相关产品推荐更多 >

MEK2 Mouse mAb, HRP conjugated(bsm-33216M-HRP)-100ul
¥2980
BCL2L1 Rabbit pAb, Cy5 conjugated(bs-1336R-Cy5)-100ul
¥2980
5HT3B Receptor Rabbit pAb, PE conjugated(bs-4289R-PE)-100ul
¥2980
Galectin 3 Rabbit pAb, APC-Cy5.5 conjugated(bs-0721R-APC-Cy5.5)-100ul
¥2980
CTU2 Rabbit pAb(bs-14109R)-50ul/100ul/200ul
¥1180
万千商家帮你免费找货
0 人在求购买到急需产品
- 详细信息
- 文献和实验
- 技术资料
- 应用范围:
产品信息以Bioss网站为准
- 规格:
50ul/100ul/200ul
| 规格: | 50ul | 产品价格: | ¥1180.0 |
|---|---|---|---|
| 规格: | 100ul | 产品价格: | ¥1980.0 |
| 规格: | 200ul | 产品价格: | ¥2800.0 |
| 产品编号 | bs-9168R |
| 英文名称 | RING2 Rabbit pAb |
| 中文名称 | 环指蛋白2抗体 |
| 英文别名 | BAP 1; BAP1; DING; DinG protein; E3 ubiquitin protein ligase RING 2; E3 ubiquitin protein ligase RING2; E3 ubiquitin-protein ligase RING2; HIP2 interacting protein 3; HIP2-interacting protein 3; HIPI 3; HIPI3; Huntingtin interacting protein 2 interacting protein 3; Huntingtin-interacting protein 2-interacting protein 3; Polycomb M33 interacting protein Ring 1B; Polycomb M33 interacting protein Ring1B; Protein DinG; RING 1B; RING 2; Ring finger protein 1b; Ring finger protein 2; RING finger protein BAP 1; RING finger protein BAP-1; RING finger protein BAP1; RING1b; RING2_HUMAN; RNF 2; RNF2. |
| 产品应用 | IHC-P=1:100-500, IHC-F=1:100-500, IF=1:100-500 Not yet tested in other applications. |
| 交叉反应 | Human (Mouse, Rat, Chicken, Dog, Pig, Cow, Horse, Rabbit) |
| 抗体来源 | Rabbit |
| 免疫原 | KLH conjugated synthetic peptide derived from human RING2 |
| 亚型 | IgG |
| 性状 | Liquid |
| 纯化方法 | affinity purified by Protein A |
| 克隆类型 | Polyclonal |
| 理论分子量 | 37 kDa |
| 浓度 | 1mg/ml |
| 储存液 | 0.01M TBS (pH7.4) with 1% BSA, 0.02% Proclin300 and 50% Glycerol. |
| 研究领域 | Epigenetics and Nuclear Signaling > Chromatin Remodeling > Polycomb Silencing > PRC1 |
| 亚基 | Component of chromatin-associated Polycomb (PcG) complexes. Part of the E2F6.com-1 complex in G0 phase composed of E2F6, MGA, MAX, TFDP1, CBX3, BAT8, EUHMTASE1, RING1, RNF2/RING2, MBLR, L3MBTL2 and YAF2. Component of a PRC1-like complex. Component of some MLL1/MLL complex, at least composed of the core components MLL, ASH2L, HCFC1/HCF1, WDR5 and RBBP5, as well as the facultative components C17orf49, CHD8, E2F6, HSP70, INO80C, KANSL1, LAS1L, MAX, MCRS1, MGA, MYST1/MOF, PELP1, PHF20, PRP31, RING2, RUVB1/TIP49A, RUVB2/TIP49B, SENP3, TAF1, TAF4, TAF6, TAF7, TAF9 and TEX10. Interacts with RYBP, HIP2 and TFCP2. Association to the chromosomal DNA is cell-cycle dependent. Component of repressive BCOR complex containing Polycomb group subcomplex at least composed of RYBP, PCGF1, BCOR and RING1. Interacts with Interacts with PCGF2, CBX4, CBX6, CBX7 and CBX8. Interacts with CBX2, BMI and PHC2. Interacts with RYBP, HIP2 and TFCP2. |
| 亚细胞定位 | Nucleus. Chromosome. Note=Enriched on inactive X chromosome (Xi) in female trophoblast stem (TS) cells as well as differentiating embryonic stem (ES) cells. The enrichment on Xi is transient during TS and ES cell differentiation. The association with Xi is mitotically stable in non-differentiated TS cells. |
| 翻译后修饰 | Polyubiquitinated in the presence of UBE2D3 (in vitro).
Monoubiquitinated, by auto-ubiquitination. |
| 相似性 | Contains 1 RING-type zinc finger. |
| 功能 | E3 ubiquitin-protein ligase that mediates monoubiquitination of 'Lys-119' of histone H2A, thereby playing a central role in histone code and gene regulation. H2A 'Lys-119' ubiquitination gives a specific tag for epigenetic transcriptional repression and participates in X chromosome inactivation of female mammals. May be involved in the initiation of both imprinted and random X inactivation. Essential component of a Polycomb group (PcG) multiprotein PRC1-like complex, a complex class required to maintain the transcriptionally repressive state of many genes, including Hox genes, throughout development. PcG PRC1 complex acts via chromatin remodeling and modification of histones, rendering chromatin heritably changed in its expressibility. E3 ubiquitin-protein ligase activity is enhanced by BMI1/PCGF4. Acts as the main E3 ubiquitin ligase on histone H2A of the PRC1 complex, while RING1 may rather act as a modulator of RNF2/RING2 activity. |
| 保存条件 | Shipped at 4℃. Store at -20℃ for one year. Avoid repeated freeze/thaw cycles. |
| 注意事项 | This product as supplied is intended for research use only, not for use in human, therapeutic or diagnostic applications. |
| 背景资料 | Polycomb group (PcG) of proteins form the multiprotein complexes that are important for the transcription repression of various genes involved in development and cell proliferation. The protein encoded by this gene is one of the PcG proteins. It has been shown to interact with, and suppress the activity of, transcription factor CP2 (TFCP2/CP2). Studies of the mouse counterpart suggested the involvement of this gene in the specification of anterior-posterior axis, as well as in cell proliferation in early development. This protein was also found to interact with huntingtin interacting protein 2 (HIP2), an ubiquitin-conjugating enzyme, and possess ubiquitin ligase activity. [provided by RefSeq, Jul 2008]. |
| 应用 | 推荐稀释比例 |
| {IHC-P} | {1:100-500} |
| {IHC-F} | {1:100-500} |
| {IF} | {1:100-500} |

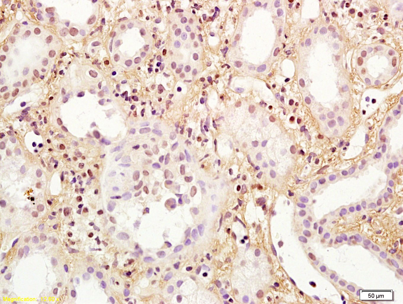
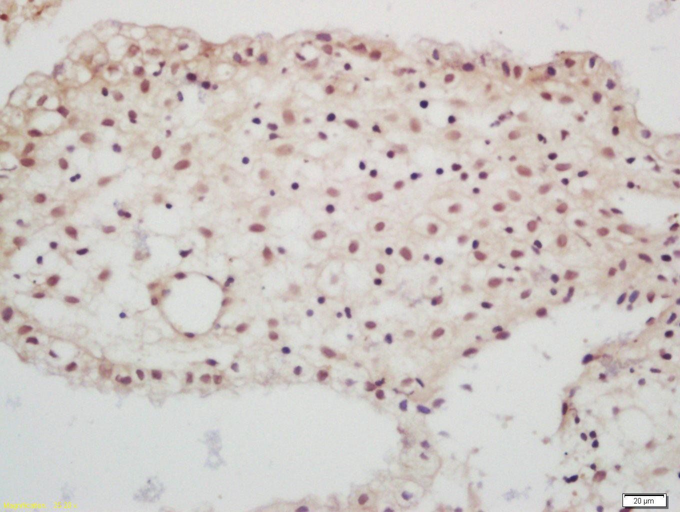
Antigen retrieval: citrate buffer ( 0.01M, pH 6.0 ), Boiling bathing for 15min; Block endogenous peroxidase by 3% Hydrogen peroxide for 30min; Blocking buffer (normal goat serum,C-0005) at 37℃ for 20 min;
Incubation: Anti-DRIP1/C14orf28 Polyclonal Antibody, Unconjugated(bs-9618R) 1:200, overnight at 4°C, followed by conjugation to the secondary antibody(SP-0023) and DAB(C-0010) staining

Antigen retrieval: citrate buffer ( 0.01M, pH 6.0 ), Boiling bathing for 15min; Block endogenous peroxidase by 3% Hydrogen peroxide for 30min; Blocking buffer (normal goat serum,C-0005) at 37℃ for 20 min;
Incubation: Anti-RING2 Polyclonal Antibody, Unconjugated(bs-9168R) 1:200, overnight at 4°C, followed by conjugation to the secondary antibody(SP-0023) and DAB(C-0010) staining
风险提示:丁香通仅作为第三方平台,为商家信息发布提供平台空间。用户咨询产品时请注意保护个人信息及财产安全,合理判断,谨慎选购商品,商家和用户对交易行为负责。对于医疗器械类产品,请先查证核实企业经营资质和医疗器械产品注册证情况。
文献和实验= NAL), appears to form upon oxidative cyclization of the nonfluorescent 2:1 lysine-HNE Michael adduct-Schiff base cross-link (Scheme 1). Polyclonal antibody (PAb) to the NAL-HNE fluorophore was raised in rabbit and found to be highly specific
Polyclonal Antibody Production
Polyclonal Antibody Production Very useful for rapid and simple generation of antibodies for western blots, ELISA assays, and immunoprecipitation. Rabbit Immunization Initial Preparation Your antigen
Polyclonal Antibody Production
Zealand White Rabbits and have them delivered to the ARC. Don’t put all your eggs in one basket only using one rabbit. Let them get accustomed to there home there for two weeks before the first pre-bleed. Pre-bleed
技术资料暂无技术资料 索取技术资料






