相关产品推荐更多 >
万千商家帮你免费找货
0 人在求购买到急需产品
- 详细信息
- 文献和实验
- 技术资料
- 应用范围:
产品信息以Bioss网站为准
- 规格:
50ul/100ul/200ul
| 规格: | 50ul | 产品价格: | ¥1180.0 |
|---|---|---|---|
| 规格: | 100ul | 产品价格: | ¥1980.0 |
| 规格: | 200ul | 产品价格: | ¥2800.0 |
| 产品编号 | bs-1021R |
| 英文名称 | TLR4 Rabbit pAb |
| 中文名称 | Toll样受体4(CD284)抗体 |
| 英文别名 | TLR-4; TLR 4; ARMD10; CD 284; CD284; CD284 antigen; Homolog of Drosophila toll; hTol; Toll(Drosophila) homolog; TOLL; Toll Endotoxin Hyporesponsiveness; Toll like receptor 4; Toll like receptor 4 precursor; TLR4_HUMAN. |
| 产品应用 | WB=1:500-2000, IHC-P=1:100-500, IHC-F=1:100-500, ICC/IF=1:100-500, IF=1:100-500, Flow-Cyt=2ug/Test Not yet tested in other applications. |
| 交叉反应 | Human, Rat (Mouse, Dog, Pig, Cow, Sheep) |
| 抗体来源 | Rabbit |
| 免疫原 | KLH conjugated synthetic peptide derived from rat TLR4 |
| 亚型 | IgG |
| 性状 | Liquid |
| 纯化方法 | affinity purified by Protein A |
| 克隆类型 | Polyclonal |
| 理论分子量 | 90 kDa |
| 实际分子量 | 110 kDa |
| 浓度 | 1mg/ml |
| 储存液 | 0.01M TBS (pH7.4) with 1% BSA, 0.02% Proclin300 and 50% Glycerol. |
| 研究领域 | Cardiovascular > Atherosclerosis > Vascular Inflammation > Inflammatory mediators Immunology > Adaptive Immunity > Regulatory T Cells Immunology > Immunoglobulins > Receptors Immunology > Innate Immunity > Macrophage / Inflamm. Immunology > Innate Immunity > TLR Signaling Microbiology > Interspecies Interaction > Host Virus Interaction |
| 亚细胞定位 | Membrane; Single-pass type I membrane protein. |
| 组织特异性 | Highly expressed in placenta, spleen and peripheral blood leukocytes. Detected in monocytes, macrophages, dendritic cells and several types of T-cells. |
| 翻译后修饰 | N-glycosylated. Glycosylation of Asn-526 and Asn-575 seems to be necessary for the expression of TLR4 on the cell surface and the LPS-response. Likewise, mutants lacking two or more of the other N-glycosylation sites were deficient in interaction with LPS. |
| 相似性 | Belongs to the Toll-like receptor family. Contains 18 LRR (leucine-rich) repeats. Contains 1 LRRCT domain. Contains 1 TIR domain. |
| 功能 | Cooperates with LY96 and CD14 to mediate the innate immune response to bacterial lipopolysaccharide (LPS). Acts via MYD88, TIRAP and TRAF6, leading to NF-kappa-B activation, cytokine secretion and the inflammatory response. Also involved in LPS-independent inflammatory responses triggered by Ni(2+). These responses require non-conserved histidines and are, therefore, species-specific. |
| 保存条件 | Shipped at 4℃. Store at -20℃ for one year. Avoid repeated freeze/thaw cycles. |
| 注意事项 | This product as supplied is intended for research use only, not for use in human, therapeutic or diagnostic applications. |
| 背景资料 | The Toll-like receptor 4 by activating natural immunity, specific immune response involved in the start-up, Toll-like receptor 4 as an important signal transduction transmembrane receptor involved in the toxin-induced inflammation in the pathological process, its mechanisms of control On a growing concern. all regions were either double-stranded or sequenced with an alternatechemistry or covered by high quality data(i.e., phred quality >=30); an attempt was made to resolve all sequencing problems, such as compressions and repeats; all regions were covered by at least one subclone; and the assembly was confirmed by restriction digest, except on the rare occasion of the clone being a YAC. The following abbreviations are used to associate primary accession numbers given in the feature table with their source databases: Em:, EMBL; Sw:, SWISSPROT; Tr:, TREMBL; Wp:, WORMPEP; Information on the WORMPEP database can be found at. TLR-4 plays an important role in microvascular leakage and leukocyte adhesion under the inflammatory condition associated with nonseptic thermal injury. |
| 应用 | 推荐稀释比例 |
| {WB} | {1:500-2000} |
| {IHC-P} | {1:100-500} |
| {IHC-F} | {1:100-500} |
| {ICC/IF} | {1:100-500} |
| {IF} | {1:100-500} |
| {Flow-Cyt} | {2ug/Test} |

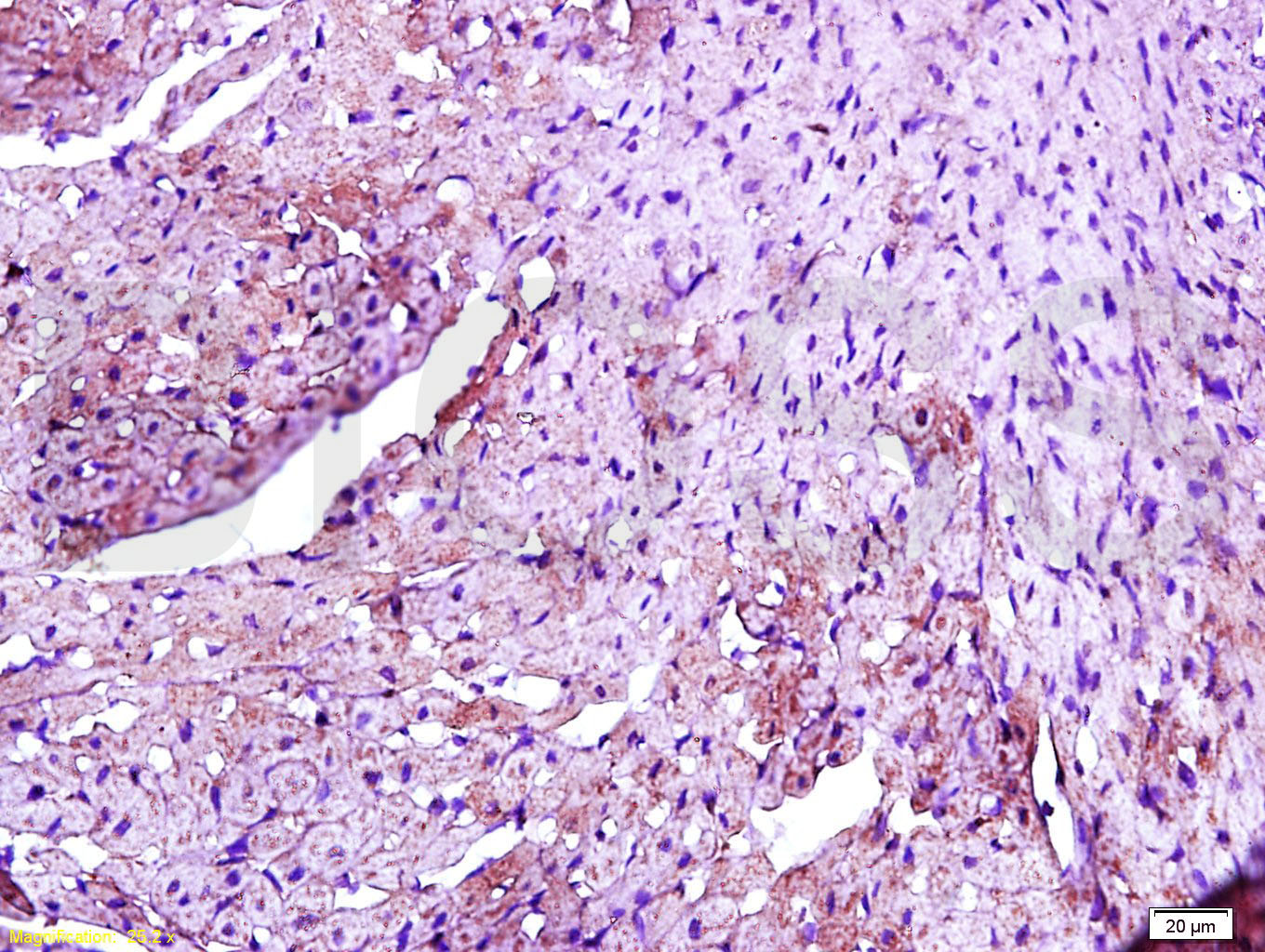
Antigen retrieval: citrate buffer ( 0.01M, pH 6.0 ), Boiling bathing for 15min; Block endogenous peroxidase by 3% Hydrogen peroxide for 30min; Blocking buffer (normal goat serum,C-0005) at 37℃ for 20 min;
Incubation: Anti-TLR4/CD284 Polyclonal Antibody, Unconjugated(bs-1021R) 1:200, overnight at 4°C, followed by conjugation to the secondary antibody(SP-0023) and DAB(C-0010) staining


Primary Antibody (green line): Rabbit Anti-TLR4 antibody (bs-1021R)
Dilution: 2μg /10^6 cells;
Isotype Control Antibody (orange line): Rabbit IgG .
Secondary Antibody : Goat anti-rabbit IgG-AF488
Dilution: 1μg /test.
Protocol
The cells were fixed with 4% PFA (10min at room temperature)and then permeabilized with 0.1% PBST for 20 min at at room temperature. The cells were then incubated in 5%BSA to block non-specific protein-protein interactions for 30 min at room temperature .Cells stained with Primary Antibody for 30 min at room temperature.The secondary antibody used for 40 min at room temperature.Acquisition of 20,000 events was performed.


Primary Antibody (green line): Rabbit Anti-TLR4 antibody (bs-1021R)
Dilution: 0.5ug/Test;
Secondary Antibody (white blue line) : Goat anti-rabbit IgG-AF488
Dilution: 0.5ug/Test.
Isotype control(orange line):Normal Rabbit IgG
Protocol
The cells were incubated in 5%BSA to block non-specific protein-protein interactions for 30 min at room temperature .Cells stained with Primary Antibody for 30 min at room temperature. The secondary antibody used for 40 min at room temperature. Acquisition of 20,000 events was performed.

Lane 1: Human MDA-MB-231 cell lysates
Lane 2: Human HUVEC cell lysates
Lane 3: Human HL-60 cell lysates
Primary: Anti-TLR4 (bs-1021R) at 1/1000 dilution
Secondary: IRDye800CW Goat Anti-Rabbit IgG at 1/20000 dilution
Predicted band size: 90 kDa
Observed band size: 120 kDa
风险提示:丁香通仅作为第三方平台,为商家信息发布提供平台空间。用户咨询产品时请注意保护个人信息及财产安全,合理判断,谨慎选购商品,商家和用户对交易行为负责。对于医疗器械类产品,请先查证核实企业经营资质和医疗器械产品注册证情况。
文献和实验[IF={{ 8.96 }}] {Harasymowicz, Natalia S., et al. "Regional Differences Between Perisynovial and Infrapatellar Adipose Tissue Depots and Their Response to Class II and III Obesity in Patients with OA." Arthritis & Rheumatology (2017).} {IHC} {="Human"}
[IF={{ 8.039 }}] {Yifan Zhu. et al. Discovery of Selective P2Y6R Antagonists with High Affinity and In Vivo Efficacy for Inflammatory Disease Therapy. J MED CHEM. 2023;XXXX(XXX):XXX-XXX} {WB} {Mouse}
[IF={{ 7.727 }}] {Xue Wang. et al. Engineered liposomes targeting the gut–CNS Axis for comprehensive therapy of spinal cord injury. J Control Release. 2021 Mar;331:390} {WB,IHC} {Mouse}
[IF={{ 7.3 }}] {Kohtaro Fukuyama. et al. Establishment of a porcine bronchial epithelial cell line and its application to study innate immunity in the respiratory epithelium. FRONT IMMUNOL. 2023; 14: 1117102} {ICC} {Pig}
[IF={{ 6.8 }}] {Tian Meihui. et al. Mechanistic study of acupuncture on the pterygopalatine ganglion to improve allergic rhinitis: analysis of multi-target effects based on bioinformatics/network topology strategie. BRIEF BIOINFORM. 2024 Jun;25(4):} {IF} {Rat}
= NAL), appears to form upon oxidative cyclization of the nonfluorescent 2:1 lysine-HNE Michael adduct-Schiff base cross-link (Scheme 1). Polyclonal antibody (PAb) to the NAL-HNE fluorophore was raised in rabbit and found to be highly specific
of the interleukin 1 (IL-1) receptor (IL-1R). TLR2 recognizes the pathogen-associated molecular patterns that are produced by Gram-positive (Gram+) bacterial cell wall components. TLR4, in association with CD14 and a molecule known as MD-2, is crucial
T 2000/3000 进口分装 F1021 小鼠骨成型蛋白 -2(mouse BMP-2) ELISA 48T/96T 2000/3000 进口分装 F1022 小鼠骨成型蛋白 -4(mouse BMP-4) ELISA 48T/96T 2000/3000 进口分装 F1023 mouse BMP-R1A ELISA 48T/96T 2000/3000 进口分装 F1024 mouse BMP-R2 ELISA 48T/96
技术资料暂无技术资料 索取技术资料










