相关产品推荐更多 >
万千商家帮你免费找货
0 人在求购买到急需产品
- 详细信息
- 文献和实验
- 技术资料
- 应用范围:
产品信息以Bioss网站为准
- 规格:
50ul/100ul/200ul
| 规格: | 50ul | 产品价格: | ¥1180.0 |
|---|---|---|---|
| 规格: | 100ul | 产品价格: | ¥1980.0 |
| 规格: | 200ul | 产品价格: | ¥2800.0 |
| 产品编号 | bs-0485R |
| 英文名称 | EphA2 Rabbit pAb |
| 中文名称 | 内皮细胞受体蛋白酪氨酸激酶抗体 |
| 英文别名 | ARCC2; Eck; Eph receptor A2 antibody EphA2; Ephrin receptor; Ephrin receptor EphA2; Ephrin type A receptor 2; Epithelial cell kinase; Epithelial cell receptor protein tyrosine kinase antibody Myk 2; Myk2; Sek 2; Sek2; Tyrosine protein kinase receptor ECK; Tyrosine-protein kinase receptor MPK-5; Tyrosine-protein kinase receptor SEK-2; EPHA2_HUMAN. |
| 产品应用 | WB=1:500-2000, IHC-P=1:100-500, IHC-F=1:100-500, IF=1:100-500 Not yet tested in other applications. |
| 交叉反应 | Mouse (Human, Rat, Dog, Cow, Monkey) |
| 抗体来源 | Rabbit |
| 免疫原 | KLH conjugated synthetic peptide derived from human EphA2 |
| 亚型 | IgG |
| 性状 | Liquid |
| 纯化方法 | affinity purified by Protein A |
| 克隆类型 | Polyclonal |
| 理论分子量 | 105 kDa |
| 浓度 | 1mg/ml |
| 储存液 | 0.01M TBS (pH7.4) with 1% BSA, 0.02% Proclin300 and 50% Glycerol. |
| 研究领域 | Cardiovascular > Angiogenesis > Ephrins > Eph Receptors Neuroscience > Cell Type Marker > Neuron marker > Growth Cone Neuroscience > Neurology process > Growth and Development > Axonal Guidance Proteins Neuroscience > Neurotransmission > Intracellular Signaling > Kinases Neuroscience > Neurotransmission > Receptors / Channels > Tyrosine Kinase Receptors |
| 亚基 | Homodimer. Interacts with SLA. Interacts (phosphorylated form) with VAV2, VAV3 and PI3-kinase p85 subunit (PIK3R1, PIK3R2 or PIK3R3); critical for the EFNA1-induced activation of RAC1 which stimulates cell migration. Interacts with ANKS1A. Interacts with INPPL1; regulates activated EPHA2 endocytosis and degradation. Interacts (inactivated form) with PTK2/FAK1 and interacts (EFNA1 ligand-activated form) with PTPN11; regulates integrin-mediated adhesion. Interacts with ARHGEF16, DOCK4 and ELMO2; mediates ligand-independent activation of RAC1 which stimulates cell migration. Interacts with CLDN4; phosphorylates CLDN4 and may regulate tight junctions. Interacts with ACP1. |
| 亚细胞定位 | Cell membrane; Single-pass type I membrane protein. Cell projection, ruffle membrane; Single-pass type I membrane protein. Cell projection, lamellipodium membrane; Single-pass type I membrane protein. Cell junction, focal adhesion. Note=Present at regions of cell-cell contacts but also at the leading edge of migrating cells. |
| 组织特异性 | Expressed in brain and glioma tissue and glioma cell lines (at protein level). Expressed most highly in tissues that contain a high proportion of epithelial cells, e.g., skin, intestine, lung, and ovary. |
| 翻译后修饰 | Autophosphorylates. Phosphorylated on tyrosine upon binding and activation by EFNA1. Phosphorylated residues Tyr-588 and Tyr-594 are required for binding VAV2 and VAV3 while phosphorylated residues Tyr-735 and Tyr-930 are required for binding PI3-kinase p85 subunit (PIK3R1, PIK3R2 or PIK3R3). These phosphorylated residues are critical for recruitment of VAV2 and VAV3 and PI3-kinase p85 subunit which transduce downstream signaling to activate RAC1 GTPase and cell migration. Phosphorylated at Ser-897 by PKB; serum-induced phosphorylation which targets EPHA2 to the cell leading edge and stimulates cell migration. Phosphorylation by PKB is inhibited by EFNA1-activated EPHA2 which regulates PKB activity via a reciprocal regulatory loop. Dephosphorylated by ACP1. Ubiquitinated by CHIP/STUB1. Ubiquitination is regulated by the HSP90 chaperone and regulates the receptor stability and activity through proteasomal degradation. ANKS1A prevents ubiquitination and degradation. |
| 相似性 | Belongs to the protein kinase superfamily. Tyr protein kinase family. Ephrin receptor subfamily. Contains 1 Eph LBD (Eph ligand-binding) domain. Contains 2 fibronectin type-III domains. Contains 1 protein kinase domain. Contains 1 SAM (sterile alpha motif) domain. |
| 功能 | Receptor tyrosine kinase which binds promiscuously membrane-bound ephrin-A family ligands residing on adjacent cells, leading to contact-dependent bidirectional signaling into neiGHBoring cells. The signaling pathway downstream of the receptor is referred to as forward signaling while the signaling pathway downstream of the ephrin ligand is referred to as reverse signaling. Activated by the ligand ephrin-A1/EFNA1 regulates migration, integrin-mediated adhesion, proliferation and differentiation of cells. Regulates cell adhesion and differentiation through DSG1/desmoglein-1 and inhibition of the ERK1/ERK2 (MAPK3/MAPK1, respectively) signaling pathway. May also participate in UV radiation-induced apoptosis and have a ligand-independent stimulatory effect on chemotactic cell migration. During development, may function in distinctive aspects of pattern formation and subsequently in development of several fetal tissues. Involved for instance in angiogenesis, in early hindbrain development and epithelial proliferation and branching morphogenesis during mammary gland development. Engaged by the ligand ephrin-A5/EFNA5 may regulate lens fiber cells shape and interactions and be important for lens transparency development and maintenance. With ephrin-A2/EFNA2 may play a role in bone remodeling through regulation of osteoclastogenesis and osteoblastogenesis. |
| 保存条件 | Shipped at 4℃. Store at -20℃ for one year. Avoid repeated freeze/thaw cycles. |
| 注意事项 | This product as supplied is intended for research use only, not for use in human, therapeutic or diagnostic applications. |
| 背景资料 | This gene belongs to the ephrin receptor subfamily of the protein-tyrosine kinase family. EPH and EPH-related receptors have been implicated in mediating developmental events, particularly in the nervous system. Receptors in the EPH subfamily typically have a single kinase domain and an extracellular region containing a Cys-rich domain and 2 fibronectin type III repeats. The ephrin receptors are divided into 2 groups based on the similarity of their extracellular domain sequences and their affinities for binding ephrin-A and ephrin-B ligands. This gene encodes a protein that binds ephrin-A ligands. Mutations in this gene are the cause of certain genetically-related cataract disorders.[provided by RefSeq, May 2010]. |
| 应用 | 推荐稀释比例 |
| {WB} | {1:500-2000} |
| {IHC-P} | {1:100-500} |
| {IHC-F} | {1:100-500} |
| {IF} | {1:100-500} |

NIH/3T3(Mouse) Cell Lysate at 30 ug
Primary: Anti-EphA2 (bs-0485R) at 1/1000 dilution
Secondary: IRDye800CW Goat Anti-Rabbit IgG at 1/20000 dilution
Predicted band size: 105 kD
Observed band size: 115 kD

Antigen retrieval: citrate buffer ( 0.01M, pH 6.0 ), Boiling bathing for 15min; Block endogenous peroxidase by 3% Hydrogen peroxide for 30min; Blocking buffer (normal goat serum,C-0005) at 37℃ for 20 min;
Incubation: Anti-EphA2/Eph receptor A2 Polyclonal Antibody, Unconjugated(bs-0485R) 1:200, overnight at 4°C, followed by conjugation to the secondary antibody(SP-0023) and DAB(C-0010) staining
风险提示:丁香通仅作为第三方平台,为商家信息发布提供平台空间。用户咨询产品时请注意保护个人信息及财产安全,合理判断,谨慎选购商品,商家和用户对交易行为负责。对于医疗器械类产品,请先查证核实企业经营资质和医疗器械产品注册证情况。
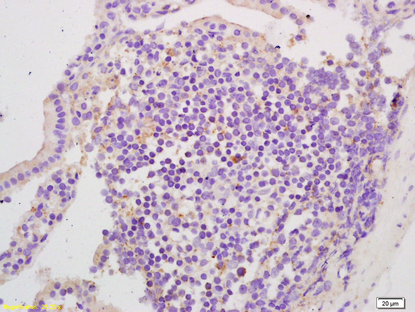
文献和实验[IF={{ 6.212 }}] {Bin Qu. et al. Evaluation of a novel EphA2 targeting peptide for triple negative breast cancer based on radionuclide molecular imaging. ARAB J CHEM. 2022 Aug;:104211} {IHC} {Mouse}
[IF={{ 3.73 }}] {"Wu, Lun, et al. ""HIF-1α and HIF-2α: Siblings in Promoting Angiogenesis of Residual Hepatocellular Carcinoma after High-Intensity Focused Ultrasound Ablation."" PLOS ONE 9.2 (2014): e88913. "} {IHC} {="Mouse"}
[IF={{ 1.28 }}] {Wu et al. Overexpression and correlation of HIF-2α, VEGFA and EphA2 in residual hepatocellular carcinoma following high-intensity focused ultrasound treatment: Implications for tumor recurrence and progression. (2017) Exp.Ther.Me. 13:3529-3534} {IHC,WB} {Mouse}
= NAL), appears to form upon oxidative cyclization of the nonfluorescent 2:1 lysine-HNE Michael adduct-Schiff base cross-link (Scheme 1). Polyclonal antibody (PAb) to the NAL-HNE fluorophore was raised in rabbit and found to be highly specific
GE Healthcare Benzamidine Sepharose™ 6B is p-aminobenzamidine covalently attached to Sepharose 6B by the epoxy coupling method. p-Aminobenzamidine (PAB), is a synthetic inhibitor of trypsin-like serine protease. Trypsin and trypsin
Nucleic Acid Programmable Protein Arrays: Versatile Tools for Array‐Based Functional Protein Studies
.g., Sigma) 50 mg/ml bis‐sulfosuccinimdylsuberate (BS3 ;Pierce, cat. no. PI 21580) in dimethylsulfoxide (DMSO) 5 mg/ml
技术资料暂无技术资料 索取技术资料











