相关产品推荐更多 >

Anti-human TF / Factor III / Tissue Factor / CD142 (TNX-832 Biosimilar)(BIO0791SM)-1mg/5mg/20mg
¥3200
phospho-MAP4K4 (Ser631) Rabbit pAb(bs-5492R)-50ul/100ul/200ul
¥1180
FAM61B Rabbit pAb, BF488 conjugated(bs-11001R-BF488)-100ul
¥2980
HAND2 Rabbit pAb(bs-22974R)-50ul/100ul/200ul
¥1180
C6orf211 Rabbit pAb(bs-15240R)-50ul/100ul/200ul
¥1180
万千商家帮你免费找货
0 人在求购买到急需产品
- 详细信息
- 文献和实验
- 技术资料
- 应用范围:
产品信息以Bioss网站为准
- 规格:
50ul/100ul/200ul
| 规格: | 50ul | 产品价格: | ¥1180.0 |
|---|---|---|---|
| 规格: | 100ul | 产品价格: | ¥1980.0 |
| 规格: | 200ul | 产品价格: | ¥2800.0 |
| 产品编号 | bs-1371R |
| 英文名称 | SNAI1 Rabbit pAb |
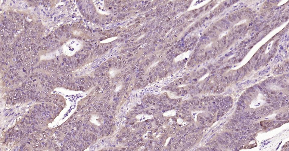
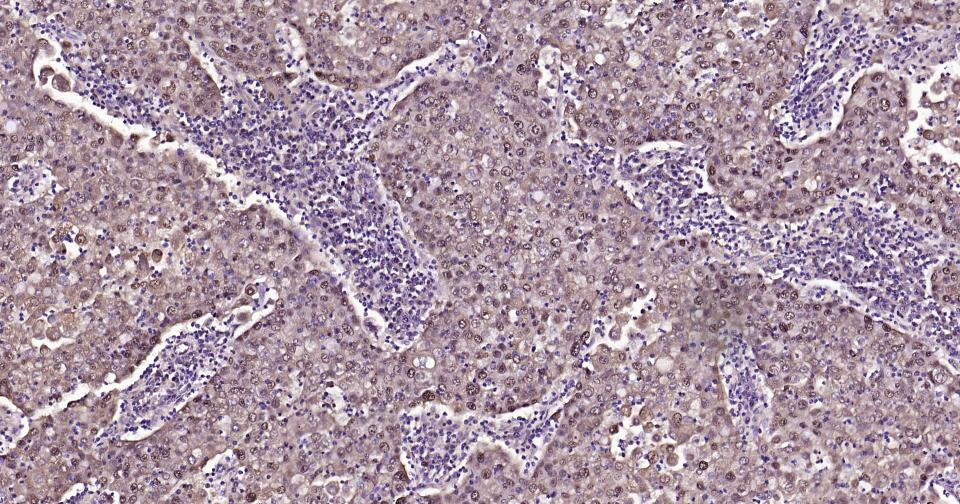
| 中文名称 | Snail蛋白抗体 |
| 英文别名 | SNAI1_HUMAN; Zinc finger protein SNAI1; SNAI1; SNAH; SNAI 1; SNA; SNAIL1; dJ710H13.1; Protein snail homolog 1(Protein sna); Protein snail homolog 1; Protein sna; |
| 产品应用 | WB=1:500-2000, IHC-P=1:100-500, IHC-F=1:100-500, IF=1:100-500, ELISA=1:5000-1000 Not yet tested in other applications. |
| 交叉反应 | Human, Mouse, Rat |
| 抗体来源 | Rabbit |
| 免疫原 | KLH conjugated synthetic peptide derived from human Anail |
| 亚型 | IgG |
| 性状 | Liquid |
| 纯化方法 | affinity purified by Protein A |
| 克隆类型 | Polyclonal |
| 理论分子量 | 29 kDa |
| 浓度 | 1mg/ml |
| 储存液 | 0.01M TBS (pH7.4) with 1% BSA, 0.02% Proclin300 and 50% Glycerol. |
| 研究领域 | Cancer > Oncoproteins/suppressors > Oncoproteins > Transcription factors Cardiovascular > Heart > Cardiogenesis > Transcription factors/regulators Epigenetics and Nuclear Signaling > Transcription > Domain Families > Zinc Finger |
| 亚基 | Interacts with FBXL14 and GSK3B. Interacts with BTRC; interaction occurs when it is phosphorylated on the destruction motif. Interacts (via SNAG domain) with WTIP (via LIM domains). Interacts (via SNAG domain) with LIMD1 (via LIM domains), and AJUBA (via LIM domains). Interacts with LOXL2 and LOXL3. |
| 亚细胞定位 | Nucleus. Cytoplasm. Note=Once phosphorylated (probably on Ser-107, Ser-111, Ser-115 and Ser-119) it is exported from the nucleus to the cytoplasm where subsequent phosphorylation of the destruction motif and ubiquitination involving BTRC occurs. |
| 组织特异性 | Expressed in a variety of tissues with the highest expression in kidney. Expressed in mesenchymal and epithelial cell lines. |
| 翻译后修饰 | Phosphorylated by GSK3B. Once phosphorylated, it becomes a target for BTRC ubiquitination. Ubiquitinated on Lys-98, Lys-137 and Lys-146 by FBXL14 and BTRC leading to degradation. BTRC-triggered ubiquitination requires previous GSK3B-mediated SNAI1 phosphorylation. O-GlcNAcylation at Ser-112 is enhanced in hyperglycaemic conditions, it opposes phosphorylation by GSK3B, and stabilizes the protein. |
| 相似性 | Belongs to the snail C2H2-type zinc-finger protein family. Contains 4 C2H2-type zinc fingers. |
| 功能 | Involved in the epithelial to mesenchymal transition (EMT) and formation and maintenance of embryonic mesoderm. Binds to 3 E-boxes of the E-cadherin gene promoter and represses its transcription. |
| 保存条件 | Shipped at 4℃. Store at -20℃ for one year. Avoid repeated freeze/thaw cycles. |
| 注意事项 | This product as supplied is intended for research use only, not for use in human, therapeutic or diagnostic applications. |
| 背景资料 | The Drosophila embryonic protein snail is a zinc finger transcriptional repressor which downregulates the expression of ectodermal genes within the mesoderm. The nuclear protein encoded by this gene is structurally similar to the Drosophila snail protein, and is also thought to be critical for mesoderm formation in the developing embryo. At least two variants of a similar processed pseudogene have been found on chromosome 2. [provided by RefSeq, Jul 2008] |
| 应用 | 推荐稀释比例 |
| {WB} | {1:500-2000} |
| {IHC-P} | {1:100-500} |
| {IHC-F} | {1:100-500} |
| {IF} | {1:100-500} |
| {ELISA} | {1:5000-1000} |







风险提示:丁香通仅作为第三方平台,为商家信息发布提供平台空间。用户咨询产品时请注意保护个人信息及财产安全,合理判断,谨慎选购商品,商家和用户对交易行为负责。对于医疗器械类产品,请先查证核实企业经营资质和医疗器械产品注册证情况。
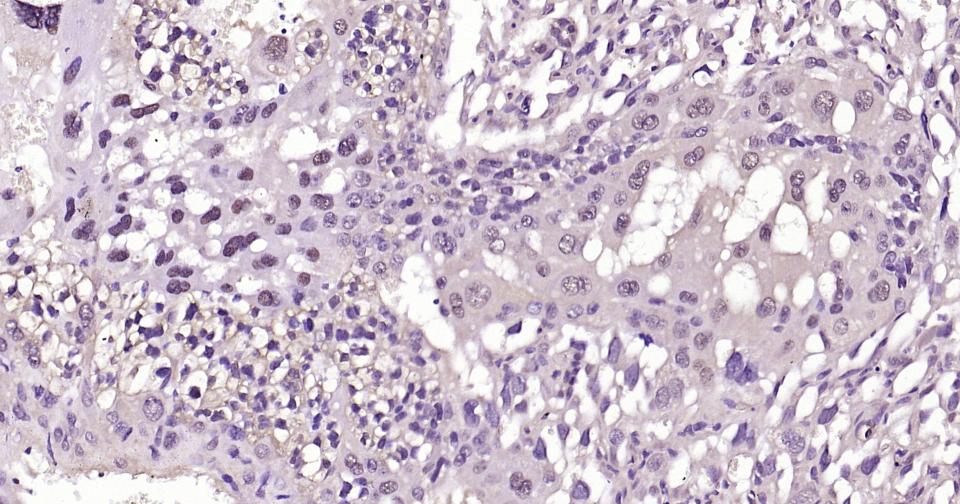
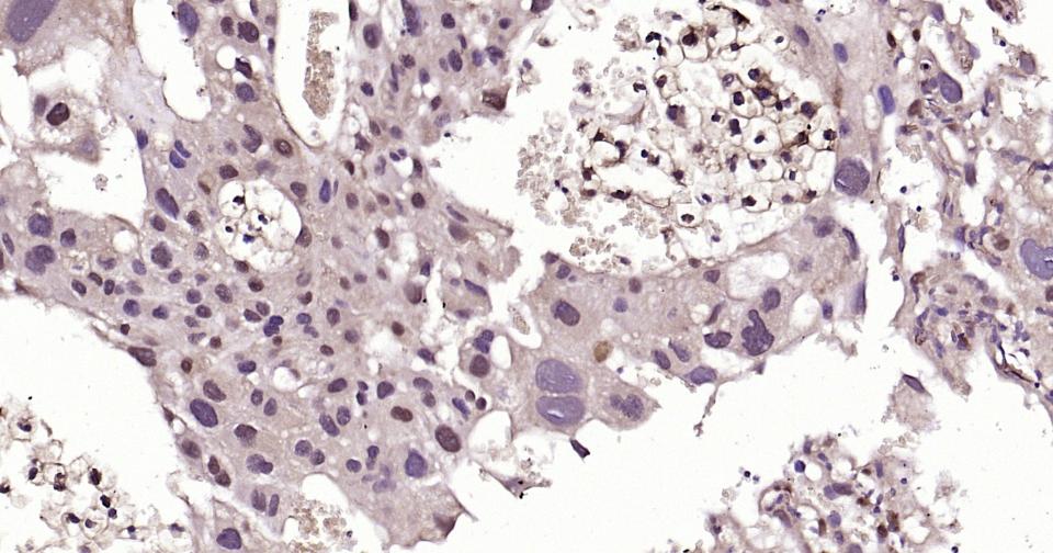
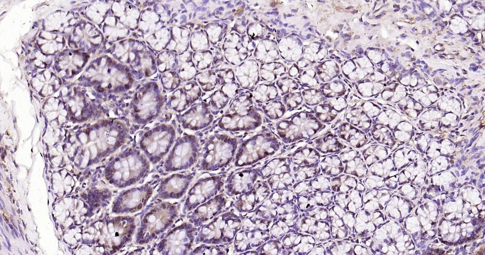
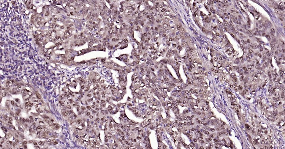
文献和实验[IF={{ 7.59 }}] {Xiaomeng Wang. et al. A multifunctional black phosphorus-based adhesive patch intrinsically induces partial EMT for effective burn wound healing. BIOMATER SCI-UK. 2022 Nov;:} {WB} {Human}
[IF={{ 7.3 }}] {Jinhua Gu. et al. Deciphering the mechanism of Peptostreptococcus anaerobius-induced chemoresistance in colorectal cancer: the important roles of MDSC recruitment and EMT activation. FRONT IMMUNOL. 2023; 14: 1230681} {WB} {Mouse}
[IF={{ 6.543 }}] {Yang Lili. et al. Elucidating the Novel Mechanism of Ligustrazine in Preventing Postoperative Peritoneal Adhesion Formation. Oxid Med Cell Longev. 2022;2022:9226022} {WB,IF} {Rat,Human}
[IF={{ 6.196 }}] {Cheng He. et al. Crosstalk of renal cell carcinoma cells and tumor-associated macrophages aggravates tumor progression by modulating muscleblind-like protein 2/B-cell lymphoma 2/beclin 1-mediated autophagy. CYTOTHERAPY. 2022 Oct;:} {WB} {Human}
[IF={{ 6 }}] {Jie Chen. et al. Quercetin ameliorates liver fibrosis in Wilson disease and EMT involving suppression of the Hedgehog signaling pathway. ARAB J CHEM. 2024 Jan;17:105487} {WB} {Mouse,Human}
= NAL), appears to form upon oxidative cyclization of the nonfluorescent 2:1 lysine-HNE Michael adduct-Schiff base cross-link (Scheme 1). Polyclonal antibody (PAb) to the NAL-HNE fluorophore was raised in rabbit and found to be highly specific
GE Healthcare Benzamidine Sepharose™ 6B is p-aminobenzamidine covalently attached to Sepharose 6B by the epoxy coupling method. p-Aminobenzamidine (PAB), is a synthetic inhibitor of trypsin-like serine protease. Trypsin and trypsin
Nucleic Acid Programmable Protein Arrays: Versatile Tools for Array‐Based Functional Protein Studies
.g., Sigma) 50 mg/ml bis‐sulfosuccinimdylsuberate (BS3 ;Pierce, cat. no. PI 21580) in dimethylsulfoxide (DMSO) 5 mg/ml
技术资料暂无技术资料 索取技术资料






