相关产品推荐更多 >

RACGAP1 Rabbit pAb(bs-7766R)-50ul/100ul/200ul
¥1180
ADGRE1 Rabbit pAb, PerCP-Cy5.5 conjugated(bs-41204R-PerCP-Cy5.5)-100ul
¥2980
phospho-EZH2 (Thr487) Rabbit pAb, HRP conjugated(bs-6529R-HRP)-100ul
¥2980
TMEM59L Rabbit pAb(bs-11648R)-50ul/100ul/200ul
¥1180
Bcl-2 Rabbit pAb, PE conjugated(bs-20352R-PE)-100ul
¥2980
万千商家帮你免费找货
0 人在求购买到急需产品
- 详细信息
- 文献和实验
- 技术资料
- 应用范围:
产品信息以Bioss网站为准
- 规格:
50ul/100ul/200ul
| 规格: | 50ul | 产品价格: | ¥1180.0 |
|---|---|---|---|
| 规格: | 100ul | 产品价格: | ¥1980.0 |
| 规格: | 200ul | 产品价格: | ¥2800.0 |
| 产品编号 | bs-2487R |
| 英文名称 | CD5L Rabbit pAb |
| 中文名称 | CD5L抗体 |
| 英文别名 | AAC-11; AIM; API6; Api6; APOPTOSIS INHIBITOR 6; APOPTOSIS INHIBITOR OF MACROPHAGES; CD5 antigen like(scavenger receptor cysteine rich family); CD5 antigen-like; Cd5l; CD5L_HUMAN; CT 2; CT-2; Highly similar to ANTIGEN WC1.1 [Bos taurus]; IgM associated peptide; IgM-associated peptide; Pdp; PRO229; SCAVENGER RECEPTOR CYSTEINE-RICH FAMILY; SP ALPHA; SP-alpha; Spalpha. |
| 产品应用 | IHC-P=1:100-500, IHC-F=1:100-500, IF=1:100-500 Not yet tested in other applications. |
| 交叉反应 | Mouse, Rat (Human) |
| 抗体来源 | Rabbit |
| 免疫原 | KLH conjugated synthetic peptide derived from human CD5L |
| 亚型 | IgG |
| 性状 | Liquid |
| 纯化方法 | affinity purified by Protein A |
| 克隆类型 | Polyclonal |
| 理论分子量 | 36 kDa |
| 浓度 | 1mg/ml |
| 储存液 | 0.01M TBS (pH7.4) with 1% BSA, 0.02% Proclin300 and 50% Glycerol. |
| 研究领域 | Cell Biology > Apoptosis > Intracellular > Survivin / IAPs |
| 亚基 | Associated with IgM. |
| 亚细胞定位 | Secreted. |
| 组织特异性 | Expressed in spleen, lymph node, thymus, bone marrow, and fetal liver, but not in non-lymphoid tissues. |
| 相似性 | Contains 3 SRCR domains. |
| 功能 | May play a role in the regulation of the immune system. Seems to play a role as an inhibitor of apoptosis. |
| 保存条件 | Shipped at 4℃. Store at -20℃ for one year. Avoid repeated freeze/thaw cycles. |
| 注意事项 | This product as supplied is intended for research use only, not for use in human, therapeutic or diagnostic applications. |
| 背景资料 | CD5L is a member of the scavenger receptor cysteine-rich domain superfamily (SRCR-SF) initially identified as an inducible cell surface ligand of CD5. It was shown that CD5L functions in the thymus as the inducer of resistance to apoptosis within CD4+/CD8+ thymocytes and as the supporter of the viability of these cells before thymic selection. CD5L was also shown to support macrophage survival and enhance their phagocytic function. More recent experiments using recombinant CD5L significantly inhibited apoptosis of NKT and T cells obtained from C. parvum-stimulated livers in vitro, suggesting that CD5L functions to induce resistance to apoptosis in these cells and supports host defense against inflammation during infection. Expressed in spleen, lymph node, thymus, bone marrow, and fetal liver, but not in non-lymphoid tissues. |
| 应用 | 推荐稀释比例 |
| {IHC-P} | {1:100-500} |
| {IHC-F} | {1:100-500} |
| {IF} | {1:100-500} |

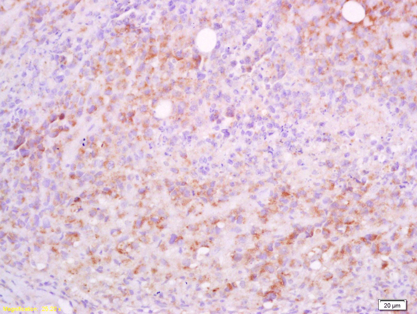
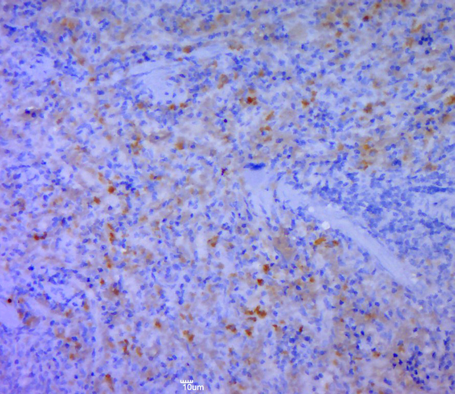
Antigen retrieval: citrate buffer ( 0.01M, pH 6.0 ), Boiling bathing for 15min; Block endogenous peroxidase by 3% Hydrogen peroxide for 30min; Blocking buffer (normal goat serum,C-0005) at 37℃ for 20 min;
Incubation: Anti-CD5L/Api6 Polyclonal Antibody, Unconjugated(bs-2487R) 1:200, overnight at 4°C, followed by conjugation to the secondary antibody(SP-0023) and DAB(C-0010) staining

风险提示:丁香通仅作为第三方平台,为商家信息发布提供平台空间。用户咨询产品时请注意保护个人信息及财产安全,合理判断,谨慎选购商品,商家和用户对交易行为负责。对于医疗器械类产品,请先查证核实企业经营资质和医疗器械产品注册证情况。
文献和实验= NAL), appears to form upon oxidative cyclization of the nonfluorescent 2:1 lysine-HNE Michael adduct-Schiff base cross-link (Scheme 1). Polyclonal antibody (PAb) to the NAL-HNE fluorophore was raised in rabbit and found to be highly specific
GE Healthcare Benzamidine Sepharose™ 6B is p-aminobenzamidine covalently attached to Sepharose 6B by the epoxy coupling method. p-Aminobenzamidine (PAB), is a synthetic inhibitor of trypsin-like serine protease. Trypsin and trypsin
was 20μl and the temperature was 22.5℃. Results The linear calibration curve was obtained over the range 0.5~500.0μg/ml of meropenem in rabbit bile (r=0.9999). The limitation of determination was 0.5μg/ml. The recovery of the assay was beyond 96.87% (n
技术资料暂无技术资料 索取技术资料






