相关产品推荐更多 >

ABCG1 Rabbit pAb, PerCP conjugated(bs-1231R-PerCP)-100ul
¥2980
phospho-SCNN1B (Thr615) Rabbit pAb, Cy5 conjugated(bs-5701R-Cy5)-100ul
¥2980
Histone H4 Rabbit pAb, PerCP-Cy5.5 conjugated(bs-23810R-PerCP-Cy5.5)-100ul
¥2980
SNAIL + SLUG Rabbit pAb, PerCP-Cy5.5 conjugated(bs-11961R-PerCP-Cy5.5)-100ul
¥2980
UBE2Q1 Rabbit pAb, Cy5 conjugated(bs-8383R-Cy5)-100ul
¥2980
万千商家帮你免费找货
0 人在求购买到急需产品
- 详细信息
- 文献和实验
- 技术资料
- 应用范围:
产品信息以Bioss网站为准
- 规格:
50ul/100ul/200ul
| 规格: | 50ul | 产品价格: | ¥1180.0 |
|---|---|---|---|
| 规格: | 100ul | 产品价格: | ¥1980.0 |
| 规格: | 200ul | 产品价格: | ¥2800.0 |
| 产品编号 | bs-12945R |
| 英文名称 | CSPS/MPST Rabbit pAb |
| 中文名称 | 磺基转移酶CSPS抗体 |
| 英文别名 | Aryl sulfotransferase 1A3/1A4; Aryl sulfotransferase; Catecholamine Sulfating Phenol Sulfotransferase; Catecholamine-sulfating phenol sulfotransferase; Dopamine specific sulfotransferase; FLJ54864; HAST; HAST3; M PST; M-PST; Monoamine preferring sulfotransferase; Monoamine sulfating phenosulfotransferase; monoamine-preferring; Monoamine-sulfating phenol sulfotransferase; MPST; Phenol sulfotransferase 1A5; Placental estrogen sulfotransferase; ST1A3/ST1A4; ST1A3_HUMAN; ST1A5; STM; Sulfokinase; Sulfotransferase 1A3/1A4; Sulfotransferase; Sulfotransferase family cytosolic 1A phenol preferring member 3; Sulfotransferase family cytosolic 1A phenol preferring member 4; Sulfotransferase monoamine preferring; SULT1A 3; SULT1A4; Thermolabile(monoamine M form) phenol sulfotransferase; Thermolabile phenol sulfotransferase; TL PST; TL-PST; TLPST. |
| 产品应用 | IHC-P=1:100-500, IHC-F=1:100-500, IF=1:100-500 Not yet tested in other applications. |
| 交叉反应 | Mouse (Human, Rat, Cow, Rabbit, Sheep) |
| 抗体来源 | Rabbit |
| 免疫原 | KLH conjugated synthetic peptide derived from human CSPS |
| 亚型 | IgG |
| 性状 | Liquid |
| 纯化方法 | affinity purified by Protein A |
| 克隆类型 | Polyclonal |
| 理论分子量 | 34 kDa |
| 浓度 | 1mg/ml |
| 储存液 | 0.01M TBS (pH7.4) with 1% BSA, 0.02% Proclin300 and 50% Glycerol. |
| 研究领域 | Metabolism > Types of disease > Cancer Neuroscience > Neurotransmitter > Transporters > Dopamine Signal Transduction > Metabolism > Lipid metabolism |
| 亚基 | Homodimer. |
| 亚细胞定位 | Cytoplasm. |
| 组织特异性 | Liver, colon, kidney, lung, brain, spleen, small intestine, placenta and leukocyte. |
| 翻译后修饰 | The N-terminus is blocked. |
| 相似性 | Belongs to the sulfotransferase 1 family. |
| 功能 | Catalyzes the sulfate conjugation of phenolic monoamines (neurotransmitters such as dopamine, norepinephrine and serotonin) and phenolic and catechol drugs. |
| 保存条件 | Shipped at 4℃. Store at -20℃ for one year. Avoid repeated freeze/thaw cycles. |
| 注意事项 | This product as supplied is intended for research use only, not for use in human, therapeutic or diagnostic applications. |
| 背景资料 | Sulfotransferase enzymes catalyze the sulfate conjugation of many hormones, neurotransmitters, drugs, and xenobiotic compounds. These cytosolic enzymes are different in their tissue distributions and substrate specificities. The gene structure (number and length of exons) is similar among family members. This gene encodes a phenol sulfotransferase with thermolabile enzyme activity. Four sulfotransferase genes are located on the p arm of chromosome 16; this gene and SULT1A4 arose from a segmental duplication. This gene is the most centromeric of the four sulfotransferase genes. Read-through transcription exists between this gene and the upstream SLX1A (SLX1 structure-specific endonuclease subunit homolog A) gene that encodes a protein containing GIY-YIG domains. [provided by RefSeq, Nov 2010] |
| 应用 | 推荐稀释比例 |
| {IHC-P} | {1:100-500} |
| {IHC-F} | {1:100-500} |
| {IF} | {1:100-500} |

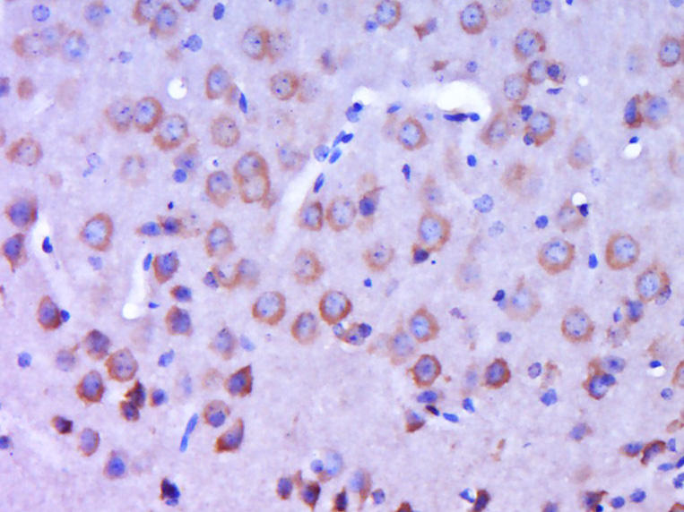
Paraformaldehyde-fixed, paraffin embedded (Mouse brain); Antigen retrieval by boiling in sodium citrate buffer (pH6.0) for 15min; Block endogenous peroxidase by 3% hydrogen peroxide for 20 minutes; Blocking buffer (normal goat serum) at 37°C for 30min; Antibody incubation with (CSPS) Polyclonal Antibody, Unconjugated (bs-12945R) at 1:400 overnight at 4°C, followed by operating according to SP Kit(Rabbit) (sp-0023) instructionsand DAB staining.
风险提示:丁香通仅作为第三方平台,为商家信息发布提供平台空间。用户咨询产品时请注意保护个人信息及财产安全,合理判断,谨慎选购商品,商家和用户对交易行为负责。对于医疗器械类产品,请先查证核实企业经营资质和医疗器械产品注册证情况。
文献和实验该产品被引用文献
[IF={{ 4.825 }}] {Wang M et al. Hydrogen sulfide modulates epithelial-mesenchymal transition and angiogenesis in non-small cell lung cancer via HIF-1α activation. Biochem Pharmacol. 2019 Dec 20;172:113775.} {WB} {Human}
技术资料暂无技术资料 索取技术资料
文献支持
CSPS/MPST Rabbit pAb(bs-12945R)-50ul/100ul/200ul
¥1180 - 2800





