相关产品推荐更多 >

CD163 Rabbit pAb, PerCP-Cy5.5 conjugated(bs-2527R-PerCP-Cy5.5)-100ul
¥2980
CXCL13 Rabbit pAb, PerCP conjugated(bs-2553R-PerCP)-100ul
¥2980
Ephrin A1 Rabbit pAb(bs-1763R)-50ul/100ul/200ul
¥1180
CD226 Rabbit pAb, PerCP-Cy5.5 conjugated(bs-2569R-PerCP-Cy5.5)-100ul
¥2980
GDF1 Rabbit pAb(bs-1794R)-50ul/100ul/200ul
¥1180
万千商家帮你免费找货
0 人在求购买到急需产品
- 详细信息
- 文献和实验
- 技术资料
- 应用范围:
产品信息以Bioss网站为准
- 规格:
50ul/100ul/200ul
| 规格: | 50ul | 产品价格: | ¥1180.0 |
|---|---|---|---|
| 规格: | 100ul | 产品价格: | ¥1980.0 |
| 规格: | 200ul | 产品价格: | ¥2800.0 |
| 产品编号 | bs-0826R |
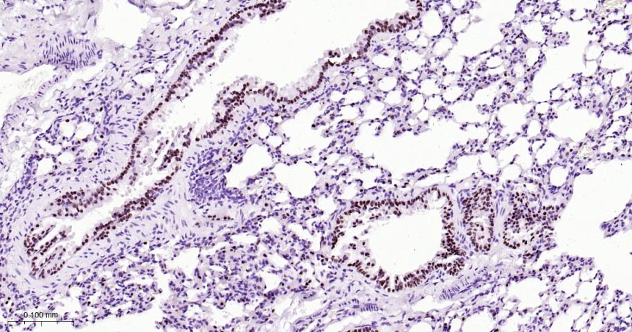
| 英文名称 | TTF1/NKX2-1 Rabbit pAb |
| 中文名称 | 甲状腺核转录因子-1抗体 |
| 英文别名 | NKX21_HUMAN; Homeobox protein Nkx-2.1; Homeobox protein NK-2 homolog A; Thyroid nuclear factor 1; Thyroid transcription factor 1(TTF-1); Thyroid-specific enhancer-binding protein(T/EBP); NKX2A; TITF1; TTF1; TTF-1; NK2 homeobox 1; BCH; BHC; NK-2; TEBP; NMTC1; T/EBP; |
| 产品应用 | WB=1:500-2000, IHC-P=1:100-500, Flow-Cyt=1μg/Test, IHC-F=1:100-500, IF=1:100-500, ICC/IF=1:50-200 Not yet tested in other applications. |
| 交叉反应 | Human, Mouse, Rat |
| 抗体来源 | Rabbit |
| 免疫原 | KLH conjugated synthetic peptide derived from human TTF-1 |
| 亚型 | IgG |
| 性状 | Liquid |
| 纯化方法 | affinity purified by Protein A |
| 克隆类型 | Polyclonal |
| 理论分子量 | 38 kDa |
| 浓度 | 1mg/ml |
| 储存液 | 0.01M TBS (pH7.4) with 1% BSA, 0.02% Proclin300 and 50% Glycerol. |
| 亚细胞定位 | Nucleus. |
| 组织特异性 | Thyroid, lung and CNS. Expressed in restricted regions of the developing brain within the diencephalon, in parts of the hypothalamus and neurohypophysis, and in the telencephalon. |
| 翻译后修饰 | Phosphorylated on serine residues by STK3. |
| 相似性 | Belongs to the NK-2 homeobox family.
Contains 1 homeobox DNA-binding domain. |
| 功能 | Transcription factor that binds and activates the promoter of thyroid specific genes such as thyroglobulin, thyroperoxidase, and thyrotropin receptor. Crucial in the maintenance of the thyroid differentiation phenotype. May play a role in lung development and surfactant homeostasis. |
| 保存条件 | Shipped at 4℃. Store at -20℃ for one year. Avoid repeated freeze/thaw cycles. |
| 注意事项 | This product as supplied is intended for research use only, not for use in human, therapeutic or diagnostic applications. |
| 背景资料 | This gene encodes a protein initially identified as a thyroid-specific transcription factor. The encoded protein binds to the thyroglobulin promoter and regulates the expression of thyroid-specific genes but has also been shown to regulate the expression of genes involved in morphogenesis. Mutations and deletions in this gene are associated with benign hereditary chorea, choreoathetosis, congenital hypothyroidism, and neonatal respiratory distress, and may be associated with thyroid cancer. Multiple transcript variants encoding different isoforms have been found for this gene. This gene shares the symbol/alias 'TFF1' with another gene, transcription termination factor 1, which plays a role in ribosomal gene transcription. [provided by RefSeq, Apr 2011] |
| 应用 | 推荐稀释比例 |
| {WB} | {1:500-2000} |
| {IHC-P} | {1:100-500} |
| {Flow-Cyt} | {1μg/Test} |
| {IHC-F} | {1:100-500} |
| {IF} | {1:100-500} |
| {ICC/IF} | {1:50-200} |







风险提示:丁香通仅作为第三方平台,为商家信息发布提供平台空间。用户咨询产品时请注意保护个人信息及财产安全,合理判断,谨慎选购商品,商家和用户对交易行为负责。对于医疗器械类产品,请先查证核实企业经营资质和医疗器械产品注册证情况。
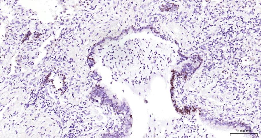
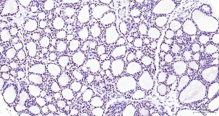
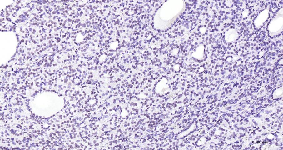
文献和实验[IF={{ 4.872 }}] {Dong X et al. PM2.5 disrupts thyroid hormone homeostasis through activation of the hypothalamic-pituitary-thyroid (HPT) axis and induction of hepatic transthyretin in female rats 2.5Ecotoxicol Environ Saf.2021 Jan 15;208:111720.} {IHC,WB} {Rat}
[IF={{ 4.223 }}] {Dong, Xinwen. et al. Protective effects of curcumin against thyroid hormone imbalance after gas explosion-induced traumatic brain injury via activation of the hypothalamic-pituitary-thyroid axis in male rats. ENVIRON SCI POLLUT R. 2022 May;:1-13} {WB,IHC} {Rat}
[IF={{ 3.14 }}] {Huang, Huibin, et al. "Upregulation of thyroid transcription factor-1 and human leukocyte antigen class I in Hashimoto's disease providing a clinical evidence for possible triggering autoimmune reaction." European Journal of Endocrinology 164.5 (2011): 795-800.} {WB,IHC} {="Human"}
[IF={{ 1.38 }}] {Vadasz, Stephanie, et al. "Second and third trimester amniotic fluid mesenchymal stem cells can repopulate a de-cellularized lung scaffold and express lung markers." Journal of Pediatric Surgery (2014).} {Other} {="Human"}
= NAL), appears to form upon oxidative cyclization of the nonfluorescent 2:1 lysine-HNE Michael adduct-Schiff base cross-link (Scheme 1). Polyclonal antibody (PAb) to the NAL-HNE fluorophore was raised in rabbit and found to be highly specific
. Retrieved 2010-11-29. ^ Nielsen BS, Jørgensen S, Fog JU, Søkilde R, Christensen IJ, Hansen U, Brünner N, Baker A, Møller S, Nielsen HJ (October 2010). "High levels of microRNA-21 in the stroma of colorectal cancers predict short disease-free survival
+oieSKeKcgxGinlRPl7uja5iYeDdc+K3eZhXhIOHOy+p9cxrGU9WCTkVcT5iRR/BsR+N0IDPSu3x0pXo0IRAQiAhGBiEBE4ABCwPnwbu0wGmW8ULj7NRb20DLRYqFW1Up6ODBube+wknwaZ5w/y92bXLbV5K3CJ+hhzKwdSHCmVrada2Qy0eyxvi0r7Lkl99ukcaOkRe60Sj82E8qgnmxNtzHGRRyZQtf1g41GIMau5W7ITlqbiDRR0CA3tPhIsEdmP5hZ
技术资料暂无技术资料 索取技术资料





