相关产品推荐更多 >

IFN gamma Rabbit pAb, HRP conjugated(bs-0481R-HRP)-100ul
¥2980
DDIT3 Rabbit pAb, Cy5 conjugated(bs-1361R-Cy5)-100ul
¥2980
Egr1 Rabbit pAb, BF680 conjugated(bs-1076R-BF680)-100ul
¥2980
PTPN13 Rabbit pAb, RBITC conjugated(bs-5760R-RBITC)-100ul
¥2980
HFE Rabbit pAb, BF405 conjugated(bs-12335R-BF405)-100ul
¥2980
万千商家帮你免费找货
0 人在求购买到急需产品
- 详细信息
- 文献和实验
- 技术资料
- 应用范围:
产品信息以Bioss网站为准
- 规格:
50ul/100ul/200ul
| 规格: | 50ul | 产品价格: | ¥1180.0 |
|---|---|---|---|
| 规格: | 100ul | 产品价格: | ¥1980.0 |
| 规格: | 200ul | 产品价格: | ¥2800.0 |
| 产品编号 | bs-1448R |
| 英文名称 | Jagged1 Rabbit pAb |
| 中文名称 | CD339抗体 |
| 英文别名 | JAG1; AGS; AHD; AWS; CD339; HJ1; JAGL1; MGC104644; Ser 1; CD 339; CD339; CD339 antigen; Headturner; Htu; Jag 1; Jagged-1; Jagged 1; Jagged 1(Alagille syndrome); JAGL1; Ser-1; Ser1; Serrate-1; Slalom. |
| 产品应用 | WB=1:500-1000, IHC-P=1:100-500, IHC-F=1:100-500, ICC/IF=1:100-500, IF=1:100-500 Not yet tested in other applications. |
| 交叉反应 | Human (Mouse, Rat) |
| 抗体来源 | Rabbit |
| 免疫原 | KLH conjugated synthetic peptide derived from human CD339 |
| 亚型 | IgG |
| 性状 | Liquid |
| 纯化方法 | affinity purified by Protein A |
| 克隆类型 | Polyclonal |
| 理论分子量 | 134 kDa |
| 浓度 | 1mg/ml |
| 储存液 | 0.01M TBS (pH7.4) with 1% BSA, 0.02% Proclin300 and 50% Glycerol. |
| 研究领域 | Cardiovascular > Angiogenesis > Inhibitors Neuroscience > Neurology process > Neurogenesis Neuroscience > Neurology process > Notch Pathway Stem Cells > Hematopoietic Progenitors > Surface Molecules Stem Cells > Signaling Pathways > Notch > Surface Molecules |
| 亚细胞定位 | Membrane. |
| 组织特异性 | Widely expressed in adult and fetal tissues. In cervix epithelium expressed in undifferentiated subcolumnar reserve cells and squamous metaplasia. Expression is up-regulated in cervical squamous cell carcinoma. Expressed in bone marrow cell line HS-27a which supports the long-term maintenance of immature progenitor cells. |
| 相似性 | Contains 1 DSL domain. Contains 15 EGF-like domains. |
| 功能 | Ligand for multiple Notch receptors and involved in the mediation of Notch signaling. May be involved in cell-fate decisions during hematopoiesis. Seems to be involved in early and late stages of mammalian cardiovascular development. Inhibits myoblast differentiation (By similarity). Enhances fibroblast growth factor-induced angiogenesis (in vitro). |
| 保存条件 | Shipped at 4℃. Store at -20℃ for one year. Avoid repeated freeze/thaw cycles. |
| 注意事项 | This product as supplied is intended for research use only, not for use in human, therapeutic or diagnostic applications. |
| 背景资料 | The jagged 1 protein encoded by JAG1 is the human homolog of the Drosophilia jagged protein. Human jagged 1 is the ligand for the receptor notch 1, the latter a human homolog of the Drosophilia jagged receptor notch. Mutations that alter the jagged 1 protein cause Alagille syndrome. Jagged 1 signalling through notch 1 has also been shown to play a role in hematopoiesis. [provided by RefSeq]. |
| 应用 | 推荐稀释比例 |
| {WB} | {1:500-1000} |
| {IHC-P} | {1:100-500} |
| {IHC-F} | {1:100-500} |
| {ICC/IF} | {1:100-500} |
| {IF} | {1:100-500} |

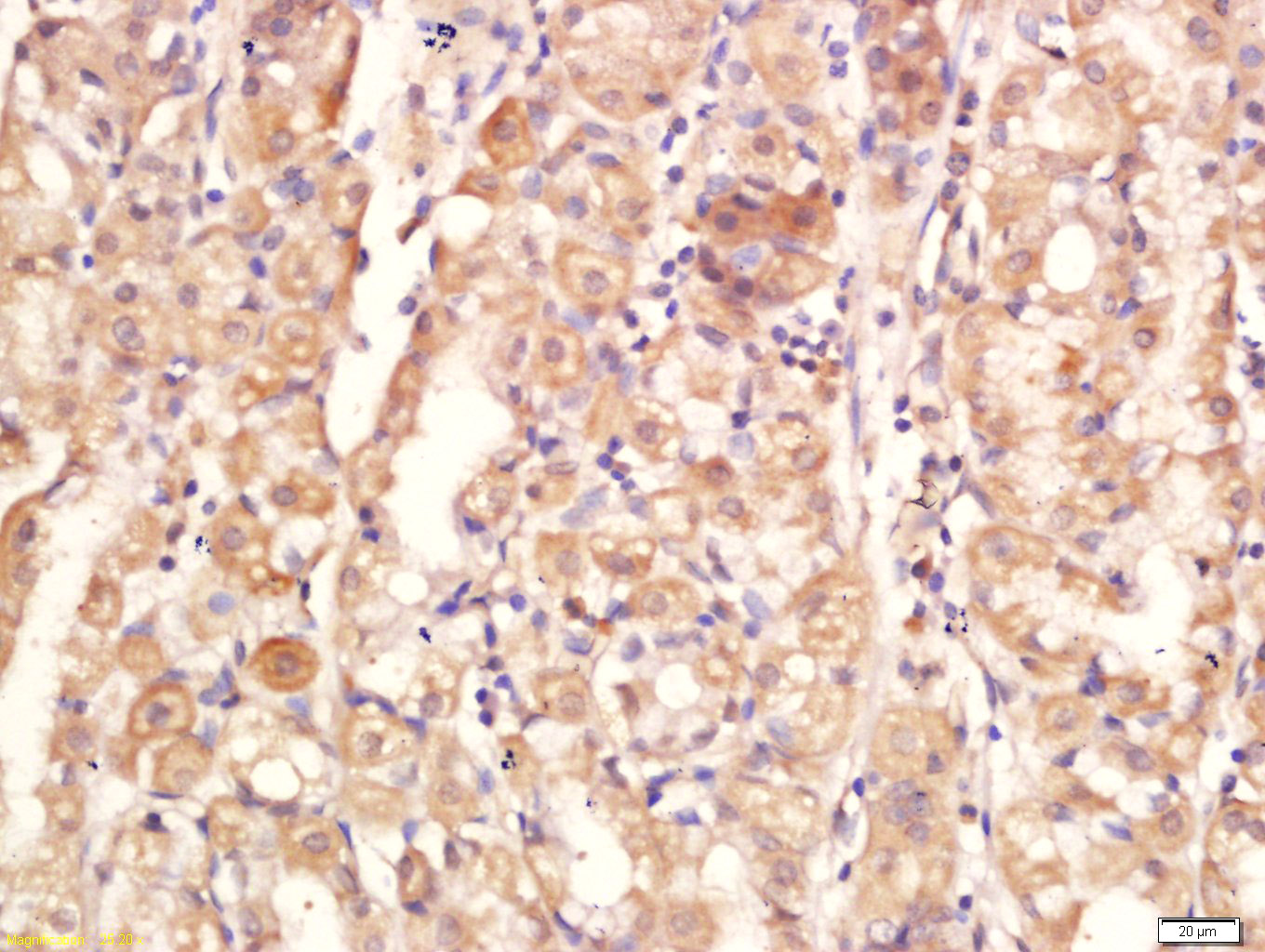
Antigen retrieval: citrate buffer ( 0.01M, pH 6.0 ), Boiling bathing for 15min; Block endogenous peroxidase by 3% Hydrogen peroxide for 30min; Blocking buffer (normal goat serum,C-0005) at 37℃ for 20 min;
Incubation: Anti-Jagged1 Polyclonal Antibody, Unconjugated(bs-1448R) 1:500, overnight at 4°C, followed by conjugation to the secondary antibody(SP-0023) and DAB(C-0010) staining

Antigen retrieval: citrate buffer ( 0.01M, pH 6.0 ), Boiling bathing for 15min; Block endogenous peroxidase by 3% Hydrogen peroxide for 30min; Blocking buffer (normal goat serum,C-0005) at 37℃ for 20 min;
Incubation: Anti-Jagged1 Polyclonal Antibody, Unconjugated(bs-1448R) 1:500, overnight at 4°C, followed by conjugation to the secondary antibody(SP-0023) and DAB(C-0010) staining


Lane 1: Recombinant human CD339 protein, N-His(bs-42225P)
Primary: Anti-Jagged1 (bs-1448R) at 1/500 dilution
Secondary: IRDye800CW Goat Anti-Rabbit IgG at 1/20000 dilution
Predicted band size: 134 kDa
Observed band size: 22 kDa
风险提示:丁香通仅作为第三方平台,为商家信息发布提供平台空间。用户咨询产品时请注意保护个人信息及财产安全,合理判断,谨慎选购商品,商家和用户对交易行为负责。对于医疗器械类产品,请先查证核实企业经营资质和医疗器械产品注册证情况。
文献和实验[IF={{ 5.6 }}] {Wang Kun. et al. Modulating Th1/Th2 drift in asthma-related immune inflammation by enhancing bone mesenchymal stem cell homing through targeted inhibition of the Notch1/Jagged1 signaling pathway. INT IMMUNOPHARMACOL. 2024 Mar;130:111713} {WB} {Rat}
[IF={{ 4.927 }}] {Xuerui Hu. et al. The Effect of Poria cocos Polysaccharide PCP-1C on M1 Macrophage Polarization via the Notch Signaling Pathway. MOLECULES. 2023 Jan;28(5):2140} {WB} {Mouse}
[IF={{ 4.8 }}] {Qing Zhang. et al. Cancer-associated fibroblasts-induced remodeling of tumor immune microenvironment via Jagged1 in glioma. CELL SIGNAL. 2024 Mar;115:111016} {WB} {Human}
[IF={{ 4.5 }}] {Ruyi Qu. et al.RBPJ Knockdown Promotes M2 Macrophage Polarization Through Mitochondrial ROS‑mediated Notch1‑Jagged1‑Hes1 Signaling Pathway in Uveitis.INFLAMMATION.2025 Feb;48(1):133-150.} {IF} {Rat}
[IF={{ 4.315 }}] {Zhang Y et al. The Notch signaling pathway inhibitor Dapt alleviates autism-like behavior, autophagy and dendritic spine density abnormalities in a valproic acid-induced animal model of autism. Prog Neuropsychopharmacol Biol Psychiatry. 2019 May 7;94:109644.} {WB} {Rat}
= NAL), appears to form upon oxidative cyclization of the nonfluorescent 2:1 lysine-HNE Michael adduct-Schiff base cross-link (Scheme 1). Polyclonal antibody (PAb) to the NAL-HNE fluorophore was raised in rabbit and found to be highly specific
protein c-myc and jagged1. Simultaneously, the Wnt and Notch signaling pathways were co-activated, as confirmed by the increased expression of β-catenin and notch1. Plasmids expressing Lef1 and ΔNLef1, a construct in which the β-catenin-binding domain
GE Healthcare Benzamidine Sepharose™ 6B is p-aminobenzamidine covalently attached to Sepharose 6B by the epoxy coupling method. p-Aminobenzamidine (PAB), is a synthetic inhibitor of trypsin-like serine protease. Trypsin and trypsin
技术资料暂无技术资料 索取技术资料






