相关产品推荐更多 >

EGFR Rabbit pAb, BF750 conjugated(bs-0405R-BF750)-100ul
¥2980
YAP1 Recombinant Rabbit mAb(bsm-52418R)-50ul/100ul/25ul
¥800
phospho-Mcl1 (Ser159 + Thr163) Rabbit pAb, Cy5.5 conjugated(bs-3265R-Cy5.5)-100ul
¥2980
NSUN5P1 Rabbit pAb, Biotin conjugated(bs-19481R-Bio)-100ul
¥2980
FUT10 Rabbit pAb, Biotin conjugated(bs-16197R-Bio)-100ul
¥2980
万千商家帮你免费找货
0 人在求购买到急需产品
- 详细信息
- 文献和实验
- 技术资料
- 应用范围:
产品信息以Bioss网站为准
- 规格:
50ul/100ul/200ul
| 规格: | 50ul | 产品价格: | ¥1180.0 |
|---|---|---|---|
| 规格: | 100ul | 产品价格: | ¥1980.0 |
| 规格: | 200ul | 产品价格: | ¥2800.0 |
| 产品编号 | bs-2570R |
| 英文名称 | DPP4/CD26 Rabbit pAb |
| 中文名称 | CD26/DPP4抗体 |
| 英文别名 | DPP4_HUMAN; Dipeptidyl peptidase 4; EC:3.4.14.5; ADABP; Adenosine deaminase complexing protein 2 (ADCP-2); Dipeptidyl peptidase IV (DPP IV); T-cell activation antigen CD26; TP103; CD26; ADCP2; CD 26; CD-26; DPPIV; |
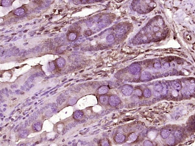
| 产品应用 | IHC-P=1:100-500, IHC-F=1:100-500, IF=1:100-500, Flow-Cyt=3μg/Test Not yet tested in other applications. |
| 交叉反应 | Human, Rat (Mouse, Pig, Cow, Horse, Rabbit) |
| 抗体来源 | Rabbit |
| 免疫原 | KLH conjugated synthetic peptide derived from human CD26 |
| 亚型 | IgG |
| 性状 | Liquid |
| 纯化方法 | affinity purified by Protein A |
| 克隆类型 | Polyclonal |
| 理论分子量 | 84 kDa |
| 实际分子量 | 110kDa |
| 浓度 | 1mg/ml |
| 储存液 | 0.01M TBS (pH7.4) with 1% BSA, 0.02% Proclin300 and 50% Glycerol. |
| 研究领域 | Cancer > Cancer Metabolism > Response to hypoxia Cell Biology > Proteolysis / Ubiquitin > Proteolytic enzymes > Serine protease > DPPs Immunology > Adaptive Immunity > B Cells > CD Immunology > Adaptive Immunity > T Cells > CD Immunology > Cell Type Markers > CD > Adhesion Immunology > Cell Type Markers > CD > Non-lineage Immunology > Immune System Diseases > Antiviral Signaling > HIV-related Metabolism > Pathways and Processes > Metabolism processes > Hypoxia Microbiology > Organism > Virus > RNA Virus > ssRNA positive strand virus > SARS Coronavirus Stem Cells > Hematopoietic Progenitors > Lymphoid > B Lymphocytic Lineage Stem Cells > Hematopoietic Progenitors > Lymphoid > T Lymphocytic Lineage |
| 亚细胞定位 | Cell membrane. Apical cell membrane. Cell projection > invadopodium membrane. Cell projection > lamellipodium membrane. Cell junction. Membrane raft. Translocated to the apical membrane through the concerted action of N- and O-Glycans and its association with lipid microdomains containing cholesterol and sphingolipids. Redistributed to membrane rafts in T-cell in a interleukin-12-dependent activation. Its interaction with CAV1 is necessary for its translocation to membrane rafts. Colocalized with PTPRC in membrane rafts. Colocalized with FAP in invadopodia and lamellipodia of migratory activated endothelial cells in collagenous matrix. Colocalized with FAP on endothelial cells of capillary-like microvessels but not large vessels within invasive breast ductal carcinoma. Colocalized with ADA at the cell junction in lymphocyte-epithelial cell adhesion. Colocalized with IGF2R in internalized cytoplasmic vesicles adjacent to the cell surface and Secreted. Detected in the serum and the seminal fluid. |
| 组织特异性 | Expressed specifically in lymphatic vessels but not in blood vessels in the skin, small intestine, esophagus, ovary, breast and prostate glands. Not detected in lymphatic vessels in the lung, kidney, uterus, liver and stomach (at protein level). Expressed in the poorly differentiated crypt cells of the small intestine as well as in the mature villous cells. Expressed at very low levels in the colon. |
| 翻译后修饰 | The soluble form (Dipeptidyl peptidase 4 soluble form also named SDPP) derives from the membrane form (Dipeptidyl peptidase 4 membrane form also named MDPP) by proteolytic processing. N- and O-Glycosylated. Phosphorylated. Mannose 6-phosphate residues in the carbohydrate moiety are necessary for interaction with IGF2R in activated T-cells. Mannose 6-phosphorylation is induced during T-cell activation. |
| 相似性 | Belongs to the peptidase S9B family. DPPIV subfamily. |
| 功能 | Cell surface glycoprotein receptor involved in the costimulatory signal essential for T-cell receptor (TCR)-mediated T-cell activation. Acts as a positive regulator of T-cell coactivation, by binding at least ADA, CAV1, IGF2R, and PTPRC. Its binding to CAV1 and CARD11 induces T-cell proliferation and NF-kappa-B activation in a T-cell receptor/CD3-dependent manner. Its interaction with ADA also regulates lymphocyte-epithelial cell adhesion. In association with FAP is involved in the pericellular proteolysis of the extracellular matrix (ECM), the migration and invasion of endothelial cells into the ECM. May be involved in the promotion of lymphatic endothelial cells adhesion, migration and tube formation. When overexpressed, enhanced cell proliferation, a process inhibited by GPC3. Acts also as a serine exopeptidase with a dipeptidyl peptidase activity that regulates various physiological processes by cleaving peptides in the circulation, including many chemokines, mitogenic growth factors, neuropeptides and peptide hormones. Removes N-terminal dipeptides sequentially from polypeptides having unsubstituted N-termini provided that the penultimate residue is proline. |
| 保存条件 | Shipped at 4℃. Store at -20℃ for one year. Avoid repeated freeze/thaw cycles. |
| 注意事项 | This product as supplied is intended for research use only, not for use in human, therapeutic or diagnostic applications. |
| 背景资料 | The DPP4 gene encodes dipeptidyl peptidase 4, which is identical to adenosine deaminase complexing protein-2, and to the T-cell activation antigen CD26. It is an intrinsic type II transmembrane glycoprotein and a serine exopeptidase that cleaves X-proline dipeptides from the N-terminus of polypeptides. Dipeptidyl peptidase 4 is highly involved in glucose and insulin metabolism, as well as in immune regulation. This protein was shown to be a functional receptor for Middle East respiratory syndrome coronavirus (MERS-CoV), and protein modeling suggests that it may play a similar role with SARS-CoV-2, the virus responsible for COVID-19. [provided by RefSeq, Apr 2020] |
| 应用 | 推荐稀释比例 |
| {IHC-P} | {1:100-500} |
| {IHC-F} | {1:100-500} |
| {IF} | {1:100-500} |
| {Flow-Cyt} | {3μg/Test} |


Primary Antibody:Rabbit Anti-CD26 antibody(bs-2570R), Dilution: 3μg in 100 μL 1X PBS containing 0.5% BSA;
Isotype Control Antibody: Rabbit IgG(orange) ,used under the same conditions );
Secondary Antibody: Goat anti-rabbit IgG-PE(white blue), Dilution: 1:200 in 1 X PBS containing 0.5% BSA.

风险提示:丁香通仅作为第三方平台,为商家信息发布提供平台空间。用户咨询产品时请注意保护个人信息及财产安全,合理判断,谨慎选购商品,商家和用户对交易行为负责。对于医疗器械类产品,请先查证核实企业经营资质和医疗器械产品注册证情况。
文献和实验[IF={{ 5.99 }}] {Eckerle, Isabella. "Replicative Capacity of MERS Coronavirus in Livestock Cell Lines." Emerging Infectious Diseases 2014} {Other} {="Goat"}
[IF={{ 0.68 }}] {Lu Z, Qi L, Bo XJ, Liu GD, Wang JM, Li G. Expression of CD26 and CXCR4 in prostate carcinoma and its relationship with clinical parameters. CD26 and CXCR4 expression shows correlation with prostate cancer. J Res Med Sci 2013;18:647-52} {Other} {="Human"}
= NAL), appears to form upon oxidative cyclization of the nonfluorescent 2:1 lysine-HNE Michael adduct-Schiff base cross-link (Scheme 1). Polyclonal antibody (PAb) to the NAL-HNE fluorophore was raised in rabbit and found to be highly specific
. Retrieved 2010-11-29. ^ Nielsen BS, Jørgensen S, Fog JU, Søkilde R, Christensen IJ, Hansen U, Brünner N, Baker A, Møller S, Nielsen HJ (October 2010). "High levels of microRNA-21 in the stroma of colorectal cancers predict short disease-free survival
+oieSKeKcgxGinlRPl7uja5iYeDdc+K3eZhXhIOHOy+p9cxrGU9WCTkVcT5iRR/BsR+N0IDPSu3x0pXo0IRAQiAhGBiEBE4ABCwPnwbu0wGmW8ULj7NRb20DLRYqFW1Up6ODBube+wknwaZ5w/y92bXLbV5K3CJ+hhzKwdSHCmVrada2Qy0eyxvi0r7Lkl99ukcaOkRe60Sj82E8qgnmxNtzHGRRyZQtf1g41GIMau5W7ITlqbiDRR0CA3tPhIsEdmP5hZ
技术资料暂无技术资料 索取技术资料






