相关产品推荐更多 >

SLC30A4 Rabbit pAb(bs-21253R)-50ul/100ul/200ul
¥1180
NPC2 Rabbit pAb, Biotin conjugated(bs-11736R-Bio)-100ul
¥2980
Osteopontin Rabbit pAb, Cy5.5 conjugated(bs-0026R-Cy5.5)-100ul
¥2980
Nur77 Rabbit pAb, APC-Cy5.5 conjugated(bs-3513R-APC-Cy5.5)-100ul
¥2980
HER2 Rabbit pAb, APC conjugated(bs-2156R-APC)-100ul
¥2980
万千商家帮你免费找货
0 人在求购买到急需产品
- 详细信息
- 文献和实验
- 技术资料
- 应用范围:
产品信息以Bioss网站为准
- 规格:
50ul/100ul/200ul
| 规格: | 50ul | 产品价格: | ¥1180.0 |
|---|---|---|---|
| 规格: | 100ul | 产品价格: | ¥1980.0 |
| 规格: | 200ul | 产品价格: | ¥2800.0 |
| 产品编号 | bs-0829R |
| 英文名称 | Nanog Rabbit pAb |
| 中文名称 | 胚胎干细胞关键蛋白抗体 |
| 英文别名 | NANOG_MOUSE; Embryonic stem cell specific homeobox protein(Nanog); ENK; FLJ12581; FLJ40451; Homeobox transcription factor Nanog; Nanog homeobox; Homeobox protein NANOG; ES cell-associated protein 4; Early embryo specific expression NK-type homeobox protein; Homeobox transcription factor Nanog; Nanog; Ecat4. |
| 产品应用 | IHC-P=1:100-500, Flow-Cyt=3μg/Test Not yet tested in other applications. |
| 交叉反应 | Human, Mouse (Rat) |
| 抗体来源 | Rabbit |
| 免疫原 | KLH conjugated synthetic peptide derived from mouse Nanog |
| 亚型 | IgG |
| 性状 | Liquid |
| 纯化方法 | affinity purified by Protein A |
| 克隆类型 | Polyclonal |
| 理论分子量 | 34 kDa |
| 浓度 | 1mg/ml |
| 储存液 | 0.01M TBS (pH7.4) with 1% BSA, 0.02% Proclin300 and 50% Glycerol. |
| 研究领域 | Cancer > Cell cycle > Cell differentiation Developmental Biology > Embryogenesis > Embryonic stem cells > Surface molecules Epigenetics and Nuclear Signaling > Nuclear Signaling Pathways > SMADs Epigenetics and Nuclear Signaling > Transcription > Transcription Factors Stem Cells > Embryonic Stem Cells > Intracellular |
| 亚基 | Interacts with SMAD1 and SALL4. |
| 亚细胞定位 | Nucleus. |
| 组织特异性 | Expressed in testicular carcinoma and derived germ cell tumors (at protein level). Expressed in fetal gonads, ovary and testis. Also expressed in ovary teratocarcinoma cell line and testicular embryonic carcinoma. Not expressed in many somatic organs and oocytes. |
| 相似性 | Belongs to the Nanog homeobox family.
Contains 1 homeobox DNA-binding domain. |
| 功能 | Transcription regulator involved in inner cell mass and embryonic stem (ES) cells proliferation and self-renewal. Imposes pluripotency on ES cells and prevents their differentiation towards extraembryonic endoderm and trophectoderm lineages. Blocks bone morphogenetic protein-induced mesoderm differentiation of ES cells by physically interacting with SMAD1 and interfering with the recruitment of coactivators to the active SMAD transcriptional complexes. Acts as a transcriptional activator or repressor. Binds optimally to the DNA consensus sequence 5'-TAAT[GT][GT]-3' or 5'-[CG][GA][CG]C[GC]ATTAN[GC]-3'. When overexpressed, promotes cells to enter into S phase and proliferation. |
| 保存条件 | Shipped at 4℃. Store at -20℃ for one year. Avoid repeated freeze/thaw cycles. |
| 注意事项 | This product as supplied is intended for research use only, not for use in human, therapeutic or diagnostic applications. |
| 背景资料 | Nanog is a newly identified homeodomain-bearing transcriptional factor. Nanog expression is specific to early embryos and pluripotential stem cells including mouse and human embryonic stem (ES) and embryonic germ (EG) cells. It is a key molecule involved in the signaling pathway for maintaining the capacity for self-renewal and pluripotency, bypassing regulation by the STAT3 pathway. Nanog mRNA is present in pluripotent mouse and human cell lines, and absent from differentiated cells. Nanog-deficient ES cells lose pluripotency and differentiate into extraembryonic endoderm lineage. Thus it is one of the molecular markers suitable for recognizing the undifferentiated state of stem cells in the mouse and human. NANOG is a new marker for testicular carcinoma in situ and germ cell tumors.NANOG is a gene expressed in embryonic stem cells (ESCs) and is thought to be a key factor in maintaining pluripotency. NANOG thought to function in concert with other factors such as POU5F1 and SOX2 to establish ESC identity. These cells offer an important area of study because of their ability to maintain pluripotency. In other words, these cells have the ability to become virtually any cell of any of the three germ layers (endoderm, ectoderm, mesoderm). |
| 应用 | 推荐稀释比例 |
| {IHC-P} | {1:100-500} |
| {Flow-Cyt} | {3μg/Test} |

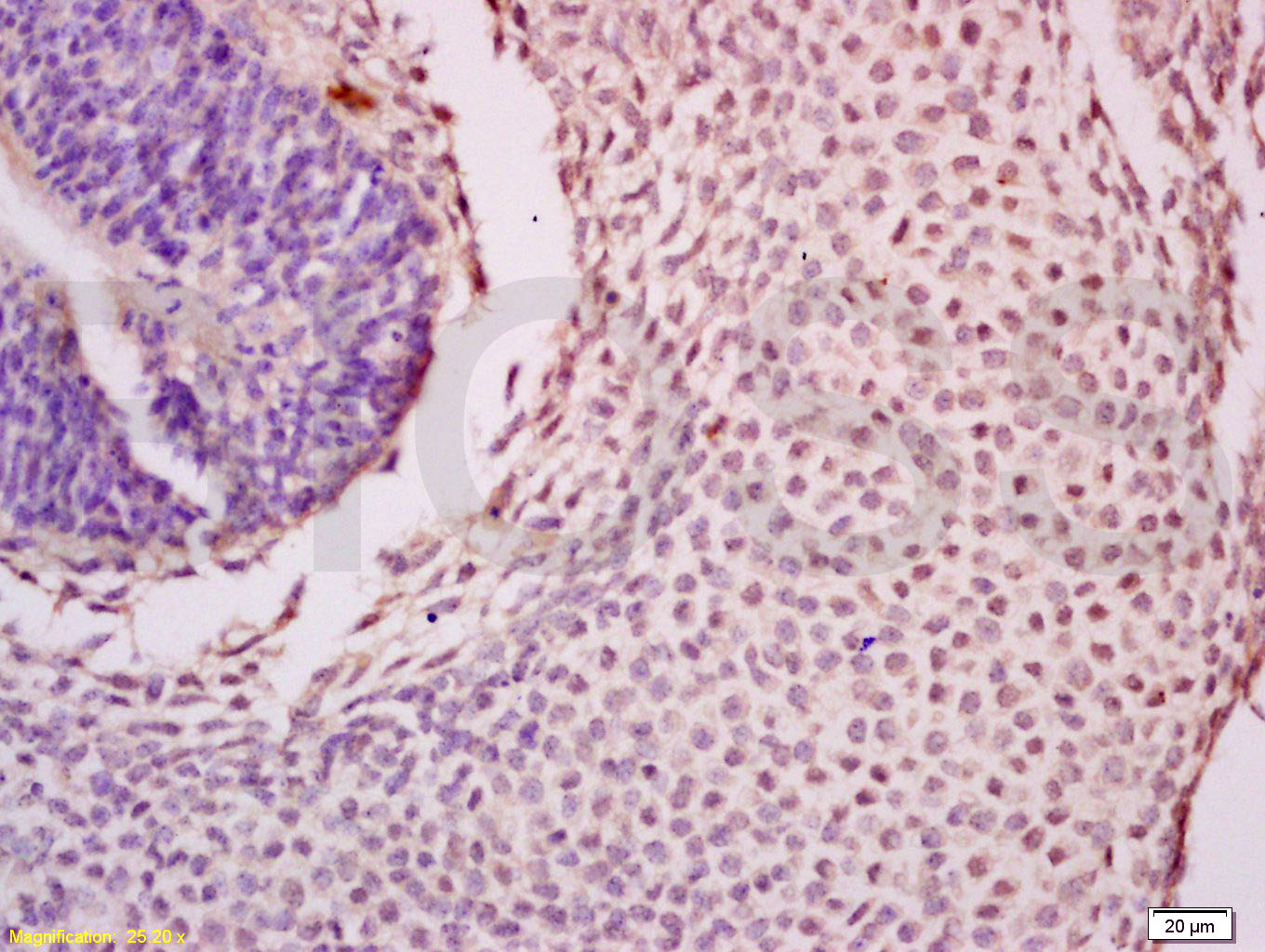
Antigen retrieval: citrate buffer ( 0.01M, pH 6.0 ), Boiling bathing for 15min; Block endogenous peroxidase by 3% Hydrogen peroxide for 30min; Blocking buffer (normal goat serum,C-0005) at 37℃ for 20 min;
Incubation: Anti-Nanog Polyclonal Antibody, Unconjugated(bs-0829R) 1:200, overnight at 4°C, followed by conjugation to the secondary antibody(SP-0023) and DAB(C-0010) staining

Primary Antibody (green line): Rabbit Anti-Nanog antibody(bs-0829R)
Dilution: 1μg /10^6 cells;
Isotype Control Antibody (orange line): Rabbit IgG .
Secondary Antibody (white blue line): F(ab’)2 fragment goat anti-rabbit IgG-FITC
Dilution: 1μg /test.
Protocol
The cells were fixed with 2% Paraformaldehyde (10 min) , then permeabilized with 90% ice-cold methanol for 30 min on ice.Cells stained with Primary Antibody for 30 min at room temperature. The cells were then incubated in 1 X PBS/2%BSA/10% goat serum to block non-specific protein-protein interactions followed by the antibody for 15 min at room temperature. The secondary antibody used for 40 min at room temperature. Acquisition of 20,000 events was performed.
风险提示:丁香通仅作为第三方平台,为商家信息发布提供平台空间。用户咨询产品时请注意保护个人信息及财产安全,合理判断,谨慎选购商品,商家和用户对交易行为负责。对于医疗器械类产品,请先查证核实企业经营资质和医疗器械产品注册证情况。
文献和实验[IF={{ 6.217 }}] {Wang L et al. Zoledronic acid inhibits the growth of cancer stem cell derived from cervical cancer cell by attenuating their stemness phenotype and inducing apoptosis and cell cycle arrest through the Erk1/2 and Akt pathways. J Exp Clin Cancer Res. 2019 Feb 21;38(1):93.} {IF,WB} {Human&Mouse}
[IF={{ 6.2 }}] {Ren Xuan. et al. BRG1 improves reprogramming efficiency by enhancing glycolytic metabolism. CELL MOL LIFE SCI. 2024 Dec;81(1):1-14} {WB} {Pig}
[IF={{ 4.963 }}] {El-Badawy et al. Cancer cell-soluble factors reprogram mesenchymal stromal cells to slow cycling, chemoresistant cells with a more stem-like state. (2017) Stem.Cell.Res.Ther. 8:254} {FCM,ICC} {="Human"}
[IF={{ 4.9 }}] {Ryeo-Eun Go. et al. A Fungicide, Fludioxonil, Formed the Polyploid Giant Cancer Cells and Induced Metastasis and Stemness in MDA-MB-231 Triple-Negative Breast Cancer Cells. INT J MOL SCI. 2024 Jan;25(16):9024} {WB} {Human}
[IF={{ 3.44 }}] {Li X et al. A comparative study of the behavior of neural progenitor cells in extrusion-based in vitro hydrogel models. Biomed Mater. 2019 Sep 9;14(6):065001.} {WB} {Mouse}
= NAL), appears to form upon oxidative cyclization of the nonfluorescent 2:1 lysine-HNE Michael adduct-Schiff base cross-link (Scheme 1). Polyclonal antibody (PAb) to the NAL-HNE fluorophore was raised in rabbit and found to be highly specific
GE Healthcare Benzamidine Sepharose™ 6B is p-aminobenzamidine covalently attached to Sepharose 6B by the epoxy coupling method. p-Aminobenzamidine (PAB), is a synthetic inhibitor of trypsin-like serine protease. Trypsin and trypsin
Array‐Based High‐Throughput Screening in Mouse Embryonic Stem Cells with shRNAs
from which the primary antibody was obtained Fluorescein‐conjugated secondary antibody (Invitrogen Alexa Fluor anti‐mouse/rabbit/anti‐goat IgG
技术资料暂无技术资料 索取技术资料






