相关产品推荐更多 >

phospho-Smad2 (Ser467) Rabbit pAb, BF350 conjugated(bs-19438R-BF350)-100ul
¥2980
Leptin receptor Rabbit pAb(bs-20498R)-50ul/100ul/200ul
¥1180
beta Amyloid 1-16 Mouse pAb, Biotin conjugated(bs-0104M-Bio)-100ul
¥2980
phospho-MARK4 (Ser423) Rabbit pAb(bs-4660R)-50ul/100ul/200ul
¥1180
SMAD8/SMAD9 Rabbit pAb, HRP conjugated(bs-8844R-HRP)-100ul
¥2980
万千商家帮你免费找货
0 人在求购买到急需产品
- 详细信息
- 文献和实验
- 技术资料
- 应用范围:
产品信息以Bioss网站为准
- 规格:
50ul/100ul/200ul
| 规格: | 50ul | 产品价格: | ¥1180.0 |
|---|---|---|---|
| 规格: | 100ul | 产品价格: | ¥1980.0 |
| 规格: | 200ul | 产品价格: | ¥2800.0 |
| 产品编号 | bs-2437R |
| 英文名称 | ENPP2 Rabbit pAb |
| 中文名称 | 自分泌运动因子抗体 |
| 英文别名 | Autotaxin; Ectonucleotide pyrophosphatase/phosphodiesterase family member 2; ATX; ATX X; ATX-X; Autotaxin; E NPP 2; ENPP2; Ectonucleotide pyrophosphatase/phosphodiesterase 2; Extracellular lysophospholipase D; FLJ26803; LysoPLD; NPP2; PD IALPHA; PD-IALPHA; PDNP2; phosphodiesterase I alpha; phosphodiesterase I/nucleotide pyrophosphatase 2; Plasma lysophospholipase D; ENPP2_HUMAN. |
| 产品应用 | WB=1:500-2000, IHC-P=1:100-500, IHC-F=1:100-500, IF=1:100-500, Flow-Cyt=1ug/Test Not yet tested in other applications. |
| 交叉反应 | Human (Mouse, Rat, Dog, Pig, Cow, Horse, Rabbit) |
| 抗体来源 | Rabbit |
| 免疫原 | KLH conjugated synthetic peptide derived from human ENPP2 |
| 亚型 | IgG |
| 性状 | Liquid |
| 纯化方法 | affinity purified by Protein A |
| 克隆类型 | Polyclonal |
| 理论分子量 | 95 kDa |
| 浓度 | 1mg/ml |
| 储存液 | 0.01M TBS (pH7.4) with 1% BSA, 0.02% Proclin300 and 50% Glycerol. |
| 研究领域 | Cancer > Tumor biomarkers > Enzymes Cardiovascular > Angiogenesis > Angiogenic Factors Cardiovascular > Atherosclerosis > Thrombosis Cardiovascular > Lipids / Lipoproteins > Lipid Metabolism > Lipases Metabolism > Pathways and Processes > Metabolic signaling pathways > Lipid and lipoprotein metabolism > Lipases Metabolism > Types of disease > Cancer Metabolism > Types of disease > Heart disease Neuroscience > Neurology process > Neurodegenerative disease Signal Transduction > Metabolism > Lipid metabolism |
| 亚细胞定位 | Secreted. Note=Secreted by most body fluids including serum and CSF. Also by adipocytes and numerous cancer cells. |
| 组织特异性 | Predominantly expressed in brain, placenta, ovary, and small intestine. Expressed in a number of carcinomas such as hepatocellular and prostate carcinoma, neuroblastoma and non-small-cell lung cancer. Expressed in body fluids such as plasma, cerebral spinal fluid (CSF), saliva, follicular and amniotic fluids. Not detected in leukocytes. Isoform 1 is more highly Eexpressed in peripheral tissues than in the central nervous system (CNS). Adipocytes only express isoform 1. Isoform 3 is more highly expressed in the brain than in peripheral tissues. |
| 翻译后修饰 | N-glycosylation, but not furin-cleavage, plays a critical role on secretion and on lysoPLD activity (By similarity). It has been suggested that the active SMB domain may be permitted considerable disulfide bond heterogeneity or variability, thus two alternate disulfide patterns based on 3D structures are described with 1 disulfide bond conserved in both. |
| 相似性 | Belongs to the nucleotide pyrophosphatase/phosphodiesterase family. Contains 2 SMB (somatomedin-B) domains. |
| 功能 | Hydrolyzes lysophospholipids to produce lysophosphatidic acid (LPA) in extracellular fluids. Major substrate is lysophosphatidylcholine. Also can act on sphingosylphosphphorylcholine producing sphingosine-1-phosphate, a modulator of cell motility. Can hydrolyze, in vitro, bis-pNPP, to some extent pNP-TMP, and barely ATP. Involved in several motility-related processes such as angiogenesis and neurite outgrowth. Acts as an angiogenic factor by stimulating migration of smooth muscle cells and microtubule formation. Stimulates migration of melanoma cells, probably via a pertussis toxin-sensitive G protein. May have a role in induction of parturition. Possible involvement in cell proliferation and adipose tissue development. Tumor cell motility-stimulating factor. |
| 保存条件 | Shipped at 4℃. Store at -20℃ for one year. Avoid repeated freeze/thaw cycles. |
| 注意事项 | This product as supplied is intended for research use only, not for use in human, therapeutic or diagnostic applications. |
| 背景资料 | Hydrolyzes lysophospholipids to produce lysophosphatidic acid (LPA) in extracellular fluids. Major substrate is lysophosphatidylcholine. Also can act on sphingosylphosphphorylcholine producing sphingosine-1-phosphate, a modulator of cell motility. Can hydrolyze, in vitro, bis-pNPP, to some extent pNP-TMP, and barely ATP. Involved in several motility-related processes such as angiogenesis and neurite outgrowth. Acts as an angiogenic factor by stimulating migration of smooth muscle cells and microtubule formation. Stimulates migration of melanoma cells, probably via a pertussis toxin-sensitive G protein. May have a role in induction of parturition. Possible involvement in cell proliferation and adipose tissue development. Tumor cell motility-stimulating factor. |
| 应用 | 推荐稀释比例 |
| {WB} | {1:500-2000} |
| {IHC-P} | {1:100-500} |
| {IHC-F} | {1:100-500} |
| {IF} | {1:100-500} |
| {Flow-Cyt} | {1ug/Test} |

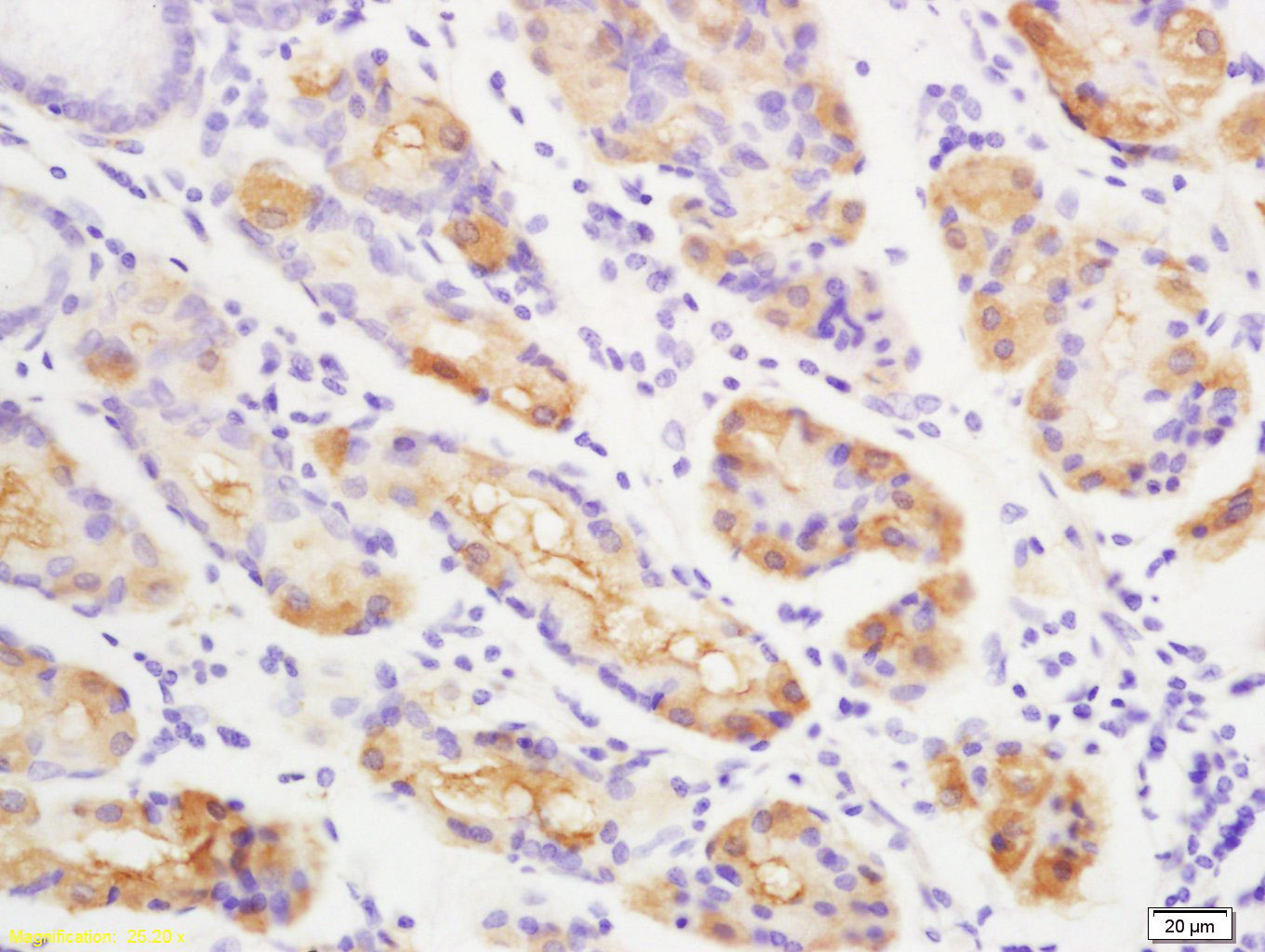
Antigen retrieval: citrate buffer ( 0.01M, pH 6.0 ), Boiling bathing for 15min; Block endogenous peroxidase by 3% Hydrogen peroxide for 30min; Blocking buffer (normal goat serum,C-0005) at 37℃ for 20 min;
Incubation: Anti-Anei-ATX/Autotaxin Polyclonal Antibody, Unconjugated(bs-2437R) 1:200, overnight at 4°C, followed by conjugation to the secondary antibody(SP-0023) and DAB(C-0010) staining

DU145(Human) Cell Lysate at 30 ug
Primary: Anti-Anei-ENPP2 (bs-2437R) at 1/1000 dilution
Secondary: IRDye800CW Goat Anti-Rabbit IgG at 1/20000 dilution
Predicted band size: 95 kD
Observed band size: 115 kD

Primary Antibody (green line): Rabbit Anti-ENPP2 antibody (bs-2437R)
Dilution:1ug/Test;
Secondary Antibody(white blue line): Goat anti-rabbit IgG-FITC
Dilution: 0.5ug/Test.
Isotype control(orange line): Normal Rabbit IgG
Protocol
The cells were fixed with 4% PFA (10min at room temperature)and then permeabilized with 90% ice-cold methanol for 20 min at -20℃, The cells were then incubated in 5%BSA to block non-specific protein-protein interactions for 30 min at room temperature .Cells stained with Primary Antibody for 30 min at room temperature. The secondary antibody used for 40 min at room temperature. Acquisition of 20,000 events was performed.
风险提示:丁香通仅作为第三方平台,为商家信息发布提供平台空间。用户咨询产品时请注意保护个人信息及财产安全,合理判断,谨慎选购商品,商家和用户对交易行为负责。对于医疗器械类产品,请先查证核实企业经营资质和医疗器械产品注册证情况。
文献和实验[IF={{ 3.934 }}] {Wang Z et al. Fetal Bisphenol-A Induced Changes in Murine Behavior and Brain Gene Expression Persisted in Adult-aged OffspringEndocrinology.2020 Dec 1;161(12):bqaa164.} {IHC} {Mouse}
= NAL), appears to form upon oxidative cyclization of the nonfluorescent 2:1 lysine-HNE Michael adduct-Schiff base cross-link (Scheme 1). Polyclonal antibody (PAb) to the NAL-HNE fluorophore was raised in rabbit and found to be highly specific
GE Healthcare Benzamidine Sepharose™ 6B is p-aminobenzamidine covalently attached to Sepharose 6B by the epoxy coupling method. p-Aminobenzamidine (PAB), is a synthetic inhibitor of trypsin-like serine protease. Trypsin and trypsin
Nucleic Acid Programmable Protein Arrays: Versatile Tools for Array‐Based Functional Protein Studies
.g., Sigma) 50 mg/ml bis‐sulfosuccinimdylsuberate (BS3 ;Pierce, cat. no. PI 21580) in dimethylsulfoxide (DMSO) 5 mg/ml
技术资料暂无技术资料 索取技术资料





