相关产品推荐更多 >
万千商家帮你免费找货
0 人在求购买到急需产品
- 详细信息
- 文献和实验
- 技术资料
- 应用范围:
产品信息以Bioss网站为准
- 规格:
50ul/100ul/200ul
| 规格: | 50ul | 产品价格: | ¥1180.0 |
|---|---|---|---|
| 规格: | 100ul | 产品价格: | ¥1980.0 |
| 规格: | 200ul | 产品价格: | ¥2800.0 |
| 产品编号 | bs-1893R |
| 英文名称 | Serotonin transporter Rabbit pAb |
| 中文名称 | 5-羟色胺转运蛋白抗体 |
| 英文别名 | 5HT transporter; 5-HTT; 5-HTTLPR; 5HTT; hSERT; HTT; OCD1; SERT; SERT1; SC6A4_HUMAN; SERT; SLC6A4; Sodium dependent serotonin transporter; Sodium-dependent serotonin transporter; Solute carrier family 6 member 4; sodium-dependent serotonin transporter; 5-hydroxytryptamine transporter; 5HT transporter; Na+/Cl-dependent serotonin transporter. |
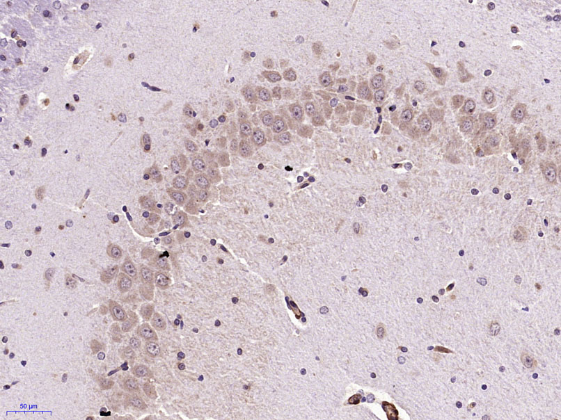
| 产品应用 | WB=1:500-2000, IHC-P=1:100-500, IHC-F=1:100-500, IF=1:100-500 Not yet tested in other applications. |
| 交叉反应 | Mouse, Rat (Human, Chicken, Dog, Pig, Cow, Sheep, GuineaPig) |
| 抗体来源 | Rabbit |
| 免疫原 | KLH conjugated synthetic peptide derived from human 5-HTT |
| 亚型 | IgG |
| 性状 | Liquid |
| 纯化方法 | affinity purified by Protein A |
| 克隆类型 | Polyclonal |
| 理论分子量 | 70 kDa |
| 浓度 | 1mg/ml |
| 储存液 | 0.01M TBS (pH7.4) with 1% BSA, 0.02% Proclin300 and 50% Glycerol. |
| 研究领域 | Metabolism > Pathways and Processes > Metabolic signaling pathways > Drug metabolism Neuroscience > Neurotransmission > Receptors / Channels > Sodium Channels Neuroscience > Neurotransmitter > Biogenic Amines > Serotonin / 5HT Neuroscience > Neurotransmitter > Transporters Signal Transduction > Metabolism > Drug metabolism |
| 亚基 | Monomer or homooligomer. Interacts with TGFB1I1. Interacts (via sialylated form) with MYH9. Interacts with SEC23A, SEC24C and INADL. Interacts with NOS1; the interaction may diminish the cell surface localization of SERT in the brain and, correspondingly, reduce serotonin reuptake. Interacts with filamentous actin and STX1A (By similarity). Interacts (via C-terminus) with VIM. Interacts (via C-terminus) with SCAMP2; the interaction is direct and retains transporter molecules intracellularly. Interacts with RAB4 (GTP-bound form); the interaction retains transporter molecules intracellularly. |
| 亚细胞定位 | Cell membrane; Multi-pass membrane protein. Endomembrane system; Multi-pass membrane protein. Endosome membrane; Multi-pass membrane protein. |
| 组织特异性 | Expressed in platelets (at protein level). |
| 翻译后修饰 | Glycosylated; modification with sialylated N-glycans is a requirement for transporters to associate with each other and to function as homooligomeric forms (By similarity). Phosphorylation at Thr-276 increases 5-HT uptake and is required for cGMP-mediated SERT regulation (By similarity). Phosphorylation upon PKC stimulation modifies the SERT distribution and density in the membrane, and diminishes the uptake capacity. |
| 相似性 | Belongs to the sodium:neurotransmitter symporter (SNF) (TC 2.A.22) family. SLC6A4 subfamily. |
| 功能 | Serotonin transporter whose primary function in the central nervous system involves the regulation of serotonergic signaling via transport of serotonin molecules from the synaptic cleft back into the pre-synaptic terminal for re-utilization. Plays a key role in mediating regulation of the availability of serotonin to other receptors of serotonergic systems. Terminates the action of serotonin and recycles it in a sodium-dependent manner. |
| 保存条件 | Shipped at 4℃. Store at -20℃ for one year. Avoid repeated freeze/thaw cycles. |
| 注意事项 | This product as supplied is intended for research use only, not for use in human, therapeutic or diagnostic applications. |
| 背景资料 | This gene encodes an integral membrane protein that transports the neurotransmitter serotonin from synaptic spaces into presynaptic neurons. The encoded protein terminates the action of serotonin and recycles it in a sodium-dependent manner. This protein is a target of psychomotor stimulants, such as amphetamines and Cocaine, and is a member of the sodium:neurotransmitter symporter family. A repeat length polymorphism in the promoter of this gene has been shown to affect the rate of serotonin uptake and may play a role in sudden infant death syndrome, aggressive behavior in Alzheimer disease patients, and depression-susceptibility in people experiencing emotional trauma. [provided by RefSeq, Jul 2008]. |
| 应用 | 推荐稀释比例 |
| {WB} | {1:500-2000} |
| {IHC-P} | {1:100-500} |
| {IHC-F} | {1:100-500} |
| {IF} | {1:100-500} |

Cerebrum (Mouse) Lysate at 40 ug
Primary: Anti-SLC6A4 (bs-1893R) at 1/500 dilution
Secondary: IRDye800CW Goat Anti-Rabbit IgG at 1/20000 dilution
Predicted band size: 70 kD
Observed band size: 70 kD


风险提示:丁香通仅作为第三方平台,为商家信息发布提供平台空间。用户咨询产品时请注意保护个人信息及财产安全,合理判断,谨慎选购商品,商家和用户对交易行为负责。对于医疗器械类产品,请先查证核实企业经营资质和医疗器械产品注册证情况。
文献和实验[IF={{ 5.561 }}] {Lei Wu. et al. Ethanol Extract of Mao Jian Green Tea Attenuates Gastrointestinal Symptoms in a Rat Model of Irritable Bowel Syndrome with Constipation via the 5-hydroxytryptamine Signaling Pathway. FOODS. 2023 Jan;12(5):1101} {WB} {Rat}
[IF={{ 3.8 }}] {Paul C. Omaliko. et al. Impact of Dietary Fat Types on expression levels of Dopamine and Serotonin transporters in the Ileum of broiler chickens. POULTRY SCI. 2024 Jul;:104114} {WB} {Chicken}
[IF={{ 3.693 }}] {Huang X et al. The development of the serotonergic and dopaminergic systems during chicken mid-late embryogenesis. Mol Cell Endocrinol. 2019 Aug 1;493:110472.} {IF,WB} {Hen(egg)}
[IF={{ 3.3 }}] {Wojtal, Kacper Andrzej, et al. "Down-regulation of duodenal SLC transporters and activation of pro-inflammatory signaling constitute the early response to high altitude in humans." American Journal of Physiology-Gastrointestinal and Liver Physiology (2014): ajpgi-00353.} {WB} {="Human"}
[IF={{ 2.75 }}] {Dong, Xian-Zhe, et al. "A representative prescription for emotional disease, Ding-Zhi-Xiao-Wan restores 5-HT system deficit through interfering the synthesis and transshipment in chronic mild stress-induced depressive Rats." Journal of Ethnopharmacology (2013).} {WB} {="Rat"}
【资源】全面归类网址:毕赤酵母表达各种来源蛋白(细菌,真菌,植物,人类等)
, 12 mg/L, α-MF or endogenous signal507Porcine pepsinogenS, PHO, 30 mg/L, active504Rabbit intestinal peptide transporter (PepT1)I[177]Rabbit intestinal peptide transporter (PEPT2)I[178]Rabbit antibody: monoclonal single-chain Fv specific for recombinant
Nucleic Acid Programmable Protein Arrays: Versatile Tools for Array‐Based Functional Protein Studies
.g., Sigma) 50 mg/ml bis‐sulfosuccinimdylsuberate (BS3 ;Pierce, cat. no. PI 21580) in dimethylsulfoxide (DMSO) 5 mg/ml
技术资料暂无技术资料 索取技术资料









