相关产品推荐更多 >

Anti-human Siglec-4a / MAG (Refanezumab Biosimilar)(BIO0224SM)-1mg/5mg/20mg
¥3200
CD73 Rabbit pAb, HRP conjugated(bs-4834R-HRP)-100ul
¥2980
HLA-DPB1 Rabbit pAb, FITC conjugated(bs-4107R-FITC)-100ul
¥2980
LMO7 Rabbit pAb(bs-18314R)-50ul/100ul/200ul
¥1180
Aldolase A Rabbit pAb, APC conjugated(bs-2406R-APC)-100ul
¥2980
万千商家帮你免费找货
0 人在求购买到急需产品
- 详细信息
- 文献和实验
- 技术资料
- 应用范围:
产品信息以Bioss网站为准
- 规格:
50ul/100ul/200ul
| 规格: | 50ul | 产品价格: | ¥1180.0 |
|---|---|---|---|
| 规格: | 100ul | 产品价格: | ¥1980.0 |
| 规格: | 200ul | 产品价格: | ¥2800.0 |
| 产品编号 | bs-2772R |
| 英文名称 | KLF2 Rabbit pAb |
| 中文名称 | 肺Kruppel样因子抗体 |
| 英文别名 | Kruppel like factor 2; Kruppel like factor; Kruppel like factor LKLF; Kruppel-like factor 2(lung); Lung krueppel like factor; Lung Kruppel like zinc finger transcription factor; KLF 2; Klf2; KLF2_HUMAN; Krueppel-like factor 2; Lklf; Lung krueppel like factor; Lung krueppel-like factor; Lung Kruppel like zinc finger transcription factor. |
| 产品应用 | WB=1:500-2000, IHC-P=1:100-500, IHC-F=1:100-500, IF=1:100-500, Flow-Cyt=1ug/Test Not yet tested in other applications. |
| 交叉反应 | Human, Mouse, Rat (Pig, Cow, Horse, Rabbit, Sheep) |
| 抗体来源 | Rabbit |
| 免疫原 | KLH conjugated synthetic peptide derived from human KLF2 |
| 亚型 | IgG |
| 性状 | Liquid |
| 纯化方法 | affinity purified by Protein A |
| 克隆类型 | Polyclonal |
| 理论分子量 | 37 kDa |
| 浓度 | 1mg/ml |
| 储存液 | 0.01M TBS (pH7.4) with 1% BSA, 0.02% Proclin300 and 50% Glycerol. |
| 研究领域 | Cancer > Invasion/microenvironment > Angiogenesis > Angiogenic inhibitory factors Cardiovascular > Vasculature > Endothelium Epigenetics and Nuclear Signaling > Transcription > Domain Families > Krueppel like factor Epigenetics and Nuclear Signaling > Transcription > Krueppel like factor |
| 亚基 | Interacts with WWP1. |
| 亚细胞定位 | Nucleus. |
| 翻译后修饰 | Ubiquitinated. Polyubiquitination involves WWP1 and leads to proteasomal degradation of this protein. |
| 相似性 | Belongs to the krueppel C2H2-type zinc-finger protein family. Contains 3 C2H2-type zinc fingers. |
| 功能 | Binds to the CACCC box in the beta-globin gene promoter and activates transcription . |
| 保存条件 | Shipped at 4℃. Store at -20℃ for one year. Avoid repeated freeze/thaw cycles. |
| 注意事项 | This product as supplied is intended for research use only, not for use in human, therapeutic or diagnostic applications. |
| 背景资料 | Kruppel-like factors (KLFs) are a family of broadly expressed zinc finger transcription factors. KLF2 regulates T-cell trafficking by promoting expression of the lipid-binding receptor S1P1 (S1PR1; MIM 601974) and the selectin CD62L (SELL; MIM 153240) (summary by Weinreich et al., 2009 [PubMed 19592277]).[supplied by OMIM, Feb 2011] |
| 应用 | 推荐稀释比例 |
| {WB} | {1:500-2000} |
| {IHC-P} | {1:100-500} |
| {IHC-F} | {1:100-500} |
| {IF} | {1:100-500} |
| {Flow-Cyt} | {1ug/Test} |

Primary Antibody (green line): Rabbit Anti-KLF2 antibody (bs-2772R)
Dilution: 1μg /10^6 cells;
Isotype Control Antibody (orange line): Rabbit IgG .
Secondary Antibody : Goat anti-rabbit IgG-AF647
Dilution: 1μg /test.
Protocol
The cells were fixed with 4% PFA (10min at room temperature)and then permeabilized with 90% ice-cold methanol for 20 min at-20℃. The cells were then incubated in 5%BSA to block non-specific protein-protein interactions for 30 min at at room temperature .Cells stained with Primary Antibody for 30 min at room temperature. The secondary antibody used for 40 min at room temperature. Acquisition of 20,000 events was performed.


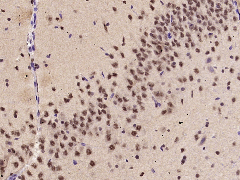
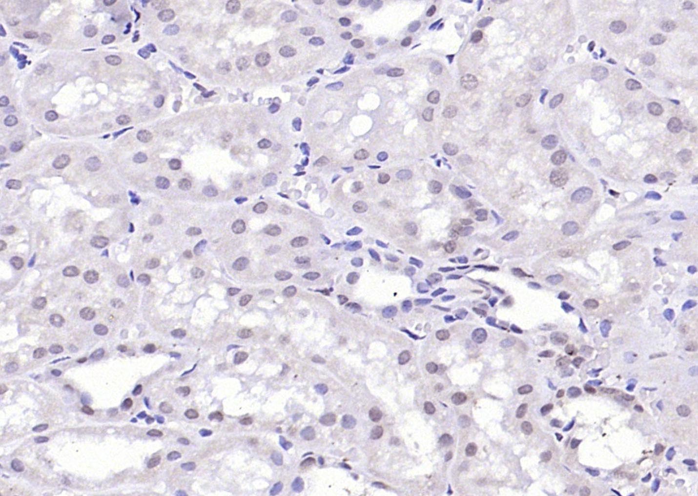
Antigen retrieval: citrate buffer (0.01M, pH 6.0 ), Boiling bathing for 15min; Blocking buffer (normal goat serum,C-0005) at 37℃ for 20 min;
Incubation:Anti-KLF2 Polyclonal Antibody, Unconjugated(bs-2772R) 1:200, overnight at 4°C; The secondary antibody was Goat Anti-Rabbit IgG, Cy3 conjugated(bs-0295G-Cy3)used at 1:200 dilution for 40 minutes at 37°C. DAPI(5ug/ml,blue,C-0033) was used to stain the cell nuclei

Lane1:Brain (Mouse) Lysate at 30 ug
Lane2:HepG2 Cell Lysate at 30 ug
Primary: Anti-KLF2 (bs-2772R) at 1:500 dilution;
Secondary: HRP conjugated Goat-Anti-Rabbit IgG(bse-0295G-HRP) at 1: 5000 dilution;
Predicted band size :39 kD
Observed band size :39 kD

风险提示:丁香通仅作为第三方平台,为商家信息发布提供平台空间。用户咨询产品时请注意保护个人信息及财产安全,合理判断,谨慎选购商品,商家和用户对交易行为负责。对于医疗器械类产品,请先查证核实企业经营资质和医疗器械产品注册证情况。
文献和实验[IF={{ 6.691 }}] {Cao, Yaochen. et al. Neurorescuing effect of Cinacalcet against hypercalcemia-induced nerve injury in chronic kidney disease via TRAF2/cIAP1/KLF2/SERPINA3 signal axis. CELL BIOL TOXICOL. 2022 May;:1-17} {WB,IHC} {Mouse}
[IF={{ 6.548 }}] {Wang, Yiying. et al. mTOR contributes to endothelium-dependent vasorelaxation by promoting eNOS expression and preventing eNOS uncoupling. COMMUN BIOL. 2022 Jul;5(1):1-14} {WB} {Human}
[IF={{ 6.4 }}] {Jeremy M Shea. et al. Microglia aging in the hippocampus advances through intermediate states that drive activation and cognitive decline. ELIFE. 2025 四月 29} {IHC} {Mouse}
[IF={{ 5.4 }}] {Ju Yeon Chae. et al. Platycodin D reverses tumor necrosis factor-α-induced endothelial dysfunction by increasing nitric oxide through G protein-coupled estrogen receptor-mediated eNOS activity. CHEM-BIOL INTERACT. 2025 May;:111577} {WB} {Human}
[IF={{ 5.314 }}] {Yanda Zhang. et al. Free fatty acids induce coronary microvascular dysfunction via inhibition of the AMPK/KLF2/eNOS signaling pathway. INT J MOL MED. 2023 Apr;51(4):1-14} {IHC,WB} {Mouse}
= NAL), appears to form upon oxidative cyclization of the nonfluorescent 2:1 lysine-HNE Michael adduct-Schiff base cross-link (Scheme 1). Polyclonal antibody (PAb) to the NAL-HNE fluorophore was raised in rabbit and found to be highly specific
GE Healthcare Benzamidine Sepharose™ 6B is p-aminobenzamidine covalently attached to Sepharose 6B by the epoxy coupling method. p-Aminobenzamidine (PAB), is a synthetic inhibitor of trypsin-like serine protease. Trypsin and trypsin
Nucleic Acid Programmable Protein Arrays: Versatile Tools for Array‐Based Functional Protein Studies
.g., Sigma) 50 mg/ml bis‐sulfosuccinimdylsuberate (BS3 ;Pierce, cat. no. PI 21580) in dimethylsulfoxide (DMSO) 5 mg/ml
技术资料暂无技术资料 索取技术资料






