相关产品推荐更多 >

RAB10 Rabbit pAb(bs-11257R)-50ul/100ul/200ul
¥1180
Connexin 31.1 Rabbit pAb, HRP conjugated(bs-13734R-HRP)-100ul
¥2980
Glucocorticoid receptor Rabbit pAb, BF750 conjugated(bs-0252R-BF750)-100ul
¥2980
Huntingtin Recombinant Rabbit mAb(bsm-54305R)-50ul/100ul
¥1400
BNC1 Rabbit pAb, Biotin conjugated(bs-22170R-Bio)-100ul
¥2980
万千商家帮你免费找货
0 人在求购买到急需产品
- 详细信息
- 技术资料
- 应用范围:
产品信息以Bioss网站为准
- 规格:
50ul/100ul/200ul
| 规格: | 50ul | 产品价格: | ¥1180.0 |
|---|---|---|---|
| 规格: | 100ul | 产品价格: | ¥1980.0 |
| 规格: | 200ul | 产品价格: | ¥2800.0 |
| 产品编号 | bs-21049R |
| 英文名称 | POU6F1/BRN5 Rabbit pAb |
| 中文名称 | 脑特异性同源POU结构域蛋白5抗体 |
| 英文别名 | Brain 5; Brain specific homeobox/POU domain protein 5; Brn 5; Brn 5 protein; BRN5; Emb; MPOU; mPOU homeobox protein; POU class 6 homeobox 1; POU domain class 6 transcription factor 1; TCFB1. |
| 产品应用 | IHC-P=1:100-500, IHC-F=1:100-500, IF=1:100-500 Not yet tested in other applications. |
| 交叉反应 | Mouse (Human, Rat, Dog, Pig, Cow, Horse, Rabbit, Sheep) |
| 抗体来源 | Rabbit |
| 免疫原 | KLH conjugated synthetic peptide derived from human POU6F |
| 亚型 | IgG |
| 性状 | Liquid |
| 纯化方法 | affinity purified by Protein A |
| 克隆类型 | Polyclonal |
| 理论分子量 | 32 kDa |
| 浓度 | 1mg/ml |
| 储存液 | 0.01M TBS (pH7.4) with 1% BSA, 0.02% Proclin300 and 50% Glycerol. |
| 亚细胞定位 | Nuclear. |
| 组织特异性 | In the embryo, expressed exclusively in the developing brain, whereas in the adult its expression is restricted to brain, heart, skeletal muscle and lung. In the brain, the highest expression levels are found in specific cell layers of the cortex, the olfactory bulb, the hippocampus and the cerebellum. |
| 相似性 | Belongs to the POU transcription factor family. Class-6 subfamily. Contains 1 homeobox DNA-binding domain. Contains 1 POU-specific domain. |
| 功能 | Transcription factor that binds preferentially to a variant of the octamer motif (5'-ATGATAAT-3'). |
| 保存条件 | Shipped at 4℃. Store at -20℃ for one year. Avoid repeated freeze/thaw cycles. |
| 注意事项 | This product as supplied is intended for research use only, not for use in human, therapeutic or diagnostic applications. |
| 背景资料 | The POU6F1 gene encodes a protein that is part of a family of transcription factors which exhibit distinct temporal and spatial patterns of expression. |
| 应用 | 推荐稀释比例 |
| {IHC-P} | {1:100-500} |
| {IHC-F} | {1:100-500} |
| {IF} | {1:100-500} |

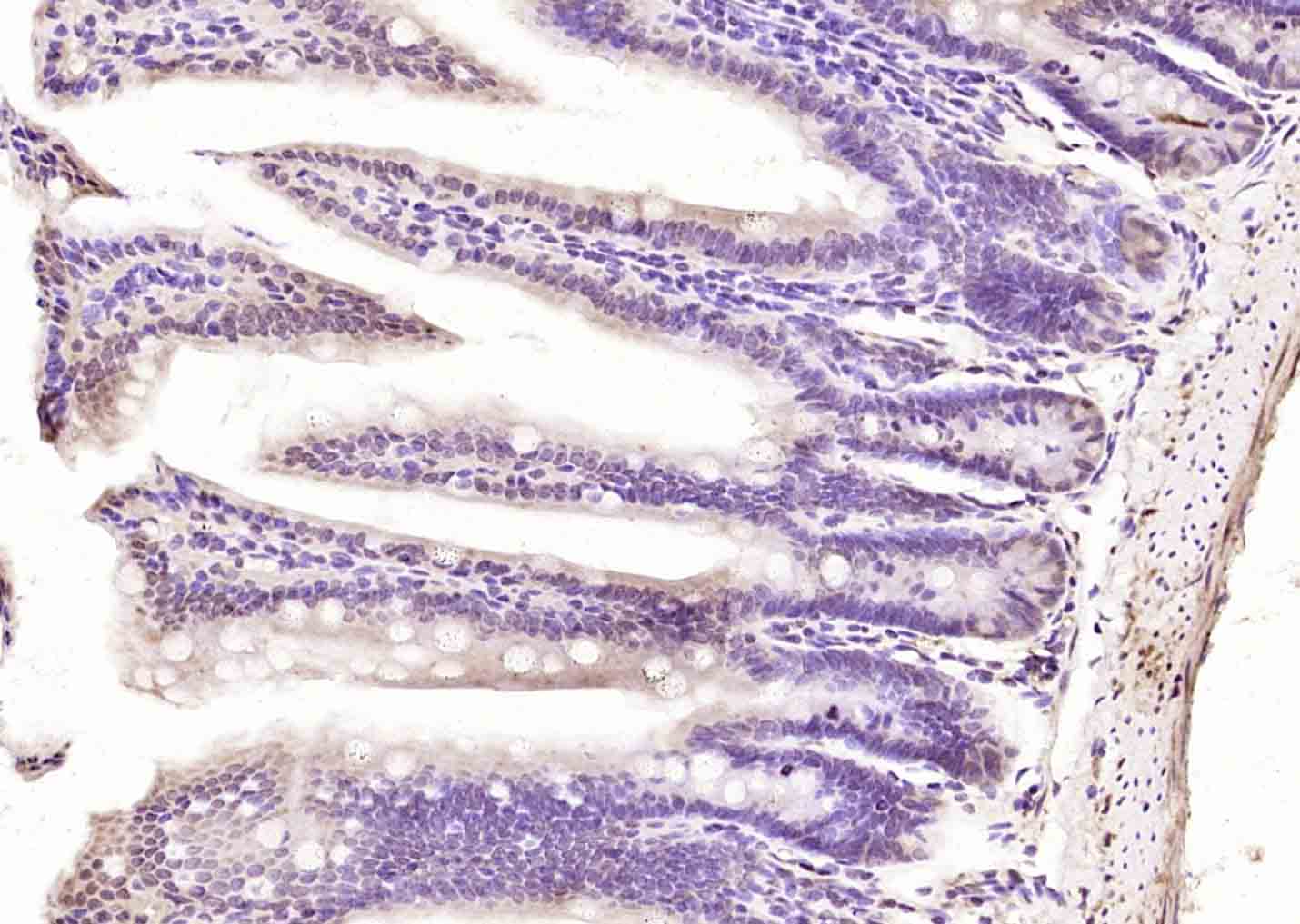
Paraformaldehyde-fixed, paraffin embedded (mouse intestine); Antigen retrieval by boiling in sodium citrate buffer (pH6.0) for 15min; Block endogenous peroxidase by 3% hydrogen peroxide for 20 minutes; Blocking buffer (normal goat serum) at 37°C for 30min; Antibody incubation with (POU6F1) Polyclonal Antibody, Unconjugated (bs-21049R) at 1:200 overnight at 4°C, followed by operating according to SP Kit(Rabbit) (sp-0023) instructionsand DAB staining.
风险提示:丁香通仅作为第三方平台,为商家信息发布提供平台空间。用户咨询产品时请注意保护个人信息及财产安全,合理判断,谨慎选购商品,商家和用户对交易行为负责。对于医疗器械类产品,请先查证核实企业经营资质和医疗器械产品注册证情况。
技术资料暂无技术资料 索取技术资料
POU6F1/BRN5 Rabbit pAb(bs-21049R)-50ul/100ul/200ul
¥1180 - 2800





