相关产品推荐更多 >

MAPK4 Rabbit pAb(bs-1319R)-50ul/100ul/200ul
¥1180
Anti-human GPC1 / Glypican-1 (Minomic patent Anti-Glypican 1 Biosimilar)(BIO0372SM)-1mg/5mg/20mg
¥3200
Anti-cMet Reference Antibody (Davutamig Biosimilar)(BIO0981SM)-100ug/1mg/5mg
¥2160
Neuronal thread protein AD7c-NTP Rabbit pAb, PE-Cy7 conjugated(bs-0046R-PE-Cy7)-100ul
¥2980
C1r Rabbit pAb(bs-15086R)-50ul/100ul/200ul
¥1180
万千商家帮你免费找货
0 人在求购买到急需产品
- 详细信息
- 文献和实验
- 技术资料
- 应用范围:
产品信息以Bioss网站为准
- 规格:
50ul/100ul/200ul
| 规格: | 50ul | 产品价格: | ¥1180.0 |
|---|---|---|---|
| 规格: | 100ul | 产品价格: | ¥1980.0 |
| 规格: | 200ul | 产品价格: | ¥2800.0 |
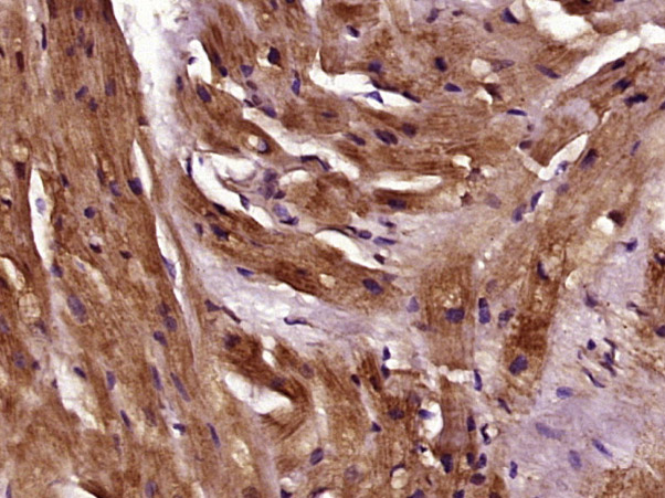
| 产品编号 | bs-9622R |
| 英文名称 | Tropomyosin Rabbit pAb |
| 中文名称 | 原肌球蛋白1抗体 |
| 英文别名 | Tropomyosin 1(alpha); alpha tropomyosin; alpha-tropomyosin; C15orf13; cardiomyopathy, hypertrophic 3; CMD1Y; CMH3; HTM alpha; sarcomeric tropomyosin kappa; TMSA; TPM1; TPM1_HUMAN; Tropomyosin 1; Tropomyosin1; Tropomyosin alpha 1 chain; Tropomyosin alpha-1 chain; Tropomyosin-1; Tropomyosin α; Tropomyosin-α; Tropomyosinα. |
| 产品应用 | IHC-P=1:100-500, IHC-F=1:100-500, IF=1:100-500 Not yet tested in other applications. |
| 交叉反应 | Human (Mouse, Rat, Dog, Zebrafish, Sheep) |
| 抗体来源 | Rabbit |
| 免疫原 | KLH conjugated synthetic peptide derived from human Tropomyosin |
| 亚型 | IgG |
| 性状 | Liquid |
| 纯化方法 | affinity purified by Protein A |
| 克隆类型 | Polyclonal |
| 理论分子量 | 33 kDa |
| 浓度 | 1mg/ml |
| 储存液 | 0.01M TBS (pH7.4) with 1% BSA, 0.02% Proclin300 and 50% Glycerol. |
| 研究领域 | Cardiovascular > Heart > Hypertrophy Signal Transduction > Cytoskeleton / ECM > Cytoskeleton > Microfilaments > Actin etc > Tropomyosin |
| 亚基 | Heterodimer of an alpha and a beta chain (By similarity). Interacts with HRG (via the HRR domain); the interaction contributes to the antiangiogenic properties of the histidine/proline-rich region (HRR) of HRG. |
| 亚细胞定位 | Cytoplasm, cytoskeleton. |
| 组织特异性 | Detected in primary breast cancer tissues but undetectable in normal breast tissues in Sudanese patients. Isoform 1 is expressed in adult and fetal skeletal muscle and cardiac tissues, with higher expression levels in the cardiac tissues. Isoform 10 is expressed in adult and fetal cardiac tissues, but not in skeletal muscle. |
| 翻译后修饰 | Phosphorylated at Ser-283 by DAPK1 in response to oxidative stress and this phosphorylation enhances stress fiber formation in endothelial cells. |
| 相似性 | Belongs to the tropomyosin family. |
| 功能 | Binds to actin filaments in muscle and non-muscle cells. Plays a central role, in association with the troponin complex, in the calcium dependent regulation of vertebrate striated muscle contraction. Smooth muscle contraction is regulated by interaction with caldesmon. In non-muscle cells is implicated in stabilizing cytoskeleton actin filaments. |
| 保存条件 | Shipped at 4℃. Store at -20℃ for one year. Avoid repeated freeze/thaw cycles. |
| 注意事项 | This product as supplied is intended for research use only, not for use in human, therapeutic or diagnostic applications. |
| 背景资料 | Binds to actin filaments in muscle and non-muscle cells. Plays a central role, in association with the troponin complex, in the calcium dependent regulation of vertebrate striated muscle contraction. Smooth muscle contraction is regulated by interaction with caldesmon. In non-muscle cells is implicated in stabilizing cytoskeleton actin filaments. |
| 应用 | 推荐稀释比例 |
| {IHC-P} | {1:100-500} |
| {IHC-F} | {1:100-500} |
| {IF} | {1:100-500} |

风险提示:丁香通仅作为第三方平台,为商家信息发布提供平台空间。用户咨询产品时请注意保护个人信息及财产安全,合理判断,谨慎选购商品,商家和用户对交易行为负责。对于医疗器械类产品,请先查证核实企业经营资质和医疗器械产品注册证情况。
文献和实验[IF={{ 5.6 }}] {Rong Tang. et al. Single-cell transcriptomics uncover hub genes and cell–cell crosstalk in patients with hypertensive nephropathy. INT IMMUNOPHARMACOL. 2023 Dec;125:111104} {IHC} {Human,Mouse}
Protein purification: tropomyosin
Overview TROPOMYOSIN An ubiquitous actin binding protein arranged in alpha-helical coiled-coil of 410 Angstrom length
= NAL), appears to form upon oxidative cyclization of the nonfluorescent 2:1 lysine-HNE Michael adduct-Schiff base cross-link (Scheme 1). Polyclonal antibody (PAb) to the NAL-HNE fluorophore was raised in rabbit and found to be highly specific
GE Healthcare Benzamidine Sepharose™ 6B is p-aminobenzamidine covalently attached to Sepharose 6B by the epoxy coupling method. p-Aminobenzamidine (PAB), is a synthetic inhibitor of trypsin-like serine protease. Trypsin and trypsin
技术资料暂无技术资料 索取技术资料






