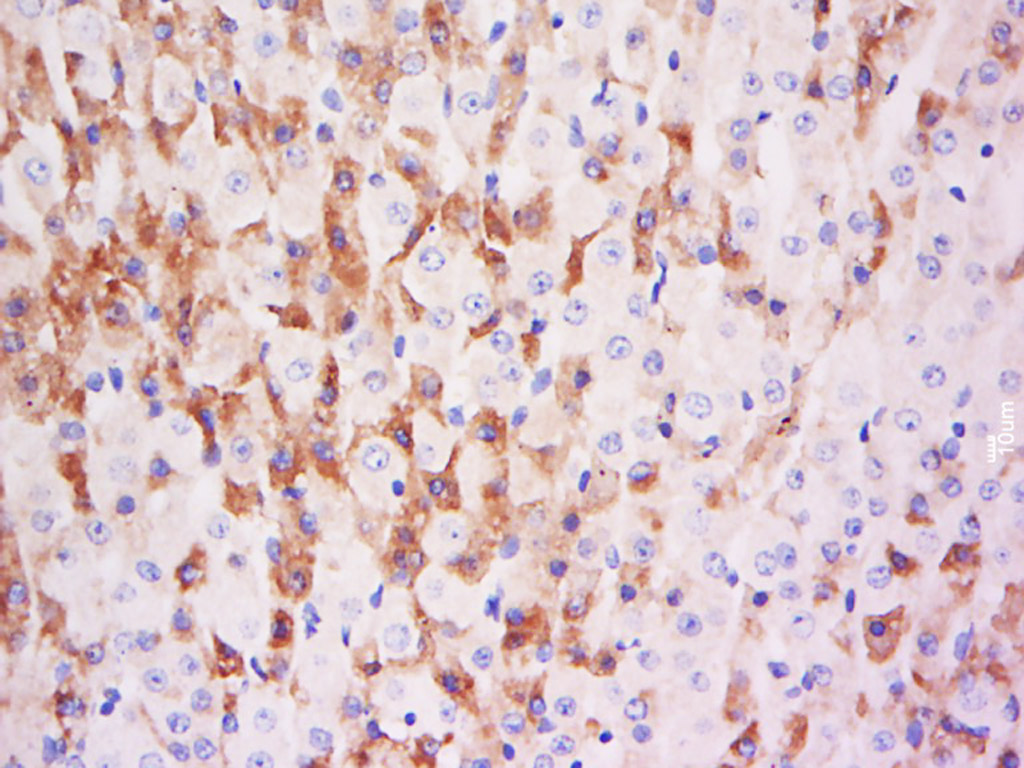
Tissue/cell: Rat adrenal gland; 4% Paraformaldehyde-fixed and paraffin-embedded;
Antigen retrieval: citrate buffer ( 0.01M, pH 6.0 ), Boiling bathing for 15min; Block endogenous peroxidase by 3% Hydrogen peroxide for 30min; Blocking buffer (normal goat serum,C-0005) at 37℃ for 20 min;
Incubation: Anti-ADM Polyclonal Antibody, Unconjugated(bs-0007R) 1:500, overnight at 4°C, followed by conjugation to the secondary antibody(SP-0023) and DAB(C-0010) staining
Antigen retrieval: citrate buffer ( 0.01M, pH 6.0 ), Boiling bathing for 15min; Block endogenous peroxidase by 3% Hydrogen peroxide for 30min; Blocking buffer (normal goat serum,C-0005) at 37℃ for 20 min;
Incubation: Anti-ADM Polyclonal Antibody, Unconjugated(bs-0007R) 1:500, overnight at 4°C, followed by conjugation to the secondary antibody(SP-0023) and DAB(C-0010) staining
风险提示:丁香通仅作为第三方平台,为商家信息发布提供平台空间。用户咨询产品时请注意保护个人信息及财产安全,合理判断,谨慎选购商品,商家和用户对交易行为负责。对于医疗器械类产品,请先查证核实企业经营资质和医疗器械产品注册证情况。
技术资料暂无技术资料 索取技术资料
ADM Rabbit pAb(bs-0007R)-50ul/100ul/200ul
¥1180 - 2800









